Fibrofolliculomen zijn kleine huidkleurige perifolliculaire papeltjes
behorende tot de benigne
adnextumoren, uitgaand van een haarfollikel.
Multipele fibrofolliculomen komen samen met trichodiscomen voor bij het
Birt-Hogg-Dubé syndroom. Fibrofolliculomen kunnen ook solitair voorkomen.
De papeltjes zitten vooral in het gelaat. Solitaire fibrofolliculomen zitten
soms op de oogleden.
![Fibrofolliculoma (click on photo to enlarge) [source: www.huidziekten.nl] Fibrofolliculoma](../../../images/fibrofolliculoma-1z.jpg) |
![Fibrofolliculoma (click on photo to enlarge) [source: www.huidziekten.nl] Fibrofolliculoma](../../../images/fibrofolliculoma-2z.jpg) |
![Fibrofolliculoma (click on photo to enlarge) [source: www.huidziekten.nl] Fibrofolliculoma](../../../images/fibrofolliculoma-3z.jpg) |
|
fibrofolliculoma |
fibrofolliculoma |
fibrofolliculoma |
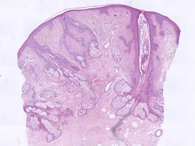
PA:Verticaal georiënteerde
dermale laesie bestaande uit een haarfollikel van waaruit dunne strengen
cellen met sebocyten of talgklier lobuli uitwaaieren naar het omgevende
stroma. Soms cystische dilatatie van het infundibulum. Het omgevende stroma
bevat mucine en parallele vezels fibrillair collageen, fibroblasten en soms
enkele dendritische cellen.
![Histologie fibrofolliculoma (click on photo to enlarge) [source: Kevin Kwee / Afdeling Pathologie MUMC] Histologie fibrofolliculoma](../../../pacoupes/thumbnails/fibrofolliculoom.jpg) |
|
ingescande coupe (zoom) |
Therapie:

(Punch-)excisie
als het gaat om enkele laesies. Bij vele laesies eventueel ablatieve laser.
Referenties
| 1. |
Starink ThM, Brownstein MH. Fibrofolliculoma: solitary and multiple types. J Am Acad Dermatol 1987;17:493-496. |
| 2. |
Tellechea O, Cardoso JC, Reis JP, Ramos L, Gameiro AR, Coutinho I, Baptista AP. Benign follicular tumors. An Bras Dermatol 2015;90(6):780-796.
PDF |
Author(s):dr. Jan R. Mekkes. Dermatologist, Amsterdam UMC.