Een syringoom is een benigne
adnextumortje,
uitgaande van eccriene cellen die onderdeel uitmaken van de afvoergangen van
zweetklieren. De naam is afgeleid van het griekse woord syrinx, wat buis betekent.
Ze ontstaan meestal rond de puberteit, vaker bij vrouwen dan bij mannen. De
oorzaak is niet bekend.
Klinisch beeld: symmetrisch
kleine huidkleurige of gelige bolronde papeltjes tot 3 mm grootte, soms doorzichtig.
Voorkeurslokalisatie: bovenste gedeelte van de wangen, vooral onder de ogen,
of op het onderste ooglid. Kan ook op andere plaatsen voorkomen, zoals de penis,
vulva, borst, buik, oksels. Ook een
eruptieve
vorm bestaat.
![Syringoma (click on photo to enlarge) [source: www.huidziekten.nl] Syringoma](../../../images/syringoma1z.jpg) |
![Syringoma (click on photo to enlarge) [source: www.huidziekten.nl] Syringoma](../../../images/syringoma2z.jpg) |
| syringoma |
syringoma |
![Syringoma (click on photo to enlarge) [source: www.huidziekten.nl] Syringoma](../../../images/syringoma3z.jpg) |
![Syringoma (click on photo to enlarge) [source: www.huidziekten.nl] Syringoma](../../../images/syringoma4z.jpg) |
| syringoma |
eruptieve
syringomen |
DD: basaalcelcarcinoom,
trichoepithelioma,
apocrine hidrocystoma,
milia,
colloid milia,
milia-like calcinosis cutis,
talgklierhyperplasie,
acne,
xanthelasmata,
granuloma annulare disseminata,
ziekte van Cowden,
Favre-Racouchot syndroom.
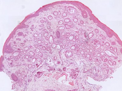
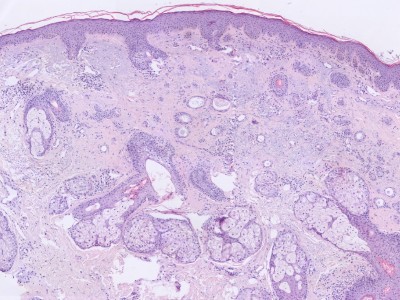
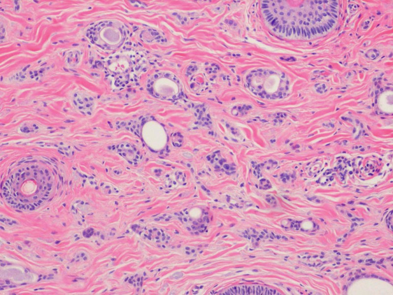
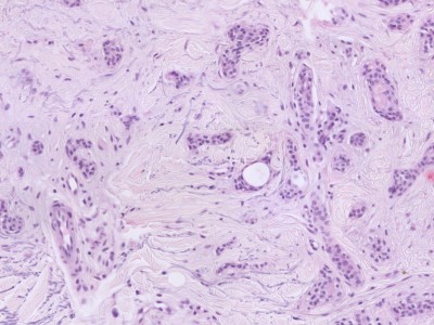
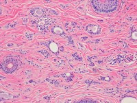
PA: Karakteristiek is het zien van kikkervisjes (tadpole),
een ronde structuur met een staartje eraan. Dit zijn schuin aangesneden buisstructuren.
Therapie:Syringomen zijn moeilijk te behandelen
omdat het er heel veel kunnen zijn en omdat na verwijdering er op andere plaatsen
weer nieuwe kunnen ontstaan. De meeste technieken bestaan uit lokale destructie.
Als niet-destructieve behandelingen worden genoemd (weinig evidence, vermoedelijk
teleurstellend) lokaal atropinesulfaat 1% 1-2 dd, Botox injecties, isotretinoïne.

Elektrocoagulatie
met een fijne naald.

Elektrocoagulatie
gecombineerd met curettage.

Cryotherapie
met 2-4 mm gesloten probe.

Excisie middels
een 2-3 mm punch biopt (open laten).

Afknippen
of snijden in niveau van de huid.

Applicatie
van trichloorazijnzuur.

Laserbehandeling
(CO2, Erbium YAG laser, pulsed-dye laser, fractionele lasers).

Dermabrasie.
Author(s):dr. Jan R. Mekkes. Dermatologist, Amsterdam UMC.