Granuloma faciale (granuloma faciale eosinophilicum)
is een zeldzame en vaak gemiste goedaardige huidafwijking die zich meestal presenteert
met een of meerdere bruin-rode asymptomatische persisterende plaques, noduli
of papels in het gelaat en sporadisch elders op het lichaam. De laesie komt
vaker voor bij mannen dan vrouwen en voornamelijk op middelbare maar ook op
jongvolwassen en oudere leeftijd. De etiologie is onbekend, maar vasculaire
schade speelt mogelijk een rol in het ontstaan.

De laesie wordt klinisch en pathologisch vaak niet goed herkend en in eerste
instantie onterecht gediagnosticeerd als sarcoidose, cutaan lymfoom, discoide
lupus erythematosus of basaal celcarcinoom.

Mogelijk is er overlap tussen granuloma faciale en erythema elevatum diutinum.

Eosinofiele angiocentrische fibrose in mond-keel holte en bovenste luchtwegen
is de enige extracutane aandoening die geassocieerd is met granuloma faciale.
![Granuloma faciale (click on photo to enlarge) [source: www.huidziekten.nl] Granuloma faciale](../../../images/granuloma-faciale-1z.jpg) |
![Granuloma faciale (click on photo to enlarge) [source: www.huidziekten.nl] Granuloma faciale](../../../images/granuloma-faciale-2z.jpg) |
![Granuloma faciale (click on photo to enlarge) [source: www.huidziekten.nl] Granuloma faciale](../../../images/granuloma-faciale-3z.jpg) |
| granuloma
faciale |
granuloma
faciale |
granuloma
faciale |
DD: lymphocytic
infiltration of the skin (Jessner),
CDLE,
pseudolymfoom,
lymfoom,
sarcoïdose,
lepra, TBC,
granuloma annulare,
fixed drug eruption,
mycose,
PMLE,
Langerhanscelhistiocytose,
persistant insect bite.
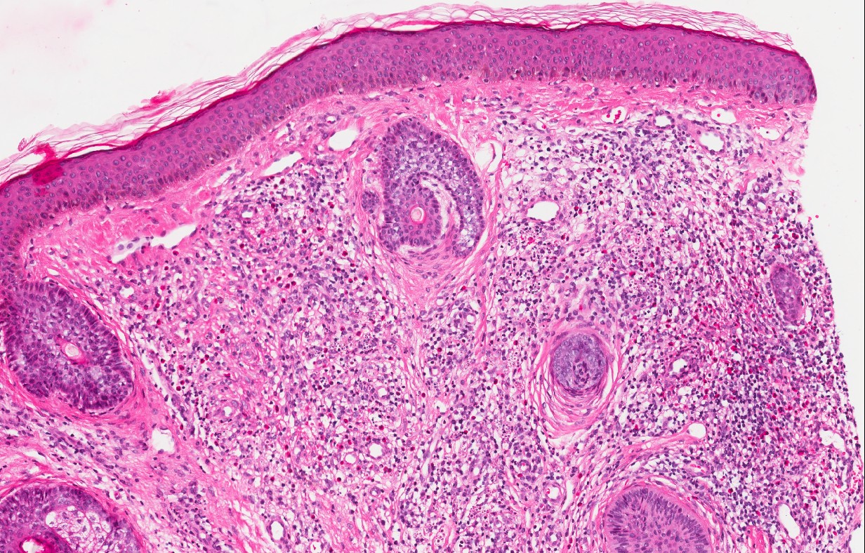
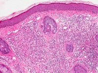
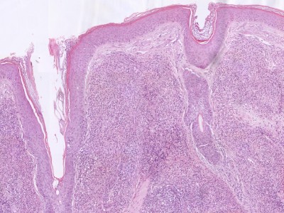
Histologie:Het histologisch
beeld wordt gekenmerkt door een diffuus of perivasculair gemend ontstekingsinfiltraat
in de dermis waarbij er in de meeste (ca 75%) maar niet alle gevallen een vrije
zone is tussen het infiltraat in de dermis en de epidermis en haarfollikels.
Het infiltraat bestaat vrijwel altijd uit lymfocyten, plasmacellen en neutrofiele
granulocyten, vaak met leucocytoclasie. In ongeveer de helft van de gevallen
zijn er eosinofiele granulocyten in het infiltraat aanwezig. In de meerderheid
van de gevallen kunnen meerkernige reuscellen gezien worden, maar anders dan
de naam doet vermoeden is het geen granulomateuze ontsteking. Vaak is er dilatatie
van haarfollikel ostia en/of plugging van het ostium en zijn er teleangiectatische
capillairen. Vasculitis, meestal zonder necrose van de vaatwand, wordt gezien
in ca. 60% van de gevallen. Soms is er hemosiderine en extravasatie van erytrocyten
zichtbaar als tekenen van vaatwand schade.

![Histologie van granuloma faciale (click on photo to enlarge) [source: Afdeling Pathologie UMC Utrecht] Histologie van granuloma faciale](../../../images/granuloma-faciale-4z.jpg) |
![Histologie granuloma faciale (click on photo to enlarge) [source: Kevin Kwee / Afdeling Pathologie MUMC] Histologie granuloma faciale](../../../pacoupes/thumbnails/granuloma-faciale.jpg) |
|
granuloma faciale |
ingescande coupe (zoom) |
Bron
hoge resolutie PA-foto's: Kevin Kwee en Afdeling Pathologie MUMC. Klik
op de afbeelding om in te zoomen.
Therapie:Granuloma faciale is een persisterende
en vaak therapie-resistente aandoening. Verschillende medicamenteuze (dapson,
clofazimine, topicale, intralesionale of systemische corticosteroïden) en niet
medicamenteuze (dermabrasion, argon en CO2 laser, electrochirurgie, cryotherapie,
psoralen met UVA) behandelingen zijn met wisselend effect ingezet. De combinatie
van cryotherapie en intralesionale corticosteroïden is mogelijk succesvol.
R/ lokale corticosteroïden klasse 2-4.
R/ intralesionale corticosteroïden.
R/ Protopic (tacrolimus) zalf.
R/ Plaquenil (hydroxychloroquine) 1 dd 200-400
mg.
R/ Lampren (clofazimine).
R/ dapson (diafenylsulfon).
R/ colchicine.
R/ PUVA-therapie.

Excisie, dermabrasie.

Electrocoagulatie.

Cryotherapie
+ aansluitend intralesionale corticosteroïden.

Laser (CO2, pulsed dye, argon).
Referenties
| 1. |
LeBoit PE. Granuloma faciale: a diagnosis
deserving of dignity. Am J Dermatopathol 2002;24(5):440-443. |
| 2. |
Ortonne N, Wechsler J, Bagot M, Grosshans
E, Cribier B. Granuloma faciale: a clinicopathologic study of 66
patients. J Am Acad Dermatol 2005;53(6):1002-1009. |
| 3. |
Marcoval J, Moreno A, Peyr J. Granuloma faciale:
a clinicopathological study of 11 cases. J Am Acad Dermatol 2004;51(2):269-273. |
| 4. |
Ludwig E, Allam JP, Bieber T, Novak N. New
treatment modalities for granuloma faciale. Br J Dermatol 2003;149:634-637. |
| 5. |
Ortonne N, Wechsler J, Bagot M, Grosshans
E, Cribier B. Granuloma faciale: A clinicopathologic study of 66
patients. J Am Acad Dermatol 2005;53:1002-1009. |
| 6. |
Gupta L, Naik H, Kumar NM, Kar HK. Granuloma
faciale with extrafacial involvement and response to tacrolimus.
J Cutan Aesthet Surg 2012;5:150-152. |
| 7. |
Marcoval J, Moreno A, Peyr J. Granuloma faciale:
A clinicopathological study of 11 cases. J Am Acad Dermatol 2004;51:269-273. |
Author(s):dr. L.A.A. Brosens. AIOS pathologie,
UMC Utrecht
prof. dr. M.R. van Dijk. Patholoog, UMC Utrecht