De zeldzame
extra-mammaire vorm van
morbus Paget komt vooral voor in het anogenitale gebied
(vulva, peri-anaal, penis). Soms op andere plaatsen zoals de liezen, oksels,
gehoorgang. Het wordt vaker bij vrouwen gezien dan bij mannen. Klinisch is het
een erythemateuze of erythematosquameuze plaque, soms met erosies, rhagaden,
nattend. Het kan erg lijken op een chronisch eczeem met lichenificatie. Het
veroorzaakt jeuk, pijn, branderigheid. De vulvaire vorm komt het meest voor,
daarna peri-anaal en penis.
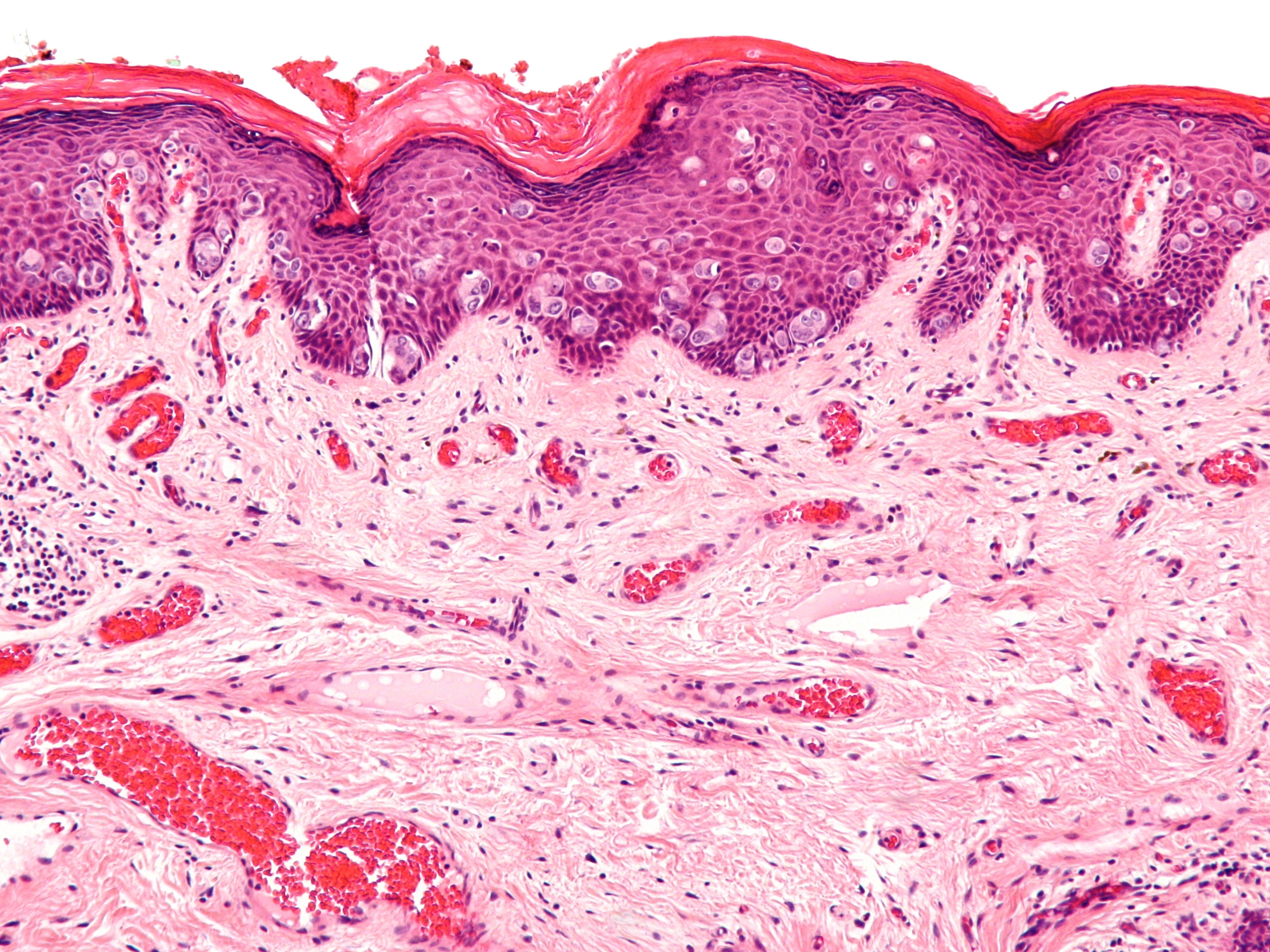
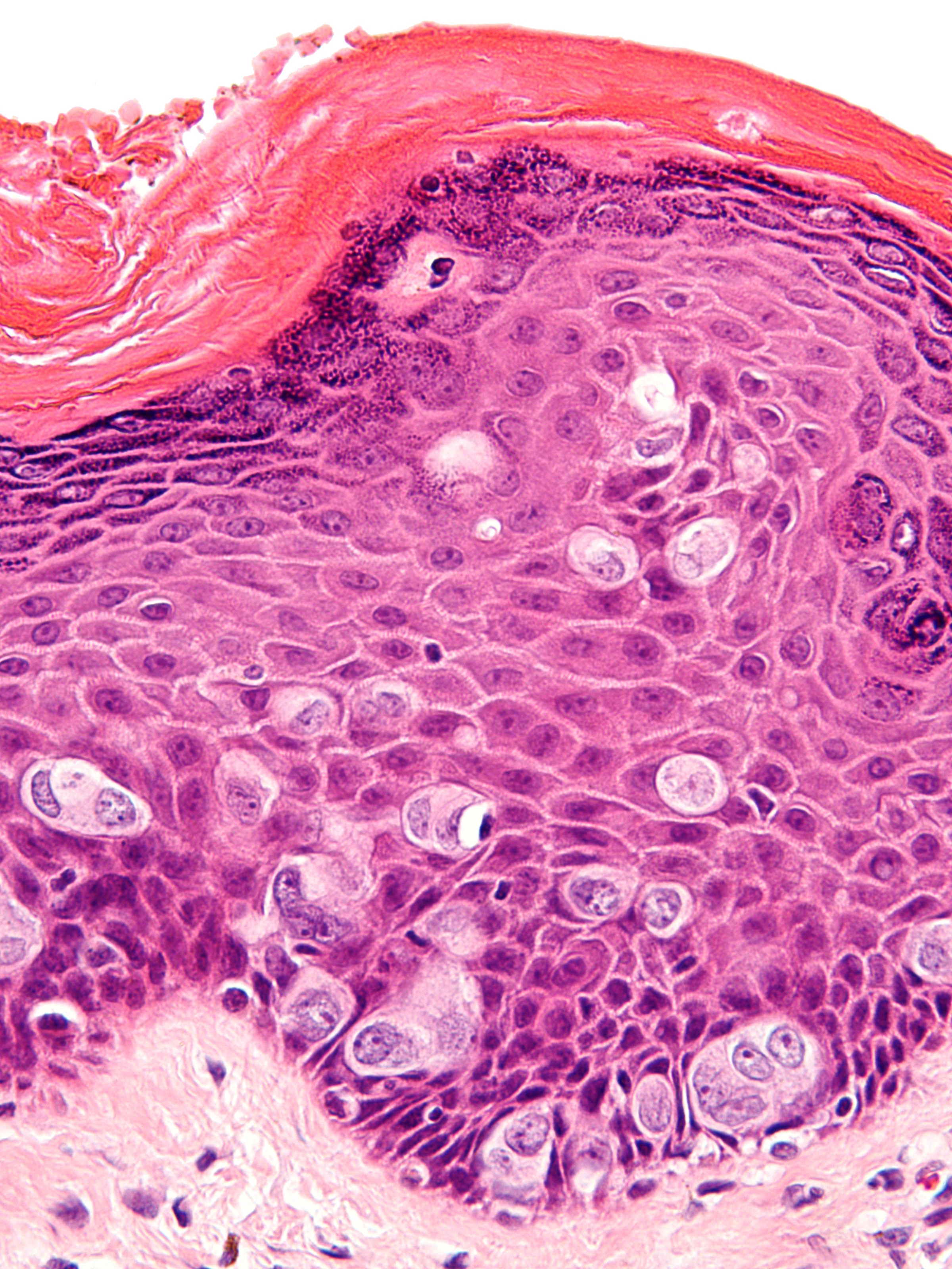
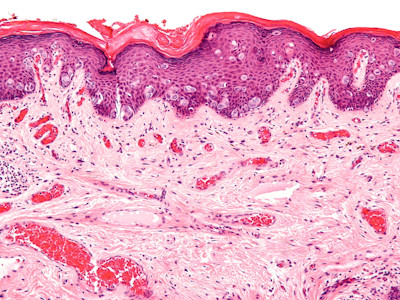
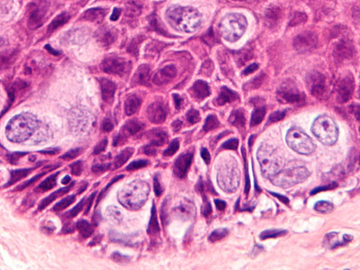
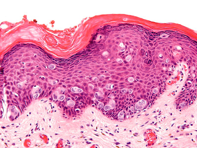
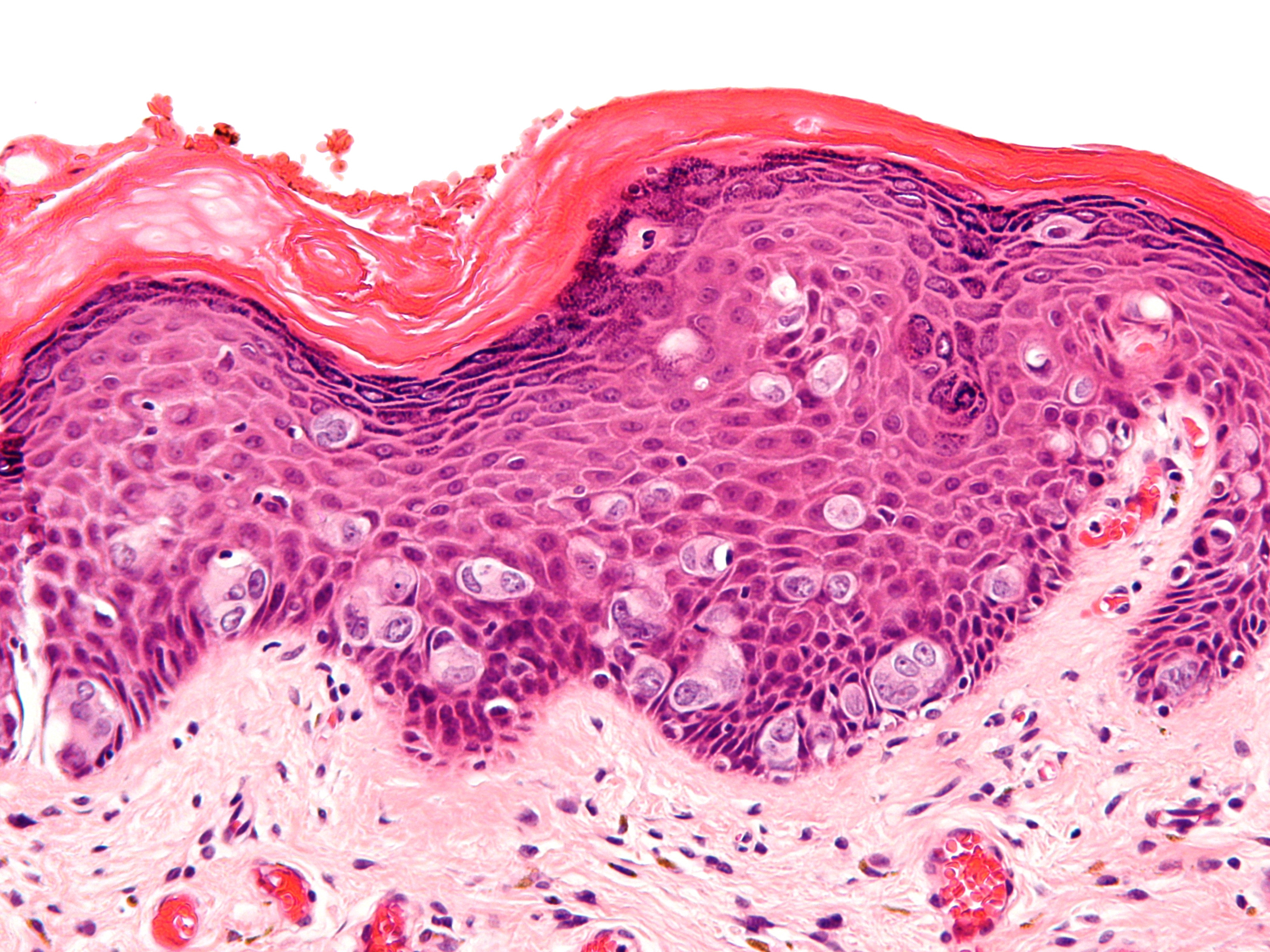
Extramammaire Paget is meestal een primair
cutaan adenocarcinoom. De epidermis is geïnfiltreerd met tumorcellen met een
adenoïde differentiatie, afkomstig van apocriene zweetklieren of stamcellen.
In ongeveer 25% is er een geassocieerd dieper gelegen adnexaal apocrien carcinoom.
Soms worden andere geassocieerde tumoren aangetroffen zoals carcinomen van de
klieren van Bartholin, urethra, blaas, vagina, cervix, endometrium, of de prostaat.
Bij genitale lokalisatie wordt in 4-7% van de patiënten een carcinoom elders
gevonden, bij perianale lokalisatie wordt bij 25-35% een colorectaal carcinoom
gevonden. De mortaliteit is hoog (18%), vooral bij een geassocieerd carcinoom
(46%).
DD: eczeem, lichen simplex chronicus, mycose,
psoriasis, morbus Bowen, morbus Queyrat, basaalcelcarcinoom, plaveiselcelcarcinoom,
lichen sclerosus.
Diagnostiek:- biopt, soms meerdere
biopten rondom (mapping).
- palpatie lymfklieren
- rectaal toucher / proctoscopie
- cystoscopie
- colposcopie, cervixcytologie
- op indicatie afbeeldend
onderzoek (CT-scan, PET scan)
Therapie:Indien mogelijk (kleine lesies) excisie
met een marge van 1-2 cm. De klinische begrenzing is moeilijk vast te stellen.
Ook Mohs chirurgie is een optie. Gezien de locatie doorverwijzing of betrokkenheid
van de gynaecoloog, chirurg, uroloog, of oncoloog. Ook radiotherapie en chemotherapie
behoren tot de opties. Geïsoleerde en oppervlakkige locaties die te groot zijn
voor excisie kunnen eventueel ook met Aldara (imiquimod) of Efudix (5-fluorouracil)
worden behandeld. PDT zou in theorie ook kunnen werken.

Excisie van
de laesie in toto, met een marge van 1-2 cm, zonodig Mohs chirurgie.
R/ Radiotherapie.
R/ Aldara (imiquimod).
R/ Efudix (5-fluorouracil).
R/ PDT (fotodynamische
therapie).
Follow up: Controle 2 x per jaar gedurende
3 jaar, daarna jaarlijks tot 10 jaar.
Referenties
| 1. |
Chanda JJ. Extramammary Paget's disease:
prognosis and relationship to internal malignancy. J Am Acad Dermatol
1985;13(6):1009-1014. |
| 2. |
Bagby CM, MacLennan GT. Extramammary Paget's
disease of the penis and scrotum. J Urol 2009;182(6):2908-2909. |
| 3. |
Beleznay KM, Levesque MA, Gill S. Response
to 5-fluorouracil in metastatic extramammary Paget disease of the
scrotum presenting as pancytopenia and back pain. Curr Oncol 2009;16(5):81-83. |
| 4. |
Sendagorta E, Herranz P, Feito M, et al.
Successful treatment of three cases of primary extramammary Paget's
disease of the vulva with Imiquimod - proposal of a therapeutic
schedule. J Eur Acad Dermatol Venereol 2010;24(4):490-492. |
| 5. |
Takahagi S, Noda H, Kamegashira A, et al.
Metastatic extramammary Paget's disease treated with paclitaxel
and trastuzumab combination chemotherapy. J Dermatol 2009;36(8):457-461. |
| 6. |
Hendi A, Brodland DG, Zitelli JA. Extramammary
Paget's disease: surgical treatment with Mohs micrographic surgery.
J Am Acad Dermatol 2004;51(5):767-773. |
Author(s):dr. Jan R. Mekkes. Dermatologist, Amsterdam UMC.