Talgklierhyperplasie (
sebaceous gland
hyperplasia,
seniele talgklierhyperplasie)
is een benigne afwijking, een lokale ophoping van
multipele talgkliertjes.
Het is niet duidelijk waardoor het ontstaat. Wordt soms naevus sebaceus senilis
genoemd, maar het is geen naevus. Klinisch zijn het gelige subepidermale papels,
vooral op voorhoofd en wangen, meestal bij oudere patiënten met seborrhoea.
Kan door teleangiëctasieën sterk op een basaalcelcarcinoom lijken. Met dermatoscopie
is het onderscheid te maken, er zitten multipele witte of witgele ronde noduli
in. Talgklierhyperplasie, ook eruptieve talgklierhyperplasie kan een
bijwerking zijn van ciclosporine voorgeschreven bij patiënten met een
donornier. Ook bij tacrolimus oraal is dat beschreven.
![Talgklier hyperplasie (click on photo to enlarge) [source: www.huidziekten.nl] Talgklier hyperplasie](../../../images/talgklierhyperplasie-1z.jpg) |
![Talgklier hyperplasie (click on photo to enlarge) [source: www.huidziekten.nl] Talgklier hyperplasie](../../../images/talgklierhyperplasie-2z.jpg) |
![Talgklier hyperplasie (click on photo to enlarge) [source: www.huidziekten.nl] Talgklier hyperplasie](../../../images/talgklierhyperplasie-3z.jpg) |
| talgklier
hyperplasie |
talgklier
hyperplasie |
talgklier
hyperplasie |
![Talgklier hyperplasie (click on photo to enlarge) [source: www.huidziekten.nl] Talgklier hyperplasie](../../../images/talgklierhyperplasie-4z.jpg) |
![Talgklier hyperplasie (click on photo to enlarge) [source: www.huidziekten.nl] Talgklier hyperplasie](../../../images/talgklierhyperplasie-5z.jpg) |
![Talgklier hyperplasie (click on photo to enlarge) [source: www.huidziekten.nl] Talgklier hyperplasie](../../../images/talgklierhyperplasie-6z.jpg) |
| talgklier
hyperplasie |
talgklier
hyperplasie |
dermatoscopie |
DD: basaalcelcarcinoom,
folliculo-sebaceous hamartoma,
haarfollikelnaevus,
dermale naevus,
trichoepithelioma, overige
adnextumortjes.
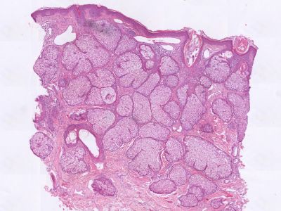
Histologie:
Het histologisch beeld wordt gekenmerkt door multipele talgklieren, welke in
de oppervlakkige dermis gelegen zijn rondom een centraal gedilateerde haarfollikel.
Deze is veelal gevuld met debris, bacteriën en soms een vellus haar (1,2). De
sebocyten zijn in aantal toegenomen en zijn kleiner. In tegenstelling tot normale
talgklieren zijn er vaak geen fibreuze septa zichtbaar tussen de individuele
talgklieren (2).
![Histologie talgklierhyperplasie (click on photo to enlarge) [source: Kevin Kwee / Afdeling Pathologie MUMC] Histologie talgklierhyperplasie](../../../pacoupes/thumbnails/talgklierhyperplasie-1.jpg) |
![Histologie talgklierhyperplasie (click on photo to enlarge) [source: Kevin Kwee / Afdeling Pathologie MUMC] Histologie talgklierhyperplasie](../../../pacoupes/thumbnails/talgklierhyperplasie-2.jpg) |
![Histologie talgklierhyperplasie (click on photo to enlarge) [source: Kevin Kwee / Afdeling Pathologie MUMC] Histologie talgklierhyperplasie](../../../pacoupes/thumbnails/talgklierhyperplasie-3.jpg) |
|
ingescande coupe (zoom) |
ingescande coupe (zoom) |
ingescande coupe (zoom) |
Bron
hoge resolutie PA-foto's: Kevin Kwee en Afdeling Pathologie MUMC. Klik
op de afbeelding om in te zoomen.
Dermatoscopie:Multipele witte of gele ronde noduli,
deze noduli zijn de hyperplastische talgklieren. In sommige ervan is de opening
te zien als een kleine bruine of donkerbruine krater. De gele noduli worden
omgeven door enkele bloedvaten die nauwelijks vertakken (niet zoals de veel
vertakkende
arborizing vessels bij
een basaalcelcarcinoom), en die niet over de middellijn heen gaan. Dit worden
crown vessels genoemd, en dit patroon is specifiek
voor talgklierhyperplasie (3).
Therapie: expectatief, desgewenst curettage, coagulatie,
excisie, laser-behandeling (CO2-laser).
Referenties
| 1. |
Lazar AJ, McKee PH. Tumors and related lesions
of the sebaceous glands. In: McKee PH, Calonje E, Granter SR. Pathology
of the Skin with Clinical Correlations. 3rd ed. Elsevier Mosby:2005;1566-1568. |
| 2. |
Weedon D. Tumours of cutaneous appendages.
In: Weedon's Skin Pathology. 3th ed. Churchill Livingstone; 2010:773-774. |
| 3. |
Martína JM, Bella-Navarroa R, Jordáa E. Vascular
Patterns in Dermoscopy. Actas Dermosifiliogr 2012;103:357-375. |
| 4. |
Engel F, Ellero B, Woehl-Jaegle, ML,
Cribier B. Diffuse sebaceous hyperplasia of the face induced by
cyclosporine. Annales de dermatologie et de vénéréologie
2005;132:342-345. |
| 5. |
Levandoski KA, Girardi NA, Loss MJ.
Eruptive sebaceous hyperplasia as a side effect of oral
tacrolimus in a renal transplant recipient. Dermatol Online J
2017 May 15;23(5):13030/qt7x0125gz. |
Author(s):Mary-Ann el Sharouni. Co-assistent, UMC
Utrecht.
Norbert A. Ipenburg. Co-assistent, UMC Utrecht.
Prof. dr. Marijke
R. van Dijk. Patholoog, UMC Utrecht.
dr. Jan R. Mekkes. Dermatologist, Amsterdam UMC.