Maculopapuleuze cutane mastocytose (urticaria pigmentosa) is een meestal goedaardige,
zeldzame afwijking (ca. 1 op 2500 dermatologische patiënten), veroorzaakt
door proliferatie (clonale expansie) van
mestcellen,
waarschijnlijk berustend op mutaties (o.a. Val816Asp) in het gen voor de
c-kit tyrosine kinase receptor op het oppervlak van mestcellen, of zijn
ligand SCF (stem cell factor). Mestcelproliferatie kan beperkt zijn tot de huid (
cutane mastocytose), of
uitgebreid zijn tot andere organen (
systemische mastocytose). Urticaria
pigmentosa wordt ingedeeld onder de
cutane mastocytosen.
Maculopapuleuze cutane mastocytose is de meest
voorkomende vorm van
cutane mastocytose. Er bestaat een
juveniele en een
adulte vorm. De juveniele
vorm begint vroeg (25% vanaf de geboorte, 80% in het eerste jaar), gaat
meestal voor de puberteit spontaan over, en er is zelden sprake van
systemische mastocytose (zie
ook onder
mastocytose bij kinderen). De adulte vorm ontstaat gemiddeld rond het
dertigste jaar en gaat zelden spontaan over. De huidafwijking bestaat
meestal uit multipele (gedissemineerde) roodbruine maculae, papulae of nodi,
vooral aan de extremiteiten, daarna de romp. Niet op handpalmen, voetzolen,
of gelaat. Wanneer men over zo'n macula strijkt ontstaat een lineaire
verhevenheid (
Darier's
sign). Dit is het gevolg van het vrijkomen van histamine en andere
vasoactieve stoffen uit de mestcellen in de dermis. De hyperpigmentatie
ontstaat door toegenomen melanocyten activiteit, waardoor er meer
melanosomen in de keratinocyten voorkomen. Er is ook een aanzienlijke
pigment incontinentie. De etiologie van de toegenomen pigmentsynthese is
onbekend maar de toename in het aantal mestcellen is mogelijk
verantwoordelijk voor de overproduktie van een alternatief substraat voor
het tyrosinase van de melanocyten, dat lijdt tot pigmentvorming.
![Urticaria pigmentosa (click on photo to enlarge) [source: www.huidziekten.nl] Urticaria pigmentosa](../../../images/urticaria-pigmentosa-1z.jpg) |
![Urticaria pigmentosa (click on photo to enlarge) [source: www.huidziekten.nl] Urticaria pigmentosa](../../../images/urticaria-pigmentosa-2z.jpg) |
![Urticaria pigmentosa (click on photo to enlarge) [source: www.huidziekten.nl] Urticaria pigmentosa](../../../images/urticaria-pigmentosa-3z.jpg) |
| urticaria
pigmentosa |
urticaria
pigmentosa |
cutane
mastocytose |
![Urticaria pigmentosa (click on photo to enlarge) [source: www.huidziekten.nl] Urticaria pigmentosa](../../../images/urticaria-pigmentosa-4z.jpg) |
![Urticaria pigmentosa (click on photo to enlarge) [source: www.huidziekten.nl] Urticaria pigmentosa](../../../images/urticaria-pigmentosa-5z.jpg) |
![Urticaria pigmentosa (click on photo to enlarge) [source: www.huidziekten.nl] Urticaria pigmentosa](../../../images/urticaria-pigmentosa-6z.jpg) |
| cutane
mastocytose |
urticaria
pigmentosa |
urticaria
pigmentosa |
![Urticaria pigmentosa (click on photo to enlarge) [source: www.huidziekten.nl] Urticaria pigmentosa](../../../images/urticaria-pigmentosa-7z.jpg) |
![Urticaria pigmentosa (click on photo to enlarge) [source: www.huidziekten.nl] Urticaria pigmentosa](../../../images/urticaria-pigmentosa-8z.jpg) |
![Urticaria pigmentosa (click on photo to enlarge) [source: www.huidziekten.nl] Urticaria pigmentosa](../../../images/urticaria-pigmentosa-9z.jpg) |
| urticaria
pigmentosa |
urticaria
pigmentosa |
urticaria
pigmentosa |
![Urticaria pigmentosa (click on photo to enlarge) [source: www.huidziekten.nl] Urticaria pigmentosa](../../../images/urticaria-pigmentosa-10z.jpg) |
![Urticaria pigmentosa (click on photo to enlarge) [source: www.huidziekten.nl] Urticaria pigmentosa](../../../images/urticaria-pigmentosa-11z.jpg) |
![Urticaria pigmentosa (click on photo to enlarge) [source: www.huidziekten.nl] Urticaria pigmentosa](../../../images/urticaria-pigmentosa-12z.jpg) |
| Darier's
sign |
diffuse
mastocytose |
bulleuze
mastocytose |
Bij kinderen komen ook solitaire laesies voor
(
mastocytoom). In zeldzame gevallen kan blaarvorming optreden (
bulleuze
mastocytose, urticaria
pigmentosa bullosa). Er bestaat ook een diffuse vorm, meestal voor het 3e
jaar optredend, waarbij het aantal mestcellen per vierkante centimeter is
toegenomen zonder dat dat uitwendig te zien is. Ook dan is er een positieve
reaktie op dermografie.
Teleangiectasia macularis eruptiva perstans is een
zeldzame variant met teleangiectasiën die meestal bij volwassenen wordt
gezien. De jeuk bij mastocytose kan worden verergerd door
temperatuurswisseling, wrijven over de huid, hete dranken, gekruid voedsel,
alcohol, en sommige geneesmiddelen. Patiënten met mastocytose hebben soms
ook andere klachten die door mestceldegranulatie verklaard kunnen worden:
vasodilatatie ('flushing'), lage bloeddruk, tachycardie, duizeligheid,
syncope, hoofdpijn, buikkrampen, diarree, misselijkheid, overgeven,
gewichtsverlies. Zij dienen dan ook produkten (genees- en voedingsmiddelen)
te mijden die mestceldegranulatie veroorzaken.
Differentiële Diagnose:Urticaria,
angio-oedeem, anafylaxis, carcinoid syndroom, feochromocytoom, VIP
(vasoactive intestinal peptide) producerende darmtumoren, Zollinger-Ellison
syndroom, botmetastasen, angioblastic T-cel lymfoom.
Diagnostiek:- Huidbiopt
lesionale huid en eventueel ook nonlesionale huid (routine HE, eventueel kan
gekeken worden naar CD2 (LFA-2) of CD25 (IL-2 receptor) expressie, mogelijke
markers voor systemische mastocytose).
-
Serum
tryptase.
- Routine lab: Hb, BSE, Leuko's
+ diff, totaal eo's, trombo's, ery's, APTT en PTT, OT, PT, AF, GGT, LDH, Calcium,
Fosfaat, albumine. Er kunnen lab-afwijkingen zijn zoals anemie, eosinofilie,
verhoogd AF, calcium en fosfaat, verlengde protrombinetijd door heparine afkomstig
uit mestcellen.
Bij
aanwijzingen voor systemische mastocytose (flushing, anaphylaxie,
gastrointestinale verschijnselen, verhoogd serum tryptase (> 20 μg/l, en
vooral als het sterk verhoogd is (>75 μg/l)), of andere suggestieve lab-afwijkingen, of vergrote lever, milt
of lymfklieren)
verwijzen naar een hematoloog voor aanvullende diagnostiek
zoals:
- Histaminemetabolieten methylhistamine (MH, normaal < 150
mmol/mol kreat plasma) en methylimidazolazijnzuur (MIMA, normaal 0,9-1,9 mmol/mol
kreat) in 24 uurs urine. Urine verzamelen in een ongebruikte plastic container,
waarin ca. 2 ml 20% chloorhexidinedigluconaat zit. Tijdens verzamelen de urine
zoveel mogelijk koel bewaren. Voor methylhistamine tevens 1 buis EDTA-bloed
meesturen.
- D816V mutatie in KIT in bloed (o.a. bij
medische immunologie Erasmus).
- Beenmergpunctie. Bij kinderen is een beenmergpunctie niet
nodig omdat ze zelden systemische uitbreiding hebben.
- echo lever en milt
(hepatosplenomegalie, kleine echoarme gebieden?), zonodig CT-scan.
- Röntgenfoto's,
X-CWK, TWK, LWK, bekken, schedel, en proximale lange pijpbeenderen (bovenarmen,
bovenbenen) en/of skeletscintigrafie of MRI (botlokalisaties?).
- Dexascan
(osteoporose), vertebral fracture assessment, bèta-CTX (carboxy-terminal collagen
crosslinks).
- Uitbreiding naar de tractus digestivus kan middels endoscopische
biopten worden vastgesteld.
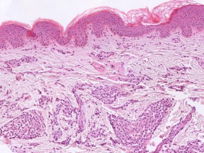
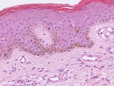
PA:Toename (> 20 per 100x veld) van normaal
uitziende mestcellen in het bovenste deel van de dermis, vooral
perivasculair. Mestcellen
kunnen worden herkend aan de vorm maar ook worden aangetoond met een
mestceltryptase kleuring. Soms is het nodig om ook een nonlesionaal biopt af
te nemen om toename te objectiveren.
![Histologie urticaria pigmentosa (click on photo to enlarge) [source: Kevin Kwee / Afdeling Pathologie MUMC] Histologie urticaria pigmentosa](../../../pacoupes/thumbnails/urticaria-pigmentosa-1.jpg) |
![Histologie urticaria pigmentosa (click on photo to enlarge) [source: Kevin Kwee / Afdeling Pathologie MUMC] Histologie urticaria pigmentosa](../../../pacoupes/thumbnails/urticaria-pigmentosa-2.jpg) |
|
ingescande coupe (zoom) |
ingescande coupe (zoom) |
Therapie:Mijden van produkten die mestceldegranulatie kunnen
veroorzaken (salicylaten, NSAID's, morfine, anesthetica,
radiocontrastmiddelen, polymyxine B, kinine, schaaldieren, etc.).
R/
Antihistaminica, bij voorkeur niet sederend, diverse opties. Ketotifen
zou mestcelstabiliserend werken.
R/ Natriumcromoglycaat profylaxe,
H2-blokkers (cimetidine, ranitidine). Kunnen bij alle vormen werkzaam zijn,
en zijn daarnaast effectief bij maag-darmklachten. Bij maagzuur zonodig
protonpompremmers (omeprazol).
R/ Lokaal corticosteroiden graad III-IV,
langer dan 4 weken toegepast, kan het aantal mestcellen terugdringen.
R/
PUVA therapie reduceert jeuk en zwellingen, effect kan enkele maanden
aanhouden.
R/ Ascal en NSAID's kunnen de vasodilatatie remmen, echter bij
5% induceren deze middelen juist ernstige anafylaxie.
R/
Epipen
(epinefrine, adrenaline) bij patiënten die een
anafylactische shock t.g.v. een type I allergie hebben doorgemaakt en
bij patiënten met een verhoogd serum tryptase.
Schrijf een recept uit voor 2 epipennen mee. Een Epipen (merknaam) kost
circa 44 euro en is maximaal een jaar houdbaar (let bij aanschaf op de
houdbaarheidsdatum!).
Systemische mastocytose wordt doorverwezen naar de
hematoloog. Afhankelijk van het subtype
systemische mastocytose
wordt behandeld met o.a. interferon, hydroxyureum, prednison, chemotherapie (dauromycin, etoposide,
6-mercaptopurine, en andere cytostatica), en nieuwe targeted therapies.
Referenties
| 1. |
Valent P, Horny HP, Escribano L, Longley BJ, Li CY, Schwartz LB, et al.
Diagnostic criteria and classification of mastocytosis: a consensus
proposal. Leukemia Research 25;2001:603-625. |
| 2. |
Furitsu T, Tsujimura
T, Tono T, et al. Identification of mutations in the coding sequence of the
proto-oncogene c-kit in a human mest cell leukemia cell line causing
ligand-independent activation of c-kit product. J Clin Invest 1993;92:1736. |
| 3. |
Schwartz LB. Clinical utility of tryptase levels in systemic
mastocytosis and associated hematologic disorders. Leukemia Research
25;2001:553-562. |
| 4. |
Sperr WR, Jordan JH, Fiegl M, Escribano L, Bellas
C, Dirnhofer S, et al. Serum tryptase levels in patients with mastocytosis:
correlation with mast cell burden and implication for defining the category
of disease. Int Arch Allergy Immunol 2002;128:136-141. |
| 5. |
Marone G,
Spadaro G, Granata F, Triggiani M. Treatment of mastocytosis: pharmacologic
basis and current concepts. Leukemia Research 25;2001:583-594. |
| 6. |
Briley LD, Phillips CM. Cutaneous
mastocytosis: a review focusing on the pediatric population. Clin
Pediatr (Phila) 2008;47(8):757-761. |
Author(s):
dr. Jan R. Mekkes. Dermatologist, Amsterdam UMC.