ECCRIEN POROOM (POROMA ECCRINUM, ECCRINE POROMA) home ICD10: D23.9

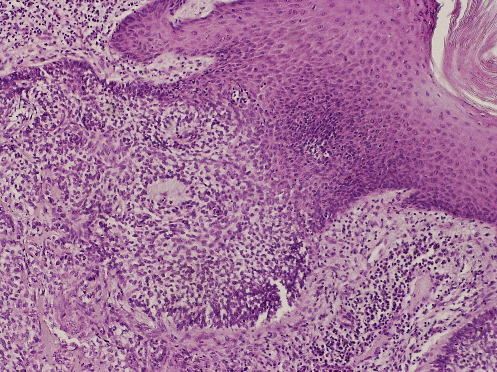
Een eccrien poroom (poroma eccrinum, eccrine poroma) is een benigne epitheliale tumor, uitgaande van de zweetklierafvoergang en kan dus gerangschikt worden onder de adnextumoren. De meest voorkomende vorm van een eccrien poroom is een solitaire tumor onder de voet. Histologisch kunnen buisstructuren worden aangetroffen, passend bij de origine (distale deel zweetklier afvoergang), en zweet secernerende eccriene cellen. Ook apocriene cellen kunnen voorkomen (apocrien poroma). Tumortjes uitgaande van de distale afvoergang worden ook wel acrospiroma genoemd. Eccrine poroma komt uit deze groep het meest voor. Het is niet bekend waardoor poroma ontstaat. Er is geen familiaire factor. Het kan in een naevus sebaceus ontstaan.

Acrospiromata:
- poroma (eccrine poroma, apocrine poroma)
- dermal duct tumor (dermaal gelegen eccrien poroom)
- hidroacanthoma simplex (intra-epidermaal gelegen eccrien poroom)
- nodular hidradenoma

Hidroacanthoma simplex oftewel intraepidermaal poroma is een poroma met nestjes cuboide cellen met buisvormige differentiatie, beperkt tot de epidermis, zonder betrokkenheid van de dermis. Een dermal duct tumor (intradermal poroma) is een scherp begrensd poroma, geheel in de dermis liggend.

Klinisch beeld eccrien poroom:
Huidkleurige nodi of papels, meestal < 2 cm, soms gepigmenteerd. De lesies zitten meestal (60-70%) op de voetzolen, soms aan de zijkant van de voet, soms op de handpalmen. Soms op andere plaatsen (nek, neus, gelaat, hoofdhuid, andere plaatsen op het lichaam). Meestal vanaf 40 jaar. Een zeldzame variant is eccrine poromatosis waarbij multipele (>100) papels aanwezig zijn. Een eccrine poroma kan maligne ontaarden (malignant poroma, porocarcinoom) en deze kunnen zelfs metastaseren, maar dit is extreem zeldzaam. Poromata groeien langzaam en geven meestal geen klachten, soms pijn. Omdat ze uitsteken boven de huid zijn ze soms door druk beschadigd (erosies, ulceraties). Bij pijnklachten denken aan een porocarcinoom.

Eccrien poroma Eccrien poroma Eccrien poroma
eccrien poroma eccrien poroma eccrien poroma

Eccrien poroma Eccrien poroma Eccrien poroma
eccrien poroma eccrien poroma eccrien poroma

Eccrien poroma Eccrien poroma Eccrien poroma
eccrien poroma eccrien poroma eccrien poroma (PA)

PA-Foto: L. Wozniak en K.W. Zielinski - Wikimedia (Creative Commons license 3.0).


DD: naevi, naevus sebaceus, basaalcelcarcinoom, plaveiselcelcarcinoom, eccrien syringofibroadenoom, porocarcinoom, Merkel cell carcinoma, leiomyoma, granuloma pyogenicum, verruca seborroica, acraal fibrokeratoom, Koenense tumor, fibroma, dermatofibroom, clear cell acanthoma, neurofibroom, (amelanotisch) melanoma, andere adnex tumortjes, trichilemmoma, cysten, vaattumoren, angioma, Kaposi sarcoma, verruca vulgaris, callus, clavus.

Therapie:
Excisie van de laesie in toto, met een krappe marge.


Referenties
1. Pinkus H, Rogin James R, Goldman P. Eccrine poroma: tumors exhibiting features of epidermal sweat duct unit. Arch Dermatol 1956;74:511-521.
2. KakinumaH, MiyamotoR, IwasawaU, BabaS, SuzukiH. Three subtypes of poroid neoplasia in a single lesion. Eccrine poroma, hidroacanthoma simplex, and dermal duct tumor. Histologic, histochemical, and ultrastructural findings. Am J Dermatopathol 1994;16:66-72.
3. Goldmer R. Eccrine poromatosis. Arch Dermatol 1970;101:606-608.
4. Wong MW, Tse GM. Eccrine poroma: a differential diagnosis in chronic foot lesions. Foot Ankle Int 2003;24:789-792.
5. Harvell JD, Kerschmann RL, LeBoit PE. Eccrine or apocrine poroma? Six poromas with divergent adnexal differentiation. Am J Dermatopathol 1996;18:1-9.


Author(s):
dr. Jan R. Mekkes. Dermatologist, Amsterdam UMC.

31-05-2023 (JRM) - www.skin-diseases.eu Terug naar homepagina



Diagnosis codes:
ICD10 D23.9 Overige benigne neoplasma van huid, niet gespecificeerd: poroma eccrinum
ICD10 D23.9 Other benign neoplasms of skin, unspecified: eccrine poroma
SNOMED 399985004 Eccrine poroma of skin
DBC 3 Benigne tumoren