Het
syringocystadenoma papilliferum (synoniemen: naevus
syringoadenomatosus papilliferus; hidradenoma verrucosum fistulovegetans (Darier);
naevus syringocystadenomatosus papilliferus) is een zeldzame benigne hamartomateuze
adnextumor uitgaande van apocriene of eccriene
zweetklieren. Het is voor het eerst beschreven door Elliot in 1893.
Klinisch beeld:Meestal zijn het exofytisch groeiende solitaire
of gegroepeerde bolronde huidkleurige of erythemateuze tumortjes, vaak bedekt
met crustae. Ze zitten meestal op het hoofd, behaarde hoofd of gelaat of hals,
soms in de oksels of de liezen, en meer dan de helft is vanaf de geboorte of
vroege jeugd aanwezig. Er zijn ook plaquevormige laesies beschreven, soms in
een lineaire
Blaschkoide vorm, opgebouwd
uit multipele ronde laesies. En er is een variant waarbij er erythemateuze nodi
of plaques zijn met nattend / erosief oppervlak.
![Syringocystadenoma papilliferum (click on photo to enlarge) [source: www.huidziekten.nl] Syringocystadenoma papilliferum](../../../images/syringocystadenoma-papilliferum-1z.jpg) |
![Syringocystadenoma papilliferum (click on photo to enlarge) [source: www.huidziekten.nl] Syringocystadenoma papilliferum](../../../images/syringocystadenoma-papilliferum-2z.jpg) |
![Syringocystadenoma papilliferum (click on photo to enlarge) [source: www.huidziekten.nl] Syringocystadenoma papilliferum](../../../images/syringocystadenoma-papilliferum-3z.jpg) |
|
syringocystadenoma papilliferum (solitair en in een naevus sebaceus) |
![Syringocystadenoma papilliferum (click on photo to enlarge) [source: www.huidziekten.nl] Syringocystadenoma papilliferum](../../../images/syringocystadenoma-papilliferum-4z.jpg) |
![Syringocystadenoma papilliferum (click on photo to enlarge) [source: www.huidziekten.nl] Syringocystadenoma papilliferum](../../../images/syringocystadenoma-papilliferum-5z.jpg) |
![Syringocystadenoma papilliferum (click on photo to enlarge) [source: www.huidziekten.nl] Syringocystadenoma papilliferum](../../../images/syringocystadenoma-papilliferum-6z.jpg) |
|
syringocystadenoma papilliferum (gegroepeerd, en nattend - erosieve
variant) |
![Syringocystadenoma papilliferum (click on photo to enlarge) [source: www.huidziekten.nl] Syringocystadenoma papilliferum](../../../images/syringocystadenoma-papilliferum-7z.jpg) |
![Syringocystadenoma papilliferum (click on photo to enlarge) [source: www.huidziekten.nl] Syringocystadenoma papilliferum](../../../images/syringocystadenoma-papilliferum-8z.jpg) |
![Syringocystadenoma papilliferum (click on photo to enlarge) [source: www.huidziekten.nl] Syringocystadenoma papilliferum](../../../images/syringocystadenoma-papilliferum-9z.jpg) |
|
syringocystadenoma papilliferum (lineair gegroepeerd volgens de
lijnen van Blaschko) |
Een
syringocystadenoma papilliferum kan ontstaan
in een
naevus sebaceus. En het kan samen voorkomen
met
tubulair adenoma in één laesie, met aan de oppervlakte
het syringocystadenoma papilliferum en daaronder in de dermis een tubulair adenoma.
Ook deze hybride vorm wordt gezien in een
naevus sebaceus. Andere geassocieerde
tumoren zijn adnextumoren (o.a. apocrine gland cyst,
trichoblastoma,
sebaceoma), en
basaalcelcarcinoom.
Syringocystadenoma
papilliferum en tubular adenoma zijn verwante laesies met in beide een myoepitheliale
component en een tubulopapillaire architectuur. De laatste jaren wordt van steeds
meer tumoren, ook van zweetkliertumoren, uitgezocht welke mutaties er aan ten
grondslag liggen. Deze kunnen vaak in het weefsel worden aangetoond. Dit kan
worden gebruikt voor diagnostiek, maar ook veranderen deze technieken de inzichten
en de indeling van diverse huidtumoren. Op basis hiervan is een nieuwe indeling
van huidtumoren gemaakt door de WHO. Syringocystadenoma papilliferum en tubular
adenoma hebben allebei mutaties in het
mitogen-activated protein kinase (MAPK)
signaling pathway, zowel
BRAF,
KRAS, en
HRAS (zie voor
de betekenis van de afkortingen onder
Costello syndroom). Ze kunnen geïsoleerd ontstaan,
spontaan (sporadisch), maar ook in het kader van een cutane RASopathie (waartoe
ook de naevus sebaceus behoort). Maligne ontaarding, in een
syringocystadenocarcinoma
papilliferum komt voor maar is extreem zeldzaam.
DD: warty dyskeratoma,
basaalcelcarcinoom,
adnextumortje.
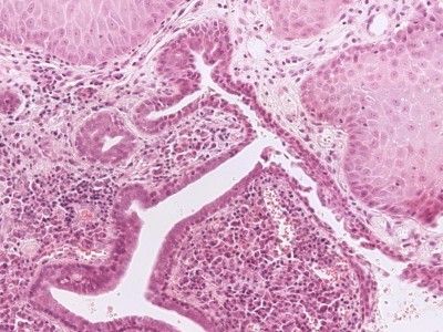
PA:
Meestal exofytisch groeiende laesies, met een verruceuze, papillomateuze opbouw.
De papillomateuze structuren zijn opgebouwd uit epitheliale en myoepitheliale
cellen, in combinatie met cuboide cellen in de lumina. Vaak zijn er ook veel
plasmacellen aanwezig. De mutatie kan meestal worden vastgesteld met anti-BRAF
p.V600E. De myoepitheliale component is vaak positief voor SMA, calponin, SOX10,
en p63, de luminale laag voor EMA.
Een tubulair adenoom ziet er histologisch
anders uit, met talloze kleine buizen (ducti) en cysten bekleed met apocriene
secernerende cellen. De BRAF p.V600E mutaties worden gevonden in 50-60% bij
syringocystadenoma papilliferum en tubular adenoma, de laesies die ontstaan
in een naevus sebaceus hebben meestal HRAS of KRAS mutaties.
![Histologie syringocystadenoma papilliferum (click on photo to enlarge) [source: Kevin Kwee / Afdeling Pathologie MUMC] Histologie syringocystadenoma papilliferum](../../../pacoupes/thumbnails/syringocystadenoma-papilliferum-1.jpg) |
![Histologie tubulair adenoom (click on photo to enlarge) [source: Kevin Kwee / Afdeling Pathologie MUMC] Histologie tubulair adenoom](../../../pacoupes/thumbnails/tubulair-adenoom-1.jpg) |
|
ingescande coupe (zoom) |
ingescande coupe (zoom) |
Bron
hoge resolutie PA-foto's: Kevin Kwee en Afdeling Pathologie MUMC. Klik
op de afbeelding om in te zoomen.
Therapie:R/ Excisie van de laesie in toto, met
een krappe marge. Bij multipele kleine laesies in een groot gebied eventueel
CO2 laser.
Referenties
| 1. |
Askar S et al. Syringocystadenoma papilliferum
mimicking basal cell carcinoma on the lower eyelid: a case report.
Acta Chir Plast 2003;44:117-119. |
| 2. |
Castilla EA et al. Trichilemmoma and syringocystadenoma
papilliferum arising in naevus sebaceous. Pathology 2002;34:196-197. |
| 3. |
Agulló Pérez AD, Bonaut Iriarte B, Córdoba
Iturriagagoitia A, Valcayo Peñalba A. Syringocystadenocarcinoma
Papilliferum: Case Report and Review of the Literature. Actas Dermo-Sifiliográficas
2019;109:366-369. |
| 4. |
Romagnuolo M, Boggio F, Benzecry Mancin V,
Marzano AV, Moltrasio C. Clinical, dermoscopic, and histological
findings of a solitary de novo syringocystadenoma papilliferum:
a case report. Int J Dermatol 2024;63(4):538-540. |
| 5. |
Ito K, Ansai SI, Saeki H. A Case of Syringocystadenoma
Papilliferum with Tubular Papillary Adenoma of the Chest. J Nippon
Med Sch 2017;84(2):79-82. |
| 6. |
McBride JD, Billings SD, Komforti MK. A rare
case of syringocystadenocarcinoma papilliferum of the breast: An
institutional retrospective case review and brief literature review.
J Cutan Pathol 2021;48(11):1387-1391. |
Author(s):dr. Jan R. Mekkes. Dermatologist, Amsterdam UMC.