Een
chondroid syringoma (mixed tumor of the skin) is een
zeldzaam, benigne adnextumortje uitgaande van een zweetklier. Het is een
langzaam groeiend pijnloos tumortje, 0.5-3 cm groot, subcutaan of
intracutaan. De voorkeurslokalisatie is het gelaat (kaak, neus, bovenlip),
eventueel de nek, zelden elders op het lichaam. Het komt vooral voor vanaf
middelbare leeftijd. De oorzaak is onbekend. Het is een tumortje van gemengd
epitheliale en mesenchymale origine, uitgaande van secretoire en/of ductale
delen van eccrine of apocriene zweetklieren. Er bestaat ook een
maligne chondroid syringoma.
![Chondroid syringoma (click on photo to enlarge) [source: www.huidziekten.nl] Chondroid syringoma](../../../images/chondroid-syringoma-1z.jpg) |
| chondroid syringoma |
DD: andere
adnextumoren,
epidermale cyste,
pilomatricoma,
neurofibroom,
dermatofibroom,
basaalcelcarcinoom.
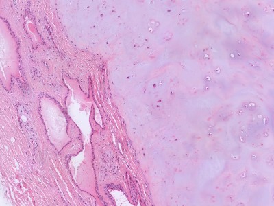
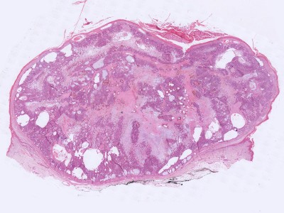
PA: Epitheliale en mesenchymale
componenten. Strengen van epitheelcellen die buisstructuren vormen met een
myoepitheliale laag, omgeven door een myxoid of chondroid stroma. Er bestaan
zowel eccriene als apocriene varianten van. De lesies kleuren aan met
keratine, vimentine, desmine, en S-100 kleuringen. Zie ook de
ingescande PA-coupe van de
afdeling pathologie van de University of
Toronto.
![Histologie chondroid syringoma (click on photo to enlarge) [source: Kevin Kwee / Afdeling Pathologie MUMC] Histologie chondroid syringoma](../../../pacoupes/thumbnails/chondroid-syringoma-1.jpg) |
![Histologie chondroid syringoma (click on photo to enlarge) [source: Kevin Kwee / Afdeling Pathologie MUMC] Histologie chondroid syringoma](../../../pacoupes/thumbnails/chondroid-syringoma-2.jpg) |
|
ingescande coupe (zoom) |
ingescande coupe (zoom) |
Bron
hoge resolutie PA-foto's: Kevin Kwee en Afdeling Pathologie MUMC. Klik
op de afbeelding om in te zoomen.
Therapie:
Radicale excisie. Lokale recidieven komen voor, evenals maligne varianten
met metastasering (wel extreem zeldzaam). Daarom heeft goede radicale
excisie met histologische nacontrole de voorkeur.
Referenties
| 1. |
R Yavuzer, Y Basterzi, A Sari et al. Chondroid syringoma: a diagnosis
more frequent than expected. Dermatol Surg 2003;29:179-81. |
| 2. |
Bates A
W, Baithun S I. Atypical Mixed Tumor of the Skin: histologic,
immunohistochemical, and ultrastructural features in three cases and a
review of the criteria for malignancy. Am J of Dermatopathol 1998;20:35-40. |
| 3. |
Watson JA, Walker MM, Smith NP, Hunt DM. Malignant chondroid syringoma
- a rare cause of secondary bone tumour. Clin Exp Dermatol 1991;16:306-307. |
| 4. |
Mebazaa A, S Trabelsi S, M Denguezli M, B Sriha B, C Belajouza C, R
Nouira R. Chondroid syringoma of the arm: an unusual localization.
Dermatology Online Journal 2006;12(1):14. |
Author(s):dr. Jan R. Mekkes. Dermatologist, Amsterdam UMC.