Toxische epidermale necrolyse (
TEN)
is een onvoorspelbare, levensbedreigende, zeldzame, bijna altijd medicament
geïnduceerde ziekte (80% van de gevallen.) Andere zeldzame oorzaken zijn infecties
en vaccinaties. Massale keratinocyten apoptose is een hoofdeigenschap van zowel
Stevens-Johnson syndroom (
SJS)
als TEN, resulterend in splijting en loslating van grote delen van de huid ter
hoogte van de dermaal-epidermale verbinding. Dit geeft een op brandwonden gelijkend
klinisch beeld. SJS en TEN worden steeds meer beschouwd als twee uitersten van
een spectrum (tabel 1).
Erythema Multiforme (Major) wordt nu als een andere, aparte entiteit gezien.
Tabel 1: Onderscheid tussen SJS, SJS / TEN en TEN
| Klinische entiteit: |
SJS |
SJS / TEN |
TEN |
| Primaire laesies |
Paars-rode laesies Vlakke atypische schietschijf laesies |
Paars-rode laesies Vlakke atypische schietschijf laesies |
Slecht afgrensbare erythemateuze plaques Epidermale loslating,
spontaan of door wrijving |
| Distributie |
Geïsoleerde laesies, confluerend (+) op gelaat en romp |
Geïsoleerde laesies, confluerend (++) op gelaat en romp |
Geïsoleerde laesies, confluerend (+++) op gelaat, romp en
elders |
| Slijmvliezen |
Aangedaan |
Aangedaan |
Aangedaan |
| Systemische symptomen |
Gewoonlijk |
Altijd |
Altijd |
| Aangedaan lichaams-oppervlak (BSA) |
< 10 % |
10 – 30 % |
> 30 % |
Een patiënt met TEN is zeer ziek. De aandoening kan gepaard gaan met grote
metabole afwijkingen, sepsis, multi-orgaan falen, longembolie en gastro-intestinale
bloedingen. De mortaliteit van TEN is ongeveer 25-35 %. De prognose hangt grotendeels
samen met het vroeg stellen van de diagnose en de snelheid waarmee het verantwoordelijke
medicament wordt geïdentificeerd en gestopt! De meest beruchte TEN-gecorreleerde
geneesmiddelen zijn: sulfonamiden antibiotica (met name trimethoprim / sulfametoxazol),
(aromatische) anti-epileptica (carbamazepine, fenytoïne, fenobarbital ), β-Lactam
antibiotica, antiretrovirale middelen (nevirapine, abacavir), NSAID’s (m.n.
de oxicams), Allopurinol, lamotrigine, tetracyclines, chinolonen (m.n. ciprofloxacine).
De SCORTEN, afgenomen in de eerste 24 uur en op dag 3 is een betrouwbaar
prognose voorspellend scoringssysteem. De score is de som van de volgende zeven
parameters: (1) Leeftijd > 40 jaar, (2) HF > 120 / min, (3) aanwezigheid
van (hematologische) maligniteit, (4) aangedaan BSA op dag 1 > 10%, (5) ureum >
10 mmol / L, bicarbonaat < 20 mmol / L, serum glucose > 14 mmol / L. Iedere
variabele is een punt, de mortaliteit neemt bij ieder bijkomend punt snel toe.
| Risk factor (SCORTEN scale): |
0 |
1 |
| Age |
< 40 years |
> 40 years |
| Associated malignancy |
no |
yes |
| Heart rate (beats/min) |
<120 |
>120 |
| Serum BUN (mmol/L) |
<10 |
>10 |
| Detached or compromised body surface |
<10% |
>10% |
| Serum bicarbonate (mEq/L) |
>20 |
<20 |
| Serum glucose (mmol/L) |
<14 |
>14 |
| No of risk factors: |
Mortality rate: |
| 0-1 |
3.2% |
| 2 |
12.1% |
| 3 |
35.3% |
| 4 |
58.3% |
| 5 or more |
>90% |
Klinisch beloop: Het typische interval tussen de
start van het verantwoordelijke medicijn en ontwikkeling van SJS / TEN is meestal
tussen de een en drie weken, en veel korter als het een tweede blootstelling
is aan een medicament waarop eerder een SJS / TEN ontstond. TEN wordt meestal
voorafgegaan door abrupte ontwikkeling van koorts, systemische toxiciteit, een
gegeneraliseerde, donkere, erythemateuze uitslag, en in een iets later stadium
bullae, loslating van grote delen epidermis van de dermis, purulente conjunctivitis
en mucositis van de mond en genitale regio. Mucositis is meestal al enkele dagen
aanwezig voordat de rest van de huid is aangedaan. De huid is pijnlijk bij aanraken
en de minste wrijving kan loslating van de aangedane huid geven. De mate van
uitbreiding van loslatende huid is onvoorspelbaar. Bij een op de zeven patiënten
kan massale necrolyse, waarbij het gehele huidoppervlak betrokken is, binnen
24 uur plaatsvinden. Echter in de meeste gevallen zullen laesies zich ontwikkelen
in 2 tot 15 dagen. In ernstige gevallen laten gebieden van re-epithelialisatie
opnieuw los door necrolyse, maar zelfs bij dit fulminante beloop is het behaarde
hoofd veelal niet aangedaan. Gelijktijdige anemie en lymfopenie komen veel voor,
echter de aanwezigheid van neutropenie voorspelt een slechte prognose.
Inflammatie van de interne mucosae, zoals de gastro-intestinale en respiratoire
tractus, komt vaak voor bij TEN. Dit zou gevolg kunnen zijn van massaal vrijkomen
van pro-inflammatoire cytokines in de circulatie. Betrokkenheid van de respiratoire
mucosa is verraderlijk, ernstige pulmonale ziekte kan zich voordoen met tegelijkertijd
een thoraxfoto zonder afwijkingen. Dyspnoe, tachypnoe en hypoxemie zijn dan
de enige betrouwbare parameters. Bij afwezigheid van infectie en actieve ziekte,
geneest de huid in enkele dagen. Genezing van drukpunten en intertrigineuze
gebieden kan tot twee weken duren. De aangedane slijmvliezen doen er met name
lang over om te genezen, laesies op de glans penis bijvoorbeeld kunnen tot twee
maanden persisteren. Eventuele gevolgen voor de rest van de huid zijn: vaginale,
urethrale en anale stricturen / nagelverlies / verlittekening en pigmentafwijkingen
(met name hypopigmentaties).
In alle gevallen van SJS en TEN is een consult
oogarts in een vroege fase nodig! Blindheid kan een gevolg zijn van TEN, echter
fotofobie, droge ogen en vreemd lichaam sensatie zijn het meest voorkomend.
| Bulleuze ziekte: |
Koorts: |
Mucositis : |
Morfologie: |
IF: |
Aanvang: |
Andere feiten: |
Drug-induced pemphigoid |
Nee |
Zelden |
Gespannen bullae (soms haemorragisch) |
+ |
Acuut |
Vaak diuretica oorzaak, m.n. spironolacton |
Staphylococcal scalded skin syndrome (SSSS) |
Ja |
Afwezig |
Erytheem, huid gevoelig, peri-oraal crustae |
- |
Acuut |
m.n. kinderen < 5 jr + geimmunocompromiteerden |
Drug-induced pemphigus |
Nee |
Gewoonlijk afwezig |
Erosies, crustae Vlekkig erytheem |
+ / - |
Geleidelijk |
Vaak penicillamine en andere thiol verbindingen |
Drug-triggered Pemphigus |
Nee |
Aanwezig |
Mucosale erosies, slappe bullae |
+ |
Geleidelijk |
Door non-thiol verbindingen, blijft lang bestaan, ook na stop
oorzaak |
Paraneoplastische pemphigus |
Nee |
Aanwezig (meestal ernstig) |
Polymorfe huidlaesies, slappe bullae |
+ |
Geleidelijk |
Therapieresistent Geassocieerd met maligniteit, m.n. lymfomen |
| Acute Graft-versus- Host disease (GVHD) |
Ja |
Aanwezig |
Morbilliform exantheem, bullae en erosies |
- |
Acuut |
Lijkt erg op TEN |
Acute gegeneraliseerde Exanthemateuze Pustulosis (AGEP) |
Ja |
Zelden |
Oppervlakkige pustulae |
-
|
Acuut |
Bij stop medicijn self-limiting |
Drug-induced Bulleuze lineaire IgA dermatose |
Nee |
Zelden |
Gespannen sub-epidermale bullae |
+ |
Acuut |
Cave vancomycine! Vaak jeuk |
Pathogenese:De oorzaak is niet volledig opgehelderd.
Toenemend bewijs dat SJS / TEN samenhangt met een verminderd vermogen tot detoxificatie
van medicijn metabolieten. Deze metabolieten zouden een reactie bewerkstelligen,
met als resultaat een antigeen waartegen het immuunsysteem heftig ageert. Genetische
predispositie zou hierbij ook een rol spelen. Keratinocyten apoptose is met
name gemedieerd door Fas - FasL interacties, perforines, en/of TNFα die allen
aanwezig zijn in de epidermis bij TEN.
DD:
Graft versus host disease,
bulleuze toxicodermie,
TEN-like SLE, bulleuze LE,
Rowell syndroom,
EEM major,
pemphigus,
bulleus pemphigoid.
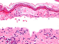
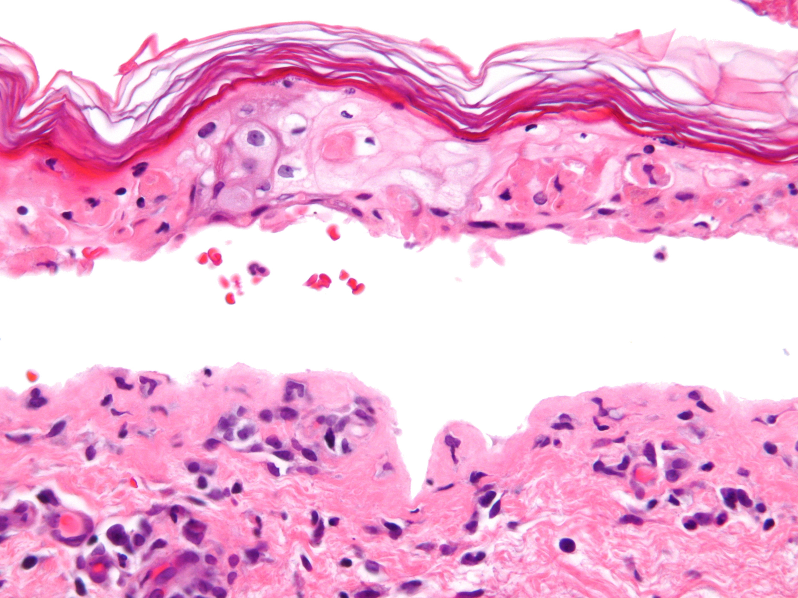
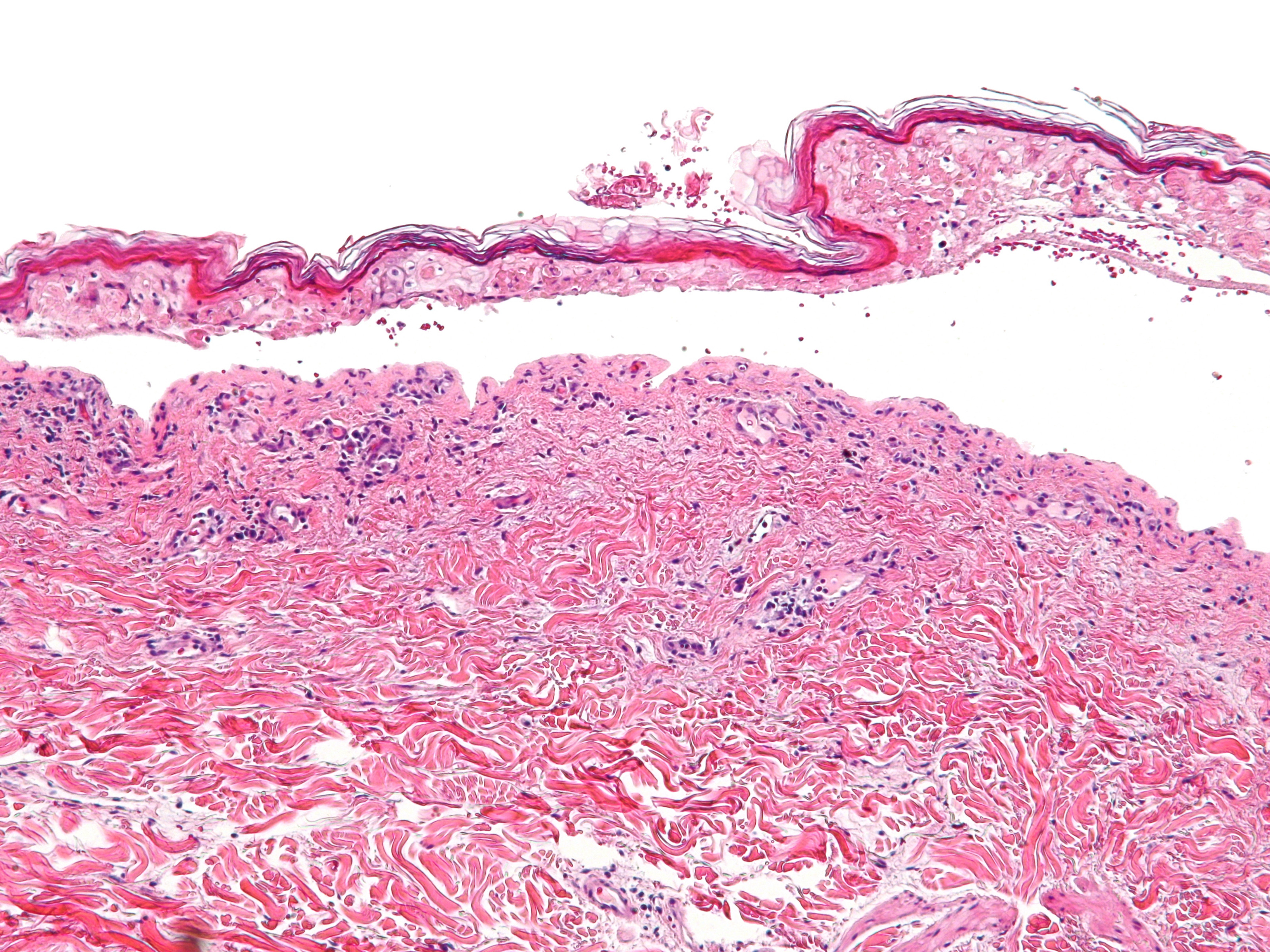
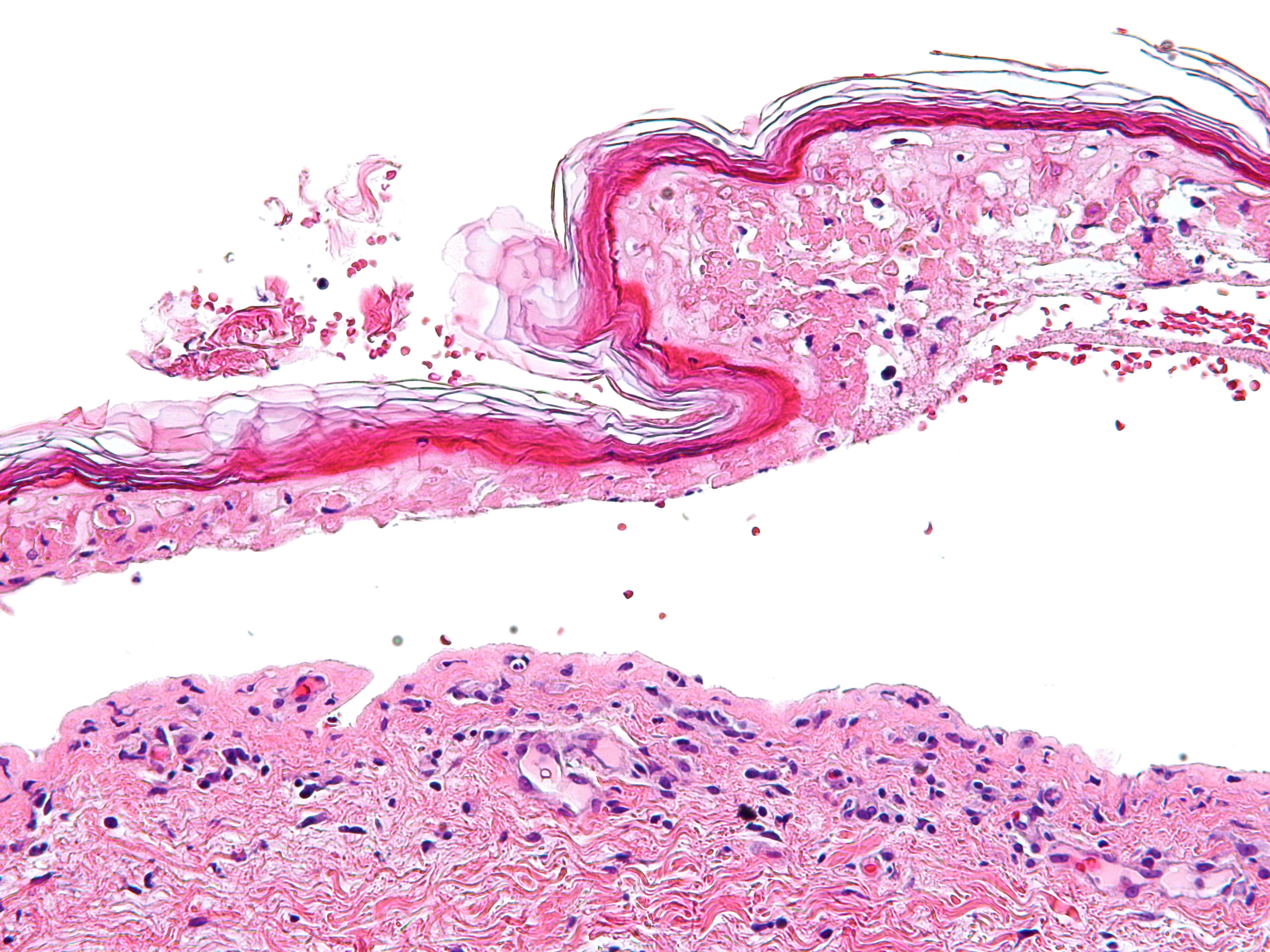
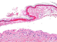
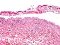
Histologisch
onderzoek: Vroege laesies van SJS en TEN: apoptotische keratinocyten
verspreid in de basale en direct suprabasale lagen van de epidermis. In latere
stadia: sub-epidermale splijting overdekt met confluerend necrose van de gehele
epidermis. Er is een spaarzaam / mild perivasculair ontstekingsinfiltraat, met
name bestaand uit lymfocyten. Immunopathologie: variabele aantallen lymfocyten
(CD 8+) en macrofagen epidermaal, lymfocyten (CD 4+) in de papillaire dermis.
![Toxische epidermale necrolyse (TEN) (click on photo to enlarge) [source: Michael Bonert (Nephron) - Wikimedia - Creative Commons License 3.0] Toxische epidermale necrolyse (TEN)](../../../images/SJS-PA-1z.jpg) |
![Toxische epidermale necrolyse (TEN) (click on photo to enlarge) [source: Michael Bonert (Nephron) - Wikimedia - Creative Commons License 3.0] Toxische epidermale necrolyse (TEN)](../../../images/SJS-PA-2z.jpg) |
![Toxische epidermale necrolyse (TEN) (click on photo to enlarge) [source: Michael Bonert (Nephron) - Wikimedia - Creative Commons License 3.0] Toxische epidermale necrolyse (TEN)](../../../images/SJS-PA-3z.jpg) |
| PA SJS
/ TEN |
PA SJS
/ TEN |
PA SJS
/ TEN |
PA-Foto's:
Michael Bonert (Nephron) - Wikimedia (Creative Commons License
3.0).
Therapie: Bovenaan staat het eventueel verantwoordelijke
medicament vinden en staken. Ook geneesmiddelen die zogenaamd 'onmisbaar' zijn
zullen toch moeten worden gestopt (eventueel vervangen door een middel uit een
chemisch niet-verwante groep) omdat de patiënt anders zal overlijden aan de
TEN. Een consult oogarts is altijd nodig. Bij uitgebreide laesies overplaatsing
naar een brandwondencentrum overwegen. De systemische therapie mogelijkheden
zijn slecht onderzocht. Vanwege de zeldzaamheid zijn prospectieve studies schaars.
Retrospectief zijn de resultaten moeilijk te beoordelen, vanwege de grote variatie
in natuurlijk beloop. De indruk bestaat dat hoge dosis corticosteroïden wel
degelijk werken ondanks tegensprekende literatuur op dit punt. Dit blijkt uit
het beloop bij individuele patiënten, waarbij is waargenomen dat na voortijdig
staken van de steroïden de ziekte weer terugkwam, en na het hervatten van prednison
weer verdween. De evidence based medicine brengt bij deze ziekte geen uitkomst.
Uit de retrospectieve analyses blijkt dat de grootste sterfte voorkwam bij de
patiënten die de grootste hoeveelheden prednison kregen. Maar dit is een cirkelredenering
(de ergste patiënten kregen de grootste hoeveelheden prednison). Het advies
is, ook volgens expertisecentrum Groningen, om kort maar krachtig prednison
te geven: 3 opeenvolgende dagen, en zeer hoog gedoseerd. Zoals ook bij andere
uitgebreide blaarziekten onder prednison gebruik moet men bedacht zijn op infecties,
ook uitzonderlijke zoals gedissemineerde herpes infectie of CMV reactivatie.
Let ook op het
albumine gehalte,
als dit te laag wordt neemt de lekkage van vocht uit de huid toe.
R/
prednison hoog gedoseerd (1 dd 120-150 mg (1.5-2 mg/kg) gedurende 3 dagen, daarna
herevaluatie). Of (Groningen protocol) een hoge dosis dexamethason (100 mg gedurende
3 dagen), en daarna observeren wat er gebeurt. Desgewenst kan als het niet voldoende
goed gaat opnieuw dexamethason worden gegeven. Een andere optie is om dan IvIg
te geven. Zonodig prednison in een lagere dosis (30-40 mg per dag) continueren.
R/ albumine suppletie.
R/
intraveneuze immunoglobulinen.
Voor toxische epidermale necrolyse is de geadviseerde dosis 2 g/kg verdeeld
over 2 dagen (1 g/kg per dag), of 0.4 g/kg/dag gedurende 5 dagen (totaal 2 g/kg).
Ook een hogere dosis (3 g/kg in 2 dagen) is een optie. Eénmalig toe te dienen,
in een vroege fase (binnen 3-5 dagen na het stellen van de diagnose, en aanvullend
op prednison of dexamethason.
R/ thalidomide.
R/ plasmaferese.
R/ anti-TNF-alpha.
R/ cyclofosfamide.
R/ pentoxifilline.
Lokale verzorging
R/ niet
adherente gazen op de open plekken zoals paraffine gazen, mepitel, of liggen
op een metalline laken.
R/ betadine jodium zalfgazen en zalf.
R/ chloorhexidine
mondspoeling.
R/ lidocaine mondspoeling.
R/ nystatine mondspoeling of
miconazol orale gel (bij Candida overgroei).
R/ mucositis cocktail om mee
te gorgelen (prednisolon, xylocaine, nystatine).
Ernstige gevallen van TEN
kunnen beter worden overgeplaatst naar een brandwondencentrum i.v.m. de betere
ervaring daar met het verbinden en met de pijnbestrijding.
Referenties
| 1. |
Dermatology Bolognia second edition, pp.
287-300. |
| 2. |
Pereira et al. Toxic epidermal necrolysis.
JAAD 2007; 56:181- 200. |
| 3. |
Chave et al. Toxic epidermal necrolysis:
current evidence, practical management and future directions. British
Journal of Dermatology 2005;153:241-253. |
| 4. |
Abood et al. Treatment strategies in Toxic
Epidermal Necrolysis Syndrome: Where are we at? Journal of Burn
Care & Research 2008;29:269-276. |
| 5. |
TEN - SJS protocol UMCG Groningen 2026.
PDF |
Author(s):Dave van der Zwaan. Dermatologist, Amsterdam UMC.