Kattenkrabziekte (syn:
lymphoreticulosis
benigna, lymphogranuloma benignum, cat-scratch fever, cat-scratch
disease) is een zoönose die via een huidbeschading van de scherpe nagels van
een besmette kat op mensen wordt overgebracht. Het wordt veroorzaakt door
Bartonella henselae, en mogelijk ook door de variant
Bartonella
clarridgeia. In Nederland zou 40- 50% van de katten antistoffen tegen
B. henselae hebben. Vooral vrouwtjeskatten jonger dan 2 jaar kunnen
de bacterie dragen. De besmette katten kunnen de bacterie twee tot twaalf maanden
nadat ze zelf besmet zijn nog steeds verspreiden. Meestal vertonen ze zelf geen
enkel ziektesymptoom. Katten kunnen elkaar onderling via vlooien besmetten.
Men weet niet zeker of de mens ook via een vlo besmet kan worden. De mate van
besmettelijkheid is niet precies bekend. Contact met een kat met vlooien zorgt
wel voor een verhoogde kans om de ziekte op te lopen. Men heeft nog nooit gezien
dat de besmetting ook van mens op mens kan overgaan. Hoe vaak de ziekte voorkomt,
is niet bekend. In Nederland wordt op basis van laboratoriumonderzoek geschat
dat er minstens 300 tot 1.000 gevallen per jaar optreden. Dit is meer dan 2
per 100.000 inwoners per jaar. Het werkelijk aantal infecties kan mogelijk tienmaal
zoveel zijn.
Bartonella henselae kan bij een gestoorde afweer (vooral
HIV)
bacillaire angiomatosis
veroorzaken.
![Cat scratch disease, lymphoreticulosis benigna (click on photo to enlarge) [source: CDC Atlanta - public domain image] Cat scratch disease, lymphoreticulosis benigna](../../../images/cat-scratch-disease-1z.jpg) |
![Cat scratch disease, lymphoreticulosis benigna (click on photo to enlarge) [source: CDC Atlanta - public domain image] Cat scratch disease, lymphoreticulosis benigna](../../../images/cat-scratch-disease-2z.jpg) |
|
cat-scratch disease |
lymphadenopathie |
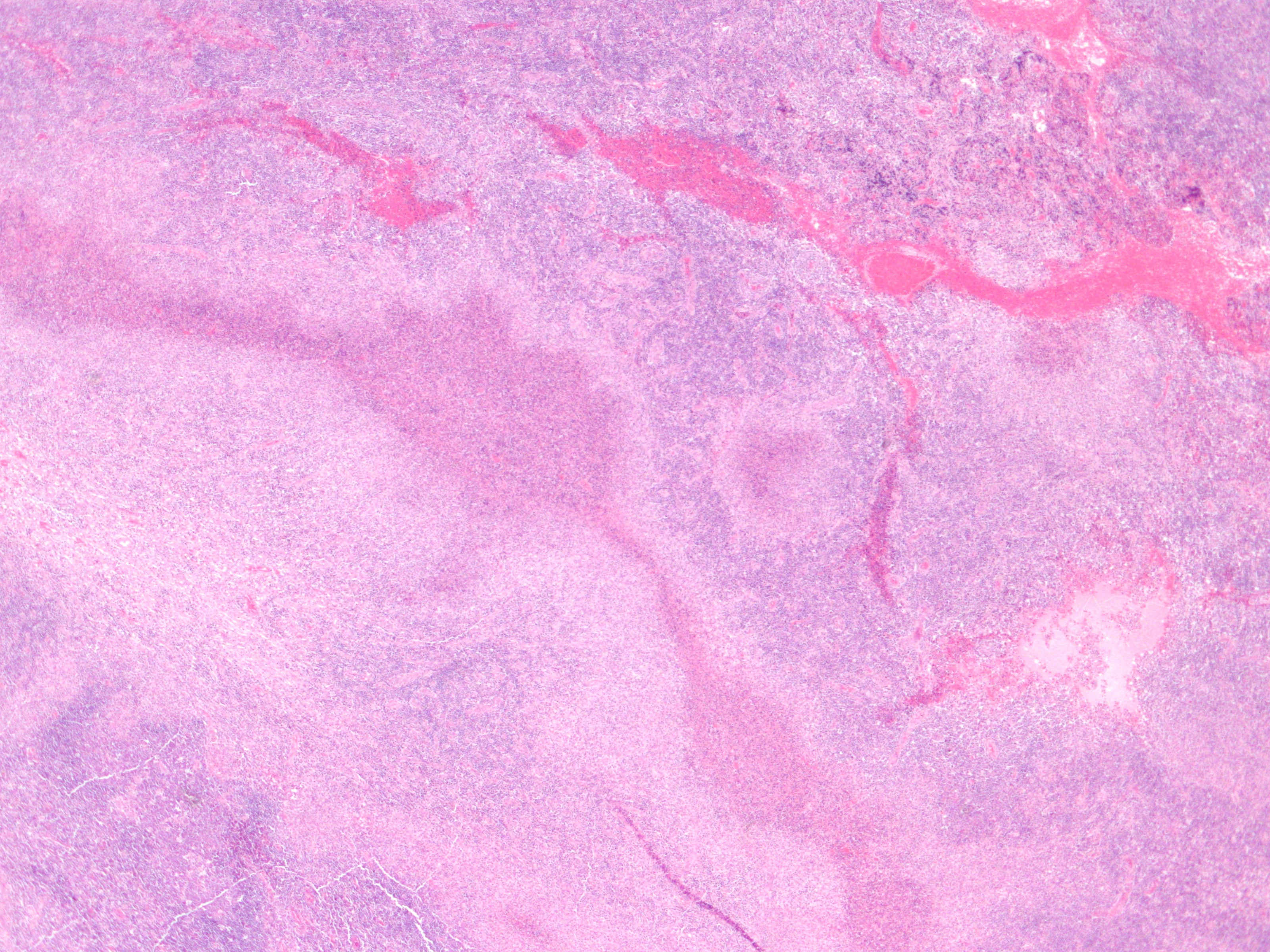
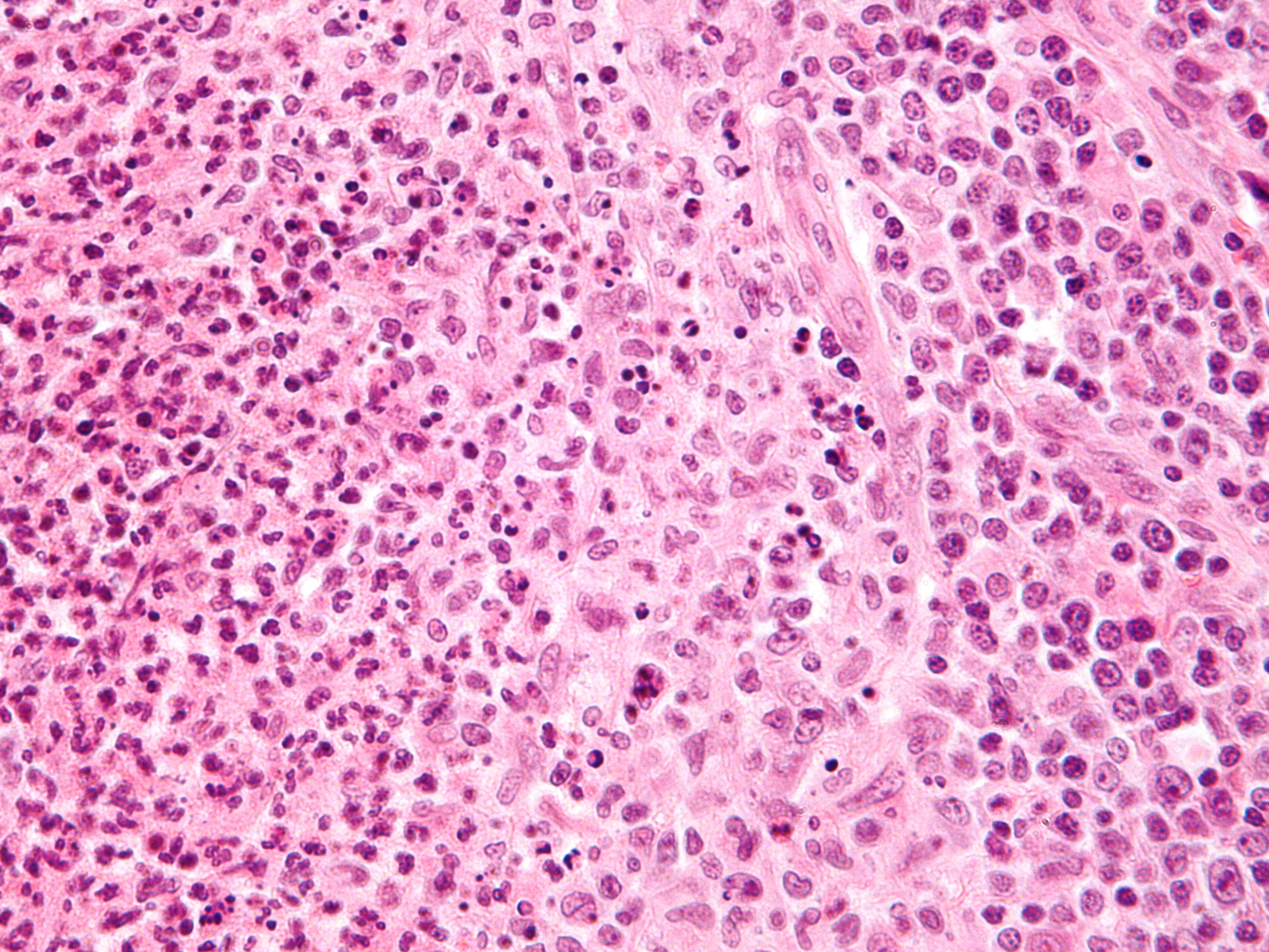
![Cat scratch disease, lymphoreticulosis benigna (click on photo to enlarge) [source: Michael Bonert (Nephron) - Wikimedia - Creative Commons License 3.0] Cat scratch disease, lymphoreticulosis benigna](../../../images/cat-scratch-disease-3z.jpg) |
![Cat scratch disease, lymphoreticulosis benigna (click on photo to enlarge) [source: Michael Bonert (Nephron) - Wikimedia - Creative Commons License 3.0] Cat scratch disease, lymphoreticulosis benigna](../../../images/cat-scratch-disease-4z.jpg) |
| cat-scratch disease |
cat-scratch disease |
Foto's: CDC Atlanta (Public Domain Images)
PA-Foto's: Michael Bonert (Nephron) - Wikimedia (Creative Commons License
3.0).
Kattenkrabziekte bij mensen met een goede weerstand is meestal
een onschuldige ziekte, die vanzelf overgaat. Bij eenderde van de patiënten
gaat de ziekte in de eerste dagen tot weken gepaard met koorts, hoofdpijn en
algemene ziekteverschijnselen. Andere symptomen zijn:
- Eén of meerdere noduli
(2-3 mm) op de huid in de buurt van de
krab
of beet. Dit worden na enkele dagen blaasjes die een korstje krijgen. Hierna
verdwijnen de plekjes weer.
- Na ongeveer twee weken kunnen de lymfeklieren
(meestal aan het hoofd, in de hals, in de oksel of de elleboogplooi, minder
vaak in de lies of lager) zwellen en pijnlijk worden (lymfadenitis).
- Soms
ontstaat in een latere fase erythema nodosum als reactie op de infectie.
- Bij een beet of krab in het oog, kan er een ernstige ontsteking van de slijmvliezen
rond het oog optreden. Soms leidt dit tot een ontsteking van de lymfeklier bij
het oog (Perinauds oculoglandulair syndroom), waardoor een abces kan ontstaan.
Deze lymfeklierontsteking kan weken tot maanden aanhouden (gemiddeld 6 weken),
maar verdwijnt uiteindelijk in het geheel spontaan.
Bij 2% van de patiënten
kan de ziekte leiden tot een hersenvliesontsteking, waarbij men een verlaagd
bewustzijn of zelfs coma en stuipen kan krijgen. Uitzonderlijk kunnen ernstige
aantastingen van lever en/of milt optreden. Die ernstige complicaties komen
vooral voor bij mensen met een verlaagde weerstand.
Diagnostiek:Bartonella henselae serologie, PCR,
of een kweek van wondweefsel. Bartonella is moeilijk te kweken.
Preventie:Hygiëne na een beet of krab (wassen van de huid,
wonddesinfectie en wondverzorging), bestrijding van vlooien bij katten. Mensen
met een verminderde weerstand wordt afgeraden met (jonge, speelse) katten om
te gaan. Besmette katten kunnen met antibiotica behandeld worden. In de nabije
toekomst zal een vaccin voor katten beschikbaar zijn.
Behandeling:
Vaak wordt een expectatief beleid gevoerd omdat de klachten vanzelf verdwijnen.
De lymfklierzwelling kan maandenlang duren. De lymfadenitis reageert niet of
nauwelijks op antibiotica. Bij abcesvorming kan men het pus eruit halen door
punctie met een dikke naald, wat tot verlichting en verkorting van de klachten
leidt. Incisies ter drainage worden afgeraden omdat fistelvorming kan ontstaan.
Warme kompressen en pijnstillers kunnen de pijn verlichten. Bij de andere symptomen
reageert het lichaam vaak wel goed op antibiotica (tetracyclinen of macroliden).
R/ azithromycine 250 mg gedurende 1 week (eerste dag 500 mg).
R/ doxycycline
2 dd 100 mg gedurende 2 weken
R/ claritromycine 500 mg dd gedurende 2 weken
R/ ciprofloxacine 2 dd 500 mg gedurende 2 weken
R/ erytromycine 3 dd 500
mg + rifampicine 2 dd 300 mg gedurende 2 weken.
R/ co-trimoxazol 2 dd 960
mg gedurende 2 weken.
Author(s):dr. Jan R. Mekkes.
Dermatologist, Amsterdam UMC.