Eosinofiele folliculitis of eosinophilic pustular
folliculitis is gekenmerkt door het recidiverend ontstaan van jeukende pusteltjes
gevuld met een grote hoeveelheid eosinofiele granulocyten. De pustels zijn meestal
folliculair, maar niet altijd, daarom circuleert ook de term steriele eosinofiele
pustulosis. Het beeld is voor het eerst beschreven door
Ofuji
in 1970. Het kan voorkomen bij gezonden, maar komt in hogere frequentie voor
bij HIV-patiënten, bij neonaten en kleine kinderen, en bij patiënten met een
gestoorde afweer (lymfomen, leukemie, beenmergtransplantatie). Het is een marker
aandoening voor AIDS. Het komt meer voor bij mannen dan bij vrouwen, en meestal
in de leeftijdscategorie 20-40 jaar. Bij kinderen komt het voor bij neonaten
en zuigelingen tussen 5 en 10 maanden.
De oorzaak is niet bekend. Men gaat
er vanuit dat het steriele pustels zijn, toch zijn er ook hypothesen dat het
een reactie is op micro-organismen in de haarfollikel of op de huid, zoals Pityrosporum,
Demodex folliculorum, Pseudomonas, of dermatofyten. Er kan een gestoorde afweer
aan ten grondslag liggen.
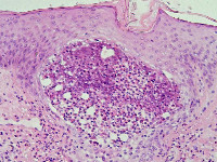
Klinisch beeld:Erythemateuze
papulopustels of papulovesikels, meestal (85%) in het gezicht, verder op nek,
romp of proximale extremiteiten, die zowel folliculair als niet-folliculair
kunnen zijn. Soms op handpalmen en voetzolen. Vaak krabeffecten, excoriaties.
Kan conflueren tot polycyclische geïndureerde plaques, 3 tot 5 cm doorsnede,
met hyperpigmentatie. Het kan ook weer spontaan verdwijnen na maanden tot jaren.
Soms lichte leukocytose en eosinofilie in perifeer bloed.
![Eosinofiele folliculitis (click on photo to enlarge) [source: www.huidziekten.nl] Eosinofiele folliculitis](../../../images/eosinofielefolliculitis1z.jpg) |
![Eosinofiele folliculitis (click on photo to enlarge) [source: www.huidziekten.nl] Eosinofiele folliculitis](../../../images/eosinofielefolliculitis2z.jpg) |
| eosinofiele
folliculitis |
eosinofiele
folliculitis |
![Eosinofiele folliculitis (click on photo to enlarge) [source: www.huidziekten.nl] Eosinofiele folliculitis](../../../images/eosinofielefolliculitis3z.jpg) |
![Eosinofiele folliculitis (click on photo to enlarge) [source: www.huidziekten.nl] Eosinofiele folliculitis](../../../images/eosinofielefolliculitis4z.jpg) |
| eosinofiele
folliculitis |
eosinofiele
folliculitis |
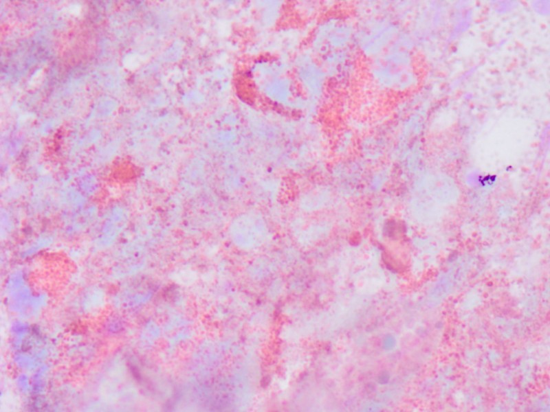
Diagnostiek:Inhoud van de pustel op een objectglas
uitsmeren en kleuren met een snelkleuring (b.v.
Diff-Quick kleuring). Sommigen noemen dit
een
Tzanck test, maar die naam is eigenlijk
gekoppeld aan het zoeken naar multinucleate cellen bij Herpes. Beoordeel of
er een puur eosinofiel infiltraat in zit, kijk ook naar de aanwezigheid van
veel bacteriën en neutrofiele granulocyten (banale folliculitis) of meerdere
Pityrosporum gisten (
Pityrosporum
folliculitis, Malassezia furfur). Zonodig een kweek van een pustel op bacteriën
en gisten. Zonodig een biopt. Zonodig bloedonderzoek: Hb, leuko's, leukodiff,
totaal eosinofielen, IgE, glucose, op indicatie HIV-serologie, CD4.
![Diff-Quick preparaat met eosinofielen (click on photo to enlarge) [source: www.huidziekten.nl] Diff-Quick preparaat met eosinofielen](../../../images/eosinofielefolliculitissmear1z.jpg) |
![Diff-Quick preparaat met eosinofielen (click on photo to enlarge) [source: www.huidziekten.nl] Diff-Quick preparaat met eosinofielen](../../../images/eosinofielefolliculitissmear2z.jpg) |
| smear
met eosinofielen |
smear
met eosinofielen |
![Diff-Quick preparaat met eosinofielen (click on photo to enlarge) [source: www.huidziekten.nl] Diff-Quick preparaat met eosinofielen](../../../images/eosinofielefolliculitissmear3z.jpg) |
![Diff-Quick preparaat met eosinofielen (click on photo to enlarge) [source: www.huidziekten.nl] Diff-Quick preparaat met eosinofielen](../../../images/eosinofielefolliculitissmear4z.jpg) |
| smear
met eosinofiele granula |
eo's en
Pityrosporum spp. |
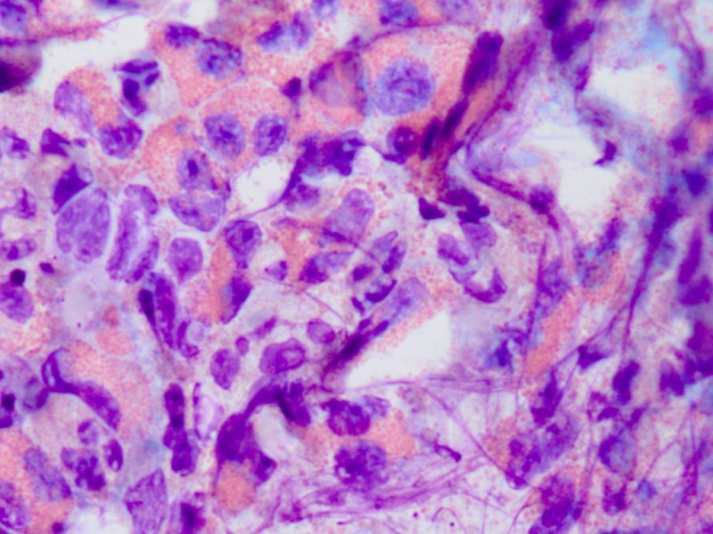
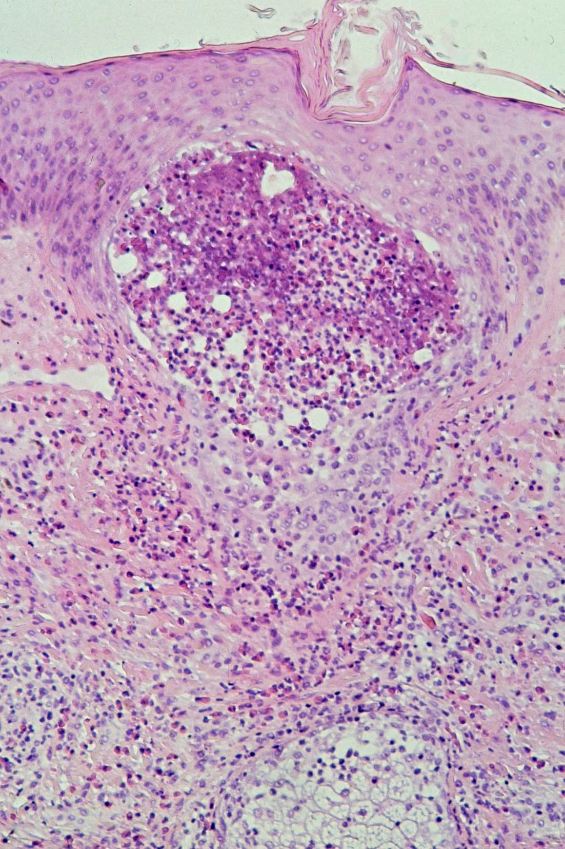
PA:Uitgebreid eosinofiel infiltraat, in de follikel en perifolliculair. In het klassieke geval zijn de haarfollikels ter hoogte van de inmonding v.d. talgklier (die soms ook volledig is aangetast) geïnfiltreerd met vele eosinofielen, en enkele mononucleairen en neutrofielen. Tevens bestaat spongiose en destructie van het bovenste deel van de haarfollikel (infundibulum). Ook in epidermis zonder follikels is infiltratie van eo's, met spongiose en intra-epidermale eosinofiele abcesjes. In de dermis is een perivasculair, voornamelijk eosinofiel infiltraat aanwezig.
DD:HIV-geassocieerde eosinofiele folliculitis:
pruritic papular eruption of AIDS, gewone
folliculitis,
toxicodermie,
mucinosis follicularis, insecten en vlooienbeten.
Neonatale eosinofiele folliculitis:
erythema toxicum neonatorum, benigne
cephale pustulosis (is dit feitelijk niet hetzelfde?),
neonatale acne,
milia,
miliaria,
varicella,
transient neonatal
pustular melanosis.
Pediatrische eosinofiele folliculitis:
pityrosporum folliculitis,
bacteriële folliculitis,
Candida,
acropustulosis of infancy,
scabies,
Gianotti-Crosti syndroom.
Gewone
(klassieke) eosinofiele folliculitis:
bacteriële folliculitis,
Pseudomonas folliculitis,
Pityrosporum
folliculitis,
Demodex folliculitis,
Candida (folliculitis),
acne,
scabies,
folliculair eczeem,
geneesmiddelenuitslag
(
AGEP,
pustuleuze geneesmiddelenreactie),
urticaria cholinergica,
psoriasis pustulosa,
subcorneale pustulaire dermatose
(Sneddon-Wilkinson),
mucinosis
follicularis.
Therapie:R/ lokale corticosteroïden
klasse 1-4 (gelaat klasse 1-2).
R/ antihistaminica, bij veel jeuk 's avonds
sederende (Nedeltran, Phenergan, hydroxyzine).
R/ itraconazol 1 dd 100 mg
gedurende 2 weken.
R/ UVB TL-01 of breedspectrum.
R/ doxycycline 1 dd
100 mg, minocycline 1 dd 50-100 mg, tetracycline 1-2 dd 500 mg.
R/ dapson
( DDS) 1 dd 100 mg.
R/ Protopic (tacrolimus) zalf.
R/ isotretinoïne gedurende
enkele maanden. Niet bij vrouwen.
R/ NSAID's kunnen bij sommigen effectief
zijn. Indometacine 2 dd 25 mg of 1 dd 75 mg retard.
R/ zonodig korte kuur
prednison of ciclosporine. Ook Lamprene (clofazimine)
wordt genoemd.
Kinderen: expectatief beleid, eventueel hydrocortison in
Nizoral crème.
Eventueel enkele middelen uitproberen gericht
op infectieuze oorzaken van folliculitis:R/ metronidazol 3 dd 250 mg.
R/ permetrine crème.
Referenties
| 1. |
Ofuji S, Ogino A, Horio T, et al. Eosinophilic
pustular folliculitis. Acta Derm Venereol 1970;50:195-203. |
| 2. |
Nervi SJ, Schwartz RA, Dmochowski M. Eosinophilic
pustular folliculitis: a 40 year retrospect. J Am Acad Dermatol
2006;55:285-289. |
| 3. |
Fukamachi S, Kabashima K, Sugita K, Kobayashi
M, Tokura Y. Therapeutic effectiveness of various treatments for
eosinophilic pustular folliculitis. Acta Derm Venereol 2009;89:155-159. |
| 4. |
Lim HW, Vallurupalli S, Meola
T, et al. UVB phototherapy is an effective treatment for pruritus
in patients infected with HIV. J Am Acad Dermatol 1997;37:414-417. |
| 5. |
Kabashima K, Sakurai T, Miyachi Y. Treatment
of eosinophilic pustular folliculitis (Ofuji's disease) with tacrolimus
ointment. Br J Dermatol 2004;151:949-950. |
| 6. |
Brazzelli V, Barbagallo T, Prestinari F,
et al. HIV seronegative eosinophilic pustular folliculitis successfully
treated with doxycycline. J Eur Acad Dermatol Venereol 2004;18:467-470. |
Author(s):dr. Jan R. Mekkes. Dermatologist, Amsterdam UMC.