Een
hidradenoma is een zeldzame benigne
adnextumor uitgaande van de apicale zweetklieren,
van het meest distale gedeelte van de afvoergang van de zweetklieren. Hidradenomen
worden ook wel
acrospiroma,
cystadenoma
of
hydrocystadenoma genoemd. Meestal gaat het om solitaire
nodulaire tumoren, 1-3 cm groot, blauw, huidkleurig of paarsroze, soms doorschijnend.
Hidradenomen zijn per definitie benigne; in zeer zeldzame gevallen is er een
maligne ontaarding, in dat geval wordt het een
hidradenocarcinoma
genoemd. De diagnose wordt meestal niet op het klinisch beeld gesteld, maar
volgt uit de PA.
Hidradenomen kunnen een apocriene of een eccriene differentiatie
hebben. De apocriene variant komt het meest voor en wordt ook wel
clear cell hidradenoma genoemd of
nodulocystic
hidradenoma. De
eccriene variant
is zeldzaam en wordt
poroid hidradenoma genoemd.
Er zijn echter ook publicaties waar in staat dat de eccriene variant het
meest voorkomt.
Het kan histologisch moeilijk zijn om het onderscheid te
maken tussen een benigne hidradenoom en een maligne hidradenocarcinoom.
Laesies die aanvankelijk zijn beoordeeld als benigne kunnen zich later toch
maligne gedragen, met locale recidieven na excisie en met metastasering naar
regionale lymfklieren. De recidiefkans na excisie is hoog, 10-12% voor
hidradenoma en meer dan 50% voor
hidradenocarcinoma.
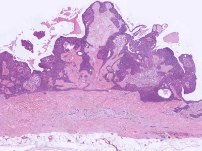
![Hidradenoma (click on photo to enlarge) [source: www.huidziekten.nl] Hidradenoma](../../../images/hidradenoma-1z.jpg) |
![Hidradenoma (click on photo to enlarge) [source: www.huidziekten.nl] Hidradenoma](../../../images/hidradenoma-2z.jpg) |
![Hidradenoma (click on photo to enlarge) [source: www.huidziekten.nl] Hidradenoma](../../../images/hidradenoma-3z.jpg) |
| hidradenoma |
hidradenoma |
hidradenoma |
DD: poroid hidradenoma,
hidradenocarcinoma,
Merkelceltumor,
basaalcelcarcinoom,
plaveiselcelcarcinoom,
amelanotisch melanoom,
adenoma,
lymfoom,
pseudolymfoom (
lymphadenosis
cutis benigna,
Borrelia lymfocytoom),
metastase.
Diagnostiek:Biopt.
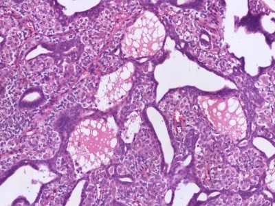
![Histologie hidradenoma (click on photo to enlarge) [source: Kevin Kwee / Afdeling Pathologie MUMC] Histologie hidradenoma](../../../pacoupes/thumbnails/hidradenoma.jpg) |
![Histologie eccrien hidradenoma (click on photo to enlarge) [source: Kevin Kwee / Afdeling Pathologie MUMC] Histologie eccrien hidradenoma](../../../pacoupes/thumbnails/eccrien-hidradenoom-1.jpg) |
![Histologie eccrien hidradenoma (click on photo to enlarge) [source: Kevin Kwee / Afdeling Pathologie MUMC] Histologie eccrien hidradenoma](../../../pacoupes/thumbnails/eccrien-hidradenoom-2.jpg) |
|
ingescande coupe (zoom) |
ingescande coupe (zoom) |
ingescande coupe (zoom) |
Bron
hoge resolutie PA-foto's: Kevin Kwee en Afdeling Pathologie MUMC. Klik
op de afbeelding om in te zoomen.
Therapie:

Radicale
chirurgische excisie.
Er is geen consensus over wat de marge zou moeten zijn. In oudere artikelen
staat dat een krappe marge van 2-5 mm voldoende is. Recentere case-reports
noemen hoge percentages lokale redieven na excisie (10-12%) en adviseren een marge van 1 cm, of 'wide excision' zonder te specificeren wat daar mee
wordt bedoeld. Ook Mohs chirurgie wordt genoemd. In alle gevallen wordt wel
benadrukt dat het belangrijk is dat de excisie radicaal is, met nauwkeurige histologische controle van alle randen,
en re-excisie als de histologische marge te krap is.
Vanwege de zeldzaamheid zijn er geen richtlijnen en komen die er
waarschijnlijk ook niet. Toch moet er iets gekozen worden. Op basis van
case-reports is het advies om bij een hidradenoom een marge van 1 cm aan te
houden als het mogelijk is, net als bij slecht gedifferentieerd SCC, en
streven naar een histologisch vrije marge van 2 mm of meer. Als dit door de
locatie niet goed mogelijk is (gelaat, vitale structuren), dan is alles
tussen 5 en 10 mm ook redelijk.
Indien er op
klinische of histologische gronden verdenking bestaat op een maligne laesie
(hidradenocarcinoma) wordt een marge van minimaal 2 cm aanbevolen.
Referenties
| 1. |
Will R, Coldiron B. Recurrent clear cell
hidradenoma of the foot. Dermatol Surg 2000;26(7):685-686. |
| 2. |
Liapakis IE, Korkolis DP, Koutsoumbi A,
Fida A, Kokkalis G, Vassilopoulos PP. Malignant hidradenoma: a
report of two cases and review of the literature. Anticancer Res
2006;26(3B):2217-2220. |
| 3. |
Obaidat NA, Alsaad KO, Ghazarian D. Skin
adnexal neoplasms - part 2: an approach to tumours of cutaneous
sweat glands. J Clin Pathol 2007;60(2):145-159. |
| 4. |
Shahmoradi Z, Mokhtari F. Clear cell hidradenoma.
Adv Biomed Res 2013 Mar 30;2:40. |
| 5. |
Kim SJ, Yang H, Shin C, Oh, SH. A
Treatment of Recurrent Clear Cell Hidradenoma on the Neck: A
Case Report. Korean J Head Neck Oncol 2020; 36(2): 41-44. |
| 6. |
Bijou W, Laababsi R, Oukessou Y, Rouadi
S, Abada R, Roubal M, Mahtar M. An unusual presentation of a
nodular hidradenoma: A case report and review of the literature.
Ann Med Surg (Lond) 2020;61:61-63. |
| 7. |
Alhaqbani A, Alawfi H, Alahmadatea F,
Almalki S. Case report: thigh hidradenoma masquerading as
lipoma. J Surg Case Rep 2024;8:rjae518. |
Author(s):dr. Jan R. Mekkes. Dermatologist, Amsterdam UMC.