Cylindromen zijn goedaardige tumoren uitgaande van de
adnexen. Ze komen meestal voor boven op het behaarde hoofd en kunnen heel
groot worden (als een tulband). Ze komen iets vaker voor bij vrouwen.
Cylindromen kunnen solitair voorkomen of multipel, en soms in combinatie met
andere
adnextumortjes zoals
spiradenomen en
trichoepitheliomen. De multipele cylindromen beginnen vaak na de
puberteit en het aantal en de grootte neemt geleidelijk toe. Klinisch zijn
het ronde uitpuilende vleeskleurige tot rode glanzende onbehaarde tumoren,
variƫrend van enkele millimeters tot enkele centimeters groot. Multipele
cylindromen, in combinatie met andere adnextumoren en basaalcelcarcinomen
komen ook syndromaal voor (
Brooke-Spiegler
syndroom). Solitaire cylindromen komen vooral op oudere leeftijd voor en
zijn meestal niet onderdeel van een genetisch syndroom.
Het is niet
precies bekend van welk type adnex cylindromen uitgaan, waarschijnlijk van
eccriene of apocriene zweetklieren. Cylindromen lijken histologisch op
spiradenomen, er worden zowel eccriene als apocriene klieren aangetroffen,
en ducti (buisvormige afvoergangen). Maligne degeneratie in een maligne
cylindroom is zeer zeldzaam. De tumoren kunnen conflueren en zo groot worden
dat omvangrijke plastische chirurgie nodig is. Ook kunnen ze het bot
eroderen en de hersenen ingroeien. Behalve op het hoofd kunnen ze ook op de
romp en extremiteiten voorkomen.
![Cylindroma (click on photo to enlarge) [source: www.huidziekten.nl] Cylindroma](../../../images/cylindroma-1z.jpg) |
![Cylindroma (click on photo to enlarge) [source: www.huidziekten.nl] Cylindroma](../../../images/cylindroma-2z.jpg) |
| cylindroma |
cylindroma |
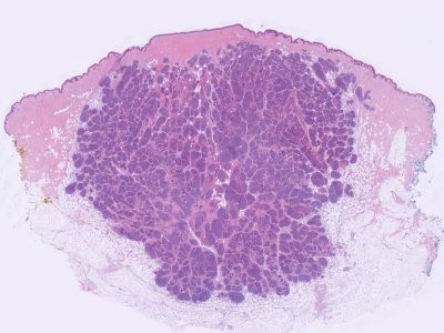
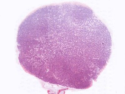
PA:De tumor ligt
los van de epidermis en is opgebouwd uit talloze polygonale nesten van
tumorcellen die als een puzzel in elkaar passen ('jigsawlike pattern').
Typisch is ook dat de velden omringd zijn door een dikke hyaliene membraan.
Deze membraan bestaat vooral uit type IV collageen. In de velden kunnen 2
celtypen worden onderscheiden: een rand van kleinere basofiele cellen en een
centrum van grote bleke cellen. Ook buisvormige structuren en lumina kunnen
worden gezien. In tegenstelling tot spiradenoma ontbreekt een lymfocytair
infiltraat. Wel worden dendritische cellen gezien, waarschijnlijk Langerhans
cellen (CD1a-positief). Immunohistochemische kleuringen tonen
myoepitheliale, apocriene, eccriene, ductale, and secretoire differentiatie
aan. Zie ook de
ingescande PA-coupe van de
afdeling pathologie van de University of
Toronto.
![Histologie cylindroma (click on photo to enlarge) [source: Kevin Kwee / Afdeling Pathologie MUMC] Histologie cylindroma](../../../pacoupes/thumbnails/cylindroom.jpg) |
![Histologie cylindroma (click on photo to enlarge) [source: Kevin Kwee / Afdeling Pathologie MUMC] Histologie cylindroma](../../../pacoupes/thumbnails/cylindroom-eccrien.jpg) |
| ingescande coupe (zoom) |
ingescande coupe (zoom) |
Bron
hoge resolutie PA-foto's: Kevin Kwee en Afdeling Pathologie MUMC. Klik
op de afbeelding om in te zoomen.
DD:
trichilemmale cyste, maligne tumoren,
neurofibromatose, metastasen,
plaveiselcel carcinoma,
amelanotisch
melanoom,
Merkel cel carcinoma.
Therapie:Chirurgische excisie.
Eventueel curettage en elektocoagulatie of cryotherapie. Multipele kleinere
laesies kunnen met de CO2 laser worden behandeld.
Nacontrole:Bij
multipele cylindromen regelmatig controle op nieuwe laesies. Mag ook aan de
patiƫnt worden overgelaten om langs te komen als hij/zij een nieuwe plek
voelt.
Referenties
| 1. |
Cardenas AA, Norton SA, Fitzpatrick
JE. Solitary violaceous nodule on the face. Dermal cylindroma (also known as
cylindroma, dermal eccrine cylindroma, Spiegler's tumor, turban tumor, and
tomato tumor). Arch Dermatol 1993;129(4):498-501. |
| 2. |
Biernat W,
Biernat S. Cutaneous adnexal carcinoma arising within a solitary
cylindroma-spiradenoma. Am J Dermatopathol 1996;18(1):77-82. |
| 3. |
Rallan D, Harland CC. Brooke-Spiegler syndrome: treatment with laser
ablation. Clin Exp Dermatol 2005;30(4):355-357. |
| 4. |
Retamar RA,
Stengel F, Saadi ME, et al. Brooke-Spiegler syndrome - report of four
families: treatment with CO2 laser. Int J Dermatol 2007;46(6):583-586. |
| 5. |
Bignell GR, Warren W, Seal S, et al. Identification of the familial
cylindromatosis tumour-suppressor gene. Nat Genet 2000;25(2):160-165. |
| 6. |
Bowen S, Gill M, Lee DA, et al. Mutations in the CYLD gene in
Brooke-Spiegler syndrome, familial cylindromatosis, and multiple familial
trichoepithelioma: lack of genotype-phenotype correlation. J Invest Dermatol
2005;124(5):919-920. |
| 7. |
Aneiros-Fernandez J, Husein-El Ahmed H,
Arias-Santiago S, Nicolae A, O'Valle Ravassa F. Unknown: A woman with an
erythematous nodule on the scalp. Dermatology Online Journal 2010;16(4):12. |
Author(s):dr. Jan R. Mekkes. Dermatologist, Amsterdam UMC.