DERMATITIS MEDICAMENTOSA / TOXICODERMIE home ICD10: L27.0

Toxicodermie (dermatitis medicamentosa, geneesmiddelen eruptie t.g.v inwendig gebruik) is een overkoepelende term voor een geneesmiddelenreactie die zich uit als een cutane reactie. De officiële term in de diagnoselijst is dermatitis medicamentosa t.g.v. inwendig gebruik. Maar in de praktijk wordt de term toxicodermie of geneesmiddelenreactie het meest gebruikt. Toxicodermie is ook zeer goed bruikbaar voor allerlei niet-specifieke beelden. Geneesmiddelen kunnen nagenoeg elke efflorescentie nabootsen, maar een aantal specifieke patronen komen het meest voor:


Geneesmiddelenreacties:
- maculeus/maculopapuleus exantheem (type IV reactie)
- erytheem
- enantheem
- urticaria en/of angio-oedeem (type I reactie)
- fixed drug eruption
- leukocytoclastische vasculitis (type III reactie, andere mechanismen)
- bulleuze toxicodermie
- toxische epidermale necrolyse (TEN)
- pruritus
- psoriatiforme toxicodermie
- drug induced LE
- drug induced IgA dermatose
- drug induced porfyrie (pseudoporfyrie)
- pustuleuze geneesmiddelenreactie
- acneïforme geneesmiddeleneruptie
- lichenoïde toxicodermie
- erytrodermie
- fototoxische en fotoallergische geneesmiddelenreacties
- toxische reacties op chemotherapie


Toxicodermie: maculopapuleus exantheem Toxicodermie: maculopapuleus exantheem Toxicodermie: maculopapuleus exantheem
maculopapuleus exantheem maculopapuleus exantheem maculopapuleus exantheem


De meest voorkomende geneesmiddelenreactie is het maculeuze of maculopapuleuze exantheem, verspreid over het gehele lichaam. Dit is een goed herkenbaar klinisch beeld, hoewel er altijd andere zaken in de DD staan. De diagnose kan worden gesteld op het klinisch beeld en de anamnese (verdacht middel gegeven). Eventueel kan het bevestigd worden met een biopt, als er twijfel is. Een biopt kan geen uitsluitsel geven over welk middel het heeft veroorzaakt. Bij meerdere geneesmiddelen kan het een enorme puzzel zijn. Vaak is er alleen maar achter te komen door middelen te stoppen of te vervangen door een niet verwant middel. Let op de tijdsrelatie: 7-10 dagen voor een type III-reactie, eerder (1-5) dagen als het middel eerder is gegeven. Binnen enkele tot 30 minuten bij een type I-reactie. Enkele dagen tot enkele weken voor een type IV reactie. 1-8 weken voor een TEN. Ook middelen die jarenlang zonder problemen gebruikt zijn, kunnen opeens een toxicodermie veroorzaken (hoewel dat niet vaak voorkomt). Na het staken of vervangen van een middel moet langdurig worden afgewacht. Geneesmiddelenreacties kunnen 1-2 maanden aanhouden en soms nog langer. Het geneesmiddel is vaak al na enkele uren tot dagen volledig uit het lichaam, maar er zijn (bij type IV reacties) klonen van lymfocyten gevormd, gericht tegen een bepaald molecuul, die een reactie veroorzaken in de epidermis. Die lymfocyten hebben een bepaalde levensduur. Soms gaat een reactie helemaal niet over en een enkele keer ontstaat zelfs een maligne T-cel kloon.

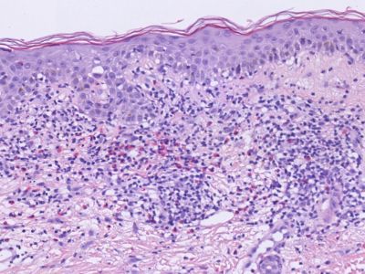
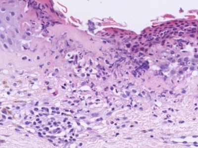
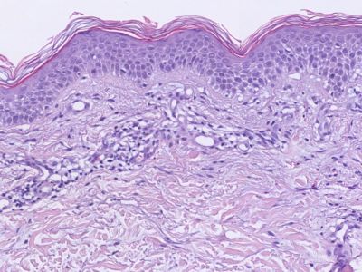
Histologie geneesmiddelreactie Histologie geneesmiddelreactie Histologie geneesmiddelreactie
ingescande coupe (zoom) ingescande coupe (zoom) ingescande coupe (zoom)

Bron hoge resolutie PA-foto's: Kevin Kwee en Afdeling Pathologie MUMC. Klik op de afbeelding om in te zoomen.


Aanpak:
- benoem het type reactiepatroon.
- breng nauwkeurig alle geneesmiddelen (ook huismiddelen, voedingspreparaten, vitaminen, geleende pijnstillers) die gebruikt zijn in kaart.
- raadpleeg het Farmacotherapeutisch Kompas en bronnen op het internet, kijk in het standaardwerk van Litt of de reactie beschreven is bij het middel.
- staak of vervang indien mogelijk het verdachte middel en wacht af.
- bestrijd de reactie (als dat nodig is) symptomatisch met antihistaminica, klasse II-III corticosteroïden, lokale middelen tegen jeuk, eventueel prednison.

R/ antihistaminica zoals cetirizine (Zyrtec) 1 dd 1-4 tab 10 mg, desloratadine (Aerius)1 dd 1-4 tab 5 mg, levocetirizine (Xyzal)1 dd 1-4 tab 5 mg.
R/ klasse 2 corticosteroïd: triamcinolon 0.1% crème, flumethasonpivalaat 0.02% crème (Locacorten crème).
R/ klasse 2-3 corticosteroïd: hydrocortison-17-butyraat 0.1% crème (Locoid crème), fluticason 0.05% crème (Cutivate crème, Cortifil crème).
R/ Menthol strooipoeder FNA.
R/ Zinkoxideschudsel FNA.
R/ prednisolon 0.5 mg/kg gedurende enkele dagen tot weken.

Allergologisch onderzoek is slechts zelden zinvol omdat het weinig toevoegt aan de diagnose gebaseerd op klinisch beeld en anamnese. Het kan wel nodig zijn als er weinig alternatieven zijn en het zelfde middel of verwante middelen opnieuw moeten worden gegeven. Type I en type IV reacties kunnen worden getest met intracutaan respectievelijk epicutaan allergologisch onderzoek. Ook bij SJS/TEN/EEM beelden en fixed drug eruption kan (6 weken later) worden geplakt. Provoceren is mogelijk, mits onder voorzorgen (zie onder provocatie). Lymfocyten-transformatie-testen zijn voor sommige geneesmiddelen (m.n. anti-epileptica zoals carbamazepine en Diphantoïne (fenytoïne)) beschikbaar.

Litt's Drug eruption online database (abonnement nodig)


Author(s):
dr. Jan R. Mekkes. Dermatologist, Amsterdam UMC.

31-05-2023 (JRM) - www.skin-diseases.eu Terug naar homepagina



Diagnosis codes:
ICD10 L27.0 Gegeneraliseerde huideruptie door geneesmiddelen
ICD10 L27.0 Generalized skin eruption due to drugs and medicaments taken internally
SNOMED 200892002 Generalized skin eruption due to drugs and medicaments
DBC 10 spacer Geneesmiddeleneruptie

ICD10 L27.1 Gelokaliseerde huideruptie door ingenomen geneesmiddelen
ICD10 L27.1 Localized skin eruption due to drugs and medicaments taken internally
SNOMED 10625951000119109 Localized dermatitis caused by drug taken internally
DBC 10 spacer Geneesmiddeleneruptie