De
Diff-Quick of Dip-Quick kleuring is een simpele
kleuring (gemodificeerde Romanovsky kleuring) die in enkele seconden klaar is.
De kleuring wordt gebruikt om preparaten direct tijdens de poli te kleuren en
te beoordelen. De Diff-Quick kleuring wordt bijvoorbeeld gebruikt bij
gonorroe,
Pityrosporum folliculitis,
eosinofiele folliculitis,
folliculitis nno, herpes simplex (
Tzanck test),
erythema toxicum neonatorum,
transiente neonatale pustuleuze melanosis, en bij blood smears.
Nodig
zijn 4 bakjes waar de opeenvolgende vloeistoffen van de kleuring in zitten:
1. Fixatie vloeistof (triphenylmethaan in 100% methanol, CAS #: 67-56-1, molecular
weight: 32.04, chemical formula: CH3OH). Of 96% alcohol.
2. Eosinofiele kleuring
(xanthene kleurstof in natrium azide 0.01%, CAS #: 26628-22-8, molecular weight:
65.02 chemical formula: NaN3)
3. Basofiele kleuring (thiazine kleurstof in
natrium azide 0.01%, CAS #: 26628-22-8, molecular weight: 65.02 chemical formula:
NaN3)
4. Gedistilleerd water
 |
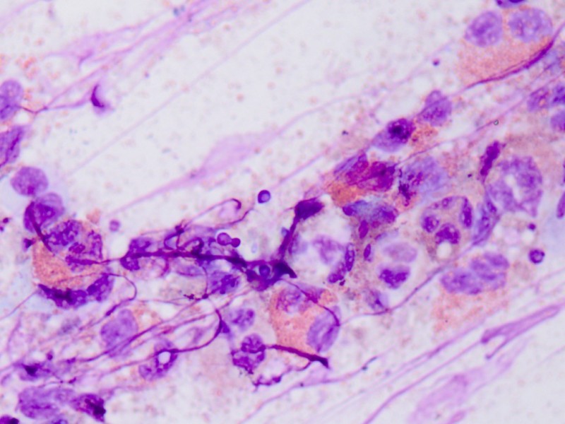
![Dip quick, diff quick kleuring (click on photo to enlarge) [source: www.shopmedvet.com] Dip quick, diff quick kleuring](../../../images/diffquick2z.jpg) |
![Dip quick, diff quick kleuring (click on photo to enlarge) [source: www.huidziekten.nl] Dip quick, diff quick kleuring](../../../images/eosinofielefolliculitissmear4z.jpg) |
| diff-quick
(dip-quick) |
diff-quick
(dip-quick) |
eosinofielen
en Pityrosporum |
Procedure1. Laat het objectglas met het preparaat
drogen aan de lucht (zonodig even verwarmen)
2. Dip de slide 5 seconden in
bakje 1 (fixatievloeistof)
3. Dip de slide 5 seconden in bakje 2 (eosinofiele
kleuring)
4. Dip de slide 5 seconden in bakje 3 (basofiele kleuring)
5.
Dip de slide 5 seconden in bakje 4 (gedestilleerd water)
6. Droog het preparaat
door het tussen 2 filtreerpapiertjes te leggen.
De plastic containers
die gebruikt worden om kweek objectglaasjes in te versturen zijn handig voor
het onderdompelen in de vloeistof
Het preparaat moet goed droog zijn anders
spoelt het er af.
Gebruik een pincet om het glaasje in het bakje te doen,
want de kleuring trekt direct in de huid en is niet makkelijk af te wassen.
Als de kleurstof toch op de vingers komt: afwassen met zeep.
Overtollige
vloeistof kan worden afgespoeld onder de kraan. Spoel de achterkant van het
glas af (water loopt vanzelf om).
Resultaat van de kleuring:
| erytrocyten |
|
roze tot
geelrood |
| trombocyten |
|
violet
met paarse granula |
| neutrofielen |
|
kernen
blauw, cytoplasma
roze, granula
violet |
| eosinofielen |
|
kernen
blauw, cytoplasma
blauw, granula
rood |
| basofielen |
|
kernen
paars tot
donkerblauw, granula
violet |
| monocyten |
|
kernen
violet, cytoplasma
lichtblauw |
| bacteriƫn |
|
blauw |
Author(s):dr. Jan R. Mekkes. Dermatologist, Amsterdam UMC.