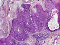
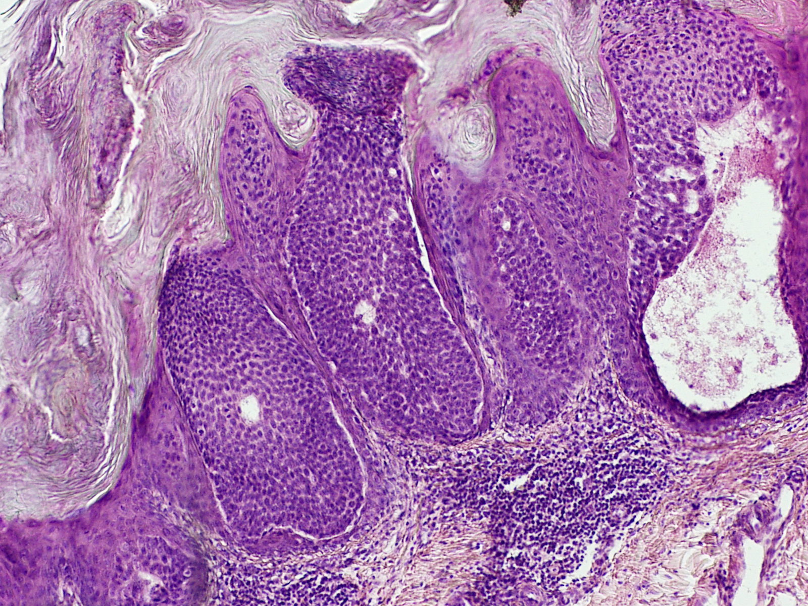
Hidroacanthoma simplex (synoniemen: intraepidermal
acrospiroma en intraepidermal eccrine poroma) is een benigne
adnextumortje opgebouwd uit dezelfde soort
acrosyringeale cellen die ook voorkomen in
eccrine poroma en
dermal duct tumor. Het hidroacanthoma
simplex kan dan ook beschouwd worden als een subtype eccrien poroma met een
bijzondere opbouw. Het is eerder een diagnose die op de PA zal worden gesteld
dan op de kliniek.
![Hidroacanthoma simplex (click on photo to enlarge) [source: www.huidziekten.nl] Hidroacanthoma simplex](../../../images/hidroacanthoma-simplex-1z.jpg) |
![Hidroacanthoma simplex (click on photo to enlarge) [source: www.huidziekten.nl] Hidroacanthoma simplex](../../../images/hidroacanthoma-simplex-2z.jpg) |
| hidroacanthoma simplex |
hidroacanthoma simplex |
![Hidroacanthoma simplex (click on photo to enlarge) [source: L. Wozniak en K.W. Zielinski - Wikimedia - Creative Commons License 3.0] Hidroacanthoma simplex](../../../images/hidroacanthoma-simplex-3z.jpg) |
![Histologie hidroacanthoma simplex (click on photo to enlarge) [source: Kevin Kwee / Afdeling Pathologie MUMC] Histologie hidroacanthoma simplex](../../../pacoupes/thumbnails/hidroacanthoma-simplex.jpg) |
| hidroacanthoma simplex |
ingescande coupe (zoom) |
PA-Foto links:
L. Wozniak en K.W. Zielinski - Wikimedia (Creative Commons License
3.0).
Hoge resolutie PA-foto rechts: Kevin Kwee en Afdeling Pathologie MUMC. Klik
op de afbeelding om in te zoomen.
Author(s):dr. Jan R. Mekkes. Dermatologist, Amsterdam UMC.