Een
naevus sebaceus is een
hamartoom,
voornamelijk opgebouwd uit talgklieren (vaak vergroot). Tevens is er sprake
van malformatie van de follikels en apocriene klieren. De naevus sebaceus komt
voor bij 0.3% van de neonaten, onafhankelijk van ras of geslacht. Een naevus
sebaceus lijkt onder invloed van hormonen te staan: soms zijn ze duidelijker
zichtbaar bij geboorte door invloed van hormonen van moeder. Vervolgens worden
ze weer vlakker tijdens de kindertijd. Onder invloed van hormonen in de puberteit
worden ze meer verruceus.
Een hamartoma is een congenitale afwijking, lijkend
op een tumor, echter niet maligne en samengesteld uit normale uitgerijpte cellen,
soms verschillende celtypen tegelijk, in een abnormale hoeveelheid en/of distributie.
Hamartomen groeien met dezelfde snelheid als het omliggende weefsel.
Klinisch beeld:Klinisch betreft het vaak een enkele, scherp
begrensde, ovale of lineaire, (vrijwel) haarloze, vet aandoende plaque, die
geel/oranje tot wat bruiner van kleur is. Het oppervlak kan fluwelig tot verruceus
aanvoelen. De laesies zijn enkele millimeters tot centimeters groot, zitten
veelal op het hoofd en in de hals en veranderen met de leeftijd van vorm/kleur/structuur.
De laesies komen vrijwel niet op de romp voor. De laesies kunnen een lineaire
distributie volgens de
Blaschko lijnen volgen.
Als de laesies op de behaarde hoofdhuid zitten, zijn deze meestal haarloos.
Bij multipele laesies kunnen er ook meerdere interne afwijkingen zijn (hersentumoren,
skeletafwijkingen, oogafwijkingen en hamartomen van de nier). In dat geval kan
er sprake zijn van een syndroom zoals het
Schimmelpenning-Feuerstein-Mims
syndroom. Patiënten hebben dan ook vaak epileptische aanvallen en mentale
retardatie. Patiëntjes met multipele naevi sebacei moeten daarom doorverwezen
worden naar de kinderneuroloog.
![Naevus sebaceus (click on photo to enlarge) [source: www.huidziekten.nl] Naevus sebaceus](../../../images/naevus-sebaceus-1z.jpg) |
![Naevus sebaceus (click on photo to enlarge) [source: www.huidziekten.nl] Naevus sebaceus](../../../images/naevus-sebaceus-2z.jpg) |
| naevus
sebaceus |
naevus
sebaceus |
![Naevus sebaceus (click on photo to enlarge) [source: www.huidziekten.nl] Naevus sebaceus](../../../images/naevus-sebaceus-3z.jpg) |
![Naevus sebaceus (click on photo to enlarge) [source: www.huidziekten.nl] Naevus sebaceus](../../../images/naevus-sebaceus-4z.jpg) |
| naevus
sebaceus |
naevus
sebaceus |
DD:naevus epidermalis
(verrucosus,
ILVEN),
congenitale naevus naevocellularis,
verruca seborrhoica,
verruca vulgaris,
aplasia cutis congenita,
syringocystadenoma papilliferum,
juveniel xanthogranuloma,
solitair mastocytoom.
Diverse
stadia:
De ontwikkeling van een naevus sebaceus wordt klinisch meestal
in drie stadia onderscheiden:
| I. |
vlak na geboorte: er is een solitaire, haarloze,
lineaire of ronde, iets verheven, roze, gele, oranje of bruine plaque
met een glad en soms fluweelachtig oppervlak. Vaak zijn de kenmerken
nog niet allen duidelijk waarneembaar. |
| II. |
in de adolescentie wordt de laesie duidelijker
zichtbaar: meer verruceus en verheven. |
| III. |
op latere leeftijd: er kunnen trichoblastomen
en soms basaalcelcarcinomen of syringocystadenoma papilliferum ontstaan. |
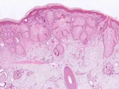
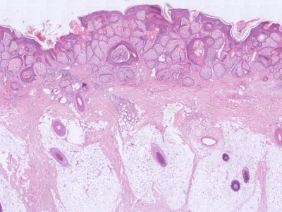
Histologie:In het algemeen kan gezegd worden dat de
epidermis papillomateuze hyperplasie vertoont en dat in de dermis meer talgklieren
zijn. Vaak zijn er ectopische apocriene klieren in de dermis onder de talgklieren
zichtbaar.
In de verschillende klinische stadia, is er ook histologisch verschil:
I - tijdens de geboorte en in de kindertijd zijn de talgklieren in een naevus
sebaceus onderontwikkeld en vaak zijn er misvormde beginnende haarfollikels
te zien, afkomstig van de basaalmembraan. Bij microscopie van een infantiele
naevus is het soms moeilijk afwijkingen te zien. Zeker als er alleen een lesionaal
en geen referentie biopt is genomen. Ook tijdens de kindertijd blijft de diagnose
microscopisch lastig te stellen, dit wordt echter makkelijker richting adolescentie.
II en III - tijdens de adolescentie en op latere leeftijd wordt de epidermis
geleidelijk dikker, dan lijkt de naevus histologisch erg op een epidermale naevus
met papillomateuze epidermale hyperplasie en een fibrotische dermis. Vergrote
talgklieren kunnen dan ook aanwezig zijn. De onderliggende folliculaire units
lijken kleiner en verstoord te zijn; de talgklieren worden groter. In de reticulaire
dermis kunnen verwijde glandulaire structuren en ingedikte secreet worden waargenomen.
Tijdens de volwassen leeftijd blijft dit microscopisch patroon hetzelfde en
krijgen sommigen verruceuze epidermale hyperplasie (microscopisch lijkend op
verruca vulgaris). Ook kunnen er secundaire neoplasmata zichtbaar worden.
Dus: In het beginstadium zijn soms slechts subtiele histologische veranderingen
zichtbaar, vervolgens staan hypoplastische talgklieren en haarfollikels op de
voorgrond. In het stadium daarna is er sprake van hyperkeratose en papillomatosis
met tal van hyperplastische talgklieren.
![Histologie naevus sebaceus (click on photo to enlarge) [source: Kevin Kwee / Afdeling Pathologie MUMC] Histologie naevus sebaceus](../../../pacoupes/thumbnails/naevus-sebaceus-1.jpg) |
![Histologie naevus sebaceus (click on photo to enlarge) [source: Kevin Kwee / Afdeling Pathologie MUMC] Histologie naevus sebaceus](../../../pacoupes/thumbnails/naevus-sebaceus-2.jpg) |
|
ingescande coupe (zoom) |
ingescande coupe (zoom) |
Bron
hoge resolutie PA-foto's: Kevin Kwee en Afdeling Pathologie MUMC. Klik
op de afbeelding om in te zoomen.
Maligne ontaardingIn een naevus sebaceus kunnen
huidtumoren ontstaan, meestal benigne tumoren zoals het trichoblastoom (meest
voorkomend), trichilemmoma, sebaceous adenoma, apocrine adenoma en poroma. Dit
komt bij circa 13% van de patiënten voor, vooral op oudere leeftijd. Bij personen
jonger dan 16 jaar is de kans op een benigne tumor slechts 1,7%. Ook maligne
ontaarding komt voor, m.n. bij patiënten van 40 jaar en ouder. Het gaat dan
meestal om een basaalcelcarcinoom, en in zeer zeldzame gevallen een sebaceous
carcinoma of apocrine carcinoma. Maligne ontaarding komt vrijwel nooit voor
bij kinderen.
Vroeger werd gedacht dat in 10% (range 6,5 - 50%) van de
naevi sebacei een basaalcelcarcinoom zou ontstaan. Uit recente studies blijkt
dat de kans daarop veel kleiner is, < 1% (range 0.8 - 3.5%) en dat het niet
op de kinderleeftijd ontstaat. Waarschijnlijk is het percentage jaren overschat
door een verkeerde beoordeling van gebieden met basaloide proliferatie en benigne
trichoblastomen als een BCC. De voorlichting moet op deze nieuwe gegevens worden
aangepast, in oude folders staat nog dat jaarlijkse controle wordt geadviseerd.
![Basaalcelcarcinoom ontstaan in een naevus sebaceus (click on photo to enlarge) [source: www.huidziekten.nl] Basaalcelcarcinoom ontstaan in een naevus sebaceus](../../../images/naevus-sebaceus-met-basaalcelcarcinoom-1z.jpg) |
![Basaalcelcarcinoom ontstaan in een naevus sebaceus (click on photo to enlarge) [source: www.huidziekten.nl] Basaalcelcarcinoom ontstaan in een naevus sebaceus](../../../images/naevus-sebaceus-met-basaalcelcarcinoom-2z.jpg) |
| BCC in
naevus sebaceus |
BCC in
naevus sebaceus |
Therapie:Excisie bij klinische verdenking op maligniteit
of om cosmetische redenen. De laesie moet in toto (full thickness) worden geëxcideerd
vanwege de dermale component, shave-excisie of laserablatie is niet effectief.
In het verleden werd preventieve excisie aanbevolen in of voor de puberteit
i.v.m. de kans op ontaarding. Op grond van de recente cijfers waaruit blijkt
dat maligniteiten niet op kinderleeftijd ontstaan, wordt preventieve excisie
in de kinderleeftijd niet meer aanbevolen. Bij volwassenen kan men het overwegen
(een excisie beëindigt ongerustheid en maakt controlebezoeken overbodig).
Nacontrole: niet nodig
Vaste nacontrole schema's zijn
voor een naevus sebaceus niet nodig. De kans dat er een tumor ontstaat is te
gering om dit te rechtvaardigen, en als er een tumor ontstaat is dat een BCC
dat eenvoudig en doeltreffend is te verwijderen. De patiënt en/of ouders moeten
geïnstrueerd worden om ter controle terug te komen indien er in de plek een
bultje of wondje ontstaat.
Referenties
| 1. |
Bolognia JL. Dermatology, second edition,
pp. 1695-1996. |
| 2. |
Pielop JA. Benign skin and scalp lesions
in the newborn and young infant. Uptodate.com, accessed 01-11-2010. |
| 3. |
Anwar al Hammadi. Nevus Sebaceus. Emedicine.com,
accessed 02-11-2010. |
| 4. |
Cribier B. Tumors arising in nevus sebaceus:
A study of 596 cases. JAAD 2000;42:263-268. |
| 5. |
Rosen M. Management of nevus sebaceous and
the risk of Basal cell carcinoma: an 18-year review. Pediatr Dermatol
2009;26:676-681. |
Author(s):Joost van Wijk, arts-assistent Dermatologie.
Academisch Medisch Centrum, Amsterdam