Erythema exudativum multiforme is een toxisch-allergische
reactie op o.a.
bacteriële en virale infecties, gekenmerkt
door de aanwezigheid van target laesies(schietschijflaesies) en een self-limiting
beloop. Een belangrijke oorzaak van EEM is het
herpes virus.
Ook
Mycoplasma pneumonia wordt regelmatig gevonden.
In 2015 is geopperd om erythema multiforme major veroorzaakt door
Mycoplasma pneumonia te beschouwen als een aparte entiteit:
Mycoplasma pneumoniae-induced rash and mucositis
(
MIRM).
![Erythema exsudativum multiforme (click on photo to enlarge) [source: www.huidziekten.nl] Erythema exsudativum multiforme](../../../images/erythema-exsudativum-multiforme-1z.jpg) |
![Erythema exsudativum multiforme (click on photo to enlarge) [source: www.huidziekten.nl] Erythema exsudativum multiforme](../../../images/erythema-exsudativum-multiforme-2z.jpg) |
![Erythema exsudativum multiforme (click on photo to enlarge) [source: www.huidziekten.nl] Erythema exsudativum multiforme](../../../images/erythema-exsudativum-multiforme-3z.jpg) |
| erythema
multiforme |
erythema
multiforme |
erythema
multiforme |
![Erythema exsudativum multiforme (click on photo to enlarge) [source: www.huidziekten.nl] Erythema exsudativum multiforme](../../../images/erythema-exsudativum-multiforme-4z.jpg) |
![Erythema exsudativum multiforme (click on photo to enlarge) [source: www.huidziekten.nl] Erythema exsudativum multiforme](../../../images/erythema-exsudativum-multiforme-5z.jpg) |
![Erythema exsudativum multiforme (click on photo to enlarge) [source: www.huidziekten.nl] Erythema exsudativum multiforme](../../../images/erythema-exsudativum-multiforme-6z.jpg) |
| erythema
multiforme |
erythema
multiforme |
erythema
multiforme |
![Erythema exsudativum multiforme (click on photo to enlarge) [source: www.huidziekten.nl] Erythema exsudativum multiforme](../../../images/erythema-exsudativum-multiforme-7z.jpg) |
![Erythema exsudativum multiforme (click on photo to enlarge) [source: www.huidziekten.nl] Erythema exsudativum multiforme](../../../images/erythema-exsudativum-multiforme-8z.jpg) |
![Erythema exsudativum multiforme (click on photo to enlarge) [source: www.huidziekten.nl] Erythema exsudativum multiforme](../../../images/erythema-exsudativum-multiforme-9z.jpg) |
| erythema
multiforme |
erythema
multiforme |
target
lesion |
![Erythema exsudativum multiforme (click on photo to enlarge) [source: www.huidziekten.nl] Erythema exsudativum multiforme](../../../images/erythema-exsudativum-multiforme-10z.jpg) |
![Erythema exsudativum multiforme (click on photo to enlarge) [source: www.huidziekten.nl] Erythema exsudativum multiforme](../../../images/erythema-exsudativum-multiforme-11z.jpg) |
![Erythema exsudativum multiforme (click on photo to enlarge) [source: www.huidziekten.nl] Erythema exsudativum multiforme](../../../images/erythema-exsudativum-multiforme-12z.jpg) |
| erythema
multiforme |
erythema
multiforme |
erythema
multiforme |
Klinisch beeld:Kenmerkende laesies zijn de
iris of
target laesies, maar grote
verscheidenheid is mogelijk: erythema, erythema + papula, + vesiculo-bulla,
+ nodus/nodulus, + purpura, zelfs gegeneraliseerde eruptie op huid en slijmvliezen
komt voor.
Verloop: vaak voorafgegaan door keelpijn, soms algemene verschijnselen,
zoals koorts, malaise, darm-en gewrichtsklachten. Eruptie begint met muntgrote
erythemateuze plekken, die vaak conflueren en papuleus worden. Later ontstaan
hierin bullae, purpura of nodi. Soms worden de plekken centraal livide en ontstaan
de klassieke concentrische ringen (irislaesies). Voorkeurslokalisaties: symmetrisch
op hand en voet-ruggen, ook palmair, strekzijde ellebogen en knieën, nek, mond
(lippen en slijmvlies), genitalia. Self-limiting disease, geneest gewoonlijk
zonder resten in 1-5 weken.
Complicaties: In mond en keel: overgaan van de
bulleuze erupties in erosies en ulcera, bedekt met membraneus beslag; foetor
ex ore. Ogen: keratitis en ernstige corneabeschadiging. Huid en slijmvliezen:
gegeneraliseerde eruptie met ernstige algemene verschijnselen, hoge BSE, leukocytose.
Verwarring over de namen EEM, SJS en TENErythema multiforme
kan zeer uitgebreid zijn, met meedoen van de slijmvliezen. Vroeger werd de naam
Stevens Johnson syndroom hier aan verbonden, als een
heftige en ernstige variant van EEM. EEM en Stevens-Johnson werden dus beschouwd
als 2 varianten van 1 ziekte, en
toxische epidermale
necrolyse was heel wat anders. In 1993 is dit in een expert meeting omgegooid.
Steven Johnson syndroom (SJS) wordt nu beschouwd
als een milde variant van toxische epidermale necrolyse (TEN). Vanaf dat moment
wordt de klassieke milde vorm met target lesions EEM genoemd of EEM minor, de
wat uitgebreidere vorm met target lesions, huidafwijkingen tot 10% en slijmvlies
afwijkingen EEM major. In de SJS/TEN groep zijn de categorieën dan SJS (<
10% lichaamsoppervlak), SJS/TEN (10-30%) en TEN (>30%). De categorie SJS/TEN
is vooral gekoppeld aan geneesmiddelen gebruik, en de EEM/EEMM groep is vooral
gekoppeld aan doorgemaakte infecties, zoals het herpes virus. Het onderscheid
tussen de verschillende entiteiten blijft vaag. Zelfs de 'klassieke' target
lesions zijn niet specifiek voor EEM, want ook bij SJS/TEN kunnen in het beginstadium
annulaire erythemateuze laesies ontstaan met een donker centrum die lijken op
target lesions. Pas op voor verwarring want dermatologen die voor 1993 zijn
opgeleid denken bij SJS aan EEM.
| Erythema Exsudativum Multiforme (EEM): |
Toxische Epidermale Necrolyse (TEN): |
- typische schietschijf laesies, soms verheven - vooral distale
extremiteiten - vaak kapotte lippen en mondslijmvlies - meestal <
10% lichaamsoppervlak - meestel herpesvirus of Mycoplasma pneumoniae
- goede prognose - therapie: symptoombestrijding |
- vlakke atypische schietschijflaesies, roodpaarse nauwelijks
verheven plaques, blaren - romp en proximale extremiteiten
- lippen en mondslijmvlies vrijwel altijd aangedaan - SJS <
10%, SJS-TEN 10-30%, TEN > 30% - meestal medicamenteus: antibiotica,
anti-epileptica, sulfonamiden, allopurinol - hoge morbiditeit
en mortaliteit - staken alle medicatie, hoge dosis immunosuppressiva |
| Nieuwe indeling EEM, SJS en TEN: |
| EEM (minor, klassieke EEM) |
target lesions aan de acra (handpalmen en voetzolen) geen
slijmvliesafwijkingen milde vorm (t.o.v. de EEM major variant)
oorzaak: vooral virale en bacteriële infectie, mogelijk/soms ook
geneesmiddelen self-limiting |
| EEM major |
target lesions aan de acra (handpalmen en voetzolen) wel
slijmvliesafwijkingen kan uitgebreid zijn (tot 10% van het lichaamsoppervlak)
oorzaak: vooral virale en bacteriële infectie, mogelijk/soms ook
geneesmiddelen self-limiting, kan wel schade achterlaten aan
slijmvliezen (let op: moeilijk af te grenzen van SJS en SJS/TEN,
blijf rekening houden met de mogelijkheid dat het toch een SJS/TEN
is of wordt en verdenk alle medicatie) |
| SJS |
slijmvliesafwijkingen huidafwijkingen < 10% van het lichaamsoppervlak
oorzaak: vooral geneesmiddelen |
| SJS / TEN |
slijmvliesafwijkingen huidafwijkingen 10-30% van het lichaamsoppervlak
oorzaak: vooral geneesmiddelen |
| TEN |
slijmvliesafwijkingen huidafwijkingen > 30% van het lichaamsoppervlak
oorzaak: vooral geneesmiddelen |
| Oorzaken van Erythema Exsudativum Multiforme (EEM): |
Vele verdachte oorzaken, sommige goed gedocumenteerd:
Herpes simplex, Mycoplasma pneumonia (vaak bij kinderen), Mononucleosis
infectiosa, Vaccinia, TBC, Tularemie, Yersinia, Histoplasmose
Sommige incidenteel beschreven zoals:
Viraal: adeno, coxsackie, echo, entero,
hepatitis B, influenza, milkers nodule, mazelen, bof, Orf, polio,
varicella zoster, EBV, variola Bacterieel:
BCG vaccinatie, difterie, gonorroe, hemolytische streptokokken,
Legionella, M. leprae, pneumococcen, Proteus, Pseudomonas, Salmonella,
Staphylococcen, Vibrio, syphilis Parasieten:
Trichomonas, malaria Mycosen: Coccidiomycosis,
histoplasmosis, dermatophyten Lymphogranuloma venereum, Psittacosis,
Ornithosis.
Geneesmiddelen (vaker bij TEN dan
bij EEM): antibiotica, sulfonamiden, anticonvulsiva,
barbituraten, antipyretica en analgetica (salicylaten !), arsenicum,
carbamazepine (HLA-B*1502-geassocieerd), cimetidine, corticosteroïden,
dapson, oestrogenen, goudverbindingen, hydralazine, stikstofmosterd,
fenolftaleïne, fenylbutazon, tetracycline. Neoplasmata:
carcinomen, leukemie, lymfoma, multipel myeloma, polycythemie.
Collageenziekten en vasculitiden: dermatomyositis,
LE, polyarteritis, reumatoïde arthritis, m. Wegener.
Diversen: contactagentia, voedselallergenen, m.
Reiter, sarcoidosis, vaccinaties, bestraling. |
DD:Huidlaesies:
Mycoplasma pneumoniae-induced rash and mucositis,
chronische
en acute urticaria,
urticaria
multiforme,
vasculitis,
geneesmiddeleneruptie,
hand foot and mouth syndroom, meningococcemie,
subacute bacteriële endocarditis, gonococcemie,
annulaire/gegyreerde
erythemen,
secundaire syphilis,
virale exanthemen,
toxische epidermale necrolysis,
Staphylococcal scalded
skin syndrome,
Rocky Mountain spotted fever,
lupus erythematodes,
mucocutaneous lymph node syndrome (kinderen).
Slijmvlieslaesies:
Mycoplasma pneumoniae-induced rash and mucositis,
pemphigus vulgaris,
herpes stomatitis,
aphtosis, bullous and mucosal pemphigoid,
lichen planus.
Diagnostiek:
Biopt. Oriënterend lab (bloedbeeld en klinisch chemisch). Serologisch
onderzoek naar antistoffen (IgM) tegen M. pneumoniae, en een PCR op een swab
van de oropharynx. Op indicatie: virusserologie (HSV, VZV, EBV, influenza). ANA,
RF. Eiwitspectrum. AST en antiDNAse B. Lues en Chlamida serologie. Faeceskweek.
X-thorax.
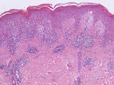
PA:Het klinisch beeld is wisselend, de PA ook.
In de beginfase enige spongiose en acanthose in de epidermis; in de cutis aanvankelijk uitsluitend wijde bloedvaten, vooral oppervlakkig. Perivasculair oedeem en infiltraatmantels, in intensiteit variërend van licht tot matig, vaak gemengd met polynucleaire leukocyten en eosinofielen. Het endotheel is wat gezwollen, de vaatwand verdikt.
Bij verdere ontwikkeling neemt de spongiose in de epidermis toe, de epidermis laat pleksgewijs los van de cutis; de subepidermale holten conflueren later tot bullae. In een nog latere fase ontstaat soms partiële necrose, van onder af, onder het blaardak. In de cutis bevinden zich dichte perivasculaire lymfocytaire infiltraatmantels, vooral onder de bullae; gewoonlijk bevinden zich hier slechts enkele eosinofielen, maar het kunnen er wel eens zeer vele zijn. De lymfocyten dringen het stratum papillare en de epidermis in; dit gaat gepaard met een sterke mate van oedeemvorming.
![Histologie erythema multiforme (click on photo to enlarge) [source: Kevin Kwee / Afdeling Pathologie MUMC] Histologie erythema multiforme](../../../pacoupes/thumbnails/erythema-multiforme.jpg) |
|
ingescande coupe (zoom) |
Bron
hoge resolutie PA-foto: Kevin Kwee en Afdeling Pathologie MUMC. Klik
op de afbeelding om in te zoomen.
Therapie:Omdat het onderscheid tussen
EEM (vooral infecties gerelateerd) en SJS/TEN (vooral geneesmiddelen gerelateerd)
niet altijd heel precies te maken is, is het verstandig om voor de zekerheid
ook bij EEM alle verdachte medicatie te staken of te vervangen door een niet
groepsverwant middel. Als er een onderliggende infectie kan worden gevonden
zoals herpes simplex of Mycoplasma pneumoniae dan dit behandelen. EEM wordt
beschouwd als self-limiting, en bij de minor variant met klassieke target lesions
kan een expectatief beleid worden gevoerd. Bij de major variant met slijmvlies
laesies kunnen complicaties optreden zoals schade aan de cornea en dan moet
er een besluit genomen worden over het starten van systemische steroïden. Hierover
zijn de meningen verdeeld en wisselend door de jaren heen. Prospectieve studies
ontbreken en bij het retrospectief analyseren ontstaat bias: het lijkt dan alsof
het geven van corticosteroïden geassocieerd was met meer complicaties, maar
die relatie is waarschijnlijk andersom, net als bij TEN: in ernstige gevallen
(met meer complicaties) werd besloten om corticosteroïden te geven. Het advies
gebaseerd op de ervaringen in het AMC is om bij EEM major wel systemische corticosteroïden
te geven, maar kortdurend (3-5 dagen) en niet in de hoge doseringen die bij
TEN worden geadviseerd, maar in de range 0.5-1
mg/kg.
Consult oogarts, consult KNO arts bij betrokkenheid ogen of mondkeelholte.
Bij uitgebreide erosies kan opname in een brandwondencentrum nodig zijn.
R/ antibiotica op geleide van kweek bij secundaire infecties.
R/ prednisolon
oraal 1 dd 30-60 mg (0.5-1 mg/kg) in ernstige gevallen (erythema multiforme
major) gedurende 3-5 dagen. Kinderen 1 mg/kg verdeeld over twee giften.
R/
valaciclovir 2 dd 500 mg gedurende 5 dagen. Zonodig langer (6-10
dagen) bij verdenking op herpes infectie (laagdrempelig geven).
R/ aciclovir intraveneus 3 dd 5 mg/kg bij ernstige infecties. Langzaam (in 1
uur) laten inlopen.
R/ valaciclovir 1 dd 500 mg als profylactische
behandeling, bij recidiverende E.E.M. indien gedacht wordt aan relatie met Herpes
simplex (geassocieerd met HLA B15/DQW3). Ook als proefbehandeling aan te raden.
Patiënt kan ook een kuur in huis hebben en starten bij de eerste tekenen.
R/ EMLA (lidocaïne / prilocaïne) crème of lidocaïnezalf op de lippen.
Overige genoemde therapieën:
R/ dapson (diafenylsulfon).
R/ Plaquenil
(hydroxychloroquine)
R/ azathioprine.
R/ ciclosporine.
R/ thalidomide.
Author(s):dr. Jan R. Mekkes. Dermatologist, Amsterdam UMC.