TRICHOBLASTOMA home ICD10: D23.9

Een trichoblastoma is een zeldzaam, langzaam groeiend benigne adnextumortje uitgaande van folliculaire kiemcellen (germinative cells), dat zijn de cellen onder in de haarfollikel van waaruit een nieuwe haar kan groeien. Het is voor het eerst beschreven door Headington in 1970. Klinisch zijn het scherp begrensde symmetrische huidkleurige papels of noduli (tumortjes), bij presentatie meestal < 2 cm, maar ze kunnen ook enkele centimeters groot worden. Soms bruin of blauwzwart. Ze zitten vooral in het hoofd-hals gebied, met name op de scalp, en zijn niet bedekt met haren. Meestal solitair, zelden multipel. Er kunnen vertakkende teleangiëctastieën op het oppervlak zichtbaar zijn. Klinisch en histologisch lijken de laesies sterk op een basaalcelcarcinoom. Maligne transformatie van een trichoblastoom naar een trichoblastair carcinoma is beschreven, maar dit is extreem zeldzaam. Trichoblastomen ontstaan op oudere leeftijd (40-50 jaar), iets vaker bij mannen, en kunnen ook bij patiënten met een donkere huid voorkomen, dit in tegenstelling tot het basaalcelcarcinoom dat zelden voorkomt bij de donkere huid. Trichoblastomen kunnen voorkomen in het kader van genetische aandoeningen zoals het Brooke-Spiegler syndroom.

Trichoblastoma Trichoblastoma
trichoblastoma trichoblastoma

Foto's: Samuel Freire da Silva - Dermatology Atlas (Creative Commons License 3.0).


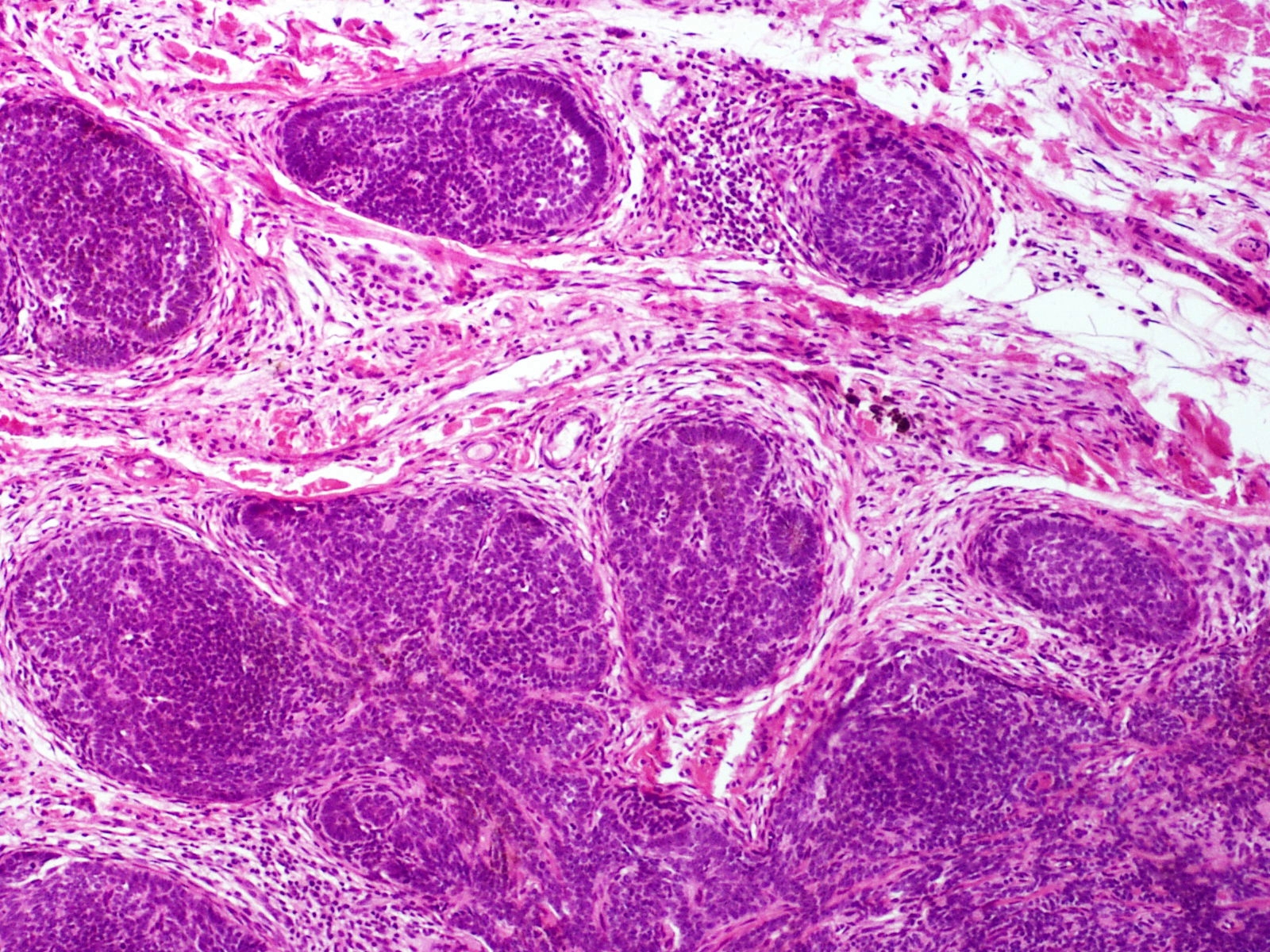
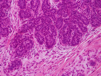
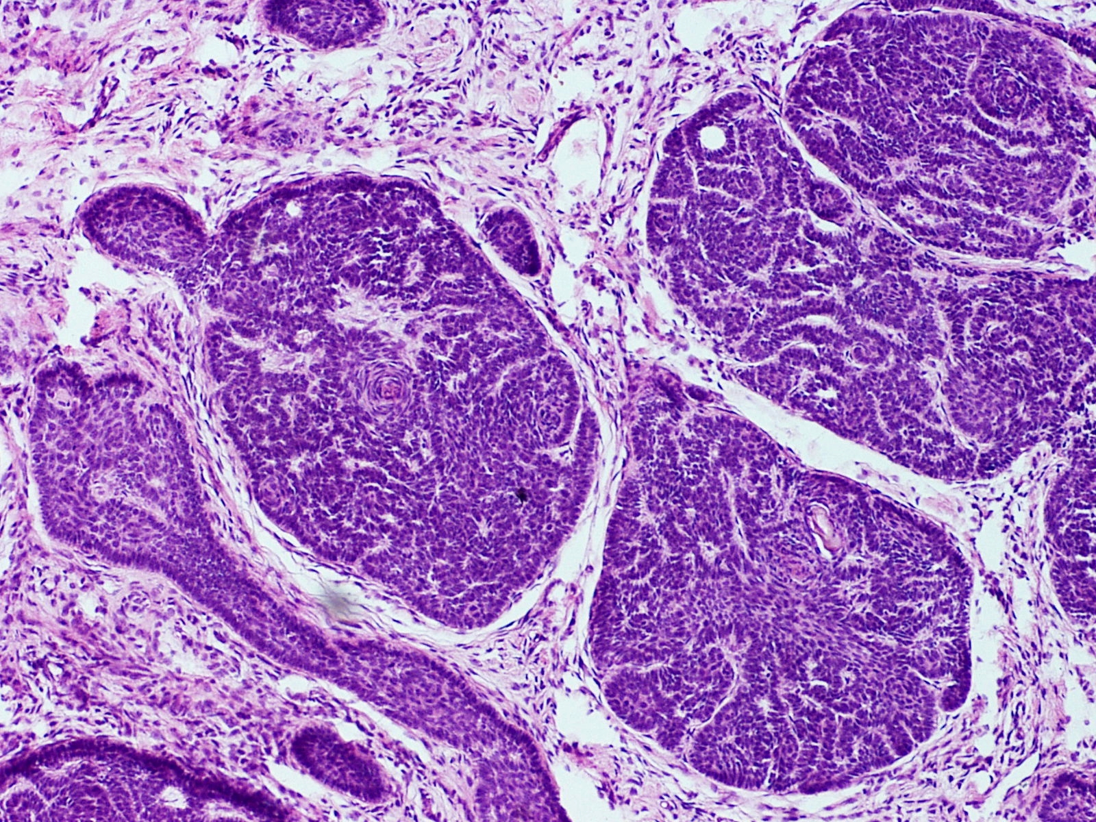
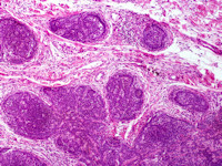
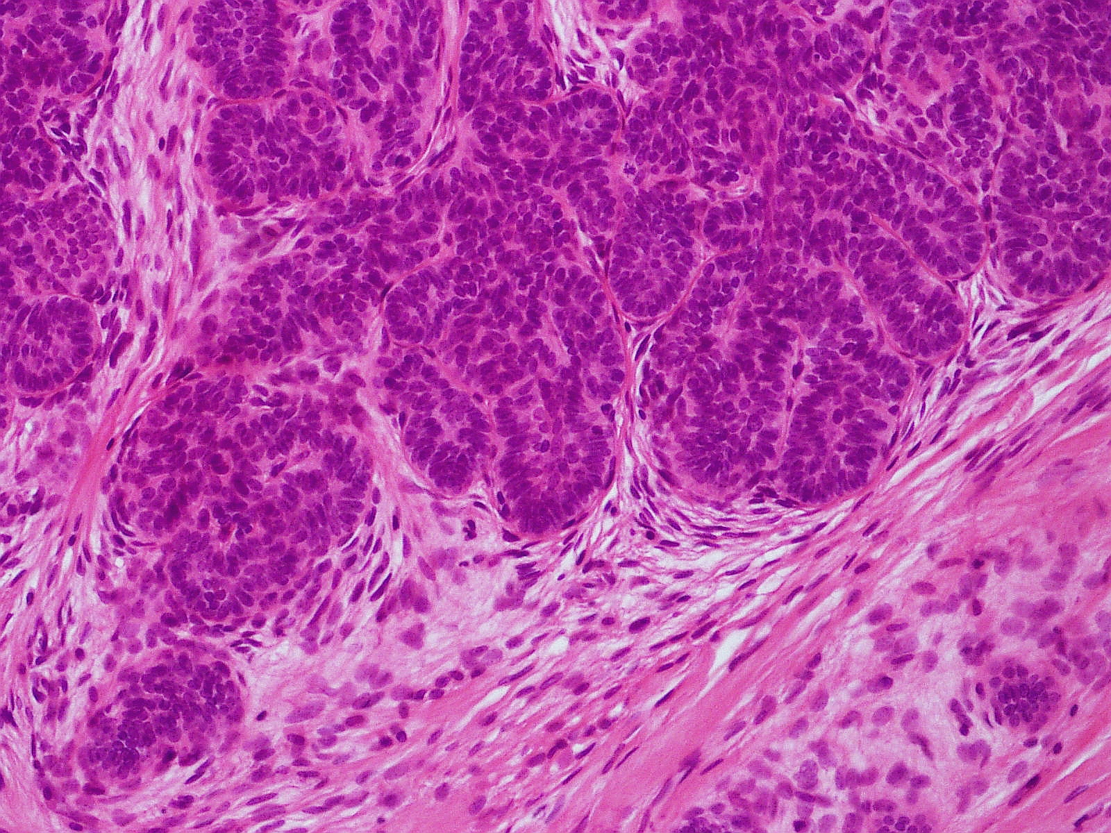
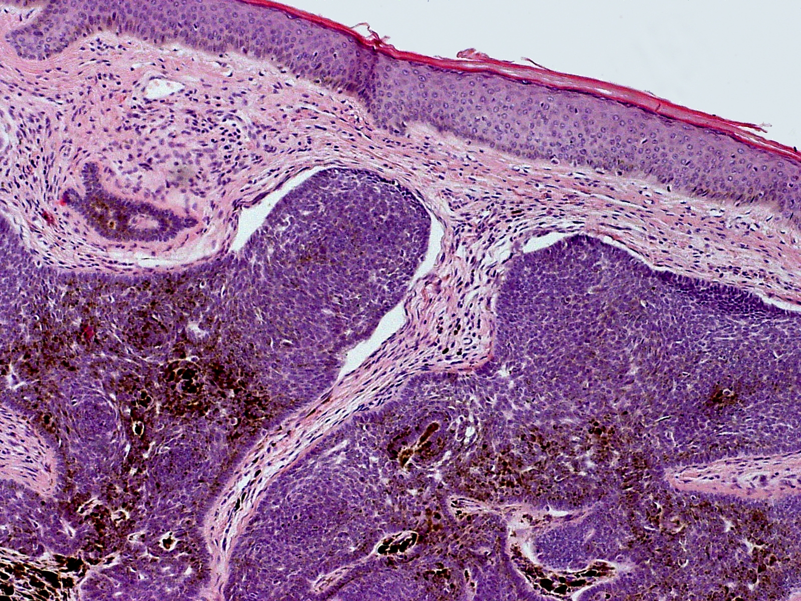
PA:
Goed afgrensbaar symmetrisch niet-invasief basaloid tumortje mid-dermaal of laag dermaal, zonder verbinding met de epidermis. Opgebouwd uit regelmatige velden basaloide cellen, die lijken op een basaalcelcarcinoom. Omgeven door een myxoid stroma. In tegenstelling tot een basaalcelcarcinoom geen of zeer weinig mitosen, geen necrose, geen ontstekingsinfiltraat. Immunohistochemie: onderscheid met BCC is te maken met CD10 (cluster of differentiation 10), CD34 (cluster of differentiation 34), CK20 (cytokeratin 20), PHLDA1 (pleckstrin homology-like domain family A member 1 (follicular stem cell)). Trichoblastomen worden door pathologen soms niet herkend en afgegeven als basaalcelcarcinoom.

Trichoblastoma Trichoblastoma
trichoblastoma trichoblastoma

Trichoblastoma Trichoblastoma
trichoblastoma trichoblastoma

PA-Foto's: L. Wozniak en K.W. Zielinski - Wikimedia (Creative Commons license 3.0).


Met trichoblastoma wordt meestal een nodulair trichoblastoom bedoeld. De dermatopatholoog Ackerman gebruikte de term trichoblastoma voor alle adnextumoren uitgaande van folliculaire kiemcellen, en onderscheidde vervolgens 7 subtypes: small nodular, large nodular, retiform (giant solitary trichoepithelioma), cribriform (classic trichoepithelioma), racemiform (non-classic trichoepithelioma), columnar (desmoplastic trichoepithelioma), en adamantinoid (cutaneous lymphadenoma).

Adnextumoren uitgaande van de haarfollikel:
Benigne:
- trichoblastoma
- trichofolliculoma
- trichoadenoma
- proliferating trichilemmal cyst/pilar tumor
- trichilemmoma
- desmoplastic trichilemmoma
- trichoepithelioma
- desmoplastisch trichoepithelioma
- pilomatrixoma
- infundibuloma
- pilar sheath acanthoma
- trichogerminoma
- basaloid follicular hamartoma
- basaloid epidermal proliferation overlying dermal mesenchymal lesions

Maligne:
- trichilemmal carcinoma
- trichoblastic carcinoma
- malignant proliferating trichilemmal cyst
- pilomatrix carcinoma


Referenties
1. Patel P, Nawrocki S, Hinther K, Khachemoune A. Trichoblastomas Mimicking Basal Cell Carcinoma: The Importance of Identification and Differentiation. Cureus 2020 May 25;12(5):e8272.
2. Schukow C, Ahmed A. Trichoblastoma and Trichoepithelioma. In: StatPearls [Internet]. Treasure Island (FL): StatPearls Publishing; 2023 Jan-. Available from: https://www.ncbi.nlm.nih.gov/books/NBK589680/.
3. Ghigliotti G, De Col E, Parodi A, Bombonato C, Argenziano G. Trichoblastoma: is a clinical or dermoscopic diagnosis possible? J Eur Acad Dermatol Venereol 2016;30:1978-1980.
4. Vega Memije ME, Luna EM, de Almeida OP, Taylor AM, Cuevas Gonzalez JC.  Immunohistochemistry panel for differential diagnosis of basal cell carcinoma and trichoblastoma. Int J Trichology 2014;6:40-44.
5. Rofagha R, Usmani AS, Vadmal M, Hessel AB, Pellegrini AE. Trichoblastic carcinoma: a report of two cases of a deeply infiltrative trichoblastic neoplasm.  Dermatol Surg 2001;27:663-666.


Author(s):
dr. Jan R. Mekkes. Dermatologist, Amsterdam UMC.

25-11-2023 (JRM) - www.skin-diseases.eu Terug naar homepagina



Diagnosis codes:
ICD10 D23.9 Overige benigne neoplasma van huid, niet gespecificeerd: trichoblastoom
ICD10 D23.9 Other benign neoplasms of skin, unspecified: trichoblastoma
SNOMED 277942005 Trichoblastoma
DBC 3 Benigne tumoren