COCCIDIOIDOMYCOSIS home ICD10: B38.3

Coccidioidomycosis is een infectie met de schimmel Coccidioides immitis, die voorkomt in Californie, of C. posadasii, die voorkomt is het Zuidwesten van de VS, Mexico, en Centraal en Zuid-Amerika. In Nederland komt het dus niet voor, een enkele keer als importziekte. De infectie wordt overgebracht door het inhaleren van sporen die in de lucht zweven. Het behoort tot de diepe mycosen. Het kan bij gezonden optreden, maar wordt vooral gezien bij personen met een slechte afweer (HIV-infectie, immunosuppressiva gebruik, leukemie). De sporen van de schimmel (arthroconidia) komen in de longen. Daar ontwikkelen ze zich tot spherules die talloze endospores bevatten, die de mens kunnen infecteren. De endosporen worden gefagocyteerd door macrofagen, er ontstaat een granulomateus ontstekingsinfiltraat rondom. Bij een goede afweer met goede T-lymfocyten functie kan de infectie worden opgeruimd.

Klinisch beeld:
Begint als een infectie van de longen, meestal asymptomatisch, soms een griepachtig beeld 1-4 weken na besmetting, met koorts, keelpijn, hoofdpijn, malaise en pijn bij ademhalen. Gaat meestal vanzelf weer over. Maar bij circa 0.5% ontstaat een gedissemineerde infectie waarbij andere organen worden aangetast (huid, weke delen, gewrichten, meningen, lever, nieren, ogen) en die fataal kan aflopen. De huidafwijkingen kunnen zijn multiple papels, noduli, of verruceuze plaques, abcessen, of pustels. De extrapulmonale variant kan ook worden overgebracht door infectie via wondjes, na contact met b.v. aarde waar de schimmel in leeft of door een splinter, of een bijt van een kat.

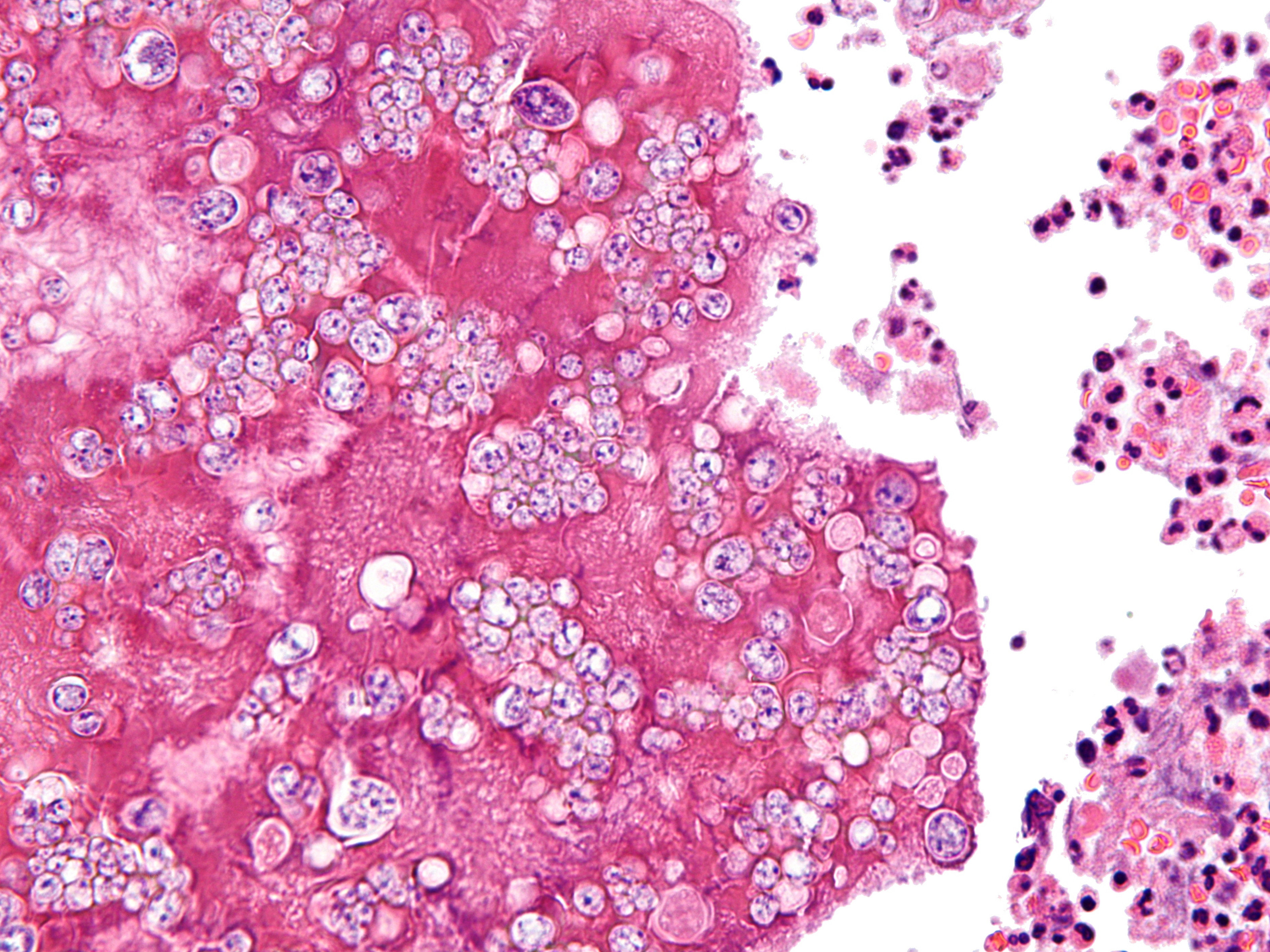
Coccidioidomycosis Coccidioidomycosis
coccidioidomycosis coccidioidomycosis

Coccidioidomycosis Coccidioidomycosis
coccidioidomycosis coccidioidomycosis

Foto: Yale Rosen - Wikimedia (Creative Commons License 2.0).
PA-Foto's: Michael Bonert (Nephron) - Wikimedia (Creative Commons License 3.0).


DD:
Blastomycosis, paracoccidioidomycosis, histoplasmosis, sarcoidose, pneumonie, longabces, TBC, longkanker, lymfoom.

Diagnostiek:
X-thorax. Kweek of PCR op sputum of BAL-materiaal. Bij huidafwijkingen een biopt. Oriënterend bloedonderzoek, screening op HIV.

Therapie:
Behandeling is niet altijd nodig omdat het een self-limiting aandoening is. Behandeling is wel nodig bij ernstige infectie, meer dan 10% gewichtsverlies, meningitis, personen met een gestoorde afweer, diabetes, zwangeren, ouderen. Amphotericin B is de standaard eerste keus, andere antimycotica zijn vaak ook effectief en minder toxisch.

R/ amfotericine B i.v. 0.5-1.5 mg/kg/dag gedurende 2-3 maanden.
R/ Abelcet (amfotericine B lipidencomplex) i.v. 2-5 mg/kg/dag gedurende 2-3 maanden.
R/ itraconazol 2-3 dd 200 mg gedurende 3-6 maanden.
R/ fluconazol 400-800 mg per dag gedurende 3-6 maanden.
R/ posaconazol 400-800 mg per dag.
R/ voriconazol 2 dd 400 mg.
R/ caspofungine 50 mg per dag.
R/ ketoconazol 1 dd 400 mg. Vanwege de bijwerkingen niet meer verkrijgbaar in Europa.


Referenties
1. Galgiani JN, Ampel NM, Blair JE, Catanzaro A, Johnson RH, Stevens DA, et al. Coccidioidomycosis. Clin Infect Dis 2005;41(9):1217-1223.
2. Gaidici A, Saubolle MA. Transmission of coccidioidomycosis to a human via a cat bite. J Clin Microbiol 2009;47(2):505-506.
3. Spinello IM, Johnson RH, Baqi S. Coccidioidomycosis and pregnancy: a review. Ann N Y Acad Sci 2007;1111:358-364.
4. Galgiani JN, Catanzaro A, Cloud GA, et al. Comparison of oral fluconazole and itraconazole for progressive, nonmeningeal coccidioidomycosis. A randomized, double-blind trial. Mycoses Study Group. Ann Intern Med 2000;133(9):676-686.
5. Anstead GM, Corcoran G, Lewis J, Berg D, Graybill JR. Refractory coccidioidomycosis treated with posaconazole. Clin Infect Dis 2005;40(12):1770-1776.
6. Prabhu RM, Bonnell M, Currier BL, Orenstein R. Successful treatment of disseminated nonmeningeal coccidioidomycosis with voriconazole. Clin Infect Dis 2004;39(7):e74-77.
7. Antony S. Use of the echinocandins (caspofungin) in the treatment of disseminated coccidioidomycosis in a renal transplant recipient. Clin Infect Dis 2004;39(6):879-880.


Author(s):
dr. Jan R. Mekkes. Dermatologist, Amsterdam UMC.

31-05-2023 (JRM) - www.skin-diseases.eu Terug naar homepagina



Diagnosis codes:
ICD10 B38.3 Coccidioïdomycose, cutaan
ICD10 B38.3 Cutaneous coccidioidomycosis
SNOMED 240727006 Cutaneous coccidioidomycosis
DBC 4 spacer Dermatosen door micro-organismen

ICD10 B38.3 Coccidioïdomycose, cutaan: coccidioidal granuloma
ICD10 B38.3 Cutaneous coccidioidomycosis: coccidioidal granuloma
SNOMED 65696007 Coccidioidal granuloma
DBC 4 spacer Dermatosen door micro-organismen

ICD10 B38.3 Coccidioïdomycose, cutaan: gedissemineerde cutane coccidioidomycosis
ICD10 B38.3 Cutaneous coccidioidomycosis: disseminated cutaneous coccidioidomycosis
SNOMED 403110005 Disseminated cutaneous coccidioidomycosis
DBC 4 spacer Dermatosen door micro-organismen

ICD10 B38.3 Coccidioïdomycose, cutaan: primair cutane coccidioidomycosis
ICD10 B38.3 Cutaneous coccidioidomycosis: primary cutaneous coccidioidomycosis
SNOMED 79949009 Primary cutaneous coccidioidomycosis
DBC 4 spacer Dermatosen door micro-organismen

ICD10 B38.3 Coccidioïdomycose, cutaan: subcutane coccidioidomycosis
ICD10 B38.3 Cutaneous coccidioidomycosis: subcutaneous coccidioidomycosis
SNOMED 240728001 Subcutaneous coccidioidomycosis
DBC 4 spacer Dermatosen door micro-organismen