Een
pilomatricoma is een solitaire benigne nodus (dermaal,
subcutaan) of tumor, meestal bij jonge kinderen (vooral onder 2 jaar), uitgaande
van de haarmatrix. Synoniemen: pilomatrixoma, epithelioma calcificans van
Malherbe, trichomatricoma.
Pilomatricomen zijn zeldzame huidtumoren (0.12% in een serie van 140.000
tumoren) maar niet op de kinderleeftijd. In de pediatrische populatie is het
de tweede meest voorkomende huidtumor, met een aandeel van circa 10% van
alle huidtumoren op kinderleeftijd. Meestal is het een solitaire tumor, maar
in circa 3.5% (2.4-5%) van de gevallen zijn er
multipele
pilomatricomen. De laesies zijn meestal 1-3 cm groot, huidkleurig, soms wat paars, soms schemert
gelig materiaal door. Kan overal voorkomen, maar vooral hoofd (wangen) en nek, schouders,
bovenarmen. Het kan verkalken vandaar de naam '
calcifying epithelioma
of Malherbe’. Hierdoor kan de tumor hard, zelfs bothard
aanvoelen. De kalk kan op een echo gezien worden.
![Pilomatricoma (click on photo to enlarge) [source: www.huidziekten.nl] Pilomatricoma](../../../images/pilomatrixoma-1z.jpg) |
![Pilomatricoma (click on photo to enlarge) [source: www.huidziekten.nl] Pilomatricoma](../../../images/pilomatrixoma-2z.jpg) |
| pilomatricoma |
pilomatricoma |
![Pilomatricoma (click on photo to enlarge) [source: www.huidziekten.nl] Pilomatricoma](../../../images/pilomatrixoma-5z.jpg) |
![Pilomatricoma (click on photo to enlarge) [source: www.huidziekten.nl] Pilomatricoma](../../../images/pilomatrixoma-6z.jpg) |
| pilomatricoma |
pilomatricoma |
![Pilomatricoma (click on photo to enlarge) [source: www.huidziekten.nl] Pilomatricoma](../../../images/pilomatrixoma-3z.jpg) |
![Pilomatricoma (click on photo to enlarge) [source: www.huidziekten.nl] Pilomatricoma](../../../images/pilomatrixoma-4z.jpg) |
| pilomatricoma |
pilomatricoma |
Complicaties komen zelden voor, hoewel de tumor wel centimeters groot
kan worden, zelfs >15 cm. Een pilomatrix carcinoom komt ook voor maar is
extreem zeldzaam en treft vooral patiënten ouder dan 40 jr. Het is zo
zeldzaam dat daar geen rekening mee hoeft te worden gehouden.
PathogeneseOver de pathogenese is bekend dat er meestal een genetische afwijking speelt (CTNNB1 gen) en dat de laesies vaak
LEF-1 (marker voor haarmatrix), bcl-2 (een proto-oncogen dat apoptose kan remmen)
en S-100 positief zijn. Het CTNNB1 gen codeert voor β-catenin, een intracellulair signaal
eiwit dat een rol speelt bij de opbouw van epitheel via de Wnt pathway. De
gemuteerde variant van β-catenin is resistent voor ubiquitinering en
fosforylering en hoopt op in de celkern en het cytoplasma van basaloide
cellen; een verhoogd Wnt signaal veroorzaakt remt apoptose en veroorzaakt
een abnormale proliferatie van matrix cellen en vervolgens vorming van een pilomatricoma.
Multipele pilomatricomen
Multipele pilomatricomen
kunnen voorkomen als op zichzelf staand fenomeen, zonder onderliggende afwijkingen en niet familiaal voorkomend (‘
sporadisch type’). Het kan ook
familiaal voorkomen en als
onderdeel van een syndroom.
Syndromen waarbij multipele pilomatricomen kunnen voorkomen zijn
myotone dystrofie (Steinert sydroom) en
familial adenomatous polyposis (FAP,
Gardner syndroom en andere FAP-gerelateerde syndromen). Ook is het beschreven bij het syndroom van Turner,
Rubinstein-Taybi, Kabuki, en Sotos en bij PENS (papular epidermal nevus with “skyline” basal cell layer).
Ciriacks et al. hebben op basis van retrospectief onderzoek criteria opgesteld voor het doen van aanvullend onderzoek naar onderliggende afwijkingen en geassocieerde syndromen (zie tabel).
| Indicaties voor nader onderzoek naar geassocieerde afwijkingen: |
• Aanwezigheid van 6 of meer pilomatricomen • Aanwezigheid van 1 of meer pilomatricomen bij een patiënt met: - myotone dystrofie in de familie, of - een eerstegraads familielid met coloncarcinoom, of - een eerstegraads familielid met familial adenomatous polyposis of andere FAP-related syndromen, of - het voorkomen van pilomatricomen in de familie • Aanwezigheid van 1 of meer pilomatricomen bij aanwezigheid van
symptomen die kunnen passen bij de ziekte van Turner of het
Rubinstein-Taybi syndroom |
DD: dermatofibroma,
epidermale of trichilemmale
cysten,
adnextumoren (
talgklierhyperplasie,
trichoepithelioma,
trichofolliculoma, folliculoma,
cylindroma, vellushaarcyste),
juveniel xanthogranuloom,
facial aseptic granuloma, keratoacanthoom, plaveiselcelcarcinoom, basaalcelcarcinoom,
amelanotisch melanoom, Merkelceltumor.
DD harde lesies:
calcinosis cutis, osteoma cutis, jicht
tophus, dermatofibrosarcoma protuberans.
Diagnostiek:
biopt.
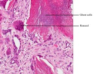
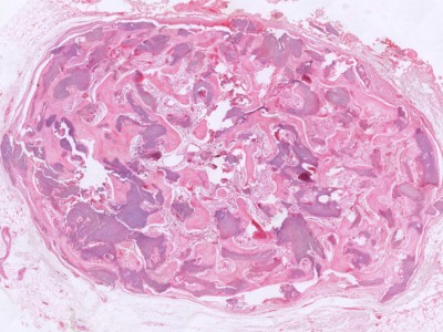
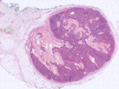
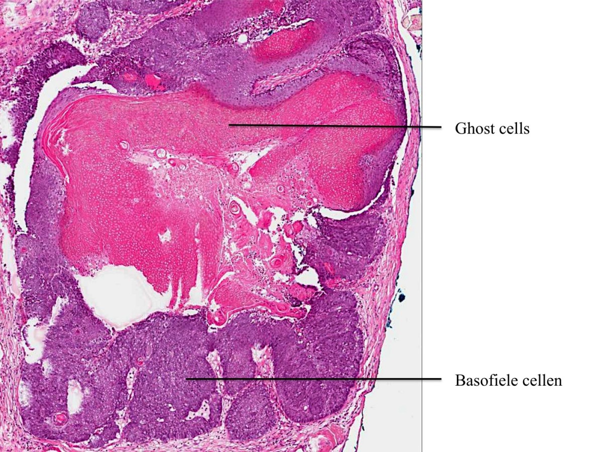
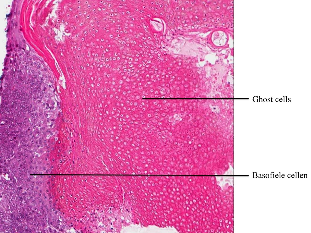
Histologie:Het histologisch beeld wordt gekenmerkt
door een scherp afgrensbare tumor in de diepe dermis, veelal rijkend tot in
de subcutis (1,2). Twee typen cellen zijn karakteristiek voor het pilomatrixoom.
In de periferie liggen basofiele cellen, welke keratiniseren en richting het
centrum overgaan in eosinofiele ghost cells. De basofiele cellen hebben een
hyperchromatische kern, nauwelijks cytoplasma en vertonen veel mitosen. Ze lijken
op de cellen bij het basaalcelcarcinoom (1-3). De centraal gelegen ghost cells
hebben een opheldering ter plaatse van de verdwenen kern, zijn groter en hebben
meer cytoplasma. Naarmate de laesie ouder wordt, neemt het aantal basofiele
cellen af en nemen de ghost cells in aantal toe. In 20% van de gevallen zijn
er bij excisie van het pilomatrixoom helemaal geen basofiele cellen meer aanwezig.
De tumor wordt vaak omgeven door een lymfocytair infiltraat en meerkernige reuscellen
(1,3,4). In ruim twee derde van de tumoren treedt calcificatie op en in ruim
10% ook ossificatie. De epidermis vertoont meestal geen afwijkingen (1,2).
Therapie:Excisie wordt aanbevolen omdat het groter
kan worden. Het gaat niet vanzelf weg. Bij excisie proberen om de laesie in
toto te excideren, het kan recidiveren als er resten achterblijven. Als de laesie
niet groeit is het ook verantwoord om een ingreep uit te stellen tot het kind
wat ouder is. In Amerikaanse literatuur worden erg ruime marges genoemd van
1 en zelfs 2 cm; dit lijkt enigszins overdreven gezien de plek waar het vaak
zit (kindjes, gelaat) en het benigne karakter. In de meeste ziekenhuizen wordt
deze ingreep verricht door de (kinder-) plastische chirurg, in een setting waar
ervaring is in het opereren van kleine kinderen.
Referenties
| 1. |
Weedon D. Tumours of cutaneous appendages.
In: Weedon's Skin Pathology. 3th ed. Churchill Livingstone; 2010:768-770. |
| 2. |
Brenn T, McKee PH. Tumors of the hair follicle.
In: McKee PH, Calonje E, Granter SR. Pathology of the Skin with
Clinical Correlations. 3rd ed. Elsevier Mosby 2005;1536-1539. |
| 3. |
Kaddu S, Soyer HP, Hodl S, et al. Morphological
stages of pilomatricoma. Am J Dermatopathol 1996;18:333-338. |
| 4. |
Temming JF, Mastboom BJ, Van Noort G. Pilomatrixoma
veelal niet als zodanig herkend. Ned Tijdschr Geneeskd 1998;142:2684-2688. |
| 5. |
Ciriacks K, Knabel D, Waite MB. Syndromes
associated with multiple pilomatricomas: When should clinicians
be concerned? Pediatr Dermatol 2020;37(1):9-17.
PDF |
| 6. |
Mesa-Álvarez L, Batalla A, Iglesias-Puzas
Á, Álvarez C, Flórez Á. Multiple Pilomatricomas: A Retrospective
Study and Literature Review. Am J Dermatopathol
2019;41(4):293-295.
PDF |
| 7. |
Reddy SS, Gadre SA, Adegboyega P, Gadre AK. Multiple pilomatrixomas: case report and literature review. Ear Nose Throat J 2008;87(4):230-233.
PDF |
| 8. |
Rizzoli L, Balestri R, Rech G, Zorzi MG,
et al. Familial papular epidermal nevus with “skyline” basal
cell layer and multiple pilomatricomas: A new association?
Pediatr Dermatol 2018;35:e147-150. |
| 9. |
Richet C, Maza A, Dreyfus I, Bourrat E,
Mazereeuw J. Childhood pilomatricomas: Associated anomalies.
Pediatr Dermatol 2018;35:548-551. |
| 10. |
Kentley J, Nasir S, Lloyd K, Markiewicz D, Harwood CA. Multiple pilomatrixomas as a presentation of
myotonic dystrophy. Clin Exp Dermatol 2019;44:e149-150. |
Author(s):dr. Jan R. Mekkes. Dermatoloog, AMC Amsterdam
Mary-Ann el Sharouni. Co-assistent, UMC Utrecht
Norbert A. Ipenburg.
Co-assistent, UMC Utrecht
prof. dr. Marijke R. van Dijk. Patholoog, UMC Utrecht.