SYPHILIS (SYFILIS) / LUES home ICD10: A53.9

Syfilis (syphilis, lues) is een SOA, een sexueel overdraagbare infectie met Treponema pallidum. Syphilis was op zijn retour in de jaren van de AIDS epidemie, maar is nu weer helemaal terug. Door de introductie van de anti-retrovirale geneesmiddelen is HIV geen dodelijke ziekte meer maar een chronische aandoening. In de risicogroepen (met name homosexuele mannen) wordt hierdoor het veilig vrijen minder serieus genomen, met als gevolg dat het aantal syfilis-gevallen (en ook de andere SOA's) weer zijn gestegen. HIV en syfilis komen vaak samen voor, bij aanwezigheid van syfilis loopt men makkelijker HIV op, en omgekeerd.

Syfilis wordt ingedeeld in verschillende stadia:
- Stadium 1 of lues I (primaire lues) is het eerste stadium, de directe infectie, waarbij een niet pijnlijk ulcus kan ontstaan.
- Stadium 2 of lues II (secundaire lues) is het tweede stadium, gekenmerkt door allerlei huidafwijkingen zoals een rash, roseolen.
- Latente lues (lues latens) is het stadium waarin de huidafwijkingen al verdwenen zijn, er zijn geen klinische verschijnselen, wel is de luesserologie positief.
- Stadium 3 of lues III (tertiaire lues) is orgaanlues, bijvoorbeeld cardiovasculaire lues. Dit komt bijna niet meer voor.
Neurolues is een infectie van de liquor en het brein, dit kan in diverse stadia optreden. Zie onder neurolues.
Congenitale lues is een infectie van het ongeboren kind, besmet in utero. Zie onder congenitale lues.

Verloop van de infectie
De infectie wordt opgelopen via sexueel contact met iemand met een actieve infectie (vroege lues). De kans op besmetting is circa 30%. De spirocheet Treponema pallidum ssp. pallidum dringt waarschijnlijk de huid of mucosa binnen via kleine beschadigingen, ontstaan tijdens seksuele activiteit of al aanwezig. Enkele uren na besmetting kunnen treponema's migreren naar regionale lymfeklieren en daar groeien en zich vervolgens via de circulatie verspreiden naar verschillende organen. De treponema veroorzaakt in organen vasculaire veranderingen, met endarteritis en periarteritis en later de zogenaamde gummateuze ontstekingsreacties. De primaire laesie (ulcus of sjanker) toont hyperplasie van de epidermis, fibrine exudaat, necrose en infiltratie van polymorfonucleaire leukocyten en vasculaire veranderingen. In de primaire laesie worden vaak ook spirocheten aangetroffen. In secundaire syfilis spelen vasculaire veranderingen ook een belangrijke rol, en er zijn histologische veranderingen in dermis en epidermis. Ook wordt neerslag van immuuncomplexen in de huid en in de nieren (glomerulonefritis) gezien. In de latente fase worden treponema's vooral in de milt en in de lymfeklieren gevonden. Spontane eradicatie van treponema's gebeurt waarschijnlijk niet. Ongeveer eenderde van de onbehandelde patiënten in deze fase evolueren naar tertiaire syfilis en circa tweederde blijft levenslang latent. De diagnose latente syfilis wordt vaak gesteld op basis van positieve syfilisdiagnostiek, terwijl anamnestisch niets bekend is van een primaire of secundaire syfilis. Progressie naar tertiaire syfilis is waarschijnlijk een gevolg van het uitdoven van de immuunrespons. Treponema's invaderen nu centraal zenuwstelsel, huid, cardiovasculaire structuren en andere organen, waardoor ontstekingsreacties en een vertraagde hypersensitiviteitreactie ontstaan. In het syfilitische aneurysma van de aorta worden treponema's in de aortawand gezien met ontstekingsinfiltraten rond de vasa vasorum (obliteratieve endarteritis), later gumma en verlittekening. Vasculaire veranderingen en lokale ontstekingsreacties liggen ook ten grondslag aan syfilitische meningitis (zie ook onder dementia paralytica / tabes dorsalis) en parenchymateuze neurosyfilis.


Verloop van syfilis infectie
Beloop van syphilis infectie (bron, adapted from: Golden MR, Marra CM, Holmes KK. Update on syphilis: resurgence of an old problem. JAMA 2003;290(11):1510-1514.)



Treponema pallidum Treponema pallidum
Treponema pallidum T. pallidum (zilver kleuring)

Treponema pallidum Treponema pallidum
Treponema pallidum Treponema pallidum

Foto linksboven: National Institute of Allergy and Infectious Diseases (NIAID) - Wikimedia (Creative Commons License 2.0).
Foto rechtsboven: Michael Bonert (Nephron) - Wikimedia (Creative Commons License 3.0).
Foto's onder: CDC Atlanta - Wikimedia (Creative Commons License 1.0 - Public Domain Images).


Vroege en late lues
Van oudsher wordt lues ook ingedeeld in vroege lues (LI, LII) en late lues (lues latens). Met vroege lues wordt bedoeld dat het moment van oplopen korter dan 1 jaar geleden was. Hieronder vallen lues 1, lues 2 en lues latens recens (vroeg latente syfilis). De behandeling bestaat uit eenmalig 2.4 miljoen IE penicilline. Met late lues wordt bedoeld dat het moment van oplopen langer dan 1 jaar geleden was (lues latens tarda). In deze groep wordt ook de lues van onbekende duur (lues latens onbepaalde duur) ingedeeld. De behandeling van lues latens bestaat uit 3 x 2.4 miljoen IE penicilline.

Type syfilis: Soort behandeling:
Vroege syfilis
(stadium 1,2 en vroeg latente syfilis)
Benzathine benzylpenicilline 2.4 miljoen IE i.m. eenmalig
(ook zwangeren)
Laat latente syfilis of syfilis van onbekende duur Benzathine benzylpenicilline 2.4 miljoen IE i.m. op dag 1, 8 en 15
Neurosyfilis 8-24 ME Penicilline G per infuus in klinische setting
door een dermatoloog, neuroloog of infectioloog
Congenitale syfilis In klinische setting door een kinderarts
Tertiare syfilis In klinische setting door dermatoloog en infectioloog
 



LUES 1 (L1, stadium 1 syphilis, primaire lues) home ICD10: A51.0

L1 is het eerste stadium van de besmetting. Na direct huid of slijmvliescontact met een persoon met een vroege lues laesie raakt circa 1/3 geïnfecteerd. Op de contactplaats (genitaliën, cervix, tong, mondholte, anaal, of elders) ontstaat na een incubatie tijd van 10-90 dagen (gem. 3 weken) het primair affect (L-I), meestal eerst een rode macula, dan een papel, overgaand in een niet pijnlijk ulcus (ulcus durum) van circa 1 cm grootte; tevens lymfadenopathie bij 70-80%. De serologie is bij een hele vroege luesinfectie vaak nog negatief. De diagnose kan worden gesteld door wat materiaal van een erosie of ulcus af te schrapen en dit onder een donkerveld microscoop te bekijken.

Lues (syfilis) stadium 1, erosie Lues (syfilis) stadium 1, papel Lues (syfilis) stadium 1, ulcus durum
lues 1, erosie lues 1, papel lues 1, ulcus

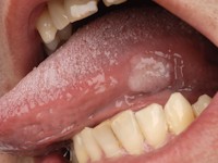
Lues 1 Lues 1, tong Spirochaet in donkerveld preparaat
lues 1, ulcus lues 1, primair affekt, tong donker veld microscopie

Donkerveld foto: Enders M / Barbosa AF et al. - Researchgate (Creative Commons License 4.0).


Diagnostiek bij primaire syfilis:
 - Donkerveld onderzoek; indien negatief maar toch sterke verdenking: herhalen op 2 daaropvolgende dagen.
 - Luesserologie: RPR of VDRL en TPHA. De luesserologie is bij een vroege syfilis vaak nog negatief. Zie onder uitleg lues serologie.

DD: ulcus molle, herpes simplex, traumatisch ulcus, granuloma inguinale, lymphogranuloma venereum, banale bacteriën, aften, fixed drug eruption, lichen planus, BCC, SCC, lymfoom, Behçet.

Therapie:
De standaardbehandeling voor primaire lues, secundaire lues, en lues latens recens bestaat uit:
R/ 2.4 miljoen IE benzathinepenicilline i.m. (bil), verdeeld over beide nates (inspuiten in het bovenste buitenste quadrant).
Meestal worden ampullen van 1.2 miljoen IE benzathinepenicilline geleverd, samen met een ampul met 5 ml water voor injecties. Minimaal 3 ml water voor injecties is nodig om 1.2 miljoen IE benzathinepenicilline poeder goed op te lossen. In de bijsluiter staat: schudden voor gebruik gedurende tenminste 20 seconden. Internationale richtlijnen zeggen ‘shake gently; do not shake forcefully to prevent foam formation’. Als er toch schuim is ontstaan de oplossing 15 min laten staan. Per injectieplaats maximaal 5 ml inspuiten. Daarom wordt het verdeeld over 2 injecties.
Het poeder kan ook worden opgelost in 2 ml lidocaïne 2% zonder adrenaline + 2 ml NaCl (totaal volume 4 ml). Dat reduceert de pijnlijkheid van de injecties. Een dikke naald, een groene (0.8 mm) of een gele (0.9 mm) is nodig omdat de oplossing niet zeer fijn verdeeld is.

Injectie plaats voor i.m. injectie in de billen
plaats i.m. injectie (X)

Foto: Andrewj200 - Wikimedia (Creative Commons License 4.0).

2e keus bij penicilline-allergie:
R/ doxycycline 100 mg 2 dd p.o. gedurende 14 dagen. Cave: resistentie van T. pallidum voor doxycycline is zeldzaam maar komt voor. Alternatieven:
R/ erytromycine 4 dd 500 mg gedurende 14 dagen.
R/ azithromycine 2 g éénmalig, na 1 week nogmaals 2 g.

Ook HIV patiënten worden met een eenmalige injectie behandeld. Wel is het advies om bij HIV goed 3 maandelijks de serologie te controleren om er zeker van te zijn dat de VDRL daalt. Bij niet dalen een lumbaalpunctie overwegen om neurolues uit te sluiten. Bij HIV co-infectie en zwangeren zoveel mogelijk proberen te behandelen met penicilline. Veel patiënten die ooit een rash hadden na een antibioticum verklaren dat ze 'allergisch zijn voor penicillinen' terwijl dat niet echt zo is. Zonodig allergietesten uitvoeren (zie protocol penicilline allergie). Zwangeren met een allergie voor penicilline mogen niet met doxycycline worden behandeld. Een alternatief is erytromycine-stearaat of erytromycine-ES (ethylsuccinaat) 4 dd 500 mg gedurende 30 dagen. Maar van erytromycine en azitromycine is niet bekend of ze voldoende effectief zijn in de zwangerschap. Bij actieve lues in de zwangerschap en penicilline allergie kan worden besloten om toch penicilline te geven, volgens het penicilline desensitisatie schema. Dit is eigenlijk nog de enige indicatie daarvoor.



LUES 2 (L2, stadium 2 syphilis, secundaire lues) home ICD10: A51.3

Ongeveer 3-6 weken na het ontstaan van de primaire laesie, die soms nog aanwezig is, ontwikkelt zich bij 60-90% van de onbehandelde patiënten het ziektebeeld van secundaire syfilis. Dit wordt veroorzaakt door hematogene verspreiding van Treponema. De volgende symptomen kunnen ontstaan:
 - exantheem: maculopapuleus, soms maculo-squameus niet jeukend exantheem op de romp en extremiteiten, inclusief handpalmen en voetzolen.
 - roseolen, roseolae: de naam voor de typische macula op de handpalmen en voetzolen.
 - lymfadenopathie: gegeneraliseerde lymfklierzwelling.
 - condylomata lata: verheven erythemateuze of parelgrijze papels of plaques, afgeplat oppervlak, soms geërodeerd of hyperkeratotisch. Zie onder condylomata lata.
 - enantheem: angina syphilitica en plaques muqueuses (grote oppervlakkige pijnlijke ulcera in mondholte, sterk gezwollen tonsillen, ontstoken keel, slikklachten, verstikkingsgevaar).
 - alopecia syphilitica: diffuse of omschreven (moth eaten) noncicatriciële alopecia; laterale wenkbrauw uitval.
 - acne-achtig beeld.
 - syfilis maligna: multipele ulceraties op het lichaam (vaak bij gestoorde afweer, bijvoorbeeld HIV).
 - algemene malaise, gewichtsverlies, koorts, hoofdpijn, keelpijn, artralgie, botpijn, periostitis, arthritis, bursitis, hepatitis, hepatosplenomegalie, glomerulonefritis, uveitis, chorioretinitis, subacute meningitis, ECG veranderingen.

Lues 2, secundaire syfilis Lues 2, secundaire syfilis Lues 2, secundaire syfilis
lues 2 exantheem lues 2 exantheem lues 2 exantheem

Lues 2, secundaire syfilis Lues 2, secundaire syfilis Lues 2, secundaire syfilis
lues 2 exantheem roseolen, roseola luetica roseolen, roseola luetica

Lues 2, secundaire syfilis Lues 2, secundaire syfilis Annulaire lues
plaques muqueuses plaques muqueuses annulaire lues

Lues 2, secundaire syfilis Lues 2, secundaire syfilis Lues 2, secundaire syfilis
syphilis maligna syphilis maligna moth-eaten alopecia

Foto annulaire lues: Henry Foong - Virtual Grand Rounds In Dermatology - May 22 2011 (Creative Commons License 4.0).


Alle laesies bij lues-II bevatten spirochaeten en zijn besmettelijk. Vooral de condyloma lata zitten boordevol spirochaeten.

Diagnostiek bij primaire syfilis:
 - Donkerveld onderzoek. Van sommige laesies zoals de condyloma lata en de plaques mucosa is eenvoudig een donkerveld preparaat te maken.
 - Biopt. Ook voor de DD is een biopt soms nodig. In het biopt kunnen met speciale kleuringen de Spirochaeten worden aangekleurd.
 - Luesserologie: RPR of VDRL en TPHA. Bij een L2 wordt verwacht dat zowel de VRDL als de TPHA verhoogd zijn.

DD:
De DD van secundaire lues is zeer omvangrijk. Omgekeerd moet bij heel veel huidziekten ook een secundaire lues in de DD worden opgenomen. Lues wordt ook wel 'de aap onder de huidziekten' genoemd omdat het zoveel beelden kan nabootsen. Daarom bij de geringste verdenking de lues serologie bepalen.

Therapie:
De therapie van secundaire lues is het zelfde als bij primaire lues, zie hierboven.

Epidemiologische medebehandeling van contacten van patiënten met vroege lues
Dit is geïndiceerd indien:
a. het een contact van een bewezen luesgeval is, en het stadium bekend is (L-I, L-II, lues recens);
b. het een dusdanig regelmatig contact betreft, dat de besmettingskans aanzienlijk moet worden geacht.

Het volgende protocol zal worden gehanteerd:
1. Elk contact wordt lichamelijk op lues en andere SOA onderzocht, inclusief luesserologie.
2. Indien aanwijzingen voor lues ontbreken, worden de uitslagen van de luesserologie afgewacht.
3. Er zijn verschillende mogelijkheden:
   a. De serologie is negatief: het contact wordt epidemiologisch behandeld met het advies tot serologische nacontrole na 3 maanden. Er wordt géén luesdiagnose gesteld.
   b. De serologie is positief en wel zodanig dat hierop de diagnose actieve lues gesteld kan worden: de patiënt wordt behandeld en nagecontroleerd op de gebruikelijke wijze.
   c. De serologie is positief, echter niet zodanig dat de diagnose actieve lues gesteld kan worden. Dan zijn er twee mogelijkheden:
   c.1. Het contact is bekend met een reeds eerder doorgemaakte lues en wordt daar eventueel reeds voor nagecontroleerd. In dit geval wordt het contact epidemiologisch behandeld en voorts gecontroleerd als tevoren.
   c.2. Het contact is nooit eerder gecontroleerd of was bij controles langer dan 2 jaar geleden negatief en is niet bekend met een eerder doorgemaakte lues. Het probleem doet zich nu voor òf de positieve uitslagen passen bij een lues latens tarda òf een zich ontwikkelende lues recens. Deze contacten worden na één week opnieuw serologisch onderzocht. Indien geen titerstijging optreedt worden deze patiënten als een lues latens tarda beschouwd en als zodanig behandeld. Treedt er echter wel een titerstijging op dan betreft het kennelijk een lues recens, waarna behandeling en controle passend bij dit stadium volgt.
4. De epidemiologische behandeling bestaat uit 1 x 2.4 mE benzathinepenicilline i.m.



LATENTE SYFILIS (lues latens) home ICD10: A53.0

Na de infectieuze periode met syfilis I en II volgt een periode van latentie zonder klinische verschijnselen. Alleen de serologie is positief. Latente syfilis met een duur korter dan 1 jaar wordt lues latens recens genoemd, langer dan 1 jaar heet lues latens tarda, en indien het moment van besmetting niet kan worden achterhaald heet het lues latens onbepaalde duur.

Therapie:
R/ 3 keer 2.4 miljoen IE benzathinepenicilline i.m. (bil), verdeeld over beide nates. Op dag 1, dag 8 en dag 15.
2e keus bij penicilline-allergie:
R/ doxycycline 100 mg 2 dd p.o. gedurende 28 dagen. Cave: resistentie van T. pallidum voor doxycycline is zeldzaam maar komt voor.
Alternatieven:
R/ erytromycine 4 dd 500 mg gedurende 30 dagen.
R/ azithromycine 2 g éénmalig, na 1 week nogmaals 2 g.
Bij lues latens moet men bedacht zijn op de aanwezigheid van neurolues. Als de lues serologie (VDRL) verhoogd is, na 3 maanden controleren of het na behandeling gedaald is.  



NEUROLUES home ICD10: A52.3

Aan neurolues is een apart hoofdstuk gewijd. Zie onder neurolues.



CONGENITALE LUES home ICD10: A50.9

Aan congenitale lues is een apart hoofdstuk gewijd. Zie onder congenitale lues



LUES III (L3, orgaanlues, tertiaire lues) home ICD10: A52.7

Twee tot vier jaar na besmetting kan 'vroege' tertiaire orgaansyfilis ontstaan met als kenmerk tuberculoïde nodeuze of ulcererende afwijkingen in huid (syphilis tertiaria tuberoserpiginosa, syphilis tertiaria tubero-ulcerosa), slijmvliezen, botten en vrijwel elk inwendig orgaan, de zogenaamde gummata. Het zijn chronisch proliferatieve ontstekingsprocessen (lijkend op granulomen). De symptomen zijn afhankelijk van de getroffen organen. De totale periode waarin tertiaire syfilis kan ontstaan is 2 tot 30 jaar na besmetting. Tertiaire syfilis omvat onder andere cardiovasculaire syfilis, neurosyfilis en orgaansyfilis. Cardiovasculaire syfilis is een zeer late vorm van tertiaire syfilis, symptomen ontstaan 20 tot 30 jaar na besmetting. Belangrijkste verschijnsel is een aneurysma van het ascenderende deel van de aorta door endarteritis obliterans van de vasa vasorum en destructie van de aortaklep. In het aneurysma worden treponema's in de aortawand gezien met ontstekingsinfiltraten rond de vasa vasorum, later gumma en verlittekening.
Neurosyfilis kan zich op verschillenden manieren uiten: bij vroege lues als asymptomatische neurosyfilis met liquorveranderingen, als acute aseptische meningitis, en als meningovasculaire syfilis. Als tertiaire lues in de vorm van parenchymateuze syfilis, na 5 tot 25 jaar, met tabes dorsalis en paresis met een progressief dementerend beloop (dementia paralytica), en als cerebrale gummata.

Tertiaire lues Tertiaire lues
cardiovasculaire syfilis cardiovasculaire syfilis

Foto rechts: Madke BS. et al. Indian J Sex Transm Dis AIDS 2010;31(2):118-121 (Creative Commons License 2.0 - Public Access Journal).



Overzicht uit de NVDV SOA Richtlijn (samenvattingskaart):

SOA: Incubatietijd, symptomatologie: Diagnostiek: Behandeling: Nazorg en partnerwaarschuwing:
Syfilis, vroeg (dwz  <1 jr tevoren geacquireerd; primair, secundair en vroeg latent)
Algemeen advies: pat. met vroege syfilis verwijzen naar SOA-poli/dermatoloog (therapie plus klinische en serologische controle, contactopsporing, counseling, overleg HIV-test), evt vast therapie geven als diagnostiek rond is
Cave DD: exantheem tgv bijv HIV
Incubatietijd: 10 tot 90 dagen Primair (lues I): genitaal, perianaal of oraal ulcus durum met / zonder palpabele lymfadenitis
Secundair (lues II): maculopapuleus, meestal niet jeukend exantheem op romp en extremiteiten, bij >70% exantheem handpalmen en voetzolen
Vroeg latent (lues latens recens): asymptomatische infectie, <1 jr tevoren geacquireerd   Complicaties vroege syfilis (secundaire en vroeg latente syfilis), met name bij HIV-pos. pat:
 - uveitis luetica
 - 'sudden deafness' (otitis luetica); eventueel: acute meningitis, nefritis, hepatitis
Primaire screeningstest : TPPA, eventueel EIA
Bevestigingstest : FTA-abs;
alternatieven : EIA (als bij 1e screening TPPA pos), TPPA (als bij 1e screening EIA pos); eventueel IgG immunoblot
Tevens, als primaire screeningstest pos. : VDRL (of RPR), kwantitatief (monitoren ther. respons van titer; stagering: als bij asymptomatische pat. VDRL ≥1 :32, diagnose lues latens recens waarschijnlijk)
Sneldiagnostiek: donker veld microscopie van exsudaat ulcus
Eventueel: NAAT exsudaat lues I NB HIV serologie
2,4 miljoen IE benzathine benzylpenicilline i.m. eenmalig (evt. 1,2 miljoen IE oplossen in 2 cc lidocaine 20 mg/ml + 2 cc fys . zout, in elke bil)
2e keus: doxycycline 100 mg 2 dd p.o. 14 dagen (cave: zeldzaam resistentie van T. pall.)
NB Bij HIV co-infectie en zwangeren zoveel mogelijk behandelen met penicilline; indien allergie voor penicilline: overleg met SOA-poli/ dermatoloog (desensibilisatie overwegen)
Bij hiv+ overweeg LP i.o. ter zake deskundige dermatoveneroloog / soapoli
Partnerwaarschuwing:
- Lues I: alle partners van de afgelopen 3 mnd
- Lues II: alle partners van de afgelopen 6 mnd
- Lues latens recens : alle partners van de afgelopen 12 mnd (eventueel 24 mnd)
Controle elke 3 maanden in 1e jaar en halfjaarlijks in 2e jaar (criterium goede respons: viervoudige titerdaling, dwz 2 stappen, na 6 mnd; cave: bij circa 15% pat na ther. vroege lues niet gerealiseerd)
Bij complicaties: controle oogarts, KNO-arts, internist of neuroloog
Syfilis, laat latent (dwz > 1 jaar tevoren geaquireerd) of latente syfilis van onbekende duur
Algemeen advies: pat. met latente syfilis verwijzen naar SOA-poli/dermatoloog (diagnostiek, controle, partnerwaarschuwing, counseling, overleg HIV-test)
Laat latent (lues latens tarda of lues latens nno): asymptomatische infectie (pos. syfilis serologie zonder behandeling van syfilis in de voorgeschiedenis) TPPA en/of EIA, eventueel FTA-abs of IgG immunoblot, VDRL kwantitatief  Uitsluiten : neurolues en cardiovasculaire lues (bij voorkeur via SOA-poli/ dermatoloog)
NB HIV serologie
2,4 miljoen IE benzathine benzylpenicilline i.m. dag 1, 8 en 15 (evt. 1,2 miljoen IE oplossen in 2 cc lidocaine 20 mg/ml + 2 cc fys . zout, in elke bil)
2e keus: doxycycline 100 mg 2 dd p.o. 28 dagen
NB Bij HIV co-infectie en zwangeren zoveel mogelijk met penicilline behandelen; indien allergie voor penicilline: overleg met SOA-poli/ dermatoloog
Bij hiv+ overweeg LP i.o. ter zake deskundige dermatoveneroloog / soapoli
Partnerwaarschuwing: huidige (vaste) partner
Controle: frequentie/duur afhankelijk van VDRL titer ten tijde van diagnose (controle niet zinvol bij lage VDRL titer)
Neuro-syfilis Hersenzenuw uitval, hoofdpijn, visus-, gehoorstoornissen, pijn/neuropathie benen, gedragveranderingen bij aanwijzingen voor syfilis Liquor onderzoek (TPPA, VDRL, mononucleairen, IgG-index, albumine quotient; optioneel: TPPA-index Wenen 2000) Klinische behandeling: benzylpenicilline G 0.15 milj IE/kg/dag (of 12-24 milj IE) i.v., verdeeld over 6 doses/dag 10-14 dagen Partnerwaarschuwing: afhankelijk van het stadium, zie onder syfilis
Controle via dermatoloog en neuroloog en zo nodig KNO-arts, oogarts
Congenitale syfilis Kraakbeen- (zadelneus), bot-, cardiale en neurologische afwijkingen. Intra-uterine vruchtdood. Neonataal serum (geen navelstrengbloed): IgM immuno-blot (anti-T. pallidum)
NB IgM immunoblot neg. bij asympt. neonaat: syphilis cong. onwaarschijnlijk
Echo op foetale afwijkingen
Klinische behandeling: penicilline i.v. of i.m. (zie Guidelines IUSTI/WHO Europe: www.iusti.org)
Evt. preventieve ther. van asymptomatische neonaat: benzathine penicilline 50.000 IE/kg i.m. eenmalig
Epidemiologisch beleid: diagnostiek/ther./controle moeder Controle via kinderarts en evt dermatoloog Pos. syfilis serologie van neonaat tgv passieve transfer: 6 mnd postpartum neg


patientenfolder

Referenties
1. Madke BS, Agrawal NB, Vaideeswar P, Pradhan M, Rojekar AV, Khopkar US. Luetic aortopathy: Revisited. Indian J Sex Transm Dis AIDS 2010;31(2):118-121.
2. Golden MR, Marra CM, Holmes KK. Update on syphilis: resurgence of an old problem. JAMA 2003;290(11):1510-1514.


Author(s):
dr. Jan R. Mekkes. Dermatologist, Amsterdam UMC.

31-05-2023 (JRM) - www.skin-diseases.eu Terug naar homepagina



Diagnosis codes:
ICD10 A51 Primaire syfilis
ICD10 A51 Early syphilis
SNOMED 186846005 Early symptomatic syphilis
DBC 21 spacer SOA

ICD10 A51.0 Primaire genitale syfilis
ICD10 A51.0 Primary genital syphilis
SNOMED 186847001 Primary genital syphilis
DBC 21 spacer SOA

ICD10 A51.1 Primaire anale syfilis
ICD10 A51.1 Primary anal syphilis
SNOMED 31015008 Primary anal syphilis
DBC 21 spacer SOA

ICD10 A51.2 Primaire syfilis van overige lokalisaties
ICD10 A51.2 Primary syphilis of other sites
SNOMED 266127002 Primary syphilis
DBC 21 spacer SOA

ICD10 A51.3 Secundaire syfilis van huid en slijmvliezen
ICD10 A51.3 Secondary syphilis of skin and mucous membranes
SNOMED 186850003 Secondary syphilis of skin and mucous membranes
DBC 21 spacer SOA

ICD10 A51.3 Secundaire syfilis van huid en slijmvliezen: secundaire syfilis van huid
ICD10 A51.3 Secondary syphilis of skin and mucous membranes: secondary syphilis of skin
SNOMED 59233003 Secondary syphilis of skin
DBC 21 spacer SOA

ICD10 A51.3 Secundaire syfilis van huid en slijmvliezen: secundaire syfilis van slijmvliezen
ICD10 A51.3 Secondary syphilis of skin and mucous membranes: secondary syphilis of mucous membrane
SNOMED 39085002 Secondary syphilis of mucous membrane
DBC 21 spacer SOA

ICD10 A51.3 Secundaire syfilis van huid en slijmvliezen: syfilis van mondholte
ICD10 A51.3 Secondary syphilis of skin and mucous membranes: syphilis of mouth
SNOMED 60528006 Secondary syphilis of mouth
DBC 21 spacer SOA

ICD10 A51.3 Secundaire syfilis van huid en slijmvliezen: condyloma latum
ICD10 A51.3 Secondary syphilis of skin and mucous membranes: condyloma latum
SNOMED 91554004 Condyloma latum
DBC 21 spacer SOA

ICD10 A51.3 Secundaire syfilis van huid en slijmvliezen: roseolae syphilitica
ICD10 A51.3 Secondary syphilis of skin and mucous membranes: roseolae syphilitica
SNOMED 240558009 Macular syphilide
DBC 21 spacer SOA

ICD10 A51.3 Secundaire syfilis van huid en slijmvliezen: alopecia luetica
ICD10 A51.3 Secondary syphilis of skin and mucous membranes: alopecia luetica
SNOMED 59307008 Syphilitic alopecia
DBC 21 spacer SOA

ICD10 A51.3 Secundaire syfilis van huid en slijmvliezen: lues maligna
ICD10 A51.3 Secondary syphilis of skin and mucous membranes: lues maligna
SNOMED 866115006 Lues maligna
DBC 21 spacer SOA

ICD10 A51.4 Overige secundaire syfilis
ICD10 A51.4 Other secondary syphilis
SNOMED 240557004 Secondary syphilis
DBC 21 spacer SOA

ICD10 A51.4 Overige secundaire syfilis: recidief
ICD10 A51.4 Other secondary syphilis: relapse
SNOMED 186861006 Secondary syphilis relapse
DBC 21 spacer SOA

ICD10 A51.5 Vroege syfilis, latent
ICD10 A51.5 Early syphilis, latent
SNOMED 186867005 Latent early syphilis
DBC 21 spacer SOA

ICD10 A51.9 Vroege syfilis, niet gespecificeerd
ICD10 A51.9 Early syphilis, unspecified
SNOMED 186846005 Early symptomatic syphilis
DBC 21 spacer SOA

ICD10 A52.0 Cardiovasculaire syfilis
ICD10 A52.0 Cardiovascular syphilis
SNOMED 83883001 Cardiovascular syphilis
DBC 21 spacer SOA

ICD10 A52.0 Cardiovasculaire syfilis: aneurysma van de aorta door syfilis
ICD10 A52.0 Cardiovascular syphilis: syphilitic aneurysm of aorta
SNOMED 12232008 Syphilitic aneurysm of aorta
DBC 21 spacer SOA

ICD10 A52.1 Symptomatische neurosyfilis: tabes dorsales
ICD10 A52.1 Symptomatic neurosyphilis: tabes dorsales
SNOMED 316841006 Tabes dorsalis
DBC 21 spacer SOA

ICD10 A52.1 Symptomatische neurosyfilis: dementia paralytica
ICD10 A52.1 Symptomatic neurosyphilis: dementia paralytica
SNOMED 51928006 General paresis - neurosyphilis
DBC 21 spacer SOA

ICD10 A52.2 Asymptomatische neurosyfilis
ICD10 A52.2 Asymptomatic neurosyphilis
SNOMED 37754005 Asymptomatic neurosyphilis
DBC 21 spacer SOA

ICD10 A52.3 Neurosyfilis, niet gespecificeerd
ICD10 A52.3 Neurosyphilis, unspecified
SNOMED 26039008 Neurosyphilis
DBC 21 spacer SOA

ICD10 A52.7 Overige tertiaire syfilis
ICD10 A52.7 Other symptomatic late syphilis
SNOMED 72083004 Late syphilis
DBC 21 spacer SOA

ICD10 A52.7 Overige tertiaire syfilis: late syfilis van huid
ICD10 A52.7 Other symptomatic late syphilis: late syphilis of skin
SNOMED 788975001 Late syphilis of skin
DBC 21 spacer SOA

ICD10 A52.8 Late gespecificeerde syfilis, latent
ICD10 A52.8 Late syphilis, latent
SNOMED 186903006 Late latent syphilis
DBC 21 spacer SOA

ICD10 A52.9 Late syfilis, niet gespecificeerd
ICD10 A52.9 Late syphilis, unspecified
SNOMED 72083004 Late syphilis
DBC 21 spacer SOA

ICD10 A53.0 Latente syfilis, niet gespecificeerd als vroeg of laat
ICD10 A53.0 Latent syphilis, unspecified as early or late
SNOMED 444150000 Latent syphilis
DBC 21 spacer SOA

ICD10 A53.0 Latente syfilis, niet gespecificeerd als vroeg of laat: latente syfilis met positieve serologie
ICD10 A53.0 Latent syphilis, unspecified as early or late: latent syphilis with positive serology
SNOMED 67125004 Latent syphilis with positive serology
DBC 21 spacer SOA

ICD10 A53.9 Syfilis, niet gespecificeerd
ICD10 A53.9 Syphilis, unspecified
SNOMED 76272004 Syphilis
DBC 21 spacer SOA