Graft versus host disease is een complicatie na beenmergtransplantatie
waarbij de lymfocyten van het beenmergtransplantaat (de graft) weefsels van
de gastheer (de host) beschouwen als lichaamsvreemd en aanvallen. Vooral de
huid, de darmen en de lever / galwegen worden aangevallen. Het wordt onderverdeeld
in
acute graft versus host disease en
chronische graft versus host disease. In het ICD-10
classificatie systeem van de WHO wordt graft-versus-host disease ingedeeld
onder T86.0 (Bone-marrow transplant rejection), maar dat is eigenlijk niet
correct, het transplantaat wordt niet afgestoten maar het valt de host aan.
In andere versies van het ICD-10 systeem wordt D89.8 gebruikt (Other
specified disorders involving the immune mechanism, not elsewhere
classified).
Acute graft
versus host disease (aGVHD)Acute GVHD treedt op in de eerste drie
maanden na de allogene transplantatie. Meestal tussen dag 20 en 50 na de transplantatie,
afhankelijk van de hoeveelheid toegediende T-cellen en de gebruikte immuunosuppressieve
geneesmiddelen. De organen die vooral aangetast worden zijn de huid, het maagdarmkanaal
en de lever. Meestal is acute GVHD het eerst te zien aan de huid, als een fijn
vlekkige roodheid, die soms gepaard gaat met jeuk, een branderig of pijnlijk
gevoel en soms zelfs met blaarvorming. Het meest wordt het gezien op de romp,
de handpalmen, voetzolen en oren. GVHD van het maagdarmkanaal gaat gepaard met
diarree, misselijkheid, braken en buikpijn. GVHD van de lever gaat gepaard met
icterus en soms pijn in de bovenbuik. Acute GVHZ kan gepaard gaan met koorts
en algehele malaise. De diagnose wordt gesteld door middel van pathologisch
onderzoek van biopten, maar is vaak al op het klinisch beeld aannemelijk te
maken. Als zekerheid over de diagnose gewenst is, is een biopt nodig.
DD: toxicodermie,
SJS / TEN (toxische epidermale necrolyse),
DRESS / drug fever, viraal exantheem,
engraftment syndroom,
lichen planus,
lichen sclerosus,
sclerodermie,
pemphigus.
Pathomechanisme
aGVHDBij de
acute graft versus host disease
(GVHD) spelen de
T-lymfocyten van de donor een centrale
rol. Door de voorafgaande conditioneringsfase (de chemotherapie) bij een stamceltransplantatie
worden de weefsels beschadigd (vooral cellen met een hoge delingsfrequentie)
en in een verhoogde immunologische activatie status gebracht. Hierbij worden
de weefsels gevoeliger voor immunologische herkenning door productie van cytokines
en opregulatie van het MHC (major histocompatibilteits complex)en adhesie moleculen.
Hierdoor kunnen donor T- cellen geactiveerd worden, gaan prolifereren en cytokines
produceren. Een belangrijke rol hierbij lijken
antigeen presenterende
cellen (APC's) van de patiënt te spelen, die zeer effectief een
immuunrespons kunnen induceren. Deze APC's kunnen de conditionering overleven
en verdwijnen pas gedurende de eerste maanden na de transplantatie. De geëxpandeerde
T- cellen vallen de weefsels van de patiënt aan en veroorzaken
apoptose
en
celdood, hierbij geholpen door een massale vorming
van inflammatoire cytokines die ook wel de
cytokine storm
wordt genoemd. Andere cytotoxische celtypes kunnen hierbij ook geactiveerd worden,
zoals natural killer (NK) cellen. APC's bevinden zich in grote aantallen in
de huid, de darm en de lever. Mogelijk is dit een verklaring voor het feit dat
met name in deze organen acute GVHD optreedt. T-cel depletie van het transplantaat
vermindert de kans op GVHD.
![Graft versus host disease (click on photo to enlarge) [source: www.huidziekten.nl] Graft versus host disease](../../../images/graft-versus-host-disease-1z.jpg) |
![Graft versus host disease (click on photo to enlarge) [source: www.huidziekten.nl] Graft versus host disease](../../../images/graft-versus-host-disease-2z.jpg) |
![Graft versus host disease (click on photo to enlarge) [source: www.huidziekten.nl] Graft versus host disease](../../../images/graft-versus-host-disease-3z.jpg) |
| aGVHD
- erytheem |
aGVHD
- erytheem |
aGVHD
- erytheem, papels |
![Graft versus host disease (click on photo to enlarge) [source: www.huidziekten.nl] Graft versus host disease](../../../images/graft-versus-host-disease-4z.jpg) |
![Graft versus host disease (click on photo to enlarge) [source: www.huidziekten.nl] Graft versus host disease](../../../images/graft-versus-host-disease-5z.jpg) |
![Graft versus host disease (click on photo to enlarge) [source: www.huidziekten.nl] Graft versus host disease](../../../images/graft-versus-host-disease-6z.jpg) |
| aGVHD
- erytheem, schilfering |
aGVHD
- erytheem, schilfering |
GVHD -
erytheem, desquamatie |
![Graft versus host disease (click on photo to enlarge) [source: www.huidziekten.nl] Graft versus host disease](../../../images/graft-versus-host-disease-7z.jpg) |
![Graft versus host disease (click on photo to enlarge) [source: www.huidziekten.nl] Graft versus host disease](../../../images/graft-versus-host-disease-8z.jpg) |
![Graft versus host disease (click on photo to enlarge) [source: www.huidziekten.nl] Graft versus host disease](../../../images/graft-versus-host-disease-9z.jpg) |
| cGVHD
- erosies, ulceraties |
cGVHD
- ulcera, littekens |
cGVHD
- ulcera lip |
![Graft versus host disease (click on photo to enlarge) [source: www.huidziekten.nl] Graft versus host disease](../../../images/graft-versus-host-disease-10z.jpg) |
![Graft versus host disease (click on photo to enlarge) [source: www.huidziekten.nl] Graft versus host disease](../../../images/graft-versus-host-disease-11z.jpg) |
![Graft versus host disease (click on photo to enlarge) [source: www.huidziekten.nl] Graft versus host disease](../../../images/graft-versus-host-disease-12z.jpg) |
| cGVHD
- littekens lip |
cGVHD
- ulcera mondholte |
cGVHD
- ulcera mondholte |
Chronische graft versus host disease (cGVHD)Tot
voor kort werd alle GVHD die na dag 100 optrad chronisch genoemd. Na de introductie
van niet-myeloablatieve stamceltransplantatie bleek dat een deel van de GVHD
die na die tijd optreedt, toch als acute GVHD beschouwd moet worden (op basis
van het klinisch en histopathologisch beeld). Chronische GVHD is een auto-immuunachtige
reactie, die maanden tot jaren na een allogene stamceltransplantatie kan ontstaan.
Ongeveer 38-77% van de patiënten die een allogene stamceltransplantatie hebben
ondergaan ontwikkelt chronische GVHD, afhankelijk van de karakteristieken van
de patiënt, donor en celproduct. De gemiddelde periode na stamceltransplantatie
waarop chronische GVHD wordt gediagnostiseerd is ongeveer 4-6 maanden. In 5%
van de gevallen wordt de diagnose later dan na een jaar gesteld. Chronische
GVHD beschadigt weefsels en organen en veroorzaakt immuundeficiëntie. Het kan
bijna ieder orgaan van het lichaam aantasten, maar meest voorkomend zijn de
huid, lever, mond en ogen. De huid kan ernstig aangetast zijn met erosies, blaarvorming,
ulcera, littekenvorming met hyper en hypopigmentatie en sclerodermiforme huidveranderingen.
Buiten recidief van de ziekte om, is chronische GVHD de meest voorkomende late
complicatie na een allogene stamceltransplantatie en de hoofdoorzaak van sterfte,
meer dan twee jaar na een allogene SCT. Chronische GVHD kan de kwaliteit van
leven ernstig negatief beïnvloeden.
Pathomechanisme cGVHD
De pathofysiologie van cGVHZ is niet volledig begrepen en is meest waarschijnlijk
multi-factorieel. CGVHD gedraagt zich als een auto-immuunziekte en komt in zijn
ernstiger vorm het meest overeen met het beeld van
sclerodermie,
waarbij een toenemende collageenafzetting plaatsvindt in organen. Mogelijk gaat
het om activiteit van van de donor afkomstige auto-reactieve T-helper lymfocyten,
maar allerlei cytokines spelen ook een belangrijke rol.
![Chronische graft versus host disease (click on photo to enlarge) [source: www.huidziekten.nl] Chronische graft versus host disease](../../../images/chronic-graft-versus-host-disease-1z.jpg) |
![Chronische graft versus host disease (click on photo to enlarge) [source: www.huidziekten.nl] Chronische graft versus host disease](../../../images/chronic-graft-versus-host-disease-2z.jpg) |
| GVHD -
sclerodermie |
GVHD -
sclerodermie |
![Chronische graft versus host disease (click on photo to enlarge) [source: www.huidziekten.nl] Chronische graft versus host disease](../../../images/chronic-graft-versus-host-disease-3z.jpg) |
![Chronische graft versus host disease (click on photo to enlarge) [source: www.huidziekten.nl] Chronische graft versus host disease](../../../images/chronic-graft-versus-host-disease-4z.jpg) |
| sclerodermie
met ulcera |
sclerodermie
met ulcera |
Symptomen van chronische graft versus host disease in de diverse
organen:Huid:- poikiloderma (atrofische
huid en pigment veranderingen)
- lichen planus achtige laesies
- morphea-achtige
oppervlakkige sclerodermie (lokaal, hard aanvoelend, leerachtig, glanzend, vaak
met hypo- en depigmentatie)
- diepe sclerodermie met bewegingsbeperkingen,
slechte wondgenezing, slechte lymfedrainage, ulcera na klein trauma
- lichen
sclerosus
- hypo- en depigmentatie
- erytheem, maculopapulaire rash, schilfering,
desquamatie, ulceratie
- pruritis
- ichtyosis (droge, schilferende "visachtige"
huid), keratosis pilaris
- Gottron-like plaques op dorsum vingers
Nagels:- longitudinale
groeven, onychodystrofie, onycholysis
![Gottron-like plaques bij graft versus host disease (click on photo to enlarge) [source: www.huidziekten.nl] Gottron-like plaques bij graft versus host disease](../../../images/graft-versus-host-disease-17z.jpg) |
![Gottron-like plaques bij graft versus host disease (click on photo to enlarge) [source: www.huidziekten.nl] Gottron-like plaques bij graft versus host disease](../../../images/graft-versus-host-disease-18z.jpg) |
![Gottron-like plaques bij graft versus host disease (click on photo to enlarge) [source: www.huidziekten.nl] Gottron-like plaques bij graft versus host disease](../../../images/graft-versus-host-disease-19z.jpg) |
|
Gottron-like plaques |
groeven |
onycholysis |
Haren:
- alopecia met of zonder verlittekening
- erythemato (papulo-) squameuze
eruptie hoofdhuid
- premature vergrijzing, dunner worden haar, afbrekende
haren
Mond:- lichen planus mucosa achtige
afwijkingen (fijne witte lijnen)
- hyperkeratotische plaques (leukoplakie)
- verminderde mondopening door sclerose
- droge mond
- mucocele
- mucosa
atrofie, pseudo-membranen, ulcera, pijn
- gingivitis, mucositis, erytheem
Ogen:- droge, pijnlijke ogen, grind gevoel
(nieuw ontstaan)
- sicca (Schirmer test <= 5 mm na 5 minuten)
- keratoconjunctivitis
sicca (spleetlamp onderzoek, Schirmer test 6-10 mm)
- conjunctivitis cicatricalis
- confluente gebieden van punctate keratopathie
- fotofobie
- periorbitale
hyperpigmentatie
- ingedroogd traanvocht 's morgens
- blepharitis (ooglid
erytheem/oedeem)
Genitaliën:- lichen planus
mucosa achtige afwijkingen (fijne witte lijnen)
- vaginale verlittekening
of stenose
- erosies
- fissuren / ulcera
Maag / darm:
- oesophageaal web
- stricturen / ringen
- anorexia, gewichtsverlies
- misselijkheid / braken
- diarree
Lever:
- bilirubine / AF > 2 x n
- ASAT / ALAT > 2 x n
Longen:- bronchiolitis obliterans (diagnose met longbiopt)
- bronchiolitis obliterans (diagnose met CT en longfunctie)
- bronchiolitis
obliterans met organiserende pneumonie (BOOP)
Musculo-skeletaal:
- sclerose met stijfheid gewrichten of contracturen
- polymyositis, oedeem
- spierkrampen
- arthralgie, arthritis
Labafwijkingen:
- trombocytopenie
- eosinofilie
- lymfopenie
- hypo- of hypergammaglobulinemie
- autoantistoffen
Overige:- serositis
- ascites
- perifere neuropathie
- nefrotisch syndroom
- myasthenia
gravis
- cardiale geleidingsstoornis of cardiomyopathie
Diagnostiek:
Biopt uit de laesionale huid. Het aanvragen van de overige diagnostiek, laboratorium
onderzoek en zonodig afbeeldend onderzoek wordt gedaan door de hematoloog /
internist oncoloog.
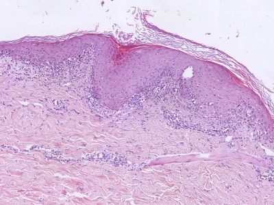
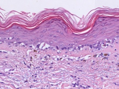
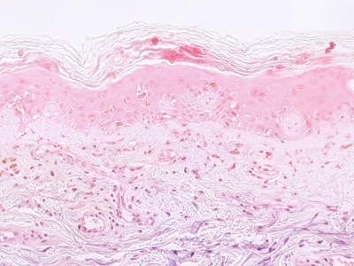
diffuse keratinocyten degeneratie door de gehele epidermis, sommige met pycnotische nucleus + eosinofiel hyalien cytoplasma
PA:Histologisch ziet men een
lymfocytair infiltraat met invasie van lymfocyten in de epidermis
(exocytose), vacuolisatie
van de basale laag, diffuse keratinocyten degeneratie door de gehele epidermis, sommige met pycnotische nucleus + eosinofiel hyalien cytoplasma, necrotische keratinocyten (dyskeratose, apoptose, satelietcel-necrose),
en soms vorming van blaren door uitgebreide vacuolisatie. GVHD wordt histologisch
ingedeeld in 4 graden van ernst. Voor een zekere diagnose GVHD is minimaal graad
2 nodig.
- Grade 0: No pathologic change
- Grade 1: Basal vacuolization
- Grade 2: Basal vacuolization, necrotic keratinocytes, dermal inflammation
- Grade 3: Confluence of basal vacuoles
- Grade 4: Separation of epidermis
from dermis
![Histologie graft-versus-host disease (click on photo to enlarge) [source: Kevin Kwee / Afdeling Pathologie MUMC] Histologie graft-versus-host disease](../../../pacoupes/thumbnails/graft-versus-host-disease-1.jpg) |
![Histologie graft-versus-host disease (click on photo to enlarge) [source: Kevin Kwee / Afdeling Pathologie MUMC] Histologie graft-versus-host disease](../../../pacoupes/thumbnails/graft-versus-host-disease-2.jpg) |
![Histologie graft-versus-host disease (click on photo to enlarge) [source: Kevin Kwee / Afdeling Pathologie MUMC] Histologie graft-versus-host disease](../../../pacoupes/thumbnails/graft-versus-host-disease-3.jpg) |
|
ingescande coupe (zoom) |
ingescande coupe (zoom) |
ingescande coupe (zoom) |
Bron
hoge resolutie PA-foto's: Kevin Kwee en Afdeling Pathologie MUMC. Klik
op de afbeelding om in te zoomen.
| Stagering acute Graft Versus Host Disease
op grond van de klachten: |
| |
Huid |
Lever |
Gastro-intestinaal |
| 0 |
geen afwijkingen |
bilirubine < 34 μmol/l |
diarree < 500 ml/dag |
| 1 |
maculopapuleuze uitslag op < 25% van het lichaamsoppervlak |
bilirubine 34 - 50 μmol/l |
diarree 500 - 1000 ml/dag |
| 2 |
maculopapuleuze uitslag op 25-50% van het lichaamsoppervlak |
bilirubine 51 - 102 μmol/l |
diarree 1000 - 1500 ml/dag |
| 3 |
generaliseerde erytrodermie |
bilirubine 103 - 225 μmol/l |
diarree > 1500 ml/dag |
| 4 |
generaliseerde erytrodermie met bullae en desquamatie (of erosies
of ulcera) |
bilirubine > 225 μmol/l |
Ernstige abdominale pijn, met of zonder ileus |
| Gradering van de ernst van acute Graft Versus
Host Disease op grond van de stagering: |
| |
Huid |
Lever |
Gastro-intestinaal |
| I (mild) |
1 of 2 |
0 |
0 |
| II (moderate) |
1 - 3 |
1 |
1 |
| III (severe) |
2 of 3 |
2 of 3 |
2 of 3 |
| IV (life-threatening) |
2 - 4 |
2 - 4 |
2 - 4 |
Therapie acute graft versus host disease
Graad I acute GVHDR/ triamcinolon 0.1% crème of
zalf 1-2 dd. Bij onvoldoende effect betamethason-17-valeraat 0.1% crème of zalf of clobetasol-17-propionaat 0.05% crème of zalf.
R/ Protopic
(tacrolimus 0.03% of 0.1%) zalf 1-2 dd.
R/ prednisolon 1 dd 30-60 mg oraal
zonodig in uitgebreide gevallen onvoldoende reagerend op lokale therapie.
Bij onvoldoende reactie op steroïden is het mogelijk om PUVA therapie (2-3 x
per week) of UVA1 therapie (3 x per week) te starten of toe te voegen aan de
behandeling.
Graad II acute GVHDR/ methylprednisolon
2 mg/kg i.v.
Graad III-IV acute GVHDR/
methylprednisolon 2 mg/kg i.v. + ciclosporine 2 dd 2.5 mg/kg. Duur prednison
therapie: 7-14 dagen, gevolgd door tapering. Bij een snel progressief beeld:
eventueel starten met methylprednisolon 2 dd 5 mg/kg i.v. gedurende 3 dagen.
Bij nierproblemen mycofenolaat mofetil 2 dd 1g. Als de darmen meedoen budenoside
2 dd 3 mg p.o. toevoegen. Bij errnstige lever GVHD: ursodeoxycholzuur 15 mg/kg
in 2-3 doses (tabletten 300 mg).
Acute orale acute GvHD
R/ prednisolondrank FNA 1 mg/ml, 4 dd 5-10 ml 4-6 minuten door mond spoelen,
daarna uitspugen, vervolgens half uur niet eten of drinken. Eventueel prednisolondrank
FNA 5 mg/ml of spoelen met ciclosporinedrank 100 mg/ml, 2-4 dd 5 ml.
Ondersteunende behandeling bij systemische immuunsuppressiva:
Bij hoge dosis immuunsuppressiva: monitoring CMV. Bij langdurig hoog prednisongebruik:
Calcichew D3 500 mg / 400E 1dd en alendroninezuur 70 mg 1 x per week, en preventief
co-trimoxazol 1 dd 480 mg. Zie ook onder
prednisolon.
Steroid refractoriteit:
Definitie: verergering acute GvHD na 3 dagen therapie of geen verbetering acute
GvHD na 7 dagen therapie.
2e lijns therapie: Mycofenolaat mofetil: 2-3 dd
15 mg/kg p.o. of i.v.
3e lijns therapie: ATG konijn: 3 mg/kg per dag x 6,
Inolimomab (Leukotac, anti-IL-2R): 0.4 mg/kg per dag x 8
Alleen huid GvHD:
PUVA therapie of UVA1.
Darm of lever GvHD: mesenchymale stamcellen overwegen.
Therapie chronische graft versus host disease
Klinische classificatie chronische graft versus host disease (Shulman)
Limited chronic GVHD:- lokale huidafwijkingen,
of leverfunctiestoornissen, of allebei
Extensive chronic GVHD:
- gegeneraliseerde huidafwijkingen, of:
- lokale huidafwijkingen en/of leverfunctiestoornissen
plus:
- leverbiopt: chronische agressieve hepatitis, necrose, cirrhosis;
of:
- aantasting ogen (Schirmer's test < 5 mm traanvocht); of:
- aantasting
speekselklieren of orale mucosa, bevestigd door biopt; of:
- aantasting van
een ander orgaan.
Milde / limited chronische GVHD:
R/ lokale therapie zoals onder acute graft versus host, afhankelijk van de lokalisatie
(zie verder).
R/ bij onvoldoende verbetering op lokale therapie: prednisolon
en/of ciclosporine in lage doseringen.
Ernstige / extensive chronische
GVHD:R/ prednisolon met/zonder hoge dosis ciclosporine.
Extensive
chronische GVHD heeft een slechte prognose die verbeterd kan worden door vroege
behandeling met prednisolon en ciclosporine. Slechte prognostische factoren
zijn met name trombocytopenie < 100 en progressive-type onset extensive chronische
GvHD (progressief beeld direct ontstaan uit acute GvHD). In deze groep kan de
overleving verbeterd worden door behandeling met prednisolon en hoge dosis ciclosporine
volgens een alternerend schema: bij trombocyten > 100: prednisolon 1 dd 1
mg/kg p.o.; bij trombocyten < 100 of progressive-type onset cGVHD: prednisolon
1 mg/kg p.o. (iedere dag) en ciclosporine 2 dd 6 mg/kg p.o. (om de andere dag).
Prednisolon na 2 weken langzaam afbouwen gedurende 6 weken tot dosis van 1 mg/kg
om de andere dag (dosis van een dag op 1 mg/kg houden, dosis van andere dag
langzaam verminderen). Daarna langzaam verder afbouwen tot 0.5 mg/kg om de andere
dag op 20 weken na begin. Daarna langzaam geheel afbouwen. Ciclosporine geven
tot week 40, daarna langzaam afbouwen. Bij ciclosporine: controle bloeddruk,
leverfunctie, nierfunctie, Na, K, Mg, glucose. Cave ontstaan van microangiopathische
hemolytische anemie en posterieure reversibele leuko-encephalopathie (insulten
en corticale blindheid). Bij onvoldoende therapeutisch effect of bij toxiciteit
van ciclosporine: mycophenolate mofetil (2-3 dd 15 mg/kg) in plaats van ciclosporine.
Verdere mogelijke behandelingen:R/ thalidomide 1 dd
200 mg - 800 mg (innemen voor het slapen gaan).
R/ prednison puls
therapie in hoge dosis:
methylprednisolon 10 mg/kg p.o. of i.v. gedurende 4 dagen, daarna doorgaan met
immuunsuppressieve therapie waar patiënt al op stond.
R/ azathioprine
1 dd 15 mg/kg.
R/ rituximab 375 mg/m2, 1/per week x 4.
R/ PUVA voor chronische
huid GvHD.
R/ ruxolitinib (Jakavi). Startdosering: 2 dd 10 mg. De dosering zo nodig aanpassen op geleide van de werkzaamheid en veiligheid. Overweeg geleidelijke dosisverlaging (50% elke twee maanden; 1e dosisverlaging
2 dd 5 mg, 2e dosisverlaging 1 dd 5 mg) bij patiënten met een respons nadat gebruik van corticosteroïden is gestaakt. Indien symptomen van GvHD terugkeren,
dosering ruxolitinib weer verhogen.
Ondersteunende therapie:Extensive chronische GVHD:
co-trimoxazol 1 dd 480 mg.
Recidiverende infecties: immunoglobulines bepalen,
eventueel onderhoudsantibiotica en/of immuunglobuline substitutie (zie hypogammaglobulinemie).
Systemische prednison therapie: Calcichew D3 1 dd 500 mg / 400E 1dd en alendroninezuur
70 mg 1 x per week.
Hoge dosis immuunsuppressieve therapie kort na allogene
SCT: monitoring CMV en EBV.
Lokale therapie bij chronische
graft versus host disease:Huid
Preventie: beperkte zonexpositie / gebruik zonnebrand met hoge factor, maligniteit
surveillance.
Zon protectie: bijvoorbeeld La Roche-posay producten: hoge
beschermingsfactor, ongeparfumeerd, geschikt voor zeer gevoelige en droge huid.
R/ La Roche-posay Anthelios XL 50+ fluide extreme: dunne lotion voor gelaat.
R/ La Roche-posay Anthelios XL crème.
R/ La Roche-posay Anthelios SPF 50
lipbescherming.
Droge huid:
R/ Lanette II
crème.
R/ Cremor vaselini cetomacrogolis FNA, vaseline 10% of 20% in cetomacrogolcrème.
R/ Unguentum leniens.
R/ Lanette - vaseline creme FNA.
R/ zalven en crèmes
met ureum (worden niet meer vergoed, diverse preparaten via apotheek of
drogisterij).
Actieve GvHD:R/ triamcinolon 0.1% crème of
zalf 1-2 dd. Bij onvoldoende effect Betnelan (betamethason-17- valeraat 0.1%)
crème of zalf of Dermovate (clobetasol 0.05%) crème of zalf.
R/ Protopic
(tacrolimus 0.03% of 0.1%) zalf 1-2 dd.
Bij onvoldoende reactie op steroïden
is het mogelijk om PUVA therapie (2-3 x per week) of UVA1 therapie (3 x per
week) te starten of toe te voegen aan de behandeling.
Behaarde
hoofd:R/ Locoïd crelo.
R/ Diprosone lotion 0,05%, Topicorte
emulsie, Clobex shampoo.
R/ triamcinolon 0,1%, salicylzuur 10% in 25% cetiol
V in ung lanette of ung cetomacrogolis ('s nachts inweken).
Jeuk:R/ mentholpoeder, 1% menthol in lanette crème, 1%
hydrocortison crème, 5-10% ureumzalf.
R/ antihistaminica: cetirizine 1-2
dd 10 mg of levocetirizine 1-2 dd 5 mg (niet sederend), promethazine 25 mg voor
de nacht (sederend).
R/ bij cholestatische jeuk: colestyramine 12-16 g/dag
in 1-2 dosis, zo mogelijk verlagen tot 4-8 g/dag; alternatief: naltrexon 2 dd
25 mg.
Erosies/ulceraties:Kweken op herpes,
gisten, schimmels
R/ Flammazine creme 2 dd.
R/ vetgazen (Jelonet), siliconengazen,
schuimverbanden (o.a. Mepilex Border light).
Depigmentaties:
Camouflage door huidtherapeute. Zoeken op internet naar een huidtherapeute in
de buurt. Met een (standaard formulier) machtiging van de dermatoloog kost dat
dan over het algemeen niets voor de patiënt.
Alopecia:
Bij verzekeraar machtiging aanvragen voor pruik / haarwerken. Voorbeeld:
www.hairconsultancy.nl.
Mond:Preventie: goede orale/dentale hygiene.
Tandarts controles. Overweeg mondhygiëniste. Bij verdenking bijkomende Candida
deze behandelen.
R/ Natriumfluoride 0,05% mondspoeling FNA, 1-2 dd mondspoelen.
R/ tandpasta Gentle Mint Gel: tube 75 ml, supersoft tandenborstel.
Droge
mond: regelmatig kleine beetjes water drinken, met name bij eten of praten,
lucht in omgeving vochtig houden met bakje water of elektrisch apparaat, speekselklieren
stimuleren met zure snoepjes of kauwgom (suikervrij), saliva orthana (kunstspeeksel,
als vloeistof of spray verkrijgbaar, spray meestal voorkeur, werkingsduur kort),
speeksel stimulantia: pilocarpine 4 dd 5 mg p.o. half uur voor maaltijd (werkt
kort, systemische bijwerkingen)
R/ Saliva orthana, 45 ml mondspray, Biotène
mondverzorgingsproducten.
Actieve GvHD:
R/ prednison drank 1 mg/ml of
5 mg/ml 1-4 dd 5-10 ml 4-6 minuten door mond spoelen, daarna uitspugen, vervolgens
half uur niet eten of drinken.
R/ alternatief/aanvulling: ciclosporine drank
100 mg/ml. Eventueel op lokale plekken: clobetasol 0.05% gel smeren.
Pijn:
systemische pijnstilling, lokale pijnstilling (xylocaine 2% visceus 3 dd 10
ml, xylocaine spray 10% 6dd).
Lokale ulceraties: mixtura lidocaine 1% aanstippen
of Orabase pasta lokaal aanbrengen 30 minuten voor eten.
Magistrale producten voor de mondholte:
| Dexamethason mondspoeling 0,11 mg/ml (voorschrift
VUMC) |
| R/ |
1.Dexamethason Natrii Phosphas 0.00 H20 Ph.Eur. |
143.0 mg |
| |
2.Natrii Metabisulfis 0.00 H20 Ph.Ned.8 |
50.0 mg |
| |
3.Natrii Edetas 2.00 H20 Ph.Eur. |
500.0 mg |
| |
4.Sorbitolum 70 per centum Cristallisabile Ph.Eur |
333.0 ml |
| |
5.Essence Frambozen Huisnorm (nb. geen menthol/mint) |
1.0 ml |
| |
6.Solutio Methylparabeni Conc FNA Huisnorm |
70 ml |
| |
7.Aqua ad Injectabilia Ph.Eur. |
Ad 1000 ml |
| |
Maximale bewaartermijn: 6 maanden. |
|
| S/ |
flacon voor mondspoeling, NO: . . . . . . . . . . |
|
| |
Gebruik: 6 dd 10 ml, spoelen en uitspugen |
|
| |
|
|
| Hierbij gebruiken anti-schimmel profylaxe: Fluconazol
50 mg, 1 dd 1 caps |
| |
|
|
| Protopic mondzalf |
| R/ |
1. Protopic 0,03% of 0,1% zalf |
24 g |
| |
2. Hypromellose 4000 mpa.s |
6 g |
| S/ |
Mondzalf, tube 30 gram, NO: . . . . . . . . |
|
| |
Gebruik 3 dd appliceren, met vinger (wang, tandvlees, tongrand,
lippen), nadien half uur niet eten of drinken. |
|
| |
|
|
| NB. Start met protopic 0,1% en ga pas later over op
0,03%. |
| |
|
|
| Betamethason mondzalf 0.05% |
| R/ |
1. Bethamethason 0.1% zalf |
15 g |
| |
2. Hypromellose 4000 mpa.s |
6 g |
| |
3. Vaseline |
9 g |
| S/ |
Mondzalf, tube 30 gram, NO: . . . . . . |
|
| |
Gebruik 6 dd dunne laag aanbrengen, niet inwrijven, nadien half
uur niet eten of drinken |
|
Ogen:Consult / meebehandeling oogarts.
R/ kunsttranen (hypromellose oogdruppels 0.3%, zonodig 1 druppel per uur, bij
warm droog weer eventueel 1 druppel per kwartier; polyvidon oogdruppels: Protagens
2%, 1-2 druppels 4-5 x per dag). NB: bij gebruik > 4 x per dag oogdruppels
gebruiken zonder conserveermiddelen).
R/ prednisolon 1% oogdruppels (2-4
dd 1 druppel, beperkte duur, taperen dosering, overleg oogarts).
R/ ciclosporine
oogdruppels (0.05%, 2 dd 1 druppel).
R/ bandage contactlenzen, speciale brillen,
tijdelijke occlusie / tarsorraphy (oogarts).
Verzorgende
producten voor de ogen:R/ hypromellose mono oogdruppels (zonder
conserveermiddel).
R/ hypromellose 0.3% oogdruppels 10 ml (met conserveermiddel).
R/ Vidisic Carbogel ooggel met carbomeer EDO 2 mg/g; 0.6 ml (zonder conserveermiddel).
R/ Oculentum simplex zalf.
R/ Lacrisert silicone (oogstaafje diep in onderste
ooglid aanbrengen).
R/ Hyabak, Celluvisc unit-dose, Vismed (OTC producten).
Vulva/vagina:Consult gynaecoloog.
Preventie:
irritatie door zepen voorkomen. Analyse: oestrogeen deficiëntie, infectie (HSV,
schimmel/gist, bacterieel).
R/ In overleg met gynaecoloog lokaal oestrogeen,
lokaal corticosteroïd, lubricantia.
R/ Protopic zalf 0.1% 2-3 dd (en los
extra vaseline).
R/ zo nodig Protopic 0.1% 2 dd gecombineerd met Cutivatezalf
2 dd.
R/ glijmiddel (Replens, RepHresh)
Penis:
R/ Betnelan (betamethason) crème.
R/ Protopic zalf 0.1% 2-3 dd.
Lever / tractus digestivus:Consult MDL arts.
Elimineer andere oorzaken (medicamenteus, infectieus: hepatitis A, B, C, EBV,
CMV, HHV-6, adenovirus).
R/ ursodeoxycholzuur 15 mg/kg in 2-3 doses (tabletten
300 mg)
Pancreas insufficiëntie: pancreas enzymen, dietist.
Oesofagus:
oesophageale dilatatie voor webs of stricturen.
Longen:
Analyse aanhoudende pulmonale klachten: longfunctieonderzoek, CT thorax, eventueel
overleg / consult longarts.
R/ beclometason inhalatie 3-4 dd 50 microgram,
eventueel ophogen. Meestal systemische therapie nodig, prednisolon p.o.
Musculoskeletaal:Fysiotherapeut: stretching
en bewegingsoefeningen, versterkende therapie.
Chirurgische therapie eventueel
bij contracturen.
Referenties
| 1. |
Special Interest Group Nederlandse Stamceltransplantatie
Verpleegkundigen V&VN Oncologie en HOVON. Graft-versus-host
ziekte: advies voor verpleegkundige zorg bij patiënten na een allogene
stamceltransplantatie. Nederlof repro, Dordrecht, 2007.
PDF |
| 2. |
Inamoto Y, Flowers MED. Treatment of chronic
graft-versus-host disease in 2011. Curr Opin Hematol 2011;18(6):414-420. |
| 3. |
Furlong T, Leisenring W, Storb R, Anasetti
C, Appelbaum FR, Carpenter PA, Deeg HJ, Doney K, Kiem HP, Nash RA,
Sanders JE, Witherspoon R, Thompson D, Martin PJ. Psoralen and ultraviolet
A irradiation (PUVA) as therapy for steroid-resistant cutaneous
acute graft-versus-host disease. Biol Blood Marrow Transplant 2002;8(4):206-212. |
| 4. |
Hematologie klapper Leiden (www.hematologieklapper.nl). |
Author(s):dr. Jan R. Mekkes. Dermatologist, Amsterdam UMC.