EOSINOFILIE / DIFFERENTIËLE DIAGNOSE VAN EOSINOFILIE home ICD10: D72.1

Eosinofilie (een verhoogd aantal eosinofiele granulocyten in het bloed) wordt gezien bij vele verschillende aandoeningen, zoals bijvoorbeeld atopie, worminfecties, connective diseases en hypereosinofiel syndroom. Naast eosinofilie in het bloed kan een verhoogd aantal eosinofielen ook worden gezien in een huidbiopt of in een direct preparaat (Diffquick) van een pustel of vesikel. Eosinofilie in de huid of in het bloed kan jeuk veroorzaken, door vrijkomen van de eosinofiele granula.
De normale range van eo's in het bloed is 0.05-0.5 x 109/l. In een diff is gemiddeld 2% (0-7%) van de witte bloedcellen eosinofiel. Bij meer dan 10% eo's in een diff is er sprake van een relevante verhoging. Bij sterk verhoogde eosinofilie, > 1500 eo's per microliter (1.5 x 109 per liter), kan er sprake zijn van een hypereosinofiel syndroom. Bij extreem hoge eosinofilie (> 10.000 eo's per microliter, 10 x 109 per liter) denken aan hypereosinofiel syndroom, viscerale larva migrans, tropische eosinofilie, eosinofiele leukemie. Bij anemie en/of lymfadenopathie denken aan lymfomen en leukemie; consult haematoloog (beenmergpunctie) en lymfklierbiopt. Bepaal ook het totaal IgE (bij eosinofilie + verhoogd IgE denken aan atopische dermatitis, allergische granulomatose, worminfestaties, immuundeficiënties, m. Hodgkin, hypereosinofiel syndroom). Bij patiënten die in de tropen zijn geweest parasieten uitsluiten. Controleer de faeces 3 keer, verricht zonodig serologisch onderzoek, overleg met tropenarts. Bij gewrichtsklachten denken aan bindweefselziekten. Bij eosinofilie in combinatie met eczeem, groeiachterstand en recidiverende infecties denken aan immuundeficiëntie-syndromen.

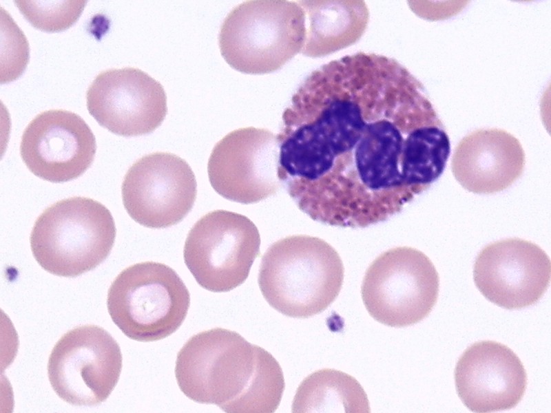
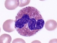
Eosinofiele granulocyt Eosinofiele granulocyt
eosinofiel eosinofiel

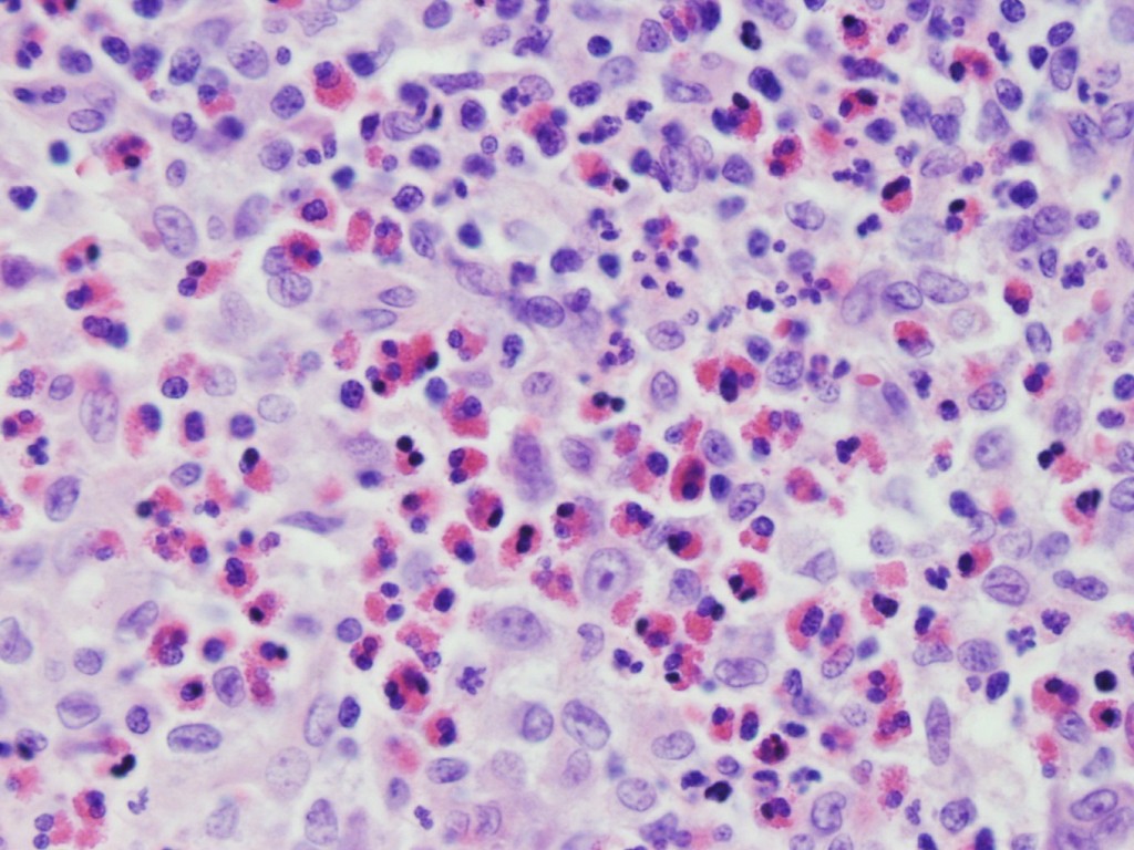
Dip quick, diff quick kleuring Eosinofiele granulocyten in biopt
eo's in Diff-quick eosinofiel in biopt

Foto linksboven: Anoka-Ramsey Community College - Department of Anatomy and Physiology.
Foto rechtsboven: Peter Takizawa - Department of Cell Biology - University of Yale.


DD eosinofilie in het bloed:
Infecties (bacteriëel (scarlatina, kattekrabziekte, TBC, lues II, lepra), viraal (erythema infectiosum), mycose (coccidioidomycosis, chronische mucocutane candidiasis), parasieten (wormen, Pneumocystis carinii, amoebiasis), scabies)
Insektensteken (culicosis)
Geneesmiddelen (toxicodermie)
Inflammatoire huidziekten (atopisch eczeem, allergisch contacteczeem, eosinofiele cellulitis (Well's), eosinofiele pustuleuze folliculitis (Ofuji), erythema toxicum neonatorum, incontinentia pigmenti (1e stadium), infantiele acropustulose, granuloma faciale, erythema exsudativum multiforme, toxische epidermale necrolyse, acute urticaria, drukurticaria, urticaria pigmentosa), bulleuze dermatosen (pemphigus, parapemphigus, herpes gestationis, dermatitis herpetiformis)
Bindweefselziekten (eosinofiele fasciitis, sclerodermie, allergische granulomatose (Churg en Strauss), rheumatoïde arthritis, Sjögren syndroom)
Immunodeficiënties (graft versus host disease, hyper IgE-syndroom, selectieve IgA deficiëntie, Wiskott-Aldrich syndroom, Nezelof syndroom)
Myeloproliferatieve aandoeningen (CTCL, m. Hodgkin, hypereosinofiel syndroom, angioimmunoblastaire lymfadenopathie, angiolymfoïde hyperplasie met eosinofilie)


DD eosinofilie in biopt:
Worminfecties, scabies, sommige insektensteken, toxicodermie, atopisch eczeem, allergisch contacteczeem, eosinofiele cellulitis, eosinofiele pustuleuze folliculitis (Ofuji), erythema toxicum neonatorum, incontinentia pigmenti, drukurticaria, parapemphigus, pemphigus, herpes gestationis, dermatitis herpetiformis, allergische granulomatose, graft versus host disease, hypereosinofiel syndroom, hyper IgE-syndroom, IgA-deficiëntie, Wiskott-Aldrich syndroom.


DD eosinofilie + verhoogd IgE:
Atopische dermatitis, allergische granulomatose, worminfestaties, immuundeficiënties, IgA deficiëntie, m. Hodgkin, hypereosinofiel syndroom, hyper IgE-syndroom, graft versus host disease


Author(s):
dr. Jan R. Mekkes. Dermatologist, Amsterdam UMC.

31-05-2023 (JRM) - www.skin-diseases.eu Terug naar homepagina



Diagnosis codes:
ICD10 D72.1 Eosinofilie
ICD10 D72.1 Eosinophilia
SNOMED 419769007 Eosinophilia
DBC 27 Diagnose niet nader omschreven