Het
trichoepithelioma (epithelioma adenoides cysticum)
is een benigne tumor uitgaande van de haarfollikel, waarbij kleine keratinecysten
aanwezig kunnen zijn uitgaande van de buitenste haarschacht-cellen. Er worden
drie verschillende vormen onderscheiden:
1. Solitair tricho-epithelioom:
huidkleurige solitair voorkomende papels met een voorkeur voor de neus, onderlip
en kaken. De afwijkingen zijn tot 0.5 centimeter groot.
2. Multipele tricho-epitheliomen:
kleinere papels die zich voornamelijk in het centrale deel van het gezicht voordoen.
3.
Desmoplastisch tricho-epithelioom: histologische variant van tricho-epithelioom,
die zich bijna alleen maar voordoet in het gelaat. Er bestaat een predispositie
voor vrouwen en voor relatief jong volwassenen. De patiënten presenteren zich
met asymptomatische solitaire harde annulaire laesies met een opgeworpen rand
en een ingedeukt centrum.
Klinisch beeld:Symmetrisch
in het gelaat kleine huidkleurige, gelige, glanzende papeltjes.
![Trichoepithelioma (click on photo to enlarge) [source: www.huidziekten.nl] Trichoepithelioma](../../../images/trichoepithelioma1z.jpg) |
![Trichoepithelioma (click on photo to enlarge) [source: www.huidziekten.nl] Trichoepithelioma](../../../images/trichoepithelioma2z.jpg) |
| trichoepithelioom |
multipele
trichoepitheliomen |
DD: adenoma
sebaceum,
cylindroma,
syringoma, andere
adnextumortjes,
basaalcelcarcinoom,
milia,
mollusca,
multipele miliaire osteomen,
Muir-Torre syndroom.
Multipele trichoepitheliomenTrichoepitheliomen (epithelioma
adenoides cysticum) kunnen familiair voorkomen (
multipele familiaire
tricho-epitheliomen). Dit komt geïsoleerd voor maar ook in het
kader van syndromen zoals het
Brooke-Spiegler syndroom
(tricho-epitheliomen, cylindromen en soms spiradenomen), het
Rombo-syndroom
(atrophoderma vermiculata, milia, hypotrichose, tricho-epitheliomen, basaalcelcarcinomen
en perifere vasodilatatie met cyanose) en het
Bazex-syndroom
(folliculaire atrophoderma, hypotrichose, basaalcelcarcinomen, gelokaliseerde
of gegeneraliseerde hypohidrose en soms tricho-epitheliomen en/of multipele
milia). Een defect in CYLD gen is verantwoordelijk voor het ontstaan van multipele
familiaire tricho-epitheliomen. Multipele tricho-epitheliomen presenteren zich,
meestal vanaf de adolescentie, als huidkleurige papels of kleine noduli in het
gezicht, met een voorkeur voor de nasolabiaal plooien, de nek en het bovenste
deel van de romp. De laesies zijn symmetrisch en scherp omschreven. Een aantal
patiënten toont plaques en tumoren als gevolg van het conflueren van de laesies.
Multipele tricho-epitheliomen kunnen (zelden) geassocieerd zijn met alopecia
bij SLE en myasthenia gravis, cerebraal aneurysma, en amyloidosis.
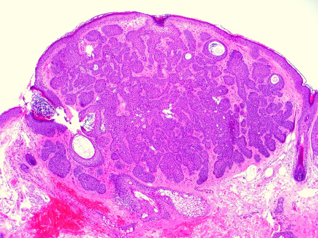
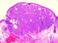
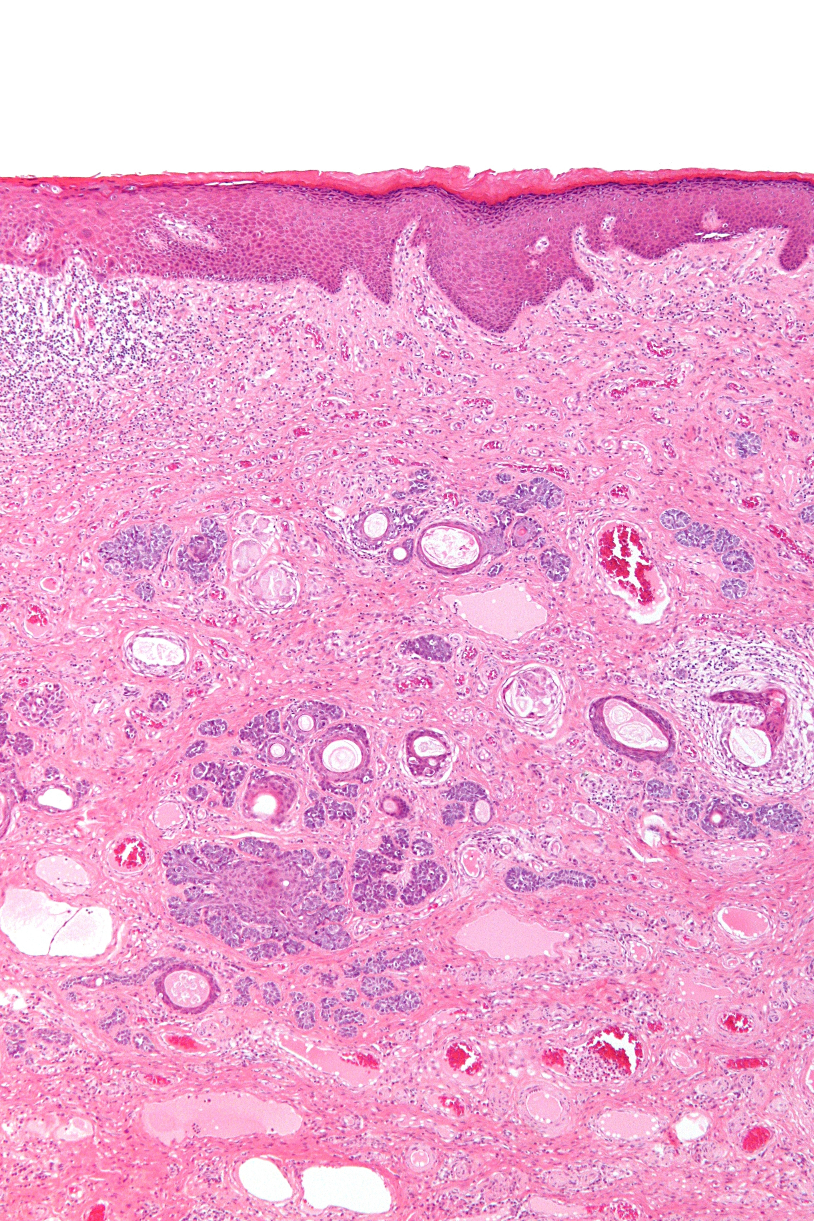
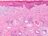
Histologie:Eilandjes van relatief monomorfe basaloïde cellen,
waarbij soms sprake is van perifere afzetting van de kernen. Deze ophoping van
cellen is in het bovenste deel van de dermis gelegen en vormt soms een continuïteit
met de epidermis. De eilandjes worden omgeven door een overmatige hoeveelheid
celrijk, fibreus stroma met buisformatie. Er kunnen tevens kleine hoorncysten,
omgeven door gelaagd plaveiselcelepitheel, uitgaande van de buitenste haarschachtcellen,
gezien worden. De hoorncysten kunnen ruptureren met een vreemdlichaam reuscelreactie
op vrij keratine tot gevolg. Foci van papillaire mesenchymale lichaampjes, oftewel
rudimentaire folliculaire papillen, zijn typisch.
![Trichoepithelioma (click on photo to enlarge) [source: Ed Uthman - Wikimedia - Creative Commons License 2.0] Trichoepithelioma](../../../images/trichoepithelioma3z.jpg) |
![Trichoepithelioma (click on photo to enlarge) [source: Michael Bonert (Nephron) - Wikimedia - Creative Commons License 3.0] Trichoepithelioma](../../../images/trichoepithelioma4z.jpg) |
| PA trichoepithelioom |
PA trichoepithelioom |
PA-Foto's: Ed Uthman en Michael Bonert (Nephron) - Wikimedia (Creative Commons License
2.0
/
3.0).
Therapie:Aangezien het een benigne huidtumor betreft,
is chirurgische excisie niet noodzakelijk. Multipele tricho-epitheliomen in
het gelaat kunnen cosmetisch storend zijn. Gezien het grote aantal laesies is
excisie meestal nauwelijks uitvoerbaar. Elektrocoagulatie of behandeling met
de CO2 laser is een optie.

Excisie middels
een punchbiopt, eventueel met hechting. Dit is alleen uitvoerbaar bij een klein
aantal, niet al te grote laesies.

Elektrocoagulatie

Cryotherapie

Dermabrasie

CO2-laser,
Erbium YAG laser, Argonlaser.
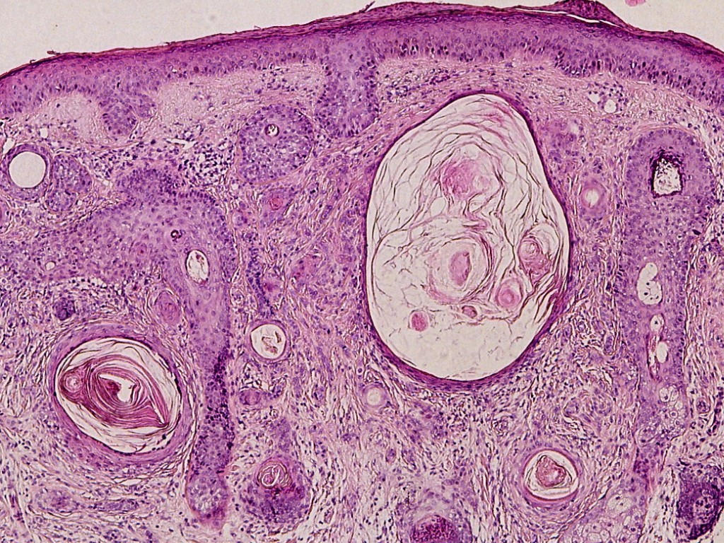
Desmoplastisch trichoepithelioma
Variant van trichoepithelioom, solitair en niet-familiair. Asymptomatische solitaire
harde annulaire laesies met een opgeworpen rand en een ingedeukt centrum. Het
desmoplastisch trichoepithelioom
kenmerkt zich door langzame groei, soms door locaal invasieve proliferatie van
weefsel waarin overwegend haarfollikel elementen voorkomen. Histopathologisch
zijn er drie kenmerken: 1. aanwezigheid van veel met hoorn gevulde cysten; 2.
aanwezigheid van ketens van kleine, basofiele tumorcellen; 3. een dicht fibreus
stroma dat de eerste twee structuren omringt. De opvallende uitgesproken palissadering
zoals bij het basaalcelcarcinoom is afwezig. Er is wel overeenkomst met het
sclerosend basaalcelcarcinoom, dat echter veel minder cysten heeft.
![Desmoplastisch trichoepithelioma (click on photo to enlarge) [source: www.huidziekten.nl] Desmoplastisch trichoepithelioma](../../../images/desmoplastisch-trichoepithelioom-1z.jpg) |
![Desmoplastisch trichoepithelioma (click on photo to enlarge) [source: www.huidziekten.nl] Desmoplastisch trichoepithelioma](../../../images/desmoplastisch-trichoepithelioom-3z.jpg) |
desmoplastisch
trichoepithelioom |
desmoplastisch
trichoepithelioom |
Therapie:Bij vermoeden op maligne verandering naar
basaalcelcarcinoom is excisie de eerste keus van behandeling. Een andere reden
voor excisie is cosmetisch. Het
desmoplastisch trichoepithelioom
kan ook zonder maligne degeneratie doorgroeien en kan om die reden geëxcideerd
worden.
Referenties
| 1. |
Weedon D. Tumours of cutaneous appendages.
In: Weedon D. Skin Pathology. 2nd Ed. London: Churchill Livingstone,
Elsevier, 2002:861-863. |
| 2. |
Young AL, Kellermayer R, Szigeti R, Tészás
A, Azmi S, Celebi JT. CYLD mutations underlie Brooke-Spiegler, familial
cylindromatosis, and multiple familial trichoepithelioma syndromes.
Clin Genet 2006;70:246-249. |
| 3. |
van Steensel MAM, Jaspers NGJ, Steijlen PM.
A case of Rombo syndrome. Br J Dermatol 2001;144:1215-1218. |
| 4. |
Smit JV, van Rossum MM, Blokx WAM, Bauland
CG, Gerritsen MJP. Basaalcelcarcinoom en trichoepithelioom. Nederland
Tijdschr Dermatol Venereol 2005;15:196-198. |
| 5. |
Lum CA, Binder SW. Proliferative characterization
of basalcell carcinoma and trichoepithelioma in small biopsy specimens.
J Cutan Pathol 2004;31:550-554. |
| 6. |
van der Velden HMJ, Erceg A, van Dooren-Greebe
RJ, Nooijen P, Janssens RWA. Kliniek en behandeling van multipele
familiaire trichoepitheliomen: beschrijving van een casus en een
overzicht van de literatuur. |
Author(s):dr. Jan R. Mekkes. Dermatologist, Amsterdam UMC.