Eruptive vellushair cysts zijn multipele 0.1- 1 cm
grote huidkleurige papels, bestaande uit cysten uitgaande van de haarfollikel.
Begint al op kinderleeftijd. Vooral op de romp (borst en buik), maar kan ook
in het gezicht (wangen, neus) en op de extremiteiten voorkomen. Autosomaal dominante
aandoening, waarschijnlijk berustend op een spontane mutatie in een keratine
17 gen (KRT17, genlocus 17q12-q21), net als bij steatocystoma multiplex dat
er erg op lijkt. Kan geassocieerd voorkomen met
steatocystoma multiplex,
pachyonychia congenita, anhidrotic
ectodermal dysplasia, en hidrotic ectodermal dysplasia.
![Eruptieve vellushaar cysten (click on photo to enlarge) [source: www.huidziekten.nl] Eruptieve vellushaar cysten](../../../images/eruptieve-vellushaar-cysten-1z.jpg) |
![Eruptieve vellushaar cysten (click on photo to enlarge) [source: www.huidziekten.nl] Eruptieve vellushaar cysten](../../../images/eruptieve-vellushaar-cysten-2z.jpg) |
![Eruptieve vellushaar cysten (click on photo to enlarge) [source: www.huidziekten.nl] Eruptieve vellushaar cysten](../../../images/eruptieve-vellushaar-cysten-3z.jpg) |
|
vellushaar cysten |
vellushaar cysten |
vellushaar cysten |
![Eruptieve vellushaar cysten (click on photo to enlarge) [source: www.huidziekten.nl] Eruptieve vellushaar cysten](../../../images/eruptieve-vellushaar-cysten-4z.jpg) |
![Eruptieve vellushaar cysten (click on photo to enlarge) [source: www.huidziekten.nl] Eruptieve vellushaar cysten](../../../images/eruptieve-vellushaar-cysten-5z.jpg) |
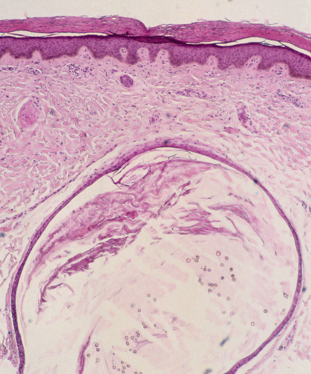
![Histologie van eruptieve vellushaar cyste (click on photo to enlarge) [source: www.huidziekten.nl] Histologie van eruptieve vellushaar cyste](../../../images/eruptieve-vellushaar-cysten-6z.jpg) |
|
vellushaar cysten |
vellushaar cysten |
vellushaar cyste (PA) |
PA: kleine trichilemmale / epidermale cysten, uitgaande
van een haarfollikel, gevuld met hoorn en talrijke kleine vellusharen.
DD: steatocystoma
multiplex,
trichostasis spinulosa,
acne vulgaris,
folliculitis,
milia, dermoid cyste, overige
adnextumortjes,
Gardner syndroom.
Diagnostiek: biopt, eventueel kan met een mesje of naald een cyste
eruit worden gewipt en onderzocht worden in een KOH preparaat: hierin ziet men
dan de vellusharen liggen.
Therapie:Therapie is
moeizaam. Orale retinoïden werken niet. Lokale keratolytische crèmes hebben
soms enig effect. Verwijderen is effectief maar vanwege het grote aantal moeilijk
uitvoerbaar en de littekens zijn cosmetisch meestal niet fraai.
R/ ureum
of melkzuur 10 crème.
R/ tretinoïne crème 0.05%.
R/ tazarotene crème 0.1%.

Excisie middels
klein punchbiopt of excochleatie van de cyste met een naald of een mesje.

Coagulatie.

CO2 laser
en andere lasers.
Referenties
| 1. |
Esterly NB et al. Eruptive vellus hair cysts.
Arch Dermatol 1977;113:500-503. |
| 2. |
Tomkova H et al. Expression of keratin (K10
and K17) in steatocystoma multiplex, eruptive vellus hair cysts,
and epidermoid and trichilemmal cysts. Am J Dermatopathol 1997;19:250-253. |
Author(s):dr. Jan R. Mekkes. Dermatologist, Amsterdam UMC.