Een
porocarcinoom (synoniemen
eccrine
porocarcinoma,
malignant eccrine poroma)
is een zeldzame (0.005 - 0.01% van alle huidtumoren) en agressieve maligne
adnextumor uitgaande van de intraepidermale
component van een zweetklier. De incidentie ligt rond de 0.02-0.2 per 100.000
personen per jaar. Het komt iets vaker voor bij mannen. Het wordt vooral gezien
op oudere leeftijd, 70-80 jaar.
Een porocarcinoom gaat uit van het
acrosyringium, het intra-epidermale spiraalvormige
deel van de zweetklier. Een porocarcinoom kan ontstaan uit een benigne eccrien
poroma. Er zijn patiënten beschreven die al jarenlang eccriene poromen hadden
voorafgaande aan maligne ontaarding in een porocarcinoom. En histologisch wordt
bij circa 18% nog het benigne poroma aangetroffen waaruit het porocarcinoom
ontstond. De oorzaak is niet bekend, mogelijk UV, maar porocarcinoom kan ook
ontstaan op plekken waar weinig zon komt zoals de voeten en de handpalmen. Ook
immuunsuppressie wordt genoemd als risicofactor. Er worden oncogene mutaties
aangetroffen, vooral TP53 (tumor protein p53) (80%) en RB1 (Retinoblastoma 1).
Het klinisch beeld is wisselend. Meestal zijn het vast-aanvoelende tumoren,
papels of nodi, 0.4-20 cm groot, huidkleurig, erythemateus of paars. Maar het
kunnen ook licht verheven plaques zijn, soms met erosies of ulceraties. Ze geven
meestal geen klachten, soms jeuk of pijn. De voorkeurslokalisaties zijn het
hoofd-hals gebied en de onderbenen, daarna de bovenste extremiteiten, rug en
borst.
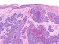
![Porocarcinoom ontstaan in een eccrien poroma (click on photo to enlarge) [source: www.huidziekten.nl] Porocarcinoom ontstaan in een eccrien poroma](../../../images/porocarcinoom-1z.jpg) |
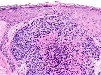
![Porocarcinoom ontstaan in een eccrien poroma (click on photo to enlarge) [source: www.huidziekten.nl] Porocarcinoom ontstaan in een eccrien poroma](../../../images/porocarcinoom-2z.jpg) |
![Porocarcinoom (click on photo to enlarge) [source: www.huidziekten.nl] Porocarcinoom](../../../images/porocarcinoom-3z.jpg) |
| porocarcinoom
in poroma |
porocarcinoom
in poroma |
porocarcinoom |
DD:eccrien
poroma, andere
adnextumoren, plaveiselcelcarcinoom,
Merkel cel carcinoom, andere tumoren en metastasen.
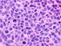
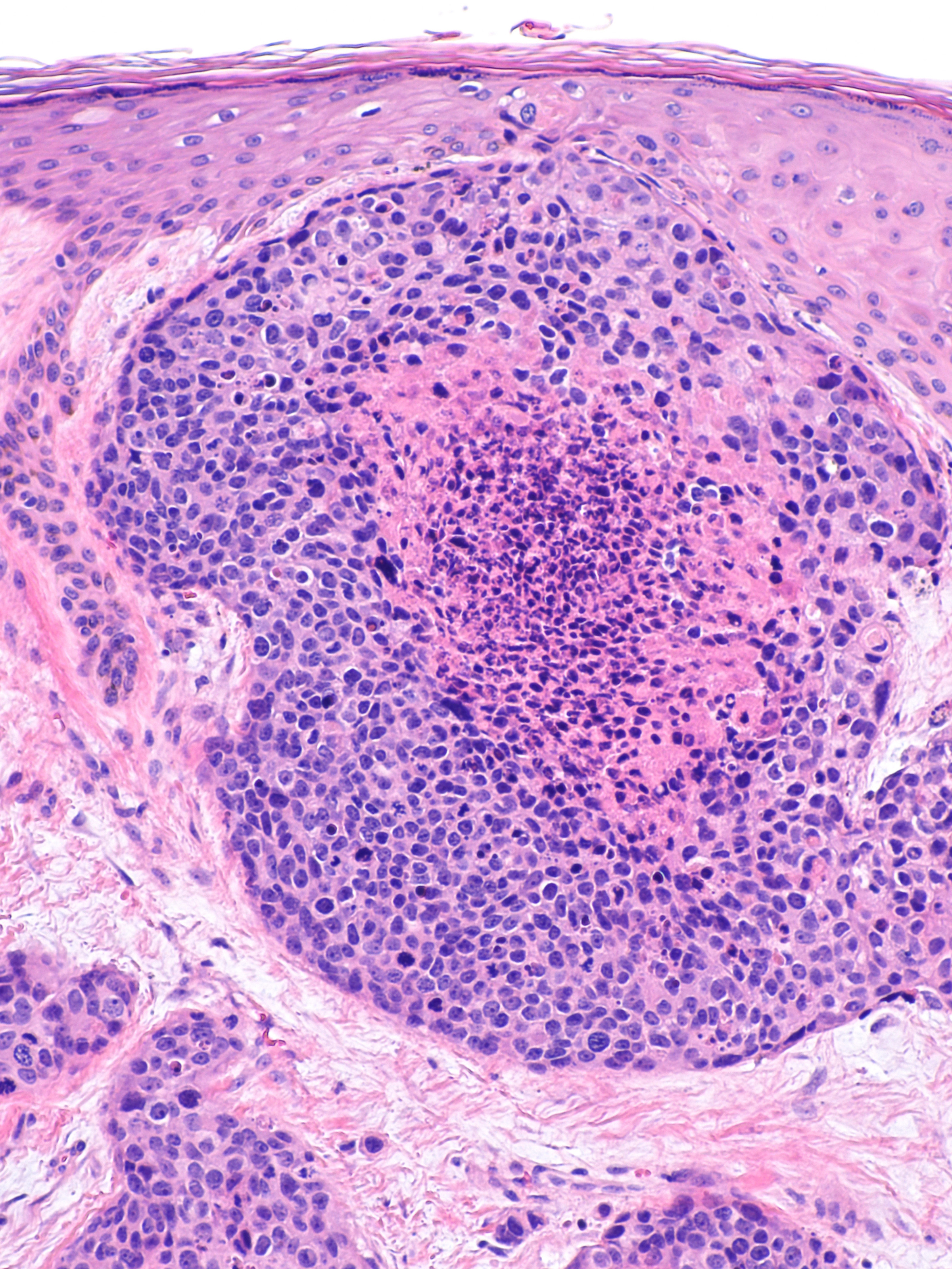
PA:
Multipele velden van basaloïde polygonale tumorcellen cellen met plaatselijk
ductale differentiatie, buis structuren met cuboïd epitheel. Uitgesproken cytologische
atypie, mitosefiguren. Soms ook squameuze differentiatie en dyskeratotische
cellen. Immunohistochemie: de ductale structuren kleuren aan met CEA (carcinoembryonic
antigen) en EMA (epithelial membrane antigen). De tumoren zijn meestal positief
voor CD117 (KIT), cytokeratin 19, c-KIT, en BerEP4. De prognose is slecht als
er invasie is van lymfbanen en vaten, meer dan 14 mitoses per high-power veld
en bij een tumordiepte > 7 mm.
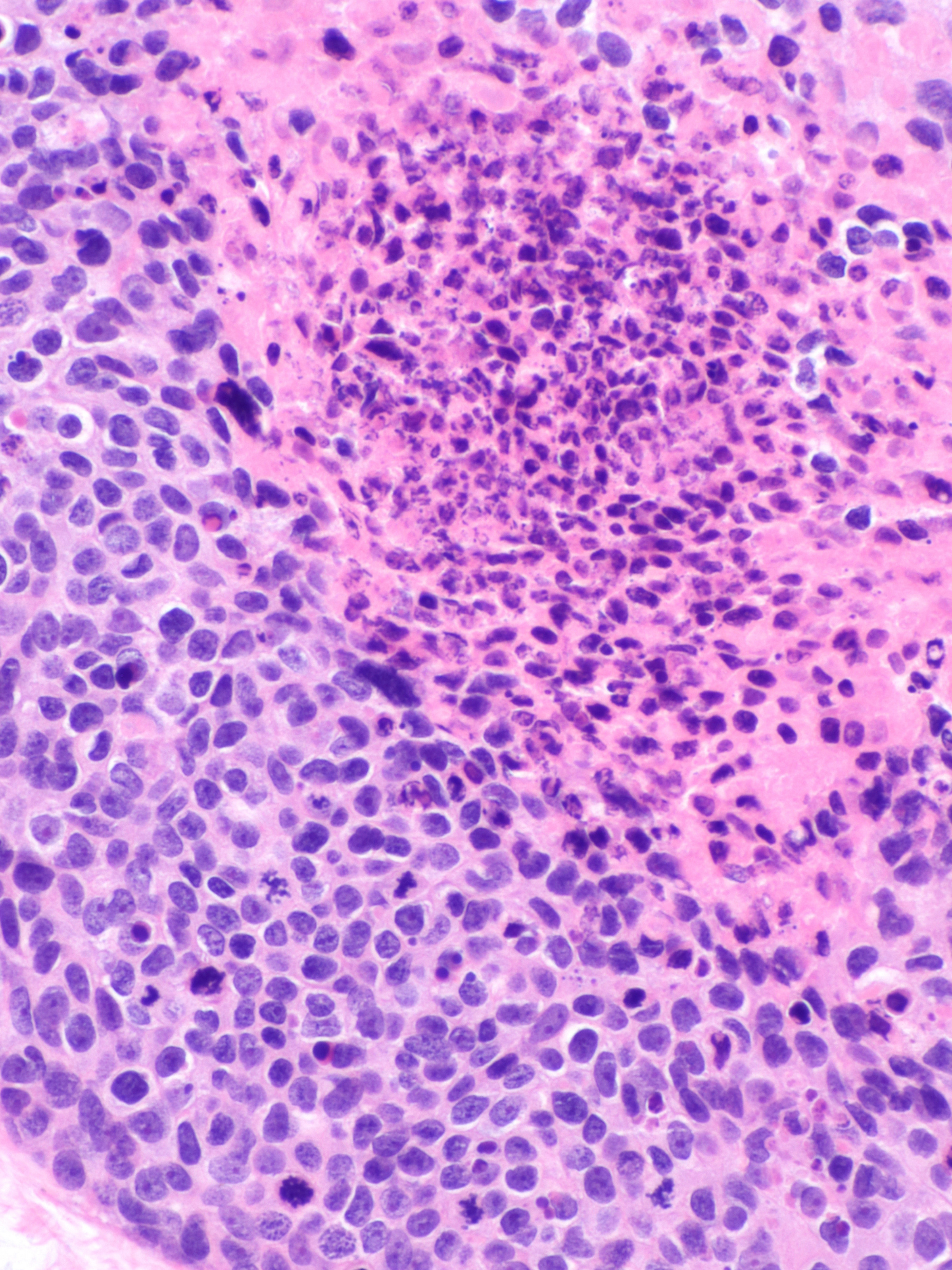
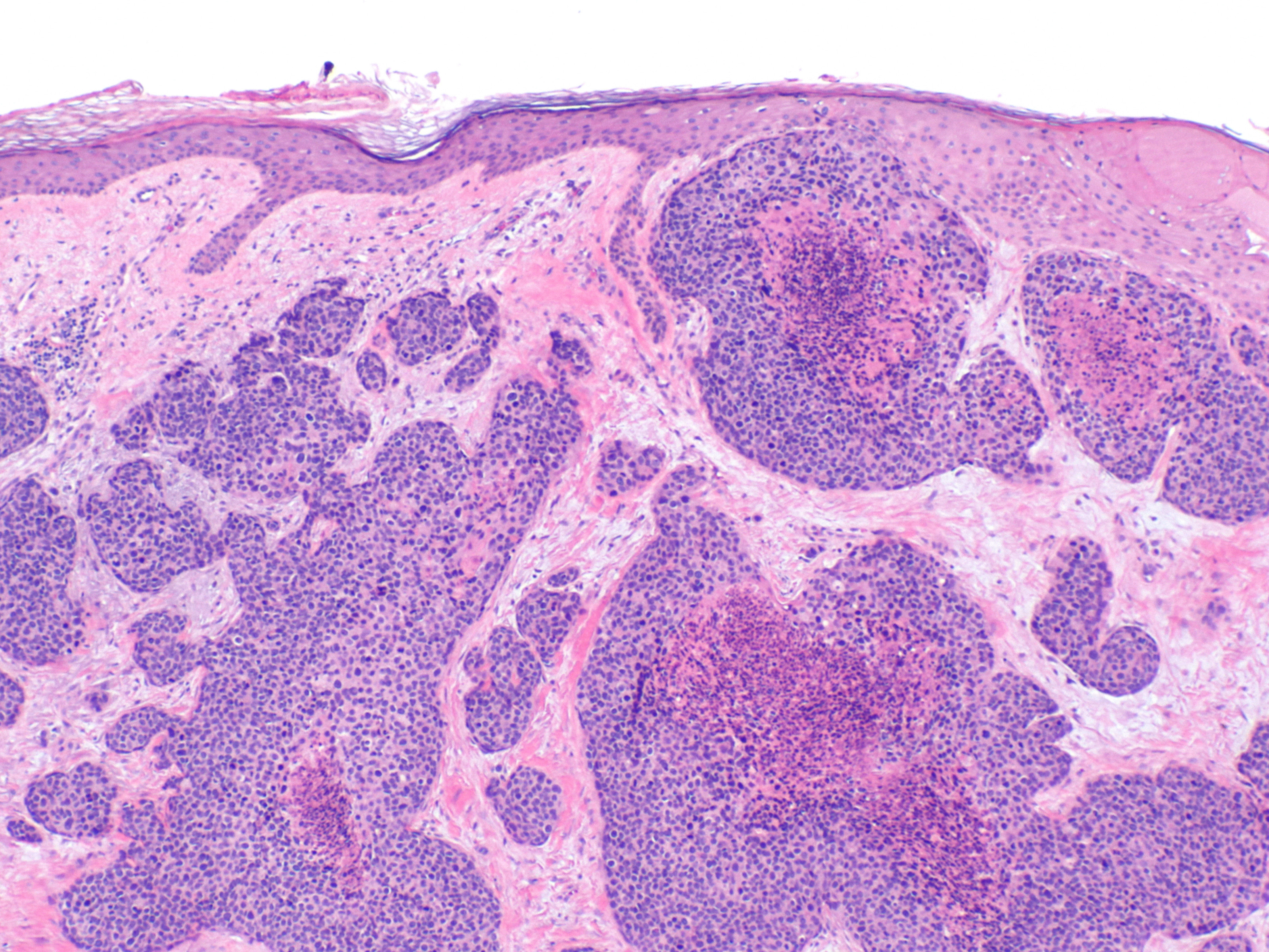
![Porocarcinoom ontstaan in een eccrien poroma (click on photo to enlarge) [source: Michael Bonert (Nephron) - Wikimedia - Creative Commons License 3.0] Histologie porocarcinoom](../../../images/porocarcinoom-4z.jpg) |
![Porocarcinoom ontstaan in een eccrien poroma (click on photo to enlarge) [source: Michael Bonert (Nephron) - Wikimedia - Creative Commons License 3.0] Histologie porocarcinoom](../../../images/porocarcinoom-5z.jpg) |
![Porocarcinoom ontstaan in een eccrien poroma (click on photo to enlarge) [source: Michael Bonert (Nephron) - Wikimedia - Creative Commons License 3.0] Histologie porocarcinoom](../../../images/porocarcinoom-6z.jpg) |
| histologie
porocarcinoom |
histologie
porocarcinoom |
histologie
porocarcinoom |
PA-foto's: Michael Bonert (Nephron) - Wikimedia - Creative Commons License
3.0).
Therapie:Geadviseerd wordt excisie met een ruime
marge (2-3 cm indien mogelijk). Lokale recidieven worden vaak gezien (circa
20%, waarvan 11% binnen 5 jaar). Ook Mohs chirurgie wordt toegepast. Er zijn
case-reports over toepassen van een sentinel node procedure, het is niet duidelijk
of dat zinvol is. Post-operatieve radiotherapie is mogelijk bijdragend. Bij
vergevorderd porocarcinoom wordt chemotherapie gegeven, meestal carboplatine
(CBDCA) en cisplatine (CDDP), soms in combinatie met fluorouracil (5-FU). Ook
paclitaxel, docetaxel, en cetuximab en pembrolizumab worden toegepast in gespecialiseerde
centra.
Prognose:De prognose voor vroege, kleine
laesies die radicaal kunnen worden geëxcideerd is goed (5-jaars overleving 96%).
De overal 5-jaarsoverleving is circa 75%. Bij circa 31% van de tumoren wordt
metastasering gezien, vooral naar lymfklieren en naar de longen. Bij lymfkliermetastasen
is de prognose slecht (1-jaar survival 88.9%, 3-jaar survival 39.5%).
Referenties
| 1. |
Robson A, Greene J, Ansari N, Kim B, Seed
PT, McKee PH, Calonje E. Eccrine porocarcinoma (malignant eccrine
poroma): a clinicopathologic study of 69 cases. Am J Surg Pathol
2001;25(6):710-720. |
| 2. |
Salih AM, Kakamad FH, Baba HO, Salih RQ,
Hawbash MR, Mohammed SH, Othman S, Saeed YA, Habibullah IJ, Muhialdeen
AS, Nawroly RO, Hammood ZD, Abdulkarim NH. Porocarcinoma; presentation
and management, a meta-analysis of 453 cases. Ann Med Surg (Lond)
2017;20:74-79. |
| 3. |
Miyamoto K, Yanagi T, Maeda T, Ujiie H. Diagnosis
and Management of Porocarcinoma. Cancers (Basel) 2022;14(21):5232. |
| 4. |
Valverde K, Senger C, Ngan BY, Chan HS. Eccrine
porocarcinoma in a child that evolved rapidly from an eccrine poroma.
Med Pediatr Oncol 2001;37(4):412-414. |
| 5. |
Scampa M, Merat R, Kalbermatten DF, Oranges
CM. Head and Neck Porocarcinoma: SEER Analysis of Epidemiology and
Survival. J Clin Med 2022;11(8):2185. |
| 6. |
Goto K, Takai T, Fukumoto T, Anan T, Kimura
T, Ansai S, Oshitani Y, Murata Y, Sakuma T, Hirose T. CD117 (KIT)
is a useful immunohistochemical marker for differentiating porocarcinoma
from squamous cell carcinoma. J Cutan Pathol 2016;43(3):219-226.
|
| 7. |
Goto K, Ishikawa M, Hamada K, Muramatsu K,
Naka M, Honma K, Sugino T. Comparison of Immunohistochemical Expression
of Cytokeratin 19, c-KIT, BerEP4, GATA3, and NUTM1 Between Porocarcinoma
and Squamous Cell Carcinoma. Am J Dermatopathol 2021;43(11):781-787. |
| 8. |
Song SS, Wu Lee W, Hamman MS, Jiang SI. Mohs
micrographic surgery for eccrine porocarcinoma: an update and review
of the literature. Dermatol Surg 2015;41(3):301-306. |
| 9. |
Fionda B, Di Stefani A, Lancellotta V, Gentileschi
S, Caretto AA, Casà C, Federico F, Rembielak A, Rossi E, Morganti
AG, Schinzari G, Peris K, Tagliaferri L. The role of postoperative
radiotherapy in eccrine porocarcinoma: a multidisciplinary systematic
review. Eur Rev Med Pharmacol Sci 2022;26(5):1695-1700. |
| 10. |
Fukuda K, Funakoshi T, Fukuyama M, Kakuta
R, Sato M, Nakamura Y, Tanese K, Masugi Y, Amagai M. Metastatic
eccrine porocarcinoma successfully treated with carboplatin and
epirubicin chemotherapy. J Dermatol 2015;42(9):928-930. |
| 11. |
Godillot C, Boulinguez S, Riffaud L, Sibaud
V, Chira C, Tournier E, Paul C, Meyer N. Complete response of a
metastatic porocarcinoma treated with paclitaxel, cetuximab and
radiotherapy. Eur J Cancer 2018;90:142-145. |
| 12. |
Singh A, Nguyen L, Everest S, Vinogradov
M. Metastatic Porocarcinoma Effectively Managed by Pembrolizumab.
Cureus 2021;13(11):e20004. |
Author(s):dr. Jan R. Mekkes. Dermatologist, Amsterdam UMC.