PARAPEMPHIGUS (BULLEUS PEMPHIGOID) home ICD10: L12.0

Parapemhigus (bulleus pemphigoid) is de meest voorkomende auto-immuun blaarziekte (7 per miljoen per jaar). Het komt vooral voor bij ouderen (> 70 jr). Er ontstaan autoantistoffen (vooral IgG, zelden IgA, IgM of IgE) gericht tegen onderdelen van de basale membraan (hemidesmosomen complex, BP230 en BP180 antigeen). Het splijtingsniveau is laag dus er ontstaan vrij stevige blaren, die bij druk niet kapot gaan, maar wel kunnen wandelen (Nikolsky-fenomeen). De oorzaak is onbekend. Geneesmiddelen zoals furosemide, penicilline, ibuprofen, penicillamine, diazepam en salazosulfapyridine zijn genoemd als uitlokkende factor, maar het bewijs is niet sterk.

Bulleus pemphigoid Nikolsky fenomeen 2, stevige blaar onder streepje door drukken Nikolsky fenomeen 2, stevige blaar onder streepje door drukken
bulleus pemphigoid Nikolsky-fenomeen II Nikolsky-fenomeen II

Bulleus pemphigoid Bulleus pemphigoid Bulleus pemphigoid
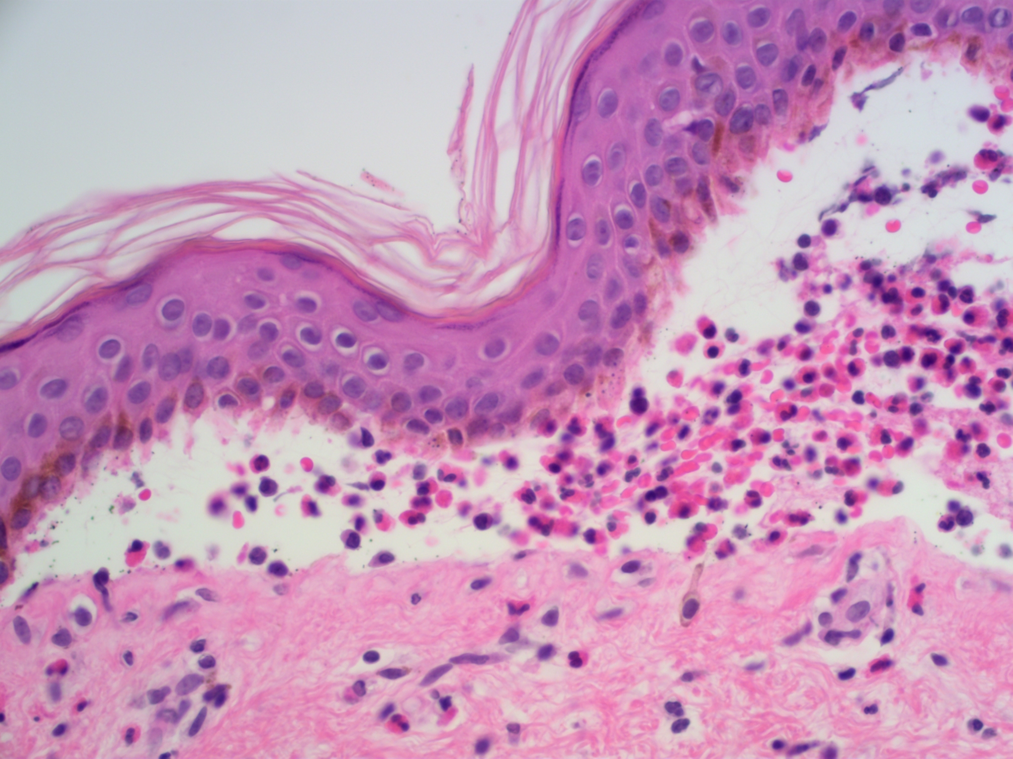
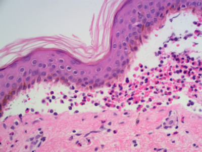
bulleus pemphigoid bulleus pemphigoid (IF) bulleus pemphigoid (PA)

IF-Foto: Mohapatra L. et al. Indian Dermatology Online Journal  2019;10(6):692-694 (Creative Commons License 4.0 - Public Access Journal).
PA-Foto: Sarahkayb - Wikimedia (Creative Commons License 3.0).


Klinisch beeld:
Stevige blaren, vaak op een erythemateuze ondergrond. Kan over het gehele lichaam zitten, enige voorkeur voor de plooien. Kan ook alleen aan de benen zitten, of handen en voeten, of op één locatie, bijvoorbeeld op het scrotum. Jeuk is meestal aanwezig en kan ook al maandenlang aanwezig zijn voordat de blaren verschijnen. Bij circa de helft van de patiënten doen ook de slijmvliezen mee, vooral de orale mucosa. Er bestaat ook een variant waarbij (nog) geen blaren aanwezig zijn (non-bulleus cutaan pemphigoid), dat beeld is dan moeilijk te herkennen (IF biopt afnemen).

Bulleus pemphigoid Bulleus pemphigoid Bulleus pemphigoid
bulleus pemphigoid bulleus pemphigoid bulleus pemphigoid

Bulleus pemphigoid Bulleus pemphigoid Bulleus pemphigoid
bulleus pemphigoid bulleus pemphigoid bulleus pemphigoid


Diagnostiek:
De diagnose wordt gesteld op de combinatie van klinisch beeld (stevige blaren), histologisch beeld (subepidermale blaarvorming, dermaal infiltraat, vaak heel veel eosinofielen, soms ook neutrofielen) en immunofluorescenctie onderzoek (IF). De directe immunofluorescentie (DIF) toont lineaire deposities IgG (en C3) langs de basaalmembraan. Indirecte immunofluorescenctie van serum (IIF) is niet noodzakelijk, maar toont bij 70-80% circulerende anti-BM IgG autoantistoffen; er is geen direkt verband met de ziekte activiteit. Indien er gedacht wordt aan epidermolysis bullosa acquisita (EBA) of cicatricieel pemphigoid (CP) dan kan eventueel een salt-split preparaat worden gemaakt. Bij BP zitten de antigenen dan in het dak van de kunstmatige blaar, bij EBA in de bodem (laminine). Zie ook onder diagnostiek bij blaarziekten. Bij bulleuze toxicodermie is de IF negatief.

Histologie lichen planus
ingescande coupe (zoom)

Bron hoge resolutie PA-foto's: Kevin Kwee en Afdeling Pathologie MUMC. Klik op de afbeelding om in te zoomen.


DD: cicatricieel pemphigoid, lineaire IgA dermatose, bulleuze toxicodermie, bulleuze fixed drug eruption, bullae diabeticorum, traumatisch, epidermolysis bullosa acquisita, erythema exsudativum multiforme, waterpokken, bulleuze LE. Zie ook onder bulleuze dermatosen.

Therapie:
De belangrijkste behandeling bestaat uit het starten van prednison. Er is geen consensus over de juiste dosis. De Britse BAD guideline adviseert 1 dd 20 mg of 0.3 mg/kg voor milde BP, 40 mg of 0.6 mg/kg voor de gemiddelde BP en 50-70 mg of 0.75 mg/kg voor ernstige BP. Het heeft geen zin om hoger te doseren. Tevens osteoporose preventie opstarten. Ook lokale corticosteroïden klasse IV of III zijn werkzaam, mits ruim aangebracht (30-40 g per dag in 2 doses, bij <45 kg 20 g per dag) over de gehele huid (ook normale huid, niet het gelaat). De lokale behandeling heeft een systemisch effect bij behandelen van een groot oppervlak (met erosies), maar bouwt zichzelf af als het beter gaat (afname blaren). Het is een optie om te beginnen met alleen lokale corticosteroïden en pas prednison te starten als het niet werkt, of te traag werkt, of als goed insmeren niet te organiseren is. Ook Protopic (tacrolimus) kan worden ingezet bij milde vormen. Tetracyclinen (tetracycline, doxycycline, minocycline) zijn ook werkzaam vanwege hun anti-inflammatoire nevenwerking. Ook erytromycine heeft dit effect. Een klassieke combinatie is tetracycline 3 dd 500 mg + nicotinamide (vitamine B3) 3 dd 500 mg. Er zijn aanwijzingen dat doxycycline 1 dd 100-200 mg als monotherapie ook werkt. Al deze behandelingen kunnen ook worden gecombineerd. Men kan ook beginnen met prednison 60 mg en direct doxycycline 1 dd 100 mg plus lokaal Dermovate toevoegen met de intentie om de prednison snel af te bouwen.

Bij onvoldoende effect kan Imuran (azathioprine) 1 dd 50-150 mg worden toegevoegd. De gedachte is dat de dosering prednison dan lager kan worden. In de weinige studies die zijn uitgevoerd is de bijdrage van azathioprine gering terwijl er wel risico's aan verbonden zijn, met name beenmergdepressie (vooral bij deficiëntie thiopurine methyltransferase (TMPT)), en ernstige infecties. Ook Cellcept (mycofenolaat mofetil) 2 dd 500-1000 mg kan worden geprobeerd. Dapson 1-3 dd 50 mg heeft ook enig effect maar het is inferieur aan prednison en kan ook ernstige bijwerkingen hebben, vooral bij G6PD- deficiëntie. Dit moet eerst worden uitgesloten. Er zijn case reports over ciclosporine 3-5 mg/kg/dag, het effect daarvan van BP is matig en de bijwerkingen groot. Verder worden nog genoemd IvIg, chloorambucil en plasmaferese.

De blaren kunnen zeer groot zijn, gevuld met fibrine/serumstolsels, en een pijnlijk wondbed achterlaten als ze kapot gaan of worden opengemaakt. Het wegknippen van blaren is gebruikelijk bij lokale corticosteroïd therapie (omdat anders het steroïd de bodem niet bereikt) en kan handig zijn om te tellen of er nog nieuwe blaren ontstaan. Bij systemische therapie hoeven intacte blaren niet weggeknipt te worden. Wel als ze open gaan (infectiegevaar) of klachten veroorzaken door de grootte. Blaarbodems kunnen worden verbonden met een vetgaas of een siliconengaas.

R/ prednison éénmalig of over de dag verdeeld 0.3-0.75 mg/kg/dag, meestal 1 dd 20-60 mg.
R/ prednison afbouw schema: dag 1, 2, en 3: 60 mg; dag 4, 5, en 6: 40 mg; dag 7, 8 en 9: 30 mg; vanaf dag 10: 20 mg en verder afbouwen afhankelijk van klinisch beloop. Dit kan worden gecombineerd met lokale corticosteroïden (1 dd klasse IV steroïdcrème) en/of met doxycycline 1 dd 100-200 mg.
R/ alleen locale steroïden: Blaardaken verwijderen, 2 dd klasse IV steroïdcrème op blaarbodem en op erythemateuze gebieden. Remissie na 1 - 3 weken. Na 4 weken klasse III steroïd 2 dd, na opnieuw 4 weken klasse II steroïd. Bij exacerbatie opnieuw klasse IV steroïd. Blaarbodem afdekken met vetgazen. Bij uitgebreide parapemphigus is er ook een systemisch effect v.d. locale steroïden. (Nuchter cortisol meestal na enkele dagen klasse IV steroïd niet meer detecteerbaar, langzaam herstel bij klasse III steroïden.) Na therapie volledig herstel bijnierfunctie, eventueel controleren met Synacten test. Bijwerking is atrofie van de huid; kan uitgebreid zijn. Door het epithelialiseren van de blaarbodems wordt de therapie automatisch afgebouwd.
R/ alleen locale steroïden: een ander schema is om met een klasse IV steroïdcrème (Dermovate, clobetasol propionate 0.05% crème of zalf, 2 x daags op de hele huid) te blijven smeren maar via een afbouwschema: de eerste maand elke dag, de tweede maand om de dag, de derde maand 2 x per week en de vierde maand 1 x per week.
R/ Protopic (tacrolimus) zalf bij milde vormen.
R/ toevoegen van een tetracycline (tetracycline, doxycycline, minocycline of erytromycine) of een tetracycline + nicotinamide (niacinamide).
R/ tetracycline 3 dd 500 mg, of combinatietherapie van tetracycline 3 dd 500 mg en nicotinamide 3-5 dd 500 mg.
R/ doxycycline 1 dd 100-200 mg, of combinatietherapie van doxycyline 1 dd 100 mg en nicotinamide 3-5 dd 500 mg.
R/ minocycline 1 dd 100-200 mg (kan hyperpigmentatie veroorzaken).
R/ erytromycine 3 dd 500 mg of combinatietherapie van erytromycine 3 dd 500 mg en nicotinamide 3-5 dd 500 mg.
R/ nicotinamide tabletten 250 mg (diverse fabrikanten) 3 dd 500 mg of nicotinamide tableteen 200 mg (Fagron) 2 dd 800 mg. Zie ook: doxycycline en nicotinamide bij blaarziekten. Nicotinamide wordt vaak niet vergoed omdat de zorgverzekeraars het als zelfzorg beschouwen (vitaminepreparaat). Soms lukt het om vergoeding aan te vragen (zie voorbeeld aanvraag vergoeding nicotinamide).

Osteoporose profylaxe:
R/ Calcichew D3 kauwtablet 500 mg/400 IE, 500 mg/800 IE, of 1000 mg/800 IE.
R/ Fosamax (alendroninezuur) 70 mg per week of 10 mg per dag.

Diversen (geen eerste keus):
R/ azathioprine 1-1.5 mg/kg/dag (1 dd 50-150 mg) toevoegen als prednisonsparende combinatie (therapeutisch effect pas na weken tot maanden).
R/ mycofenolaat mofetil 2 dd 500-1000 mg.
R/ dapson (diaminodifenylsulfon, DDS) 1-3 dd 50 mg.
R/ ciclosporine 3-5 mg/kg.
R/ intraveneuze immunoglobulinen 2 g/kg verdeeld over 2-5 dagen, 1 keer per 4 weken. Voor een periode van 3-6 maanden. Aanvullende therapie, indien prednison in hoge dosis (1-2 mg/kg) en azathioprine of mycophenolate mofetil onvoldoende effect hebben.
R/ plasmaferese
R/ methotrexaat 7.5-20 mg/week, Leukeran (chloorambucil) 0.1 mg/kg/dag, Endoxan (cyclofosfamide) i.p.v. azathioprine als prednisonspaarder.
R/ MabThera (rituximab).


Flowchart therapie bij bulleus pemphigoid (European Guideline):
Beperkt, niet ernstig
Eerste keus:
- Klasse IV corticosteroïden 2 dd alleen op de plekken, of:
- Klasse IV corticosteroïden 2 dd op het gehele lichaam behalve het hoofd

Tweede keus:
- Orale corticosteroïden 1 dd 20-40 mg
- Tetracycline 3 dd 500 mg + nicotinamide 3 dd 500 mg (er bij of in plaats van)


Uitgebreid, ernstig:
Eerste keus:
- Klasse IV corticosteroïden 2 dd op het gehele lichaam behalve het hoofd

Tweede keus:
- Orale corticosteroïden 1 dd 40-60 mg, eventueel in combinatie met:
- Tetracycline 3 dd 500 mg + nicotinamide 3 dd 500 mg, en/of:
- Imuran (azathioprine 1 dd 50-150 mg, of:
- Cellcept (mycofenolate mofetil) 2 dd 500-1000 mg, of:
- Methotrexaat 7.5-20 mg per week, of:
- Leukeran (chloorambucil)

Derde keus:
Combinatie orale corticosteroïden met:
- Mabthera (rituximab), anti-CD20 monoclonal antibody
- Intraveneuze immunoglobulinen (IvIg)
- Immunoadsorption / plasmaferese
- Endoxan (cyclofosfamide)




PARAPEMPHIGUS CICATRICIALIS home ICD10: L12.1

Parapemphigus cicatricialis (cicatricial pemphigoid, benign mucosal pemphigoid, ocular pemphigus) is een chronische blaarvormende dermatose (parapemphigus variant) van vooral conjunctiva en orale mucosa, ook neus, keel, anus, genitaliën, en (niet vaak) rest v.d. huid. Door schade aan de conjunctivae met verkleving aan oogleden, littekenvorming, entropion, en uitdroging v.d. cornea kan blindheid ontstaan. Blaren in de mondholte kunnen het eten bemoeilijken. Zonodig lokale analgetica geven, en tijdelijk geen vaste voeding geven.

DD: parapemphigus, Behçet, pemphigus, stomatitis ulcerosa, major aphtous disease, EEM, SJS/TEN, lichen ruber planus, LE, Herpes, gingivitis, contactallergie.

R/ prednison 1 mg/kg/dag. Is echter onaantrekkelijk gezien de lange duur v.d. aandoening (jaren). Bij voorkeur combineren met andere immunosuppressiva:
R/ prednison + Imuran (azathioprine) 1-2.5 mg/kg dd (tab à 25/50 mg, circa 75-200 mg dd).
R/ prednison + Endoxan (cyclofosfamide) 1.1 mg/kg dd (1 dd 2 dragees à 50 mg).
R/ dapson (DDS) 1-3 dd 50 mg
R/ mesalazine 800-2400 mg dd.
R/ lokale steroïden (eventueel, effect valt tegen), bijvoorbeeld intra-oraal: triamcinolon 0.1% in hypromellosezalf 20% FNA (mondholte) of T.A.C. 0.1% in oculentum simplex (geschikt voor alle slijmvliezen); intranasaal: corticosteroïd sprays (Beconase, Rhinocort, Syntharis, Pivalone); intralesionaal: Kenacort injecties tot maximaal 40 mg om de 2 weken (na verdoving met xylocaïne 2% gel); conjunctiva: prednisolon-tetracycline oogdruppels FNA, Terracortril oogzalf).



PARAPEMPHIGUS CICATRICIALIS MET OOGAANDOENING home ICD10: L12.1

Parapemphigus cicatricialis waarbij de ogen meedoen (parapemphigus mucosae, pemphigus mucosae, pemphigus ocularis) is een ernstige aandoening, het kan leiden tot ernstige visusdaling of blindheid. Intensieve begeleiding van de oogarts is nodig i.v.m. de kans op verlittekening van de cornea. De behandeling is systemisch (zie onder parapemphigus / bulleus pemphigoid), en moet hoog gedoseerd zijn (prednison 1 mg/kg).


patientenfolder


Referenties
1. Westerhof W. Treatment of bullous pemphigoid with topical clobetasol propionate. J Am Acad Dermatol 1989;20:458-461.
2. Thomas I, Khorenian S, Arbesfeld DM. Treatment of generalized bullous pemphigoid with oral tetracycline. J Am Acad Dermatol 1993;28:74-77.
3. Lever WF, Schaumberg-Lever G: Treatment of pemphigus vulgaris. Arch Dermatol 1984;120:44-47.
4. Bystryn JC. Adjuvant therapy of phemphigus; Review. Arch Dermatol 1984;120:941-951.
5. Razzaque Ahmed A. Intravenous immunoglobulin therapy for patients with bullous pemphigoid unresponsive to conventional immunosuppressive treatment. J Am Acad Dermatol 2001;45:825-835.
6. Jolles S. High-dose intravenous immunoglobulin therapy in the treatment of autoimmune blistering disorders. Clin Exp Immunol 2002;129:385-389.
7. Wojnarowska F, Kirtschig G, Highet AS, Venning VA, Khumalo NP; British Association of Dermatologists. Guidelines for the management of bullous pemphigoid. Br J Dermatol 2002;147(2):214-221.
8. Feliciani C, Joly P, Jonkman MF, Zambruno G, Zillikens D, Ioannides D, Kowalewski C, Jedlickova H, Kárpáti S, Marinovic B, Mimouni D, Uzun S, Yayli S, Hertl M, Borradori L. Management of bullous pemphigoid: the European Dermatology Forum consensus in collaboration with the European Academy of Dermatology and Venereology. Eur J Dermatol 2015;172(4):867-877.
9. Mohapatra L, Samal K, Mohanty P, Dash S. Reverse Koebner Phenomenon in Bullous Pemphigoid - A Case Report. Indian Dermatology Online Journal  2019;10(6):692-694.


Author(s):
dr. Jan R. Mekkes. Dermatologist, Amsterdam UMC.

31-05-2023 (JRM) - www.skin-diseases.eu Terug naar homepagina



Diagnosis codes:
ICD10 L12.0 Bulleus pemfigoïd
ICD10 L12.0 Bullous pemphigoid
SNOMED 77090002 Bullous pemphigoid
DBC 13 spacer Inflammatoire dermatosen

ICD10 L12.1 Cicatriciaal pemfigoïd
ICD10 L12.1 Cicatricial pemphigoid: benign mucous membrane pemphigoid
SNOMED 34250006 Benign mucous membrane pemphigoid
DBC 13 spacer Inflammatoire dermatosen

ICD10 L12.1 Cicatriciaal pemfigoïd: cicatricieel pemphigoid zonder oogafwijking
ICD10 L12.1 Cicatricial pemphigoid: benign mucous membrane pemphigoid with no eye involvement
SNOMED 267800008 Benign mucous membrane pemphigoid with no eye involvement
DBC 13 spacer Inflammatoire dermatosen

ICD10 L12.1 Cicatriciaal pemfigoïd: cicatricieel pemphigoid met oogafwijking
ICD10 L12.1 Cicatricial pemphigoid: benign mucous membrane pemphigoid with eye involvement
SNOMED 76092003 Benign mucous membrane pemphigoid with ocular involvement
DBC 13 spacer Inflammatoire dermatosen

ICD10 H13.3 Pemfigoïd van oog
ICD10 H13.3 Ocular pemphigoid
SNOMED 314757003 Ocular cicatricial pemphigoid
DBC 13 spacer Inflammatoire dermatosen