Kimura's disease (eosinophilic hyperplastic lymphogranuloma)
komt vooral voor in Aziatische landen, maar ook niet-Aziaten kunnen het krijgen.
Het komt vaker voor bij mannen. De gemiddelde patiënt is rond de 30 jaar. Het
is in 1937 voor het eerst beschreven in China door Kimm and Szeto. Kimura beschreef
in 1948 de histologie met daarin als belangrijke kenmerken veel vaatvorming
en lymfoïd weefsel. Bij Kimura disease wordt gedacht dat de vaatvorming reactief
is aan een inflammatoir proces. De oorzaak is niet bekend. Mogelijk is een infectie
of toxine de trigger voor het ontstekingsproces. Type 1 immuunreacties lijken
betrokken, de meeste patiënten hebben een verhoogd IgE en eosinofilie in het
bloed.
Klinisch beeld:Klinisch ziet men pijnloze
zwellingen, gemiddeld 3 cm doorsnede, in het hoofd-hals gebied, meestal in de
regio parotis of submandibulair, met lymfadenopathie. De huid erboven kan jeuken.
Het is een benigne aandoening maar kan hinderlijk zijn door de misvormingen.
Het is moeilijk te behandelen en neigt tot recidiveren. Circa 20% van de patiënten
heeft een begeleidende nierziekte, meestal nefrotisch syndroom.
![Kimura's disease (click on photo to enlarge) [source: BMC Surgery - Creative Commons License 4.0] Kimura's disease](../../../images/kimura-disease-1z.jpg) |
| Kimura's
disease |
Foto:
Zhang G. et al. BMC Surg 2020 Jan 2;20(1):1 (Creative Commons License
4.0).
DD:
angiolymphoid hyperplasia with eosinophilia (ALHE),
granuloma pyogenicum,
Kaposi sarcoma,
dermatofibrosarcoma
protuberans, parotitis, parotistumor, afsluiting van de parotis
afvoergang,
IgG4-related skin
diseaseDiagnostiek:
Biopt, bloedonderzoek (oriënterend, totaal IgE, totaal eosinofielen, kreatinine
en ureum), urine onderzoek (kwantitatief op eiwit).
CT scan of MRI.
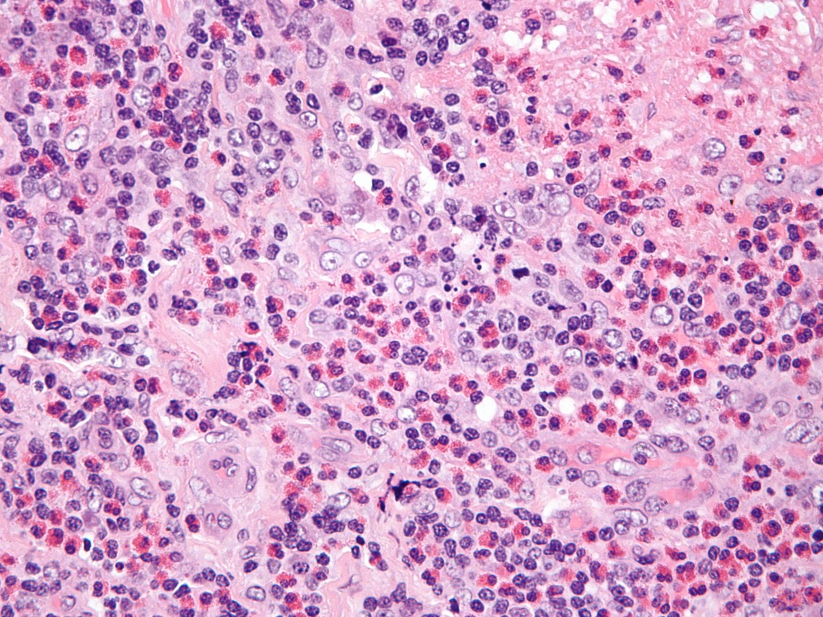
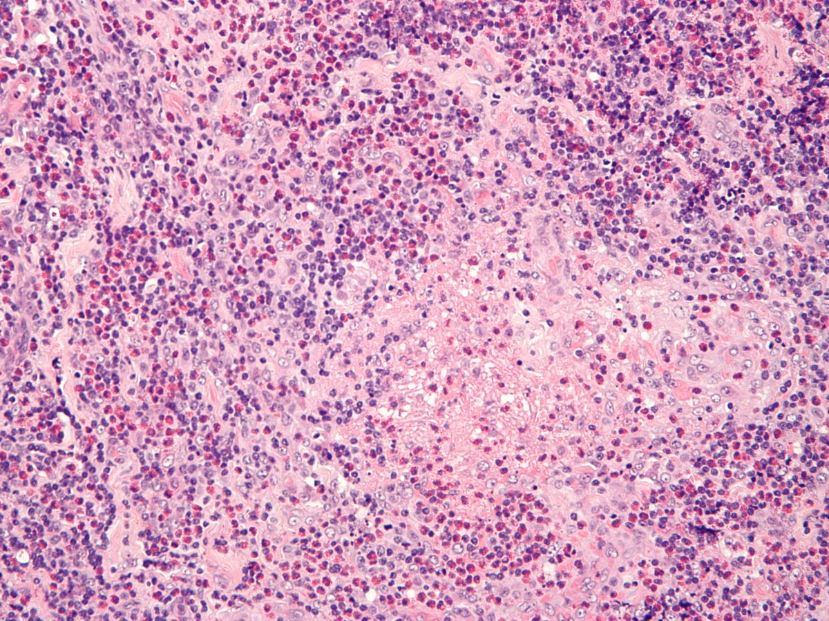
Histologie:Histologisch ziet men verspreid over het
hele preparaat lymfoïde infiltraten met een kiemcentrum, en veel eosinofielen.
Tevens een proliferatie van endotheelweefsel met dikwandige vaten en hobnail
endotheelcellen (zie ook onder
hobnail
hemangioom). Het infiltraat is polymorf en niet klonaal.
![Kimura's disease (click on photo to enlarge) [source: Michael Bonert (Nephron) - Wikimedia - Creative Commons License 3.0] Kimura's disease](../../../images/kimura-disease-2z.jpg) |
![Kimura's disease (click on photo to enlarge) [source: Michael Bonert (Nephron) - Wikimedia - Creative Commons License 3.0] Kimura's disease](../../../images/kimura-disease-3z.jpg) |
| Kimura's
disease (PA) |
Kimura's
disease (PA) |
PA foto's: Michael Bonert (Nephron) - Wikimedia (Creative Commons License
3.0)
Therapie:Moeilijk te behandelen, expectatief beleid
als er geen klachten zijn of geringe zwellingen.
R/ Prednisolon oraal.
R/ Intralesionale corticosteroïden.
R/ Ciclosporine in hoge dosering (5 mg/kg).
In case reports wordt ook effect beschreven van intraveneuze immunoglobulinen
(IVIG), pentoxifylline, retinoiden, imatinib, PDT, radiotherapie (20-45 Gy),
en chirurgische excisies van laesies. Bij alle behandelingen is er een recidiefkans.
Referenties
| 1. |
Kimm HT, Szeto C. Eosinophilic hyperplastic
lymphogranuloma, comparison with Mikulicz's disease. Proc Chin Med
Soc 1937;329. |
| 2. |
Kimura T, Yoshimura S, Ishikawa E. On the
unusual granulation combined with hyperplastic changes of lymphatic
tissues. Trans Soc Pathol Jpn 1948;37:179-180. |
| 3. |
Kung IT, Gibson JB, Bannatyne PM. Kimura's
disease: a clinico-pathological study of 21 cases and its distinction
from angiolymphoid hyperplasia with eosinophilia. Pathology 1984;16(1):39-44. |
| 4. |
Sun QF, Xu DZ, Pan SH, et al. Kimura disease:
review of the literature. Intern Med J 2008;38(8):668-672. |
| 5. |
Birol A, Bozdogan O, Keles H, et al. Kimura's
disease in a Caucasian male treated with cyclosporine. Int J Dermatol
2005;44(12):1059-1060. |
| 6. |
Kapoor NS, O'Neill JP, Katabi N, Wong RJ,
Shah JP. Kimura disease: diagnostic challenges and clinical management.
Am J Otolaryngol 2012;33(2):259-262. |
| 7. |
Hernandez-Bautista V, Yamazaki-Nakashimada
MA, Vazquez-Garcia R, Stamatelos-Albarran D, Carrasco-Daza D, Rodriguez-Lozano
AL. Treatment of Kimura disease with intravenous immunoglobulin.
Pediatrics 2011;128(6):e1633-1635. |
| 8. |
Chang AR, Kim K, Kim HJ, Kim IH, Park CI,
Jun YK. Outcomes of Kimura's disease after radiotherapy or nonradiotherapeutic
treatment modalities. Int J Radiat Oncol Biol Phys 2006;65(4):1233-1239. |
| 9 |
Zhang G, Li X, Sun G, Cao Y, Gao N, Qi W. Clinical analysis of Kimura's disease in 24 cases from China. BMC Surg
2020 Jan 2;20(1):1. |
Angiolymphoid hyperplasia with eosinophilia (
ALHE, synoniem:
epithelioid hemangioma) is een zeldzame benigne aandoening gekenmerkt door het ontstaan van bolronde huidkleurige of erythemateuze papels en noduli in het hoofd-hals gebied, vooral op en rond het oor, soms op andere plaatsen zoals voorhoofd, schedel en (zelden) elders op het lichaam, zoals op de romp, extremiteiten, genitalia. Het kan ook ontstaan in de oogkassen, orale mucosa, glandula parotis, colon, en in botten. Het is voor het eerst beschreven in 1969 door Wells en Whimster. Het kan jarenlang bestaan en is moeilijk te behandelen. Het komt vaker voor bij Aziaten, maar niet exclusief. De gemiddelde patiënt is rond de 30 jaar. De laesies ontstaan geleidelijk en nemen langzaam toe in grootte en aantal, vaak duurt het lang voordat de diagnose gesteld wordt. De oorzaak is onbekend, het wordt beschouwd als een reactieve vaatproliferatie, mogelijk getriggerd door een infectie of trauma. Het kan ook bij jonge kinderen voorkomen. Toenemend wordt de term
epithelioid hemangioma gebruikt in plaats van ALHE. In de
ISSVA classificatie is epithelioid hemangioma opgenomen onder de
benigne vasculaire tumoren. Waarschijnlijk is
CEAN (
cutaneous epithelioid angiomatous nodule) ook geen aparte entiteit maar ook een
epithelioid hemangioma.
Klinisch beeld:Multipele (gegroepeerde) 0.5-2 cm grote bolronde noduli en nodi in het gelaat, meestal op of rond het oor, met een glad oppervlak en huidkleurig, erythemateus of bruin gepigmenteerd. Soms met crustae of erosies, soms pijnlijk of jeukend. De laesies zijn vaatrijk, kunnen bloeden of pulseren. Een enkele keer komen ze elders voor zoals op de extremiteiten. De laesies zijn oppervlakkiger dan de zwellingen bij Kimura's disease. Een deel (20%) heeft eosinofilie, er is niet (of zelden) een associatie met nierziekten of een verhoogd IgE.
![Angiolymphoid hyperplasia with eosinophilia (click on photo to enlarge) [source: ijdvl.com] Angiolymphoid hyperplasia with eosinophilia](../../../images/angiolymphoid-hyperplasia-with-eosinophilia-1z.jpg) |
| ALHE |
Foto: Zaraa I. et al. Dermatol Online J 2011 Feb 15;17(2):1 (Creative
Commons License
4.0
-
Open
Access Journal).
DD: Kimura's disease, Kaposi sarcoma, angiosarcoma,
epithelioid angiosarcoma, epithelioid hemangioendothelioma, metastasen,
granuloma pyogenicum, cutaneous epithelioid angiomatous nodule
(waarschijnlijk hetzelfde), lymfocytoma cutis, Borrelia lymfocytoma,
syringocystadenoma papilliferum, amelanotisch melanoma.
Diagnostiek:Histologie,
eventueel bloedonderzoek (Hb, leukodiff, totaal eosinofielen). Bij veel of grote
laesies eventueel een MRI of angiografie.
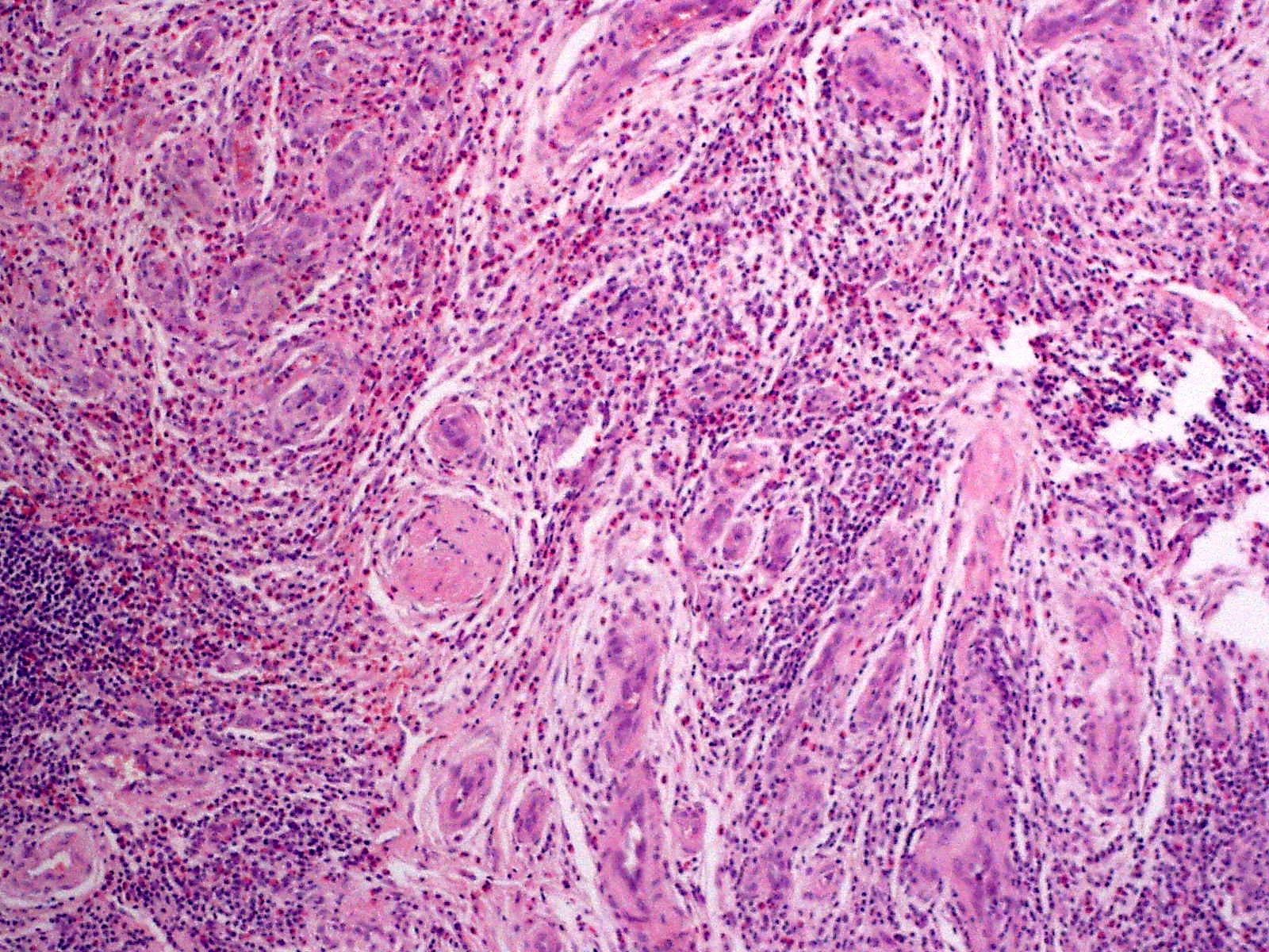
Histologie:
Uitgebreide proliferatie van dikwandige bloedvaten, met grote uitpuilende endotheelcellen (cobblestone appearance) met ovoïde nuclei en intracytoplasmatische vacuolen, altijd in combinatie met een perivasculair en interstitieel ontstekingsinfiltraat met daarin lymfocyten en veel eosinofiele granulocyten. Lymfoïde (folliculaire in de zin van lijkend op lymfeklieren) aggregaten komen voor. Angiolymphoid hyperplasia with eosinophilia is een benigne reactief proces, maar soms worden klonale T-cellen aangetroffen in het infiltraat, waardoor de vraag ontstaat of het mogelijk een voorstadium van een cutaan T-cel lymfoom zou kunnen zijn. Het beloop is echter benigne, en reactieve T-cel infiltraten kunnen monoklonaal zijn. De endotheelcellen zijn positief voor CD31, CD34, WT-1 (Wilms tumor-1) en VWF, en negatief voor keratine. De lymfocyten zijn vooral van het T-helper type, CD3, CD4, CD43, en CD45RO positief.
![Histologie van angiolymphoid hyperplasia with eosinophilia (click on photo to enlarge) [source: L. Wozniak en K.W. Zielinski - Wikimedia - Creative Commons Licnese 3.0] Angiolymphoid hyperplasia with eosinophilia](../../../images/angiolymphoid-hyperplasia-with-eosinophilia-2z.jpg) |
| ALHE (PA) |
PA foto:
L. Wozniak en K.W. Zielinski - Wikimedia (Creative Commons License
3.0).
Therapie:Gaat zelden vanzelf over, maar als er weinig klachten zijn is een expectatief beleid mogelijk.

Chirurgische excisie. Recidieven komen vaak voor (30-40%). Neigt vooral tot recidiveren als het niet radicaal is verwijderd inclusief de aanvoerende bloedvaten in de basis van de laesies.

Cryotherapie

Curettage en elektrocoagulatie

Pulsed dye laser

Ablatieve laser (CO2 laser)

Radiotherapie
R/ Intralesionale corticosteroïden.
Case reports beschrijven effectiviteit van tacrolimus, imiquimod, sirolimus, intralesionaal interferon alfa-2a, scleroseren, PDT, mepolizumab, thalidomide, en systemische corticosteroïden.
Referenties
| 1. |
Wells GC, Whimster IW. Subcutaneous angiolymphoid
hyperplasia with eosinophilia. Br J Dermatol 1969;81:1-14. |
| 2. |
Olsen TG, Helwig EB. Angiolymphoid hyperplasia
with eosinophilia. J Am Acad Dermatol 1985;12:781-796. |
| 3. |
Chun SI, Ji HG. Kimura's disease and angiolymphoid
hyperplasia with eosinophilia: clinical and histopathologic differences.
J Am Acad Dermatol 1992;27:954-958. |
| 4. |
Kempf W, Haeffner AC, Zepter K, Sander CA,
Flaig MJ, Mueller B, Panizzon RG, Hardmeier T, Adams V, Burg G.
Angiolymphoid hyperplasia with eosinophilia: evidence for a T-cell
lymphoproliferative origin. Hum Pathol 2002;33:1023-1029. |
| 5. |
Papadavid E, Krausz T, Chu AC, Walker NP.
Angiolymphoid hyperplasia with eosinophilia successfully treated
with the flash-lamp pulsed-dye laser. Br J Dermatol 2000;142:192-194. |
| 6. |
Braun-Falco M, Fischer S, Plötz SG, Ring
J. Angiolymphoid hyperplasia with eosinophilia treated with anti-interleukin-5
antibody (mepolizumab). Br J Dermatol 2004;151:1103-1104. |
| 7. |
Shenefelt PD, Rinker M, Caradonna S. A case
of angiolymphoid hyperplasia with eosinophilia treated with intralesional
interferon alfa-2a. Arch Dermatol 2000;136(7):837-839. |
| 8. |
Lembo S, Balato A, Cirillo T, Balato N. A
Long-Term Follow-Up of Angiolymphoid Hyperplasia with Eosinophilia
Treated by Corticosteroids: When a Traditional Therapy is Still
Up-to-Date. Case Rep Dermatol 2011;3(1):64-67. |
| 9. |
Abrahamson TG, Davis DA. Angiolymphoid hyperplasia
with eosinophilia responsive to pulsed dye laser. J Am Acad Dermatol
2003;49(2 Suppl Case Reports):S195-196. |
| 10. |
Zaraa I, Mlika M, Chouk S, Chelly I, Mokni M, Zitouna M, Osman AB. Angiolymphoid hyperplasia with eosinophilia: a study of 7 cases. Dermatol Online J
2011 Feb 15;17(2):1. |
| 11. |
Sarkar N, Dash S, Behera B, Sethy M,
Ayyanar P. Exophytic proliferative nodule on the scalp of a
child. Pediatr Dermatol 2024;41(5):918-920. |
| 12. |
Adler BL, Krausz AE, Minuti A, Silverberg
JI, Lev-Tov H. Epidemiology and treatment of angiolymphoid
hyperplasia with eosinophilia (ALHE): A systematic review. J Am
Acad Dermatol 2016;74(3):506-512. |
| 13. |
Goto K, Ogawa K, Fukai T, Miura K,
Yanagihara S, Honma K, Motoi T. Categorization of cutaneous
epithelioid angiomatous nodule as epithelioid hemangioma or
angiolymphoid hyperplasia with eosinophilia: Clinicopathologic,
immunohistochemical, and molecular analyses of seven lesions. J
Cutan Pathol 2022;49(9):765-771. |
| 14. |
Ishii A, Watanabe S, Nishihara C,
Kakiuchi M, Akaike Y, Itakura J, Uchino K, Manabe T, Notohara K.
Previously unreported permanent tattoo-associated angiolymphoid
hyperplasia with eosinophilia/epithelioid hemangioma. Pathol Int
2021;71(3):219-221. |
| 15. |
Ortins-Pina A, Llamas-Velasco M, Turpin
S, Soares-de-Almeida L, Filipe P, Kutzner H. FOSB
immunoreactivity in endothelia of epithelioid hemangioma
(angiolymphoid hyperplasia with eosinophilia). J Cutan Pathol
2018;45(6):395-402. |
| 16. |
Khurana A, Savitha B. Refractory
angiolymphoid hyperplasia with eosinophilia: Complete resolution
with low dose thalidomide. Pediatr Dermatol 2022;39(6):995-996. |
| 17. |
Xu SX, Ni XH, Wang CL, Zheng HW. Epithelioid hemangioma in the male breast: a rare case report and review of the literature. Am J Transl Res 2025;17(11):8838-8842. |
Author(s):dr. Jan R. Mekkes. Dermatologist, Amsterdam UMC.