Het
Churg-Strauss syndroom (allergische granulomatosis of allergische
angiitis) is een zeldzame (circa 1:80.000)
systemische vasculitis van kleine
bloedvaten tot middelgrote slagaderen met afwijkingen in longen, huid,
darmen, zenuwen en het hart. De diagnose wordt gesteld op de combinatie van
astma, perifere eosinofilie, neuropathie, polyposis nasi, en necrotiserende
vasculitis. Het ontstaat bij patiƫnten met jarenlang bestaande astma,
neuspoliepen of veelvuldige ontstekingen van de bovenste luchtwegen. Het
wordt tegenwoordig
EGPA (
Eosinofiele Granulomatose met Polyangiitis)
genoemd. Omdat de ziekte ook gepaard gaat met ontstekingen in de longen en
in de neus, is er een grote overeenkomst met de
ziekte van
Wegener, nu
GPA genoemd (
Granulomatose met PolyAngiitis). Bij patiƫnten
met Churg-Strauss syndroom wordt vaak geen echte IgE gemedieerde allergie
gevonden als oorzaak van de astma; wel is er
eosinofilie en vaak ook leukocytose. De oorzaak is onbekend. Soms kan
het door geneesmiddelen worden uitgelokt.
![Churg-Strauss syndroom (click on photo to enlarge) [source: www.huidziekten.nl] Churg-Strauss syndroom](../../../images/Churg-Strauss-syndroom-1z.jpg) |
![Churg-Strauss syndroom (click on photo to enlarge) [source: www.huidziekten.nl] Churg-Strauss syndroom](../../../images/Churg-Strauss-syndroom-2z.jpg) |
![Churg-Strauss syndroom (click on photo to enlarge) [source: www.huidziekten.nl] Churg-Strauss syndroom](../../../images/Churg-Strauss-syndroom-3z.jpg) |
| Churg-Strauss syndroom |
Churg-Strauss syndroom |
Churg-Strauss syndroom |
Klinisch beeld:
Algemene malaise, koorts, gewichtsverlies, nachtzweten, reumatische klachten
aan gewrichten en spieren. Huid: purpura, ulcera, granulomateuze
ontstekingen, EEM-achtige beelden, noduli, bullae, urticaria, livedo
reticularis. In het klassieke geval ontstaan noduli (Churg-Strauss
granulomata, nodular extravascular pallisading granuloma) op de strekzijden
v.d. extremiteiten. Neus: neuspoliepen, verstopping, rhinitis,
bijholteontstekingen. Hart: endocarditis, atherosclrose, hartinfarct,
hartritmestoornissen. Longen: astmatische klachten, pulmonale vasculitis,
dyspnoe, hoesten, bloed opgeven, pijn bij ademhalen. Nieren: verminderde
nierfunctie, hypertensie. Zenuwen: perifere polyneuropathie.
Maag-darmkanaal: buikkrampen, ischemie, bloed bij ontlasting.
Criteria voor EGPA (eosinophilic granulomatosis with polyangiitis):
Aanwezigheid van 3 Lanham criteria (1984): astma, eosinofilie
>1500/mm
3 of >10%, en vasculitis in 2 of meer organen.
Of: aanwezigheid van 4 van 6 ACR citeria (1990): astma, eosinofilie
>10%, neuropathie, longinfiltraten, afwijkingen in de neusbijholten, en extravasatie van eosinofielen.
Of: voldoen aan de Chapel Hill definitie (2012): eosinophil-rich and necrotizing granulomatous inflammation often involving the respiratory tract, and necrotizing vasculitis predominantly affecting small to medium vessel, and associated with asthma and eosinophilia. ANCA is more frequent when glomerulonephritis is present.
DD: ziekte
van Wegener, andere vormen van
vasculitis (
PAN),
Goodpasture's syndroom,
hypereosinofiel syndroom, SLE, RA, tumor bovenste luchtwegen/longen,
infectie.
Diagnostiek:Lab: BSE, CRP, leuko's,
diff (eosinofilie). Totaal IgE. ANCA's (pANCA (anti-MPO) bij circa 50%
positief). X-thorax. Neurologisch onderzoek (EMG). KNO controle
(neuspoliepen?). Biopten van afwijkingen (huid, longen, nieren).
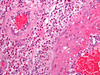
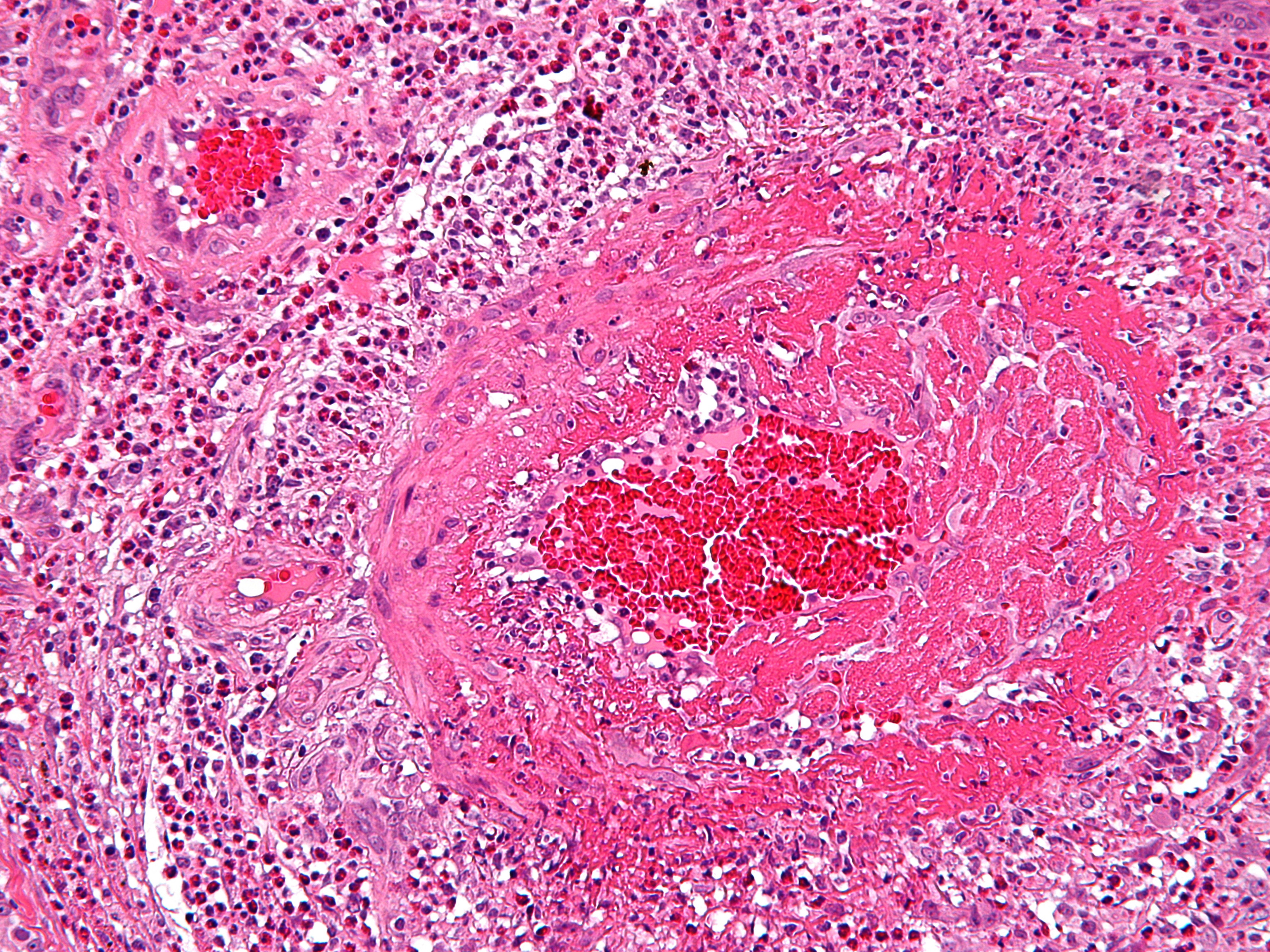
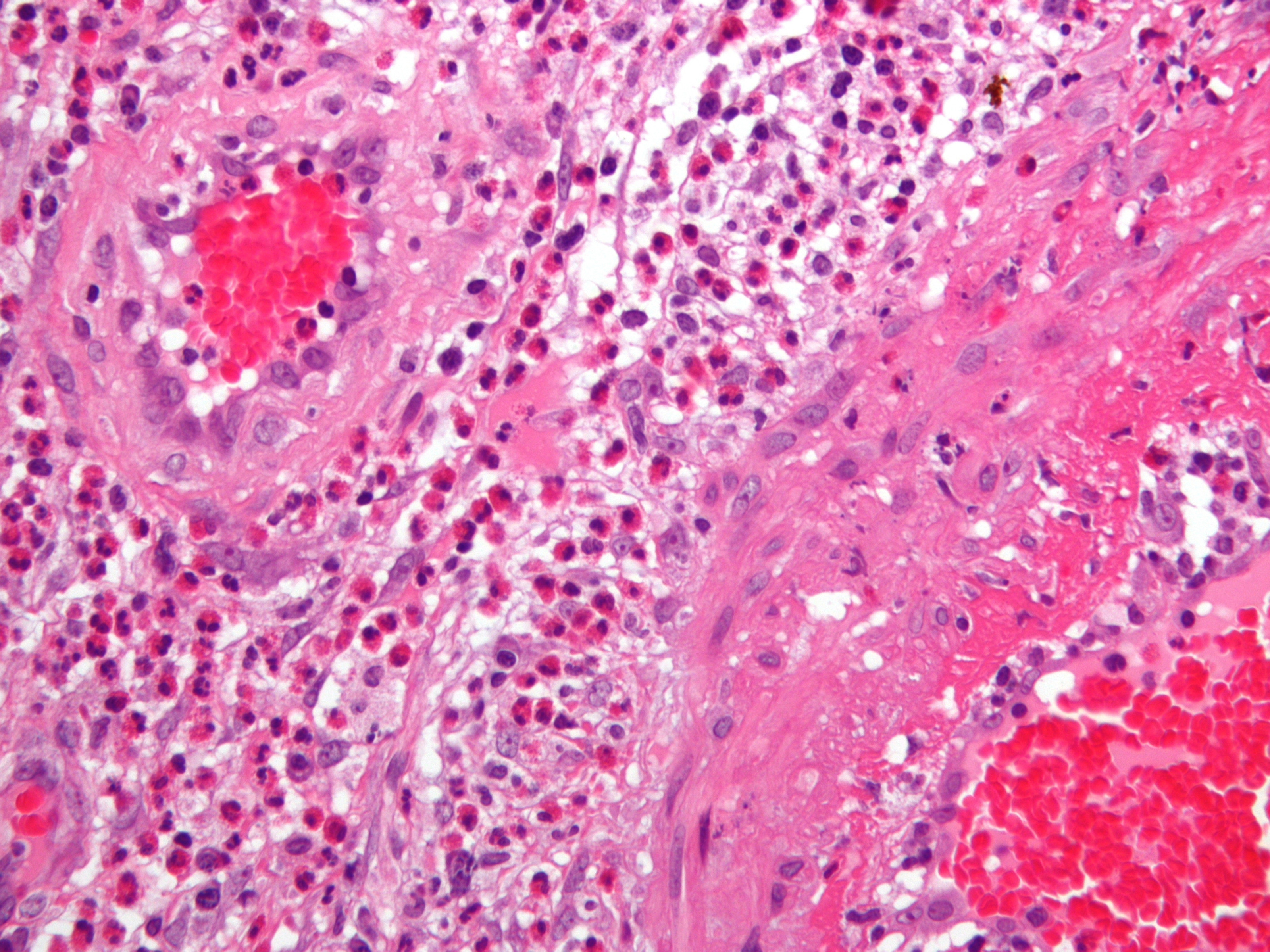
![Churg-Strauss syndroom (click on photo to enlarge) [source: Michael Bonert (Nephron) - Wikimedia - Creative Commons License 3.0] Churg-Strauss syndroom](../../../images/Churg-Strauss-syndroom-4z.jpg) |
![Churg-Strauss syndroom (click on photo to enlarge) [source: Michael Bonert (Nephron) - Wikimedia - Creative Commons License 3.0] Churg-Strauss syndroom](../../../images/Churg-Strauss-syndroom-5z.jpg) |
| Churg-Strauss syndroom |
Churg-Strauss syndroom |
PA-Foto's:
Michael Bonert (Nephron) - Wikimedia (Creative Commons License
3.0).
Therapie:R/ prednisolon (60-100 mg per dag) zonodig in combinatie
met Endoxan (cyclofosfamide). Als remissie is bereikt (na 3-6 maanden)
Endoxan vervangen door azathioprine of door methotrexaat. Na 6-12 maanden of bij
complete remissie afbouwen.
R/ methotrexaat.
R/ ciclosporine.
R/
plasmaferese.
Author(s):dr. Jan R. Mekkes. Dermatologist, Amsterdam UMC.