Het
perifollicular fibroma is een zeldzame benigne
huidtumor, uitgaande van de bindweefsellaag die de haarfollikel omgeeft. De
oorzaak is onbekend. Het kan vanaf de geboorte aanwezig zijn of later ontstaan
als
adnextumortje of misschien reactief
aan een ontstoken haarfollikel. Klinisch is het meestal een huidkleurige 1-5
mm grote bolronde papel, en het komt vooral voor in het gelaat en de nek. Het
is ook een keer beschreven op het behaarde hoofd. Het zijn onopvallende laesies
die niet snel verwijderd worden. De diagnose wordt vaak achteraf gesteld als
het ingezonden wordt voor PA. Perifolliculaire fibromen kunnen solitair of multipel
voorkomen. Multipele perifolliculaire fibromen zijn ook beschreven bij het
Birt-Hogg-Dubé syndroom, maar
mogelijk zijn dat eigenlijk fibrofolliculomen. Er is
ook een associatie met colon poliepen en coloncarcinoom.
DD:
fibrofolliculoma,
trichodiscoma,
fibrous papule of the face,
dermatofibroom,
neurofibroom, folliculosebaceous
cystic hamartoma. Zie ook onder
adnextumoren.
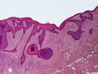
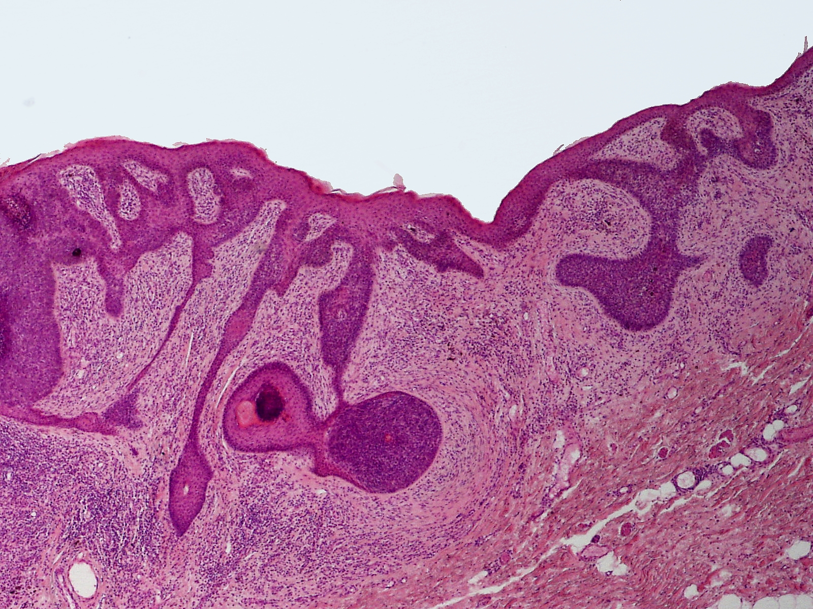
PA:De laesie bestaat uit concentrisch rond een haarfollikel
(met of zonder talgklierunits) gerangschikte lagen van celrijk dicht collageen.
![Perifolliculair fibroom (click on photo to enlarge) [source: huidziekten.nl] Perifolliculair fibroom](../../../images/perifollicular-fibroma-1z.jpg) |
![Perifolliculair fibroom (click on photo to enlarge) [source: L. Wozniak en K.W. Zielinski - Wikimedia - Creative Commons License 3.0] Perifolliculair fibroom](../../../images/perifollicular-fibroma-2z.jpg) |
| perifolliculair
fibroom |
perifolliculair
fibroom |
PA-Foto:
L. Wozniak en K.W. Zielinski - Wikimedia (Creative Commons License
3.0).
Therapie:

Excisie.
Referenties
| 1. |
Zackheim HS, Pinkus H. Perifollicular fibromas.
Arch Dermatol 1960;82:913-917. |
| 2. |
Cho S, Hahm JH. Perifollicular fibroma. J Eur
Acad Dermatol Venereol 1999;13:46-49. |
| 3. |
Sasai S, Takahashi K, Tagami H. Coexistence of
multiple perifollicular fibromas and colonic polyp and cancer. Dermatology.1996;192:262-263. |
| 4. |
Junkins-Hopkins JM, Cooper PH. Multiple perifollicular
fibromas: report of a case and analysis of the literature. J Cutan Pathol
1994;21:467-471. |
| 5. |
Choi EH, Bang DS. Multiple perifollicular fibromas.
Ann Dermatol 1990;2:68-69. |
Author(s):dr. Jan R. Mekkes. Dermatologist, Amsterdam UMC.