Pemphigus vulgaris (PV) is een blaarvormende autoimmuunziekte
van slijmvliezen en huid, veroorzaakt door IgG-antilichamen gericht tegen desmosomale
eiwitten. Er is sprake van intra-epitheliale (intra-epidermale) blaarvorming.
Bij immunofluorescentie lichten de antistoffen in een honingraat structuur op
tussen de keratinocyten, dit in tegenstelling tot
bulleus pemphigoid,
waarbij de basaalmembraan zone oplicht. De belangrijkste antigenen zijn desmogleïne
3 en desmogleïne 1. Onbehandeld kan PV fataal zijn t.g.v. verlies van de epidermale
barrièrefunctie en secundaire infectie. Aan de andere kant is de therapie met
hoge doses immunosuppressiva ook niet zonder risico.
De oorzaak is onbekend,
mogelijk een genetische predispositie, soms is het medicatie-gerelateerd (captopril,
penicillamine). De voorkeursleeftijd is 50-60 jaar, gelijke verdeling man-vrouw,
incidentie 0.5-3.2 per 100.000 per jaar. De incidentie is hoger bij Joodse en
Mediterrane afkomst.
![Immunofluorescentie bij pemphigus vulgaris (click on photo to enlarge) [source: www.huidziekten.nl] Immunofluorescentie bij pemphigus vulgaris](../../../images/pemphigus-IF-1z.jpg) |
![Bulleus pemphigoid (click on photo to enlarge) [source: Mohapatra L. et al. Indian Dermatology Online Journal 2019;10(6):692-694 - Creative Commons License 4.0] Bulleus pemphigoid](../../../images/bulleus-pemphigoid-8z.jpg) |
| IF pemphigus |
IF bulleus
pemphigoid |
Foto rechts:
Mohapatra L. et al. Indian Dermatology Online Journal
2019;10(6):692-694 (Creative Commons License
4.0 - Public Access Journal).
Pathofysiologie:Binding IgG (auto-)antilichamen
aan adhesie-moleculen / eiwitten op keratinocyten: desmogleïne 3 en 1. Hierdoor
verlies van cel-cel adhesie (acantholysis) en vorming van intra-epitheliale
blaren.
Klinisch beeld:Meestal is het mondslijmvlies
/ oropharynx als eerste aangedaan met pijnlijke oppervlakkige erosies. Intacte
blaren worden vanwege het hoge splijtingsniveau zelden gezien. Patiënten hebben
met name pijn bij het eten en slikken. Conjunctiva, neus, genitaliën en anus
kunnen ook meedoen. Bij 50-70% van de patiënten ontstaan ook cutane laesies:
slappe blaren met een dun dak, makkelijk rupturerend met vorming van oppervlakkige,
pijnlijke erosies, makkelijk bloedend en soms secundair geinfecteerd. De huid
waarop de blaren ontstaan kan erythemeus zijn of normaal van kleur.
Nikolsky fenomeen I (ontstaan van
blaren in gezond uitziende huid bij wrijven of schuiven) is positief. De erosies
genezen langzaam, vaak met postinflammatoire hyperpigmentatie maar zonder littekenvorming.
Tijdens de zwangerschap kunnen maternale antilichamen de placenta passeren en
bij het kind een
transiente neonatale pemphigus veroorzaken.
Pemphigus vegetans is een zeldzame variant van PV
waarbij slappe blaren ontstaan, meestal met een pustuleus aspect, overgaand
in erosies en daarna vegetatieve plaques vormend, m.n. in intertrigineuze gebieden,
op de scalp en in het gelaat. Soms heeft de tong een cerebriform aspect. Er
worden twee varianten van
pemphigus vegetans
onderscheiden, Neumann type (ernstig) en Hallopeau type (mild).
![Pemphigus vulgaris (click on photo to enlarge) [source: www.huidziekten.nl] Pemphigus vulgaris](../../../images/pemphigus-vulgaris-1z.jpg) |
![Pemphigus vulgaris (click on photo to enlarge) [source: www.huidziekten.nl] Pemphigus vulgaris](../../../images/pemphigus-vulgaris-2z.jpg) |
![Pemphigus vulgaris (click on photo to enlarge) [source: www.huidziekten.nl] Pemphigus vulgaris](../../../images/pemphigus-vulgaris-3z.jpg) |
| pemphigus
vulgaris |
pemphigus foliaceus |
pemphigus
vulgaris |
![Pemphigus vulgaris (click on photo to enlarge) [source: www.huidziekten.nl] Pemphigus vulgaris](../../../images/pemphigus-vulgaris-4z.jpg) |
![Pemphigus vulgaris (click on photo to enlarge) [source: www.huidziekten.nl] Pemphigus vulgaris](../../../images/pemphigus-vulgaris-5z.jpg) |
![Pemphigus vegetans (click on photo to enlarge) [source: www.huidziekten.nl] Pemphigus vegetans](../../../images/pemphigus-vegetans-1z.jpg) |
| pemphigus
vulgaris |
pemphigus
vulgaris |
pemphigus
vegetans |
![Pemphigus mondholte (click on photo to enlarge) [source: www.huidziekten.nl] Pemphigus mondholte](../../../images/pemphigus-oraal-1z.jpg) |
![Pemphigus mondholte (click on photo to enlarge) [source: www.huidziekten.nl] Pemphigus mondholte](../../../images/pemphigus-oraal-2z.jpg) |
![Pemphigus mondholte (click on photo to enlarge) [source: www.huidziekten.nl] Pemphigus mondholte](../../../images/pemphigus-oraal-3z.jpg) |
|
pemphigus mondholte |
pemphigus mondholte |
pemphigus mondholte |
DD:pemphigus foliaceus,
pemphigus vegetans, pemphigus erythematosus,
drug-induced pemphigus,
paraneoplastische
pemphigus, IgA pemphigus, pemphigus herpetiformis,
dermatitis herpetiformis,
lineaire IgA dermatose,
bulleus pemphigoid,
erythema multiforme,
Stevens Johnson syndroom en
TEN,
morbus Hailey-Hailey,
impetigo bullosa,
staphylococcal scalded
skin syndrome.
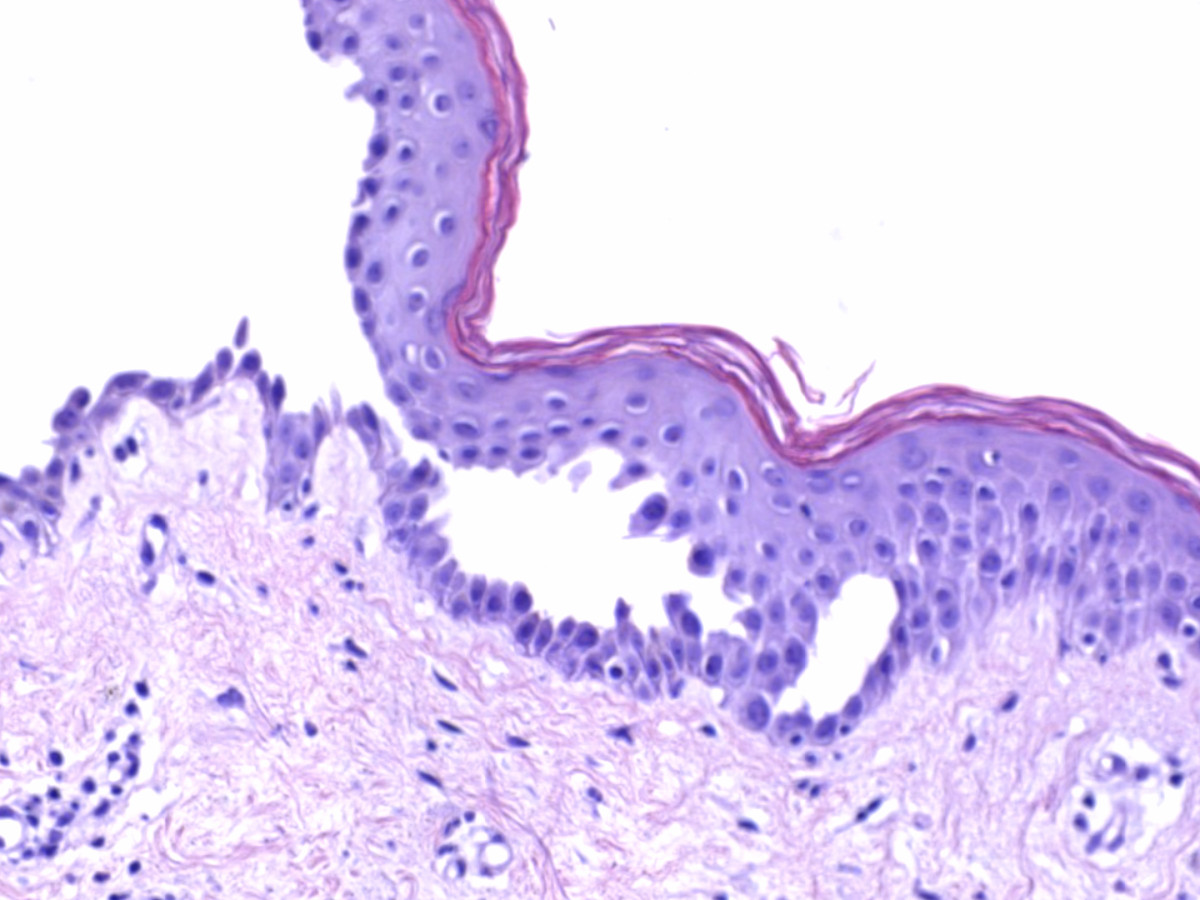
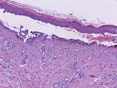
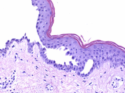
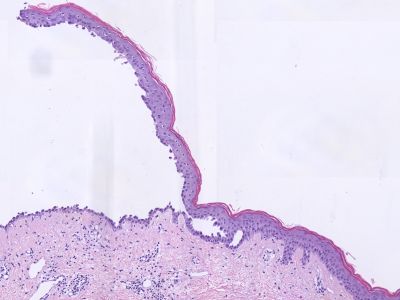
Aanvullend onderzoek:
Histologie (biopt met daarin een randje van de blaar voor
HE, de IF uit de normale peri-lesionale huid); vroeg stadium: spongiotische
dermatitis met oedeem vooral laag in de epidermis. Later suprabasale acantholyse
met vorming van intra-epidermale splijting en blaren, ook in de follikels. Basale
cellen splijten van elkaar, niet van de basale laag waardoor de basale keratinocyten
een 'thombstone' (grafstenen) aspect hebben. De blaarholte bevat acantholytische
keratinocyten, fibrine, en eosinofiele granulocyten. Geen / weinig dyskeratotische
cellen. Dermis: superficieel gemengdcellig perivasculair en interstitieel infiltraat
met veel eosinofiele granulocyten.
Directe immunofluorescentie
(zie
diagnostiek bij blaarziekten):
in de perilesionale huid is intra-epidermaal aankleuring van de intercellulaire
substantie te zien van IgG (m.n. IgG1 en IgG4) en C3 (90%), en soms van IgM.
Serologie: indirecte immunofluorescentie (serum op
salt-split humane huid) of Western blot (serum kan worden opgestuurd naar groningen,
zie
diagnostiek bij blaarziekten):
80-90% heeft circulerende IgG auto-antilichaam tegen desmogleine 3 en 1. De
antilichaamtiter correleert met de ziekte-activiteit, en met het serologisch
onderzoek is een
paraneoplastische pemphigus
te onderscheiden (niet 100% zeker) van een gewone.
Therapie:Doel therapie: verminderen van de blaarvorming,
genezing blaren en erosies bevorderen met de laagst mogelijke dosering immunosuppressiva.
Totale genezing hoeft niet het doel te zijn, vanwege de forse bijwerkingen een
evenwicht zoeken. Veel morbiditeit bij PV is het gevolg de immunosuppressiva.
Lokaal:R/ corticosteroïden klasse III-IV.
R/ clobetasol
mondspoeling of dexamethason mondspoeling of betamethason mondzalf of protopic
mondzalf voor de mond (magistrale bereidingen).
R/ prednison drank 1 mg/ml
of 5 mg/ml 1-4 dd 5-10 ml 4-6 minuten door mond spoelen, daarna uitspugen, vervolgens
half uur niet eten of drinken.
R/ tetracycline 5% mondspoeling.
R/ chloorhexidine
mondspoeling.
R/ mucositis cocktail (in principe niet bedoeld om door
te slikken, maar doorslikken mag wel):
prednisolon 200
mg
xylocaine 400 mg
nystatine 30
cc
propyleenglycol 10 ml
carboxymethylcellulose
(CMC) 2 gram
aqua ad 500 ml
S/ 4-6 dd mee spoelen 5
min, niet doorslikken.
Systemisch:Gezien de zeldzaamheid
en de ernst die geen placebo-onderzoek toelaat zijn er weinig RCT's. Prednison
wordt beschouwd als de hoeksteen van de behandeling. Vaak gecombineerd met adjuvante
therapie zoals azathioprine, mycophenolaat, of dapson, en in ernstige gevallen
met rituximab, intraveneuze immunoglobulinen, immunoadsorptie, endoxan, of methotrexaat.
R/ prednison in hoge dosering (1-1.5 mg/kg). Start met 1 mg/kg, zonodig verhogen
per 3-4 dagen in ernstige gevallen. Omdat de behandeling meestal voor lange
duur is, is het gebruikelijk om prednison te combineren met een steroïdsparend
adjuvant middel zoals azathioprine 50-150 mg, of mycophenolaat mofetil 2 dd
500-1000 mg, of dapson 1 dd 100 (50-200) mg.
R/ dexamethason 200 mg pulsetherapie
200 mg IV gedurende 3 dagen.
R/ doxycycline 1 dd 100-200 mg, of combinatietherapie
van doxycyline 1 dd 100 mg en nicotinamide 3-5 dd 500 mg. Zie ook:
doxycycline
en nicotinamide bij blaarziekten. Nicotinamide wordt vaak niet vergoed omdat
de zorgverzekeraars het als zelfzorg beschouwen (vitaminepreparaat). Soms lukt
het om vergoeding aan te vragen (zie voorbeeld
aanvraag vergoeding nicotinamide).
Adjuvante therapie:
R/ azathioprine 50-150 mg per dag of hoger, tot 3 mg/kg/dag (ouderen
2 mg/kg/dag), of:
R/ mycophenolaat mofetil 250-500 mg/dag, ophogen
tot 2-3 dd 1 g/dag.
R/ dapson (diaminodifenylsulfon) 1 dd 100 (50-200) mg.
Bij ernstige therapie-resistente pemphigus vulgaris toevoegen aan
prednison:R/ rituximab (anti-CD20) 1000 mg iv, na 2 weken opnieuw
1000 mg iv. Na een half jaar en na een jaar nogmaals 500 mg. Remissie bij >
80%. Bij goed effect steroïden afbouwen. Het nut van adjuvante middelen bij
rituximab is niet bekend. Rituximab behoort tot de dure geneesmiddelen en is
niet in elk centrum beschikbaar voor pemphigus. Daarbij gaat het niet alleen
om het budget maar ook om ervaring in het voorschrijven ervan, en om expertise
in het behandelen van complexe auto-immuun blaarziekten. Het kan onder andere
worden voorgeschreven in het UMCG, en sinds kort ook in het LUMC.
R/ intraveneuze
immunoglobulinen (
IvIg) 2 g/kg per maand, verdeeld
over 2 of 5 giften. Bijvoorbeeld 1 g/kg op 2 opeenvolgende dagen, of 400 mg/kg
op 5 opeenvolgende dagen. Een andere optie is 1 g/kg op dag 1 en 2 weken later.
R/ prednison + plasmaferese (immunoadsorption).
R/ Endoxan (cyclophosphamide)
1e week 50 mg/dag, ophogen tot 2 mg/kg/dag.
R/ methotrexaat 5-10 mg per week.
R/ bortezomib (Velcade)/cyclofosfamide/dexamethason-kuren (VCD-kuren, gevolgd
door autologe stamceltransplantatie. (Bortezomib 2,5 mg s.c., cyclofosfofamide
1000 mg i.v. en dexamethason 40 mg p.o. op dag 1 en
8, bortezomib 2.5 mg
s.c. op dag 4 en 11 en dexamethason 40 mg p.o op dag 15).
Referenties
| 1. |
Bolognia et al. Dermatology. 2nd Edition,
Mosby, 2008: chapter 30. |
| 2. |
Harman e.a. Guidelines for the management
of pemphigus vulgaris. BJD 2003;149:926-937. |
| 3. |
British Association of Dermatologists Guideline for Pemphigus Vulgaris
2003. |
| 4. |
Martin et al. Interventions for the management
of pemphigus vulgaris and pemphigus foliaceus. Cochrane Review 2009. |
| 5. |
Schmidt et al. Rituximab in severe pemphigus.
Ann N.Y. Sci 2009;1173:683-691. |
| 6. |
Jonkman MF. Tweede stap in de behandeling
van pemfigus en pemfigoïd. Ned Tijdschr Dermatol Venereol 2013;23:187-189. |
Author(s):Markus V. Starink. Dermatologist, Amsterdam UMC.
dr. Jan R. Mekkes. Dermatologist, Amsterdam UMC.