SYRINGOFIBROADENOMA home ICD10: D23.9

Een syringofibroadenoom (synoniem: eccrien syringofibroadenoma) is een zeldzaam adnextumortje met een eccriene differentiatie. Klinisch zijn het meestal solitaire hyperkeratotische nodi of plaques. Ze komen meestal op oudere leeftijd voor, iets vaker bij vrouwen, en vooral aan de extremiteiten. Als er multipele laesies zijn bedacht zijn op syndromen zoals het Schöpf-Schulz-Passarge syndroom.

Er worden 5 verschillende varianten van eccrien syringofibroadenoma (ESFA) onderscheiden:
1. Solitaire ESFA, meestal een solitaire nodus of plaque op een extremiteit, bij oudere patiënten.
2. Multipele ESFA (syringofibroadenomatosis), zonder andere afwijkingen. Multipele laesies, lineair, symmetrisch gerangschikt, soms palmoplantair.
3. Multipele ESFA geassocieerd met hidrotische ectodermale dysplasie (m.n. Schöpf-Schulz-Passarge syndroom of Clouston syndroom).
4. Niet-familiale unilaterale lineaire ESFA (mosaïcisme).
5. Reactieve ESFA, secundair aan inflammatoire afwijkingen of maligniteiten. Beschreven bij lichen planus, bullous pemfigoid, diabetische ulcera, chronische veneuze insufficiëntie, brandwonden, lymfoedeem, amyloidose, lepra, naevus sebaceous, plaveiselcelcarcinoom.

PA:
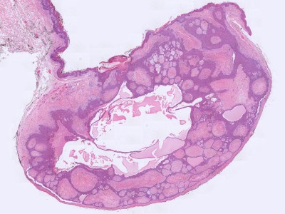
Tumortje met buisachtige structuren en vorming van lumina, ingebed in een fibrovasculair stroma. Karakteristiek zijn smalle strengen van basaloïde cellen die vanaf de epidermis verticaal omlaag lopen en daar anastomoseren zodat er een kantwerk-achtig netwerk ontstaat dat lijkt op de structuur die bij een Pinkus tumor kan worden gezien (fibroepithelioma van Pinkus). Maar dat is een variant van een basaalcelcarcinoom, zonder eccriene differentiatie.

Histologie eccrien syringofibroadenoma
ingescande coupe (zoom)

Bron hoge resolutie PA-foto's: Kevin Kwee en Afdeling Pathologie MUMC. Klik op de afbeelding om in te zoomen.


DD:
Fibroepithelioma van Pinkus, eccrien poroma, poroma, hidroacanthoma simplex, acrosyringeal nevus, syringofibroadenocarcinoma.

Therapie:
Excisie. Bij multipele laesies wordt genoemd excisies, Efudix, Aldara, radiotherapie.


Referenties
1. Lui H, Stewart WD, English JC, Wood WS. Eccrine syringofibroadenomatosis: a clinical and histologic study and review of the literature. J Am Acad Dermatol 1992;26(5 Pt 2):805-813.
2. Takeda H, Mitsuhashi Y, Hayashi M, Kondo S. Eccrine syringofibroadenoma: case report and review of the literature. J Eur Acad Dermatol Venereol 2001;15(2):147-149.
3. Temnithikul B, Jerasutus S, Sudtikoonaseth P, Voravutinon N, Kootiratrakarn T, Kattipathananpong P. Eccrine syringofibroadenoma (ESFA): a report of two cases. Dermatol Pract Concept 2016;6(1):5-8.
4. Chukwuma O, Walker A, Motaparthi K, Montanez-Wiscovich M. Recalcitrant erosive plaques on the palms and soles: A rare manifestation of eccrine syringofibroadenoma. JAAD Case Rep 2020;6(7):590-592.
5. Starink TM. Eccrine syringofibroadenoma: multiple lesions representing a new cutaneous marker of the Schöpf syndrome, and solitary nonhereditary tumors. J Am Acad Dermatol 1997;36(4):569-576.
6. Riera-Monroig J, Martínez-Romero MDC, Alós L, Guillén-Navarro E, Mascaró JM Jr. Eccrine syringofibroadenoma as a clue for the diagnosis of Schöpf-Schulz-Passarge syndrome in acquired palmoplantar keratoderma. J Cutan Pathol 2020;47(10):987-989.
7. Hays JP, Malone CH, Goodwin BP, Wagner RF Jr. Reactive Eccrine Syringofibroadenoma Associated With Basal Cell Carcinoma: A Histologic Mimicker of Fibroepithelioma of Pinkus. Dermatol Surg 2018 May;44(5):738-740.
8. Tedbirt B, Carvalho P, Boulard C, Tetart F, Deschamps-Huvier A, Chenal P, Courville P, Cellier L, Joly P. Reactive Eccrine Syringofibroadenomatosis Associated With Venous Leg Ulcers: A Case Report and Literature Review. Int J Low Extrem Wounds 2020:1534734620966900.
9. Sugita Y, Makino T, Matsui K, Shimizu T. Reactive Eccrine Syringofibroadenoma on the Heel, Clinically Mimicking Squamous Cell Carcinoma. Case Rep Dermatol Med 2019:4735739.


Author(s):
dr. Jan R. Mekkes. Dermatologist, Amsterdam UMC.

31-05-2023 (JRM) - www.skin-diseases.eu Terug naar homepagina



Diagnosis codes:
ICD10 D23.9 Overige benigne neoplasma van huid, niet gespecificeerd: eccrien syringofibroadenoom
ICD10 D23.9 Other benign neoplasms of skin, unspecified: eccrine syringofibroadenoma
SNOMED 403936002 Eccrine syringofibroadenoma of skin
DBC 3 Benigne tumoren