Een
sebaceoma is een benigne tumor uitgaande van de
talgklieren, opgebouwd uit basaloïde cellen en rijpe sebocyten. Een oudere naam
hiervoor is
epithelioma sebaceum (carcinoma sebaceum
adenomatoides, carcinoma sebaceum basocellulare, sebaceous epithelioma). Het
begrip
epithelioom wordt echter niet zo
vaak meer gebruikt omdat het een onduidelijke term is, waarmee soms carcinomen
worden bedoeld maar soms ook benigne huidtumoren. Epithelioma sebaceum kan duiden
op een goed gedifferentieerd talgkliercarcinoom (
sebaceous carcinoma),
maar ook op een
basaalcelcarcinoom met talgklierdifferentiatie,
of andere
sebaceous proliferations of uncertain potential.
In plaats van epithelioma sebaceum kan beter de term
sebaceoma
worden gebruikt. Hiermee wordt bedoeld een benigne tumor uitgaande van de talgklier.
Een andere benigne tumor uitgaande van de talgklier is het
talgklieradenoom (
sebaceous
adenoma). Beide tumoren lijken erg op elkaar; de term sebaceoma
wordt gebruikt voor tumoren met > 50% basaloïde cellen, en de term sebaceous
adenoma voor tumoren met < 50% basaloïde cellen.
De meeste tumoren
uitgaande van de talgklier zijn benigne (
sebaceous adenoma
en
sebaceoma). Er zijn ook basaalcelcarcinomen met
een talgklier differentiatie, deze zijn alleen lokaal invasief en worden behandeld
als een basaalcelcarcinoom. En er zijn maligne
talgkliercarcinomen
die zich gedragen als een plaveiselcelcarcinoom (
sebaceous carcinoma).
Zie ook onder
adnextumoren.
De
drie varianten sebaceous adenoma, sebaceoma en sebaceous carcinoma kunnen tegelijkertijd
en in grote aantallen voorkomen bij het
Muir-Torre syndroom.
![Sebaceous adenomas bij het Muir-Torre syndroom (click on photo to enlarge) [source: www.huidziekten.nl] Sebaceous adenomas bij het Muir-Torre syndroom](../../../images/Muir-Torre-syndroom-sebaceous-adenoma-2z.jpg) |
![Sebaceous epithelioma bij het Muir-Torre syndroom (click on photo to enlarge) [source: www.huidziekten.nl] Sebaceous epithelioma bij het Muir-Torre syndroom](../../../images/Muir-Torre-syndroom-sebaceous-epithelioma-1z.jpg) |
![Talgkliercarcinoom [bron: www.huidziekten.nl] Talgkliercarcinoom](../../../images/talgkliercarcinoom-1z.jpg) |
| sebaceous
adenoma |
sebaceoma |
sebaceous
carcinoma |
![Sebaceous epithelioma (click on photo to enlarge) [source: www.huidziekten.nl] Sebaceous epithelioma](../../../images/epithelioma-sebaceum-1z.jpg) |
![Sebaceous epithelioma (click on photo to enlarge) [source: www.huidziekten.nl] Sebaceous epithelioma](../../../images/epithelioma-sebaceum-2z.jpg) |
![Sebaceous epithelioma (click on photo to enlarge) [source: www.huidziekten.nl] Sebaceous epithelioma](../../../images/epithelioma-sebaceum-3z.jpg) |
| sebaceoma |
sebaceoma |
sebaceoma |
![Talgkliercarcinoom [bron: www.huidziekten.nl] Talgkliercarcinoom](../../../images/talgkliercarcinoom-2z.jpg) |
![Talgkliercarcinoom [bron: www.huidziekten.nl] Talgkliercarcinoom](../../../images/talgkliercarcinoom-3z.jpg) |
![Talgkliercarcinoom [bron: www.huidziekten.nl] Talgkliercarcinoom](../../../images/talgkliercarcinoom-4z.jpg) |
| talgkliercarcinoom |
talgkliercarcinoom |
talgkliercarcinoom |
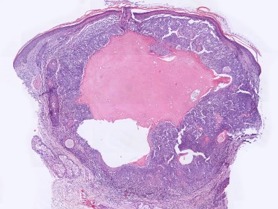
PA sebaceoma:
Tumor uitgaande van talgklier met > 50% basaloïde cellen. De cellen hebben een gevacuoliseerd cytoplasma, passend bij sebaceuze cellen.
![Histologie sebaceoma (click on photo to enlarge) [source: Kevin Kwee / Afdeling Pathologie MUMC] Histologie sebaceoma](../../../pacoupes/thumbnails/sebaceoma.jpg) |
|
ingescande coupe (zoom) |
Bron
hoge resolutie PA-foto: Kevin Kwee en Afdeling Pathologie MUMC. Klik
op de afbeelding om in te zoomen.
Author(s):dr. Jan R. Mekkes. Dermatologist, Amsterdam UMC.