Een
trichilemmoom is een benigne folliculaire tumor uitgaande van
de haarschacht. Klinisch zijn het kleine exofytisch groeiende verruceuze papels, meestal in het hoofd-hals gebied, vooral centraal in het gelaat. Multipele trichilemmomen kunnen voorkomen bij het
Cowden syndroom, een autosomaal dominante genodermatose veroorzaakt door een mutatie in het PTEN tumor-suppressor gen. De diagnose wordt meestal niet gesteld op het klinisch beeld, maar achteraf, door de patholoog.
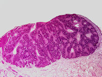
![Trichilemmoom (click on photo to enlarge) [source: www.huidziekten.nl] Trichilemmoom](../../../images/trichilemmoom-1z.jpg) |
![Cowden syndroom (click on photo to enlarge) [source: www.huidziekten.nl] Cowden syndroom](../../../images/Cowden-disease-4z.jpg) |
| trichilemmoma |
trichilemmomen bij Cowden |
![Trichilemmoom (click on photo to enlarge) [source: www.huidziekten.nl] Trichilemmoom](../../../images/trichilemmoom-2z.jpg) |
![Trichilemmoom (click on photo to enlarge) [source: www.huidziekten.nl] Trichilemmoom](../../../images/trichilemmoom-3z.jpg) |
| trichilemmoma |
trichilemmoma |
DD: verruca vulgaris, basaalcelcarcinoom,
plaveiselcelcarcinoom, inverted follicular keratosis, trichilemmaal
carcinoom, Zie ook onder
adnextumortjes.
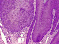
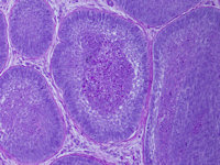
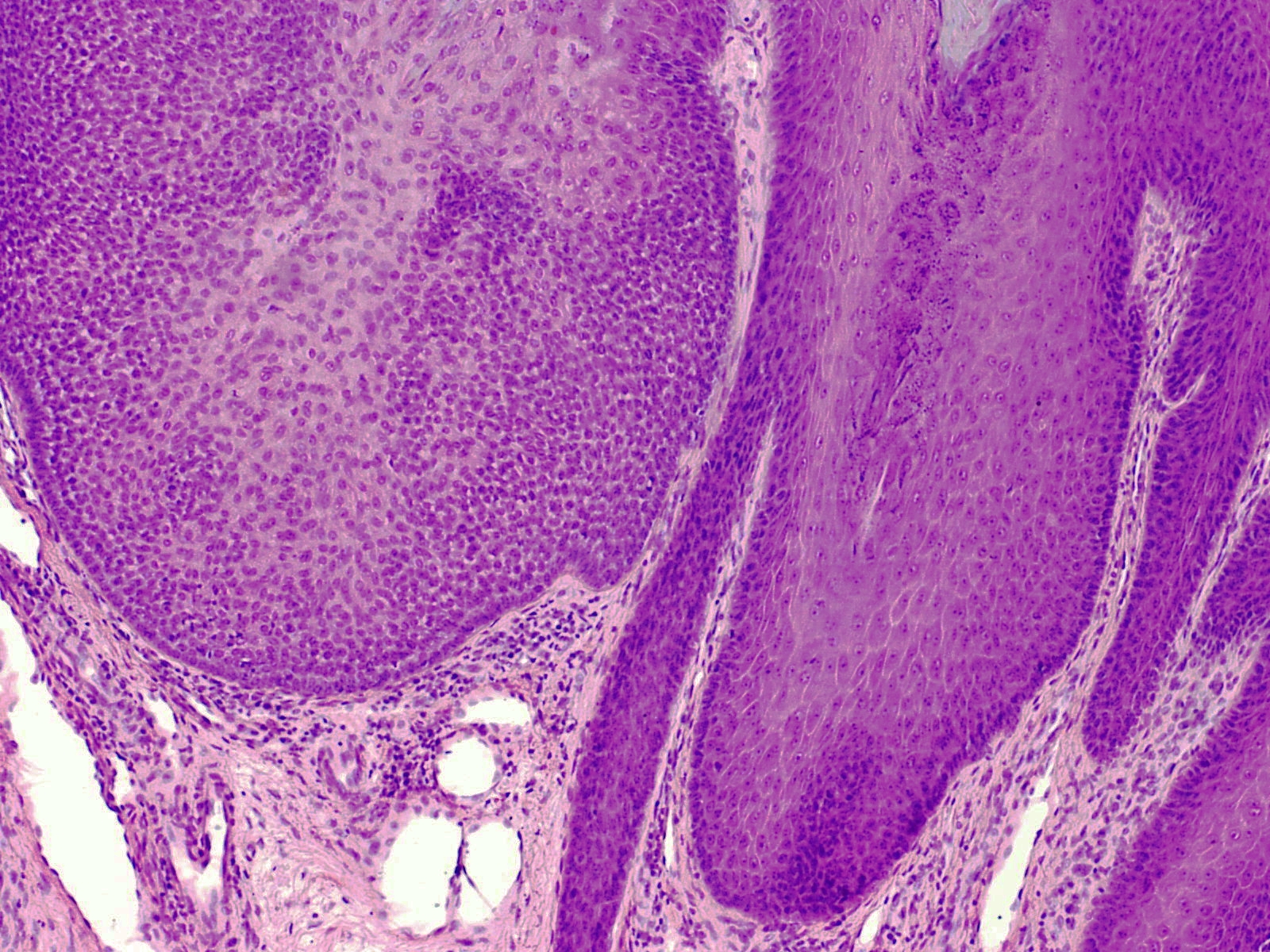
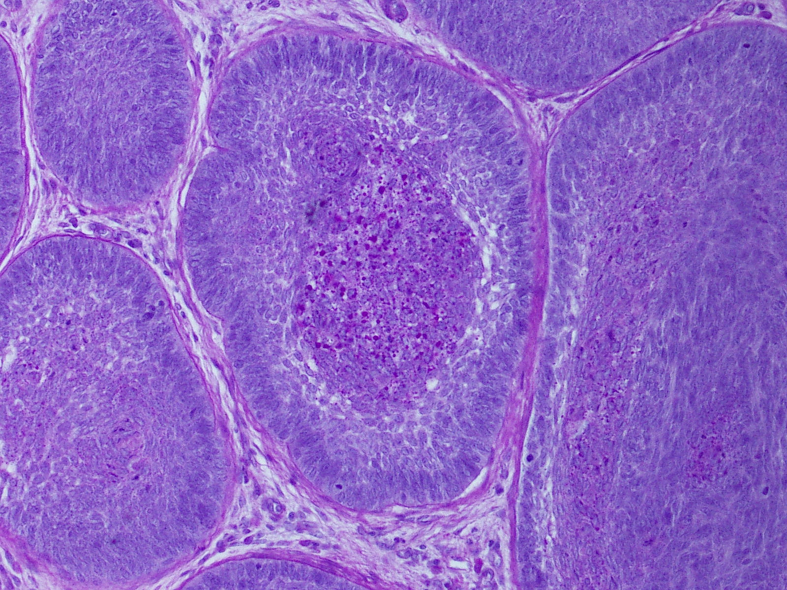
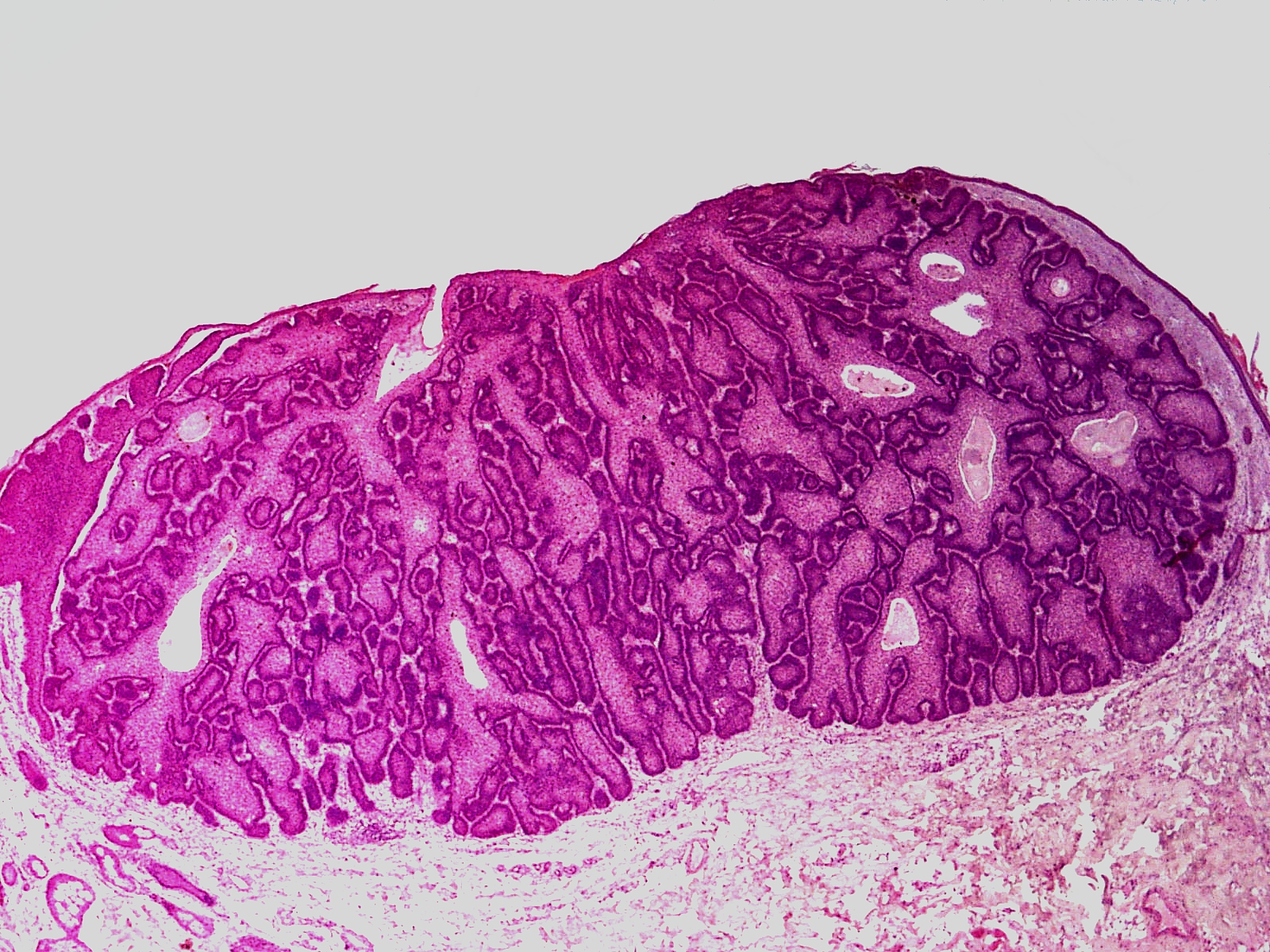
PA:Goed afgrensbaar vaak rond, lobulair tumortje opgebouwd uit plaveiselcellen zonder atypie. In verbinding met de epidermis. Meestal met hyperkeratose. De cellen kunnen basaloid aankleuren waardoor het kan lijken op een basaalcelcarcinoom. Er is ook randpallisadering, met cuboidale of columnar cellen op een duidelijk zichtbare basaalmembraan, waarbij de celkernen hoog kunnen liggen (reverse polarity). Andere componenten die gezien kunnen worden bleke eosinofiele cellen, clear cells, desmoplasie, squamous morules (squamous eddies), en centraal mucine depositie.
![Trichilemmoma (click on photo to enlarge) [source: L. Wozniak en K.W. Zielinski - Wikimedia - Creative Commons license 3.0] Trichilemmoma](../../../images/trichilemmoma-4z.jpg) |
![Trichilemmoma (click on photo to enlarge) [source: L. Wozniak en K.W. Zielinski - Wikimedia - Creative Commons license 3.0] Trichilemmoma](../../../images/trichilemmoma-5z.jpg) |
![Trichilemmoma (click on photo to enlarge) [source: L. Wozniak en K.W. Zielinski - Wikimedia - Creative Commons license 3.0] Trichilemmoma](../../../images/trichilemmoma-6z.jpg) |
| trichilemmoma |
trichilemmoma |
trichilemmoma |
PA-Foto's:
L. Wozniak en K.W. Zielinski - Wikimedia (Creative Commons license
3.0).
Therapie:

Excisie.
Author(s):dr. Jan R. Mekkes. Dermatologist, Amsterdam UMC.