Een
eccrien hidrocystoma (
eccrine
cystadenoma) is een zeldzame, goedaardige
zweetklier retentiecyste, klinisch meestal een solitair blauwig
doorschemerend tumortje rond de ogen. De hidrocystomen zitten met name in
het hoofd hals gebied en worden onderverdeeld in eccrien en apocrien.
De
eccriene hidrocystomen zijn kleine (1-6 mm) met zweet gevulde dunwandige,
lichtblauwig doorschemerende cysten, meestal solitair (Smith type), soms
multipel (Robinson type). Bij openen lopen zweetdruppels af. Ze komen vooral
voor bij vrouwen en de voorkeursplaatsen zijn rond de ogen of op de wangen.
Tijdens warm of vochtig weer kunnen ze toenemen in grootte of aantal (door
zweetproductie). Eccriene hidrocystomen komen vooral bij volwassen voor
(30-70 jaar). Solitaire zijn gelijk verdeeld over mannen en vrouwen,
multipele komen vooral bij vrouwen voor.
Apocriene hidrocystomen
(
apocrine cystadenoma) zijn
meestal solitair en kunnen iets groter worden (3-15 mm). Ze zitten meestal
op de oogleden, vooral in de mediale ooghoek, en zijn iets donkerder getint
dan eccriene hidrocystomen, soms huidkleurig of blauwzwart. De cysten geven
geen klachten, nemen verder niet toe in grootte en worden ook niet groter
bij warm weer.
![Eccrien hidrocystoma (click on photo to enlarge) [source: www.huidziekten.nl] Eccrien hidrocystoma](../../../images/eccrien-hidrocystoma-1z.jpg) |
![Eccrien hidrocystoma (click on photo to enlarge) [source: www.huidziekten.nl] Eccrien hidrocystoma](../../../images/eccrien-hidrocystoma-2z.jpg) |
| eccrien hidrocystoma |
eccrien hidrocystoma |
![Apocrien hidrocystoma (click on photo to enlarge) [source: www.huidziekten.nl] Apocrien hidrocystoma](../../../images/apocrien-hidrocystoma-1z.jpg) |
![Apocrien hidrocystoma (click on photo to enlarge) [source: www.huidziekten.nl] Apocrien hidrocystoma](../../../images/apocrien-hidrocystoma-2z.jpg) |
| apocrien hidrocystoma |
apocrien hidrocystoma |
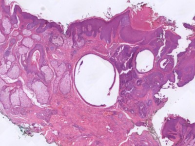
Histologie:Eccriene
hidrocystomen ontstaan door verwijding van de zweetklieren door blokkade van
de afvoergang. Histologisch gaat het om uniloculaire cysten, bekleed met 1
of 2 lagen cuboid epitheel. Ze zitten in de oppervlakkige en mid-dermale
huidlagen. In tegenstelling tot apocriene hidrocystomen worden er geen
apocriene secernerende cellen in het lumen gezien. Eccriene hidrocystomen
kleuren aan met S100 (althans het solitaire type), apocriene niet. De cyste
staat niet in verbinding met de epidermis. De PAS kleuring (periodic
acid-Schiff) is negatief.
![Histologie hidrocystoma (click on photo to enlarge) [source: Kevin Kwee / Afdeling Pathologie MUMC] Histologie hidrocystoma](../../../pacoupes/thumbnails/hidrocystoma.jpg) |
|
ingescande coupe (zoom) |
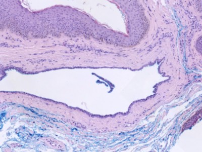
Apocriene hidrocystomen zijn uniloculair of
multiloculaire cysten. De cyste wand bestaat uit een enkele of dubbele laag
cuboid-columnair epitheel, omgeven door een myoepitheel laag. De inhoud is
PAS-positief. Zie ook de
ingescande PA-coupe van de
afdeling pathologie van de University of
Toronto.
![Histologie apocrien hidrocystoma (click on photo to enlarge) [source: Kevin Kwee / Afdeling Pathologie MUMC] Histologie apocrien hidrocystoma](../../../pacoupes/thumbnails/apocrien-hidrocystoma-1.jpg) |
![Histologie apocrien hidrocystoma (click on photo to enlarge) [source: Kevin Kwee / Afdeling Pathologie MUMC] Histologie apocrien hidrocystoma](../../../pacoupes/thumbnails/apocrien-hidrocystoma-2.jpg) |
![Histologie apocrien hidrocystoma (click on photo to enlarge) [source: Kevin Kwee / Afdeling Pathologie MUMC] Histologie apocrien hidrocystoma](../../../pacoupes/thumbnails/apocrien-hidrocystoma-3.jpg) |
|
ingescande coupe (zoom) |
ingescande coupe (zoom) |
ingescande coupe (zoom) |
Bron
hoge resolutie PA-foto's: Kevin Kwee en Afdeling Pathologie MUMC. Klik
op de afbeelding om in te zoomen.
Geassocieerde syndromen:Multipele eccriene of
apocriene hidrocystomas komen voor bij het
Schopf-Schulz-Passarge syndroom en bij het
Goltz-Gorlin syndroom.
Goltz-Gorlin syndroom (focale dermale hypoplasie) is
zeldzaam. Het is een X-linked dominante erfelijke aandoening, meestal
voorkomend bij meisjes. De belangrijkste kenmerken zijn microcefalie,
midfaciale hypoplasie, oorafwijkingen, microphthalmia, periocular multiple
hidrocystomen, papillomen op de lip, tong, anus en in de oksels,
skeletafwijkingen en mentale retardatie.
Schopf-Schulz-Passarge syndroom
is een autosomaal recessief syndroom, gekenmerkt door multipele apocriene
hidrocystomen rond de oogleden, cysten in de oogleden,
palmoplantaire hyperkeratose, hypodontie, en hypotrichosis.
Bij de
ziekte van Graves kunnen multiple eccriene hidrocystomen voorkomen,
waarschijnlijk door
hyperhidrosis bij
hyperthyreoidie. Deze verdwijnen na behandeling van de hyperthyreoidie.
Een aanvulling van de oogartsen van het Orbitacentrum in het AMC hierop is
dat dit extreem zeldzaam is, en dat er slechts 2 case reports verschenen
zijn, beide over Aziatische patiënten.
DD: eccriene
hidrocystomen en apocriene hidrocystomen zijn klinisch soms moeilijk van
elkaar te onderscheiden, overige DD: cysten (epidermale inclusie cysten,
mucoid cyste,
milium), hemangioom,
lymfangioom,
trichoepithelioom,
syringoom, (cysteus)
basaalcelcarcinoom,
dermale naevus,
blue naevus,
melanoom,
hordeolum,
chalazion
(kliertje van Meibom). Zie ook onder
adnextumoren.
Therapie:

Puncteren (openen) met een
naald.

Electrocoagulatie of CO2 laser behandeling, eventueel 585-nm
pulsed dye laser.

Excisie met kleine punch biopteur. NB: er kunnen
hierdoor littekens ontstaan.
R/ 1% atropine oogzalf (diergeneeskunde
preparaat, atropinesulfaat 10mg/g in simplex oogzalf), 2 dd aanbrengen.
R/ 2% atropinesulfaat in vaseline, 2 dd aanbrengen.
R/ scopolamine 1-3% in oogzalfbasis FNA, 2 dd aanbrengen.
R/ Botox injectie (bij multipele eccriene hidrocystomen).
Bij eccriene
hidrocystomen: warme omgevingstemperatuur vermijden.
| Verschillen tussen eccrien en apocrien hidrocystoma: |
|
Eccrine Hidrocystoma |
Apocrine Hidrocystoma |
| aantal
lesies |
solitair of multipel |
solitair, zelden mutipel |
| kleur |
huidkleurig tot lichtblauw |
soms donkerblauw tot zwart |
| grootte |
1
tot 6 mm |
3 tot 15 mm |
| leeftijd |
30-75 jaar |
30-75 jaar
|
| voorkeurs lokalisatie |
wangen (jukbeenderen), periorbitaal, soms nek,
borst, oksels |
oogleden, overig gelaat, oren, hoofd, borst, schouders |
| warmte |
wordt erger door zweten (bij warm en vochtig weer, of
inspanning) |
geen verergering door warmte of inspanning |
| therapie |
punctie, openen, excisie, electro-coagulatie, CO2-laser, anti-cholinergische
crèmes, afkoeling, Botox injecties |
punctie, openen, excisie,
electro-coagulatie, CO2-laser |
| histologie |
1-2 lagen cuboid epitheel
|
apocriene secernerende cellen |
| kleuringen |
S-100 positief, PAS
negatief |
S-100 negatief, PAS positief |
Bron: Sarabi K, Khachemoune A. Hidrocystomas - A Brief Review. MedGenMed 2006;8:57.
Referenties
| 1. |
Sarabi K, Khachemoune A. Hidrocystomas - A Brief Review. MedGenMed
2006;8:57. |
| 2. |
Alfadley A, Al Aboud K, Tulba A, Mazen M. Multiple
eccrine hidrocystomas of the face. Int J Dermatol 2001;40:125-129. |
| 3. |
Kaur C, Sarkar R, Kanwar AJ, Mohan H. Multiple eccrine hidrocystomas. J Eur
Acad Dermatol Venereol 2002;16:288-290. |
| 4. |
Gupta S, Handa U, Handa S,
Mohan H. The efficacy of electrosurgery and excision in treating patients
with multiple apocrine hidrocystomas. Dermatol Surg 2001;27:382-384. |
| 5. |
del Pozo J, García-Silva J, Peña-Penabad C, Fonseca E. Multiple apocrine
hidrocystomas: treatment with carbon dioxide laser vaporization. J
Dermatolog Treat 2001;12:97-100. |
| 6. |
Blugerman G, Schavelzon D,
D'Angelo S. Multiple eccrine hidrocystomas: a new therapeutic option with
botulinum toxin. Dermatol Surg 2003;29:557-559. |
| 7. |
Shimokawa M,
Matsushita S, Kanekura T. Successful treatment of multiple eccrine
hidrocystoma with topical atropine sulfate ointment. J Dermatol
2009;36(2):114-115. |
| 8. |
Kim YD, Lee EJ, Song MH, Suhr KB, Lee JH,
Park JK. Multiple eccrine hidrocystomas associated with Graves' disease. Int
J Dermatol 2002;41(5):295-297. |
| 9. |
Nagai Y, Ishikawa O, Miyachi Y.
Multiple eccrine hidrocystomas associated with Graves' disease. J Dermatol
1996;23(9):652-654. |
Author(s):
dr. Jan R. Mekkes. Dermatologist, Amsterdam UMC.