Eosinofiele cellulitis (Wells syndrome) is een zeldzaam
syndroom gekenmerkt door recidiverende, pijnlijke plaques van onbekende origine.
De combinatie van recidiverende cellulitis-achtige plaques en flame figures
in de histologie is kenmerkend. Het is voor het eerst beschreven in 1971 door
G. Wells als 'recidiverende granulomateuze dermatitis met eosinofilie', in 1979
hernoemd als eosinofiele cellulitis. Eosinofiele cellulitis komt voornamelijk
bij volwassenen voor, geen geslachts- of ras predilectie, associatie met systeemziekten
is zeldzaam.
Etiologie: onbekend. Waarschijnlijk speelt
lokale hypersensitiviteit een rol; triggers zijn mogelijk insektensteken, medicatie,
infecties (parasitair, mycose), myeloproliferatieve ziekten.
Klinisch beeld:Prodromaal is er sprake van jeuk en/of pijn, binnen
enkele dagen gevolgd door erythemateuze, cellulitis-achtige papels, nodi en
annulaire en arciforme plaques. Soms is er sprake van vesikels of bullae, soms
komen tegelijkertijd urticaria voor. Laesies kunnen solitair of multipel voorkomen
en variëren in diameter. Na enkele dagen vervaagt het erytheem en gaat over
in blauwe, groene, grijze, roze of livide plaques, welke meestal spontaan en
zonder littekenvorming genezen binnen enkele weken/maanden. Recidieven treden
vaak op dezelfde lokatie op. Extremiteiten en romp zijn het meest frequent aangedaan.
Mogelijk is er bij kinderen vaker sprake van solitaire, egale plaques, terwijl
bij volwassenen multipele, annulaire en arciforme plaques meer lijken voor te
komen. Bij sommige patiënten is er sprake van algemene malaise, gewrichtspijn
en/of koorts. Sterk lijkend op eosinofiele cellulitis, en misschien een
variant er van, is
eosinophilic annular erythema.
Dit is een zeldzame chronisch recidiverende
annulaire dermatose, vooral
bij kinderen en jong-volwassenen voorkomend, ook met eosinofielen in het
infiltraat, alleen veel minder dan bij Wells syndroom.
![Eosinofiele cellulitis (Wells syndroom) (click on photo to enlarge) [source: www.huidziekten.nl] Eosinofiele cellulitis (Wells syndroom)](../../../images/eosinofiele-cellulitis-1z.jpg) |
![Eosinofiele cellulitis (Wells syndroom) (click on photo to enlarge) [source: www.huidziekten.nl] Eosinofiele cellulitis (Wells syndroom)](../../../images/eosinofiele-cellulitis-2z.jpg) |
![Eosinofiele cellulitis (Wells syndroom) (click on photo to enlarge) [source: www.huidziekten.nl] Eosinofiele cellulitis (Wells syndroom)](../../../images/eosinofiele-cellulitis-4z.jpg) |
| eosinofiele
cellulitis |
eosinofiele
cellulitis |
eosinofiele
cellulitis |
![Eosinofiele cellulitis (Wells syndroom) (click on photo to enlarge) [source: www.huidziekten.nl] Eosinofiele cellulitis (Wells syndroom)](../../../images/eosinofiele-cellulitis-5z.jpg) |
![Eosinofiele cellulitis (Wells syndroom) (click on photo to enlarge) [source: www.huidziekten.nl] Eosinofiele cellulitis (Wells syndroom)](../../../images/eosinofiele-cellulitis-7z.jpg) |
![Eosinofiele cellulitis (Wells syndroom) (click on photo to enlarge) [source: www.huidziekten.nl] Eosinofiele cellulitis (Wells syndroom)](../../../images/eosinofiele-cellulitis-3z.jpg) |
| eosinofiele
cellulitis |
eosinofiele
cellulitis |
eosinofiele
cellulitis |
DD: erysipelas,
bacteriële
cellulitis (histologie: neutrofielen),
urticaria (beloop),
eosinophilic annular erythema
(annulair, minder eosinofielen),
vertraagde drukurticaria,
urticariële vasculitis,
toxicodermie
(histologie),
insektenbeten,
parasitaire infectie (reisanamnese, serum IgE,
TFT),
contact allergisch eczeem (epicutaan
onderzoek),
morphea,
erythema elevatum
diutinum,
granuloma annulare
(histologie),
bulleus pemphigoid (immunofluorescentie),
hypereosinofiel syndroom (zieker,
systemische verschijnselen, persisterende hypereosinofilie (>1500 eo's in
perifere bloed > 6 maanden zonder bekende oorzaak),
Churg-Strauss syndroom
(zieker, systemische verschijnselen, asthma, vasculitis in PA),
Sweet syndroom (histologie),
cutaan
lymfoom,
erythema migrans.
Diagnostiek:Lab: ongeveer 50% van
de patiënten heeft verhoogde eosinofielen in bloed en beenmerg.
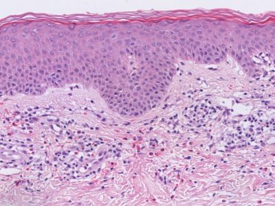
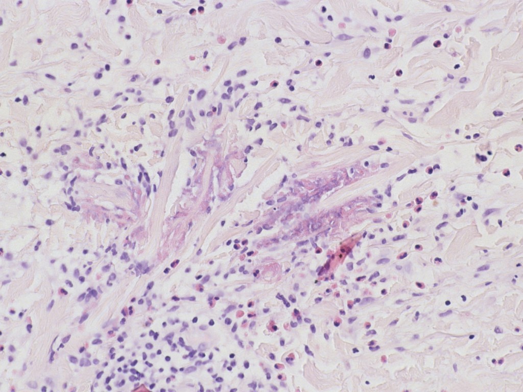
Histologie:In de vroege fase is er sprake van oedeem en
een dicht infiltraat met (degranulerende) eosinofielen in de epidermis, dermis
en soms subcutis en spierweefsel. Bij hoog liggend infiltraat is er soms sprake
van (vnl. subepidermale) vesikelvorming met vele eo's. Vervolgens is er na enkele
weken sprake van een tussen de collageenbundels gelegen infiltraat met eosinofielen,
histiocyten, (eosinofiel) debris en soms reuscellen. Flame figures zijn collageenbundels
bekleed met eosinofiele granulae, afkomstig uit grote aantallen ten gronde gegane
eosinofielen. Dit kan echter ook bij andere ziekten voorkomen (persistent insect
bite, bulleus pemphigoid, parasitaire en schimmelinfecties). Er is nooit sprake
van vasculitis.
![Eosinofiele cellulitis (Wells syndroom) (click on photo to enlarge) [source: www.huidziekten.nl] Eosinofiele cellulitis (Wells syndroom)](../../../images/eosinofiele-cellulitis-6z.jpg) |
![Histologie eosinofiele cellulitis (Wells syndroom) (click on photo to enlarge) [source: Kevin Kwee / Afdeling Pathologie MUMC] Histologie eosinofiele cellulitis (Wells syndroom)](../../../pacoupes/thumbnails/Wells-syndroom.jpg) |
| flame
figures |
ingescande coupe (zoom) |
Bron
hoge resolutie PA-foto: Kevin Kwee en Afdeling Pathologie MUMC. Klik
op de afbeelding om in te zoomen.
Therapie:Zo mogelijk onderliggend lijden/triggers
behandelen.
R/ prednison 10-40 mg (tot 80 mg) per dag, afbouwen in 1 maand.
R/ antihistaminica.
R/ dapson (zonodig in combinatie met prednison).
R/ lokale corticosteroïden
(kinderen, beperkte laesies).
R/ minocycline 2 dd 100 mg.
R/ minocycline
1 dd 100 mg + nicotinamide 3 dd 500 mg.
R/ sulfasalazine.
R/ ciclosporine.
R/ tacrolimus (systemisch),
R/ azathioprine.
R/ adalimumab.
R/ griseofulvine.
R/ PUVA of UVA-1.
Referenties
| 1. |
Wells GD. Recurrent granulomatous dermatitis
with eosinophilia. Trans st John's Hosp Dermatol Soc 1971;57:46-56. |
| 2. |
Melski JW. Well's syndrome, insect bites,
and eosinophils. Dermatol Clin 1990;8(2):287-293. |
| 3. |
Bogenrieder T, Griese DP, Schiffner R, Buttner
R et al. Wells' syndrome associated with idiopathic hypereosinophilic
syndrome. Br J Dermatol 1997;137(6):978-982. |
| 4. |
Stam-Westerveld EB, Daenen S, Van der Meer
JB, Jonkman MF. Eosinophilic cellulitis (Well's syndrome): treatment
with minocycline. Acta Derm Venerol 1998;78(2):157. |
| 5. |
Diridl E, Honigsman H, Tanew A. Wells'syndrome
responsive to PUVA therapy. Br J Dermatol 1997;137:479-481. |
| 6. |
Weiss G. Wells syndrome: report of a case
and review of the literature. International Jounal of Dermatology
2001;2:148-152. |
| 7. |
De Winter S, Bergman W. Eosinofiele cellulitis
(morbus Wells). NTVDV 2001;11:7-8. |
| 8. |
Moossavi M. Wells' syndrome: a clinical and
histopathologic review of seven cases. International Journal of
Dermatology 2003;42:62-67. |
| 9. |
Caputo R. Wells syndrome in adults and children,
a report of 19 cases. Archives of Dermatology 2006;142(9):1157-1161. |
| 10. |
Sarin KY, Fiorentino D. Treatment of recalcitrant eosinophilic cellulitis with adalimumab. Arch Dermatol 2012;148(9):990-992. |
Author(s):dr. Jan R. Mekkes. Dermatologist, Amsterdam UMC.