ADNEXTUMOR, BENIGNE home ICD10: D23.9

Een benigne adnextumor is het overkoepelende begrip voor een niet nader omschreven benigne tumor uitgaande van de adnexen (haarfollikel, talgklier, of zweetklier). Adnextumoren zijn meestal benigne, maar er komen ook (zeldzaam) maligne adnextumoren voor.

Overzicht adnextumoren (indeling volgens Bologna):
folliculair (haarfollikel)
haar follikel naevus
trichofolliculoma
fibrofolliculoma
perifolliculair fibroma
trichodiscoma
naevus sebaceus
trichoepithelioma
desmoplastisch trichoepithelioma
pilomatricoma
trichilemmoma
trichilemmal carcinoma
isthmicoma (tumor uitgaande van
folliculair infundibulum)
trichoblastoma
trichoadenoma
proliferating pilar tumor
eruptieve vellus haar cyste

sebaceus (talgklier)
talgklierhyperplasie
sebaceous adenoma
sebaceous epithelioma
sebaceous carcinoma

diversen
adenoma
adenocarcinoma
apocrien / eccrien (zweetklier)

apocrien
chondroid syringoma
poroma
apocrine adenoma
apocrien hidradenoma
apocrien hidrocystoma
syringocystadenoma papilliferum
spiradenoma
cylindroma
carcinoma uitgaande van apocriene klier

eccrien
eccriene naevus
eccrien angiomateus hamartoma
eccrien hidrocystoma
eccrien spiradenoma
papillair adenoma
poroma
hidroacanthoma simplex
 (intraepidermal eccrien poroma)
poroid hidradenoma
hidradenocarcinoma
syringoma
chondroid syringoma
cylindroma
eccrien syringofibroadenoma



ADNEXTUMOR, MALIGNE (ADNEX CARCINOOM) home ICD10: C44.9

Niet nader omschreven maligne tumor uitgaande van de adnexen (haarfollikel, talgklier, of zweetklier).

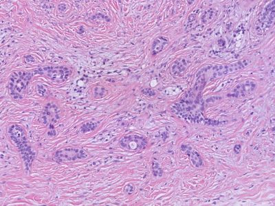
Histologie microcysteus adnexcarcinoom
microcysteus adnexcarcinoom

Bron hoge resolutie PA-foto: Kevin Kwee en Afdeling Pathologie MUMC. Klik op de afbeelding om in te zoomen.


Oorsprong: Benigne: Maligne:
eccrien poroma
hidradenoma
spiradenoma
cylindroma
syringoma
syringometaplasia
syringofibroadenoma
chondroid syringoma
porocarcinoma
hidradenocarcinoma
spiradenocarcinoma
maligne cylindroma
syringoid carcinoma
microcysteus adnexcarcinoom
mucinous carcinoma
adenoid cysteus carcinoma
digital papillary adenocarcinoma
apocrien syringocystadenoma papilliferum
hidradenoma papilliferum
syringocystadenocarcinoma
apocrien carcinoma
extramammaire Paget
eccrien en apocrien
(gemengd)
apocrien hidrocystoma
eccrien hidrocystoma
apocriene/eccriene naevus
tubulopapillary hidradenoma
malignant mixed tumour of skin
overige zweetkliercarcinomen   eccrine ductal carcinoma
basaloid eccrine carcinoma
clear cell eccrine carcinoma
overige zweetkliercarcinomen zns

Soni A. et al. Ecancermedicalscience 2015;9:517.


Referenties
1. Brito MHTS, DionĂ­sio CSNM, Ferreira JCM, Rosa MJMPMDC, Cunha FPBE, Garcia MMAPDS. Ductal eccrine carcinoma of the axilla: a diagnostic pitfall. An Bras Dermatol 2017;92(2):239-242.
2. Soni A, Bansal N, Kaushal V, Chauhan AK. Current management approach to hidradenocarcinoma: a comprehensive review of the literature. Ecancermedicalscience 2015;9:517.


Author(s):
dr. Jan R. Mekkes. Dermatologist, Amsterdam UMC.

31-05-2023 (JRM) - www.skin-diseases.eu Terug naar homepagina



Diagnosis codes:
ICD10 D23.9 Overige benigne neoplasma van huid, niet gespecificeerd: benigne neoplasma van huidadnex
ICD10 D23.9 Other benign neoplasms of skin, unspecified: benign neoplasm of adnexa of skin
SNOMED 91965004 Benign neoplasm of adnexa of skin
DBC 3 spacer Benigne dermatosen

ICD10 C44.9 Maligne neoplasma van huid, niet gespecificeerd: adnextumor
ICD10 C44.9 Malignant neoplasm of skin, unspecified: malignant adnexal neoplasm of skin
SNOMED 93663003 Primary malignant neoplasm of adnexa of skin
DBC 14 spacer Maligne dermatosen