![Schurftmijt onder de microscoop (click on photo to enlarge) [source: www.huidziekten.nl] Schurftmijt onder de microscoop](../../../images/schurftmijt-1w.jpg) |
![Schurftmijt met ei in onderlichaam en een hele sliert eieren in verschillende stadia van ontwikkeling er achteraan (click on photo to enlarge) [source: www.huidziekten.nl] Schurftmijt met ei in onderlichaam en een hele sliert eieren in verschillende stadia van ontwikkeling er achteraan](../../../images/schurftmijt-2w.jpg) |
Schurftmijt onder de microscoop (KOH-preparaat) |
Schurftmijt met ei in onderlichaam en een hele sliert eieren er achteraan. |
Schurft (scabies) is een infectie van de huid door
de schurftmijt (
Sarcoptes scabiei). De mijt leeft in de hoornlaag tussen
het stratum corneum en stratum granulosum. Het is een obligaat humane parasiet,
die alleen op de mens kan leven. Er bestaan ook animale scabies soorten (honden,
varkens), deze overleven niet op de mens. De vrouwelijke schurftmijt is ca.
0.4 x 0.3 mm, het mannetje is 0.2 x 0.15 mm. Het vrouwtje graaft gangetjes met
behulp van speekselenzymen die de hoornlaag en ander celmateriaal oplost, eet
dit materiaal op, en laat uitwerpselen en eieren achter in de gang. De enzymen,
uitwerpselen en parasitaire antigenen veroorzaken via type I en type IV allergische
reacties de heftige jeuk. Gemiddeld zijn er bij een besmetting 5-15 mijten aanwezig
op het lichaam die per dag 0.5-5 mm gang kunnen graven, maximaal 15 mm. Bij
scabies norvegica (
crusted scabies)
kunnen honderden tot duizenden mijten actief zijn. Het vrouwtje wordt bevrucht
in de gang, legt in haar 4-6 weken durende leven 40-60 eitjes. Uit de eitjes
komt een 6-potige mini mijt die in dit stadium larve wordt genoemd. De larve
leeft op de huid (is in dit stadium door hygiëne (douchen) te verwijderen),
voedt zich door kleine gaatjes te maken, en ontwikkelt zich via het nymfe stadium
in 14-17 dagen tot een volwassen mijt.
Besmetting:De mijten kunnen van de ene mens op
de andere overgaan door lichamelijk contact (langer dan 15 minuten), via sexueel
contact, als SOA, via besmet beddengoed of ondergoed of andere kleding, en bij
scabies Norvegica (crustosa) kan het ook via rondslingerende huidschilfers.
Na besmetting duurt het circa 2-6 weken, soms 10 voordat de verschijnselen ontstaan.
Twee weken na het oplopen is men zelf besmettelijk voor anderen. Na behandeling
is men niet meer besmettelijk voor anderen. Bij een normale afweer en goede
persoonlijke hygiëne raakt men niet zo makkelijk besmet. Besmetting vindt vooral
plaats bij reizigers (vooral na bezoek aan arme landen, Tropen, goedkope hotel),
personen met wisselende seksuele contacten, personeel en bewoners van (zorg)instellingen,
dak- en thuislozen, en personen met een afweerstoornis (HIV, cytostatica, immunosuppressiva
en lokale corticosteroïden).
Klinisch beeld gewone scabies:
Scabies veroorzaakt vooral jeuk, en daarnaast een polymorf beeld van papels,
papulovesikels, pustels, crustae, krabeffecten en gangetjes. Secundair kan eczeem
en infectie ontstaan. De jeuk kan lokaal zijn rond de afwijkingen, of gegeneraliseerd
en is vooral 's nachts op zijn hevigst. Er kan, naast krabeffecten, een symmetrische
jeukende papuleuze dermatitis ontstaan die geen relatie heeft met de locatie
van de mijten. In het klassieke geval zijn er
gangetjes
te vinden tussen de vingers, aan de zijkanten en plooien van de handpalm, de
buigzijde van de pols, strekzijde van de ellebogen, de mediale voetrand, enkel
en wreef. Ze zien er uit als smalle, gekronkelde, iets verheven, tot maximaal
15 mm lange, bruine laesies. Aan het begin ervan kan de huid wat schilferen,
aan de andere kant waar de mijt zich bevindt, kan een papeltje of blaasje zichtbaar
zijn. De gangetjes kunnen echter ook ontbreken.
Ook op andere plekken kan
scabies voorkomen, maar dan meer als een erythematopapuleuze huidafwijking met
krabeffecten, vooral rond de navel, de flanken, genitaliën, okselplooi, borsten,
rond de tepels (van de vrouw), op de billen, dijen en de strekzijde van ledematen.
De rug blijft veelal vrij. Bij volwassenen blijft meestal ook het hoofd vrij.
Personen die zich vaak en grondig wassen en douchen, vertonen vaak opmerkelijk
weinig verschijnselen. Nachtelijke jeuk en voorbijgaande uitslag zijn soms de
enige gerapporteerde klachten. Na behandeling kan de jeuk nog 2-4 weken aanhouden
(post-scabies jeuk).
Scabies crustosa (Norvegica):
Dit is een zeer besmettelijke vorm van verwaarloosde, soms niet herkende scabies
(ooit in Noorwegen voor het eerst beschreven) die voorkomt bij bepaalde groepen
patiënten, vooral bij personen met een afweerstoornis (AIDS, HTLV-1, maligniteiten,
immunosuppresiva, chemotherapie). Ook bij patiënten met een neuropathie, immobiliteit,
paresen en bij hoogbejaarden in zorginstellingen. Het wordt gekenmerkt door
dikke erythematosquameuze en hyperkeratotisch witte of geelbruine plaques met
fissuren en crustae, soms met verruceus aspect. Ook papels en nodi op met name
de extremiteiten. Er is een verhoogde kans op secundaire impetiginisatie. Soms
zijn er juist opvallend weinig huidafwijkingen en blijft het klinische beeld
beperkt tot een wat droge, schilferige huid en/of lijkt het op een eczemateuze
aandoening. Bij gebruik van lokale of systemische corticosteroïden kan het beeld
nog atypischer worden (scabies incognito). De anders zo uitgesproken jeuk kan
verminderd of zelfs afwezig zijn. De mijten kunnen ook voorkomen op de behaarde
hoofdhuid, handpalmen en voetzolen. De huidschilfers zitten vol mijten en jongere
mijtenstadia. Deze schilfers zijn zeer besmettelijk.
Scabies crustosa kan overgaan in erytrodermie.
Complicaties:Secundaire bacteriële infectie (S.
aureus en/of Str. pyogenes), furunculose, cellulitis. Nageldystrofie bij scabies
crustosa. Grote nodi op de nates, of in de liezen of oksels. Urticaria.
DD: atopisch en ander eczeem, geneesmiddelreacties, prurigo
nodularis, acropustulosis infantum, pyodermie, dermatitis herpetiformis, pediculosis
pubis en corporis, zoönotische scabies, Cheyletiella dermatitis en overige jeukende
dermatosen.
Diagnostiek:Preparaat maken: zoek een
papeltje of gangetje op tussen de vingers of op een andere voorkeurslokalisatie.
Snij met een mesje de bovenste laag van de huid af. De mijt leeft in de hoornlaag,
maar om een goed en groot genoeg preparaat te krijgen is het beter om iets van
de epidermis mee te nemen. Breng het in KOH onder een dekglaasje. Zoeken naar
mijten, gangetjes en eieren. Een andere methode is de dermatoscopie, waarbij
kleine zwarte driehoekjes (V-vormen) kunnen worden gezien, overeenkomend met
de projectie van de voorpootjes van de volwassen mijt. Het maken van een goed
KOH preparaat voor scabies is niet eenvoudig. Als de mijt niet gezien kan worden,
maar de verdenking is erg sterk, dan mag toch een zekerheidsbehandeling worden
gegeven. Er bestaat sinds 2015 ook een PCR voor scabies, met een sensitiviteit
van 87%. Dit kan bij twijfel worden ingezet. Huidschraapsel van verdachte plekken
droog in een steriele container toesturen aan Stichting Medische Microbiologie,
Bravis Ziekenhuis, Boerhavelaan 25, 4708 AE Roosendaal. Na een succesvolle behandeling
is de PCR nog lang positief (minimaal 4 weken). Het niet kunnen aantonen van
mijten met KOH-preparaat, dermatoscoop of PCR sluit een infectie niet uit. Het
is legitiem om bij verdenking op schurft een zekerheidsbehandeling in te zetten.
![Scabies mijt in het KOH preparaat, artistiek gefotografeerd door dr. L.L.A. Lecluse (click on photo to enlarge) [source: www.huidziekten.nl] Scabies mijten in het KOH preparaat](../../../images/schurftmijtKOH1z.jpg) |
![Scabies mijten in het KOH preparaat (click on photo to enlarge) [source: www.huidziekten.nl] Scabies mijten in het KOH preparaat](../../../images/schurftmijtKOH2z.jpg) |
![Scabies mijten in het KOH preparaat (click on photo to enlarge) [source: www.huidziekten.nl] Scabies mijten in het KOH preparaat](../../../images/schurftmijtKOH3z.jpg) |
| volwassen
schurftmijt |
volwassen
schurftmijt |
eierleggend
vrouwtje |
![Scabies mijten in het KOH preparaat (click on photo to enlarge) [source: www.huidziekten.nl] Scabies mijten in het KOH preparaat](../../../images/schurftmijtKOH4z.jpg) |
![Scabies mijten in het KOH preparaat (click on photo to enlarge) [source: www.huidziekten.nl] Scabies mijten in het KOH preparaat](../../../images/schurftmijtKOH5z.jpg) |
![Delta sign (click on photo to enlarge) [source: www.huidziekten.nl] Delta sign](../../../images/scabies-delta-sign-4z.jpg) |
| 2 jonge
mijten nog in het ei |
serie
eieren, sommige leeg |
gangetje (dermatoscopie) |
![Delta sign (click on photo to enlarge) [source: www.huidziekten.nl] Delta sign](../../../images/scabies-delta-sign-1z.jpg) |
![Delta sign (click on photo to enlarge) [source: www.huidziekten.nl] Delta sign](../../../images/scabies-delta-sign-2z.jpg) |
![Delta sign (click on photo to enlarge) [source: www.huidziekten.nl] Delta sign](../../../images/scabies-delta-sign-3z.jpg) |
| scabies
handpalm |
gangetje |
delta
sign (dermatoscopie) |

Scabiesmijt (levend) gefilmd door de microscoop heen (met dank aan M. Appelman)

Scabiesmijt (levend) gefilmd door de microscoop heen (met dank aan D. van der
Zwaan)
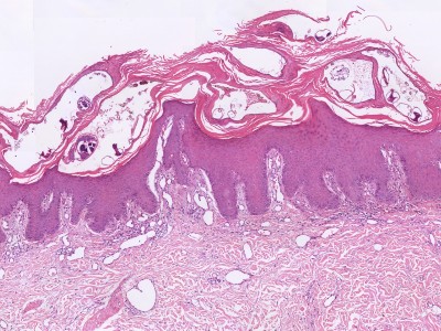
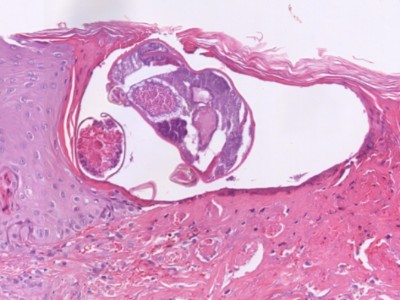
PA:Het is niet gebruikelijk om een
biopt af te nemen bij scabies, maar soms wordt het wel gedaan omdat het
beeld kan lijken op vele andere jeukende huidziekten. Met enig geluk kan in
de hoornlaag de schurftmijt of delen daarvan worden gezien. Vaak wordt ook
een ontstekingsinfiltraat met veel eosinofielen gezien. In de coupes
hieronder worden geen of weinig eosinofielen gezien, maar wel delen van de
mijt in de hoornlaag.
![Histologie scabies (click on photo to enlarge) [source: Kevin Kwee / Afdeling Pathologie MUMC] Histologie scabies](../../../pacoupes/thumbnails/scabies-1.jpg) |
![Histologie scabies (click on photo to enlarge) [source: Kevin Kwee / Afdeling Pathologie MUMC] Histologie scabies](../../../pacoupes/thumbnails/scabies-2.jpg) |
|
ingescande coupe (zoom) |
ingescande coupe (zoom) |
Bron
hoge resolutie PA-foto's: Kevin Kwee en Afdeling Pathologie MUMC. Klik
op de afbeelding om in te zoomen.
Therapie:De therapie bestaat uit:
1. Gelijktijdige behandeling van de patiënt en alle contactpersonen met een
scabicide middel
2. Wassen of luchten van kleding en beddengoed van patiënt
en contactpersonen (en goed schoonmaken bij scabies crustosa).
3. Bestrijden
van de jeuk (antihistaminica, mentholpoeder, vetcrèmes).
Zie ook de
folders van het RIVM:
-
Stappenplan aanpak schurft met permetrinecrème-
Stappenplan aanpak schurft met ivermectine tablettenDaarnaast is
het gebruikelijk om aan contactopsporing te doen, probeer de bron te achterhalen
en ga na of er personen in de omgeving zijn die ook besmet kunnen zijn geraakt.
Probeer al deze personen te waarschuwen en te behandelen.
In Nederland
zijn er drie middelen verkrijgbaar:
permetrine (Loxazol)
5%-crème,
benzylbenzoaatsmeersel 25% FNA, en
ivermectine (Stromectol), tabletten 3 mg. Alternatieve
behandelingen zijn malathion 0.5% lotion, ivermectine 1% lotion, zwavel crème
of zalf in concentraties tussen 6 en 33% aangebracht op 3 achtereenvolgende
dagen, pyrethrine en lindaan. Lindaan is in 2007 van de markt gehaald. In de
VS is lindaan nog wel verkrijgbaar maar wordt niet geadviseerd als eerste keus
vanwege de neurotoxiciteit en schadelijkheid voor het milieu. Malathion
lotion is uit de handel. Permetrine is
een effectief middel, bij correct gebruik is het minstens zo effectief als oraal
ivermectine. Er is één gerandomizeerde placebo gecontroleerde studie (met placebo
crème en placebo tabletten) uitgevoerd (Sharma et al.), met als conclusie
dat beide behandelingen even effectief waren, maar dat permetrine sneller werkt
(na 1 week al verbetering).
Goed smeren is essentieel voor de effectiviteit.
Het probleem is dat het vaak niet goed gedaan wordt. Er zijn studies
verricht waarbij patiënten de opdracht kregen om zich helemaal in te smeren,
en dit werd gecontroleerd met behulp van een marker in de crème. Het bleek
dat hele stukken, bijvoorbeeld de achterkant van de bovenbenen niet
ingesmeerd waren. Ook moet het onder de nagels worden aangebracht. En wie na
WC bezoek zijn handen heeft gewassen moet het opnieuw aanbrengen. Benzylbenzoaat
werd oorspronkelijk beschouwd als minder effectief, en moet vaker herhaald worden,
maar er is ook een RCT gepubliceerd in 2023 (Meyersburg et al.) met als conclusie dat
benzylbenzoaat veel beter werkt dan permetrine. Ivermectine
oraal is ook effectief; na een éénmalige dosis ivermectine is waarschijnlijk >95%
van de gewone scabiespatiënten genezen. Vanwege het gebruiksgemak en de relatieve
veiligheid (weinig melding van bijwerkingen tot nu toe) heeft ivermectine de
voorkeur gekregen. Helaas werd het in Nederland jarenlang niet vergoed voor
scabies, maar sinds 2022 wel. In hardnekkige gevallen en bij
scabies Norvegica (scabies crustosa) kan
ivermectine in combinatie met permetrine worden gegeven. Bij scabies crustosa
moeten ook personen die in dezelfde ruimte zijn geweest worden meebehandeld.
Een patiënt met scabies crustosa dient bij voorkeur geïsoleerd te worden verpleegd
(eenpersoons kamer) tot hij / zij genezen is.
Bij gezonde volwassenen
met normale scabies en asymptomatische contacten is éénmalige behandeling met
permetrine of ivermectine gecombineerd met het uitvoeren van was- en luchtvoorschriften
meestal genoeg. Succespercentages liggen tussen de 70 en 95%. Benzylbenzoaat
heeft als het met 24 uur tussenpoos drie maal gesmeerd wordt een vergelijkbaar
effect. Herhaling van behandeling (binnen 2 weken) verhoogt het succespercentage.
De belangrijkste oorzaak van therapie falen is herbesmetting bij patiënten die
de opdrachten (schoonmaken, etc.) niet goed hebben uitgevoerd of het niet begrepen
hebben, of zich niet helemaal goed hebben ingesmeerd met permetrine, of zijn
herbesmet door een niet meebehandelde partner of gezinslid. Ivermectine doodt
mogelijk niet alle eitjes en wordt daarom ook herhaald na 1 week. In de internationale
richtlijnen (CDC, VS en NHS, UK en in de nieuwe Europese richtlijn) wordt geadviseerd
om de behandeling, welke ook, altijd na 7 dagen te herhalen. Dit verhoogt
het succespercentage.
IvermectineR/ ivermectine (Stromectol), tabletten 3 mg.

De dosering is voor de gemiddelde volwassene éénmalig 12 of 15 mg, en voor kinderen
200 μg/kg éénmalig. Herhaal deze behandeling na 1 week.

Volgens de bijsluiter mag het niet worden gebruikt in de zwangerschap en bij
kinderen onder de 15 kg en/of < 5 jaar, omdat er te weinig bekend is over de veiligheid.
Er zijn aanwijzingen uit recente studies (zie verder) dat kleine kinderen
het toch gewoon mogen gebruiken.
Het is het beste om precies op lichaamsgewicht te doseren volgens onderstaand
schema:
15-24 kg: 1 tab (3 mg)
25-35 kg: 2 tab (6 mg)
36-50 kg: 3 tab
(9 mg)
51-65 kg: 4 tab (12 mg)
66-79 kg: 5 tab (15 mg)
> 80 kg:
6 tab (18 mg)
PermetrineR/ permetrine 5% crème (Loxazol).

Tube 30 g. Hoeveelheid: kinderen > 12 en volwassen 1 tube (30g), kinderen
5-12 jr: 1/2 tube (15 g), 1-5 jaar: 1/4 tube (10 g), 2 mnd-1 jr: 1/8 tube (5
g). De crème aanbrengen op het hele lichaam inclusief hoofdhuid, liezen, navel,
genitaliën, tussen de vingers en tenen en onder de nagels. De huid moet schoon
en droog zijn en afgekoeld. Na het insmeren schone kleding aantrekken. De crème
kan het beste 's avonds worden aangebracht dan kan het 's nachts intrekken gedurende
12 uur. Daarna de huid grondig wassen. Herhaal deze behandeling na 1 week
(7-10 dagen).

Permetrine kan veilig worden gebruikt tijdens de zwangerschap en bij het geven
van borstvoeding.

Ook kinderen vanaf 2 maanden oud mogen het gebruiken.
R/ ivermectine
+ permetrine, herhalen na 1 week. Alle contacten gelijktijdig meebehandelen.
Vanwege de hardnekkigheid van schurft wordt dit dubbele schema van lokaal
plus systemisch behandelen steeds vaker gebruikt.
De GGD
heeft een duidelijke folders ontwikkeld (
stappenplan
aanpak schurft met permetrine en
stappenplan aanpak schurft met ivermectine) waarin wordt uitgelegd hoe je
permetrine of ivermectine moet gebruiken en welke andere maatregelen er nodig zijn binnen
het gezin, of in een studentenhuis, om van de schurftinfectie af te komen.
BenzylbenzoaatR/ Benzylbenzoaat 25% smeersel FNA,
flacon à 250 ml (60 g per keer). Op 2 opeenvolgende avonden aanbrengen, na 1 week herhalen, ook op 2 opeenvolgende avonden.

Bij overgevoeligheid voor permetrine of bijwerkingen van ivermectine, en in de zwangerschap of tijdens lactatie.
Er circuleren verschillende behandelschema’s voor benzylbenzoaat smeersel. In de oorspronkelijke FNA tekst werd geadviseerd om het op 3 achtereenvolgende avonden toe te passen, waarvoor 150-250 ml per persoon nodig is. Dit schema is ook gebruikt in een studie van Meyersburg et al. uit 2023; zij vergeleken benzylbenzoaat smeersel met permetrine crème, dat ook op 3 achtereenvolgende avonden werd aangebracht (niet volgens het voorschrift voor permetrine). Voor 1 dag behandelen werd 60 gram crème of smeersel verstrekt, wat in alle gevallen genoeg was. Dermatoscopisch gecontroleerde genezing werd gezien bij 27% in de permetrine groep en bij 87% in de benzylbenzoaat groep. Permetrine crème gaf geen bijwerkingen, benzylbenzoaat smeersel veroorzaakte een branderige sensatie bij 43% van de patiënten. De conclusie was dat benzylbenzoaat veel beter werkt dan permetrine, en misschien het eerste keus middel zou moeten zijn.
Maar in de Europese scabies richtlijn uit 2017 van Salavastru et al. wordt geadviseerd om benzylbenzoaat smeersel op 2 opeenvolgende dagen aan te brengen, en dit te herhalen na 1 week (dus op dag 1, 2, 8 en 9). Ook het RIVM adviseert dit schema in hun scabies richtlijn, en ook het Farmacotherapeutisch kompas adviseert dit schema.
Gebruiksaanwijzing benzylbenzoaat smeersel:
| • |
Het advies is om benzylbenzoaat smeersel ’s avonds aan te
brengen, zodat het ’s nachts goed kan intrekken. |
| • |
Knip vooraf de nagels kort (de mijten kunnen ook onder de nagels
zitten). |
| • |
Schud vóór gebruik de fles goed om. |
| • |
Breng aan op een droge, schone en koele huid; douchen voor de
behandeling is toegestaan, wacht dan echter 1 uur met het insmeren
om de huid goed te laten afkoelen om te voorkomen dat benzylbenzoaat
teveel wordt opgenomen. |
| • |
Na het insmeren schone kleding aantrekken, alle gedragen kleding
moet in de was. Verschoon ook de lakens, kussensloop en dekbedhoes.
Draai de matras om indien mogelijk. Was alles op 60 graden (minstens
50 °C). Wat niet zo heet gewassen mag worden laten stomen, of een
week lang bewaren in een afgesloten plastic zak. |
| • |
De volgende avond het smeersel opnieuw aanbrengen, zonder
tussendoor te douchen. Ook dit weer 24 uur laten intrekken. Pas
daarna het gehele lichaam wassen met water en zeep. Gedurende 2
dagen kan de huid dus niet gewassen worden. Als het nodig is om de
handen of andere lichaamsdelen te wassen, dan die daarna meteen weer
insmeren. |
| • |
Bij volwassenen en kinderen > 12 jaar aanbrengen op het hele
lichaam vanaf de kaakrand tot onder de voetzolen, inclusief
handpalmen. Hoofd en gezicht niet behandelen tenzij daar
scabiësplekken aanwezig zijn. Bij kinderen < 12 jaar en kwetsbare
ouderen ook de hoofdhuid, het gezicht, de wenkbrauwen en oren
insmeren. |
| • |
Besteed bij het aanbrengen speciale aandacht aan plaatsen tussen
de vingers en tenen, polsen, oksels, ellebogen, knieholten,
uitwendige genitaliën, billen, enkels, wenkbrauwen (goed insmeren)
en onder de nagels van vingers en tenen (gebruik hiervoor eventueel
een zachte tandenborstel). Smeer niet te dicht rond ogen en mond. |
| • |
Breng opnieuw aan na tussentijds handen wassen, toiletbezoek,
verwisselen van luiers, menstruatieproducten of
incontinentiemateriaal. |
| • |
Gebruik tijdens het inwerken van het smeersel geen
schoonheidsproducten (zoals make-up) en crèmes (zoals bodylotion). |
| • |
Trek bij baby's, en indien nodig bij jonge kinderen en kwetsbare
ouderen, sokjes of handschoenen aan om huid-mondcontact te
voorkomen. |
| • |
Laat indien mogelijk iemand anders met wegwerphandschoenen en
kleding met lange mouwen aan, de rug insmeren. Het is heel
belangrijk dat geen enkel stukje huid wordt overgeslagen. |
| • |
Na een week de behandeling herhalen (opnieuw op 2 opeenvolgende
avonden gehele huid insmeren). |
| • |
Partners, seksuele contacten, gezinsleden, huisgenoten moeten tegelijkertijd worden meebehandeld volgens hetzelfde schema, of met een ander middel tegen schurft zoals permetrine crème of ivermectine tabletten. Ook zij moeten na een week nog een keer worden behandeld. Bij een groepsbehandeling binnen instellingen is het voor mensen die geen klachten hebben niet nodig om de behandeling na een week nog een keer te herhalen. |
ZwavelR/ 10-20% sulfur praecipitatum in vaseline
paraffine aa, aanbrengen op 3 opeenvolgende dagen. Geen voorkeursbehandeling,
zwavel is een oud middel, en het is een magistraal recept, maar het werkt wel. Kan ook als dagelijkse ondersteunende behandeling worden gebruikt
bij ernstige scabies norvegica met dikke schilferlagen.
Aanvullende
maatregel bij alle behandelingen:Alle gedragen kleding en beddegoed
wassen op minstens 50 °C, of laten stomen, of opbergen in een afgesloten plastic
zak gedurende 1 week. Mogelijk besmette gezinsleden tegelijkertijd behandelen.
Zwangeren en lacterenden:In (inter)nationale richtlijnen
wordt toch gekozen voor permetrine als eerste keus bij zwangerschap en lactatie.
Permetrine wordt nauwelijks geresorbeerd door de huid. Bij dierproeven is het
niet schadelijk gebleken. In de bijsluiter staat dat het middel niet zonder
consultatie van een arts door zwangeren en lacterenden moet worden gebruikt,
maar er zijn voldoende studies en richtlijnen waarin wordt gesteld dat permetrine
veilig is tijdens zwangerschap en lactatie. Leg dit uit aan een zwangere patiënte
anders kan het lezen van de bijsluiter ongerustheid veroorzaken. Benzylbenzoaat
is veilig gebleken in de zwangerschap en tijdens lactatie. Ivermectine is gecontra-indiceerd bij zwangerschap en
lactatie. Dit is gebaseerd op proefdierstudies waarbij teratogene effecten
zijn gezien. De doseringen die daarbij
zijn gebruikt liggen 20-600 keer hoger dan de dosis voor schurft bij mensen. In Afrika
zijn miljoenen doses ivermectine verstrekt aan de bevolking om worminfecties
te bestrijden, daaronder waren ook honderden zwangeren. In een studie over
893 vrouwen die ivermectine hadden gekregen tijdens de zwangerschap waren er
geen gevallen van neonatale sterfte, ziekten bij de moeder, voortijdige
geboorten, of laag geboortegewicht. Het risico op congenitale vruchtdood of
congenitale afwijkingen was licht verhoogd (odds ratio 1.15 [95% CI 0.75-1.78]
respectievelijk 1.69 [95% CI 0.83-3.41]), maar niet significant.
Kinderen:Permetrine heeft bij kinderen
de voorkeur. Benzylbenzoaat is ook veilig. Ivermectine
is ook mogelijk en een goede keuze bij hardnekkige scabies. Ivermectine is
niet geregistreerd voor kinderen < 15 kg of < 5 jaar omdat het op het
moment van registratie nog onvoldoende was onderzocht, maar soms is
het toch nodig om het te geven. Er zijn inmiddels wel gegevens: in een
studie van M. Levy uit 2020 bij 170 kinderen < 15 kg of < 5 jaar werden
slechts bij 7 kinderen (4%) bijwerkingen gezien, en die waren niet ernstig.
De effectiviteit in deze studie was circa 85% bij 200 μg/kg en herhalen na 1
week (binnen 10 dagen). Orale behandeling met ivermectine is mogelijk bij kinderen vanaf 4 kg
of vanaf de leeftijd van 1 maand. Het Kinderformularium van het NKFK
vermeldt voor kinderen van 1 maand tot 18 jaar ook de dosering van 200
μg/kg. Overleg zo nodig met een kinderarts.
Bestrijding van de mijt:Schurftmijten overleven slecht
buiten de mens, hooguit 3 dagen (72 uur) bij kamertemperatuur. Bij hoge luchtvochtigheid
en lage temperatuur soms een week. Jonge mijten kunnen het ook een week overleven.
Blootstelling aan hoge temperatuur (50 °C) doodt de mijt binnen 10 minuten.
Het wassen van beddengoed en kleding bij 60 °C is dus effectief. Alles wat de
afgelopen 3 dagen gedragen is of waarop gelegen is in de was doen. Wat niet
zo heet gewassen mag worden (bijvoorbeeld knuffeldieren) kan men een week in
een goed afgesloten plastic zak doen, of 24 uur in een goed afgesloten plastic
zak in een diepvriezer (-18 °C). Goed luchten (drogen) bij kamertemperatuur
gedurende een week kan ook. Er zijn aanwijzingen dat de schurftmijt ook
tijdelijk kan overleven in de vacht van huisdieren of in stoffen bekleding
van meubilair, en in spreien op het bed in hotel- en logeerkamers die niet
gewassen worden. Huisgenoten moeten eigen handdoeken en beddengoed
gebruiken. Bij scabies Norvegica moeten alle oppervlakten goed gereinigd worden
(goed stofzuigen en schoonmaken). Als het kan de ruimten waarin een Norvegica
patiënt heeft verbleven eerst een week niet betreden en dan pas schoonmaken
(dan zijn de mijten overleden).
Instructie aan de patiënt:
Geef de patiënt duidelijke instructies mee en liefst ook een folder.
De essentie
staat hieronder samengevat:
| Behandeling met permetrine crème: |
| 1. |
Ik waarschuw al mijn huisgenoten
en anderen die mogelijk besmet kunnen zijn |
| 2. |
Ik haal genoeg crème op
om iedereen tegelijk te behandelen |
| 3. |
Ik doe alle
kleren die ik de afgelopen 3 dagen heb gedragen, en het beddengoed
in de was op minstens 50 graden. |
|
Wat niet zo heet gewassen
mag worden stop ik een week lang in een afgesloten vuilniszak. |
|
Ik smeer mij helemaal van
top tot teen in met de crème (niet douchen van te voren). |
|
Daarna trek ik schone kleren
aan. 's Avonds stap ik in een schoon bed. |
| 4. |
De volgende
ochtend (na 8-12 uur inwerken) spoel ik de crème onder de douche
af en trek opnieuw schone kleren aan. |
| 5. |
Ik doe opnieuw al het beddengoed
en gedragen kleding in de was op minstens 50 graden. Als het
dekbed of de dekens niet zo heet gewassen mogen worden dan hang
ik ze te luchten (een week lang). Ik draai de matras om en maak
het bed niet op, dat doe ik 's avonds pas. |
| 6. |
Na een week smeer ik mij
nog een keer helemaal van top tot teen in met de crème. |
|
Daarna trek ik schone kleren
aan en stap in een schoon bed. |
|
| Behandeling met ivermectine tabletten: |
| 1. |
Ik waarschuw al mijn huisgenoten
en anderen die mogelijk besmet kunnen zijn |
| 2. |
Ik haal genoeg
tabletten op om iedereen tegelijk te behandelen |
| 3. |
Ik neem de tabletten in,
doe alle kleren die ik de afgelopen 3 dagen heb gedragen, en
het beddengoed in de was op 60 graden, en neem een douche. |
|
Wat niet zo heet gewassen
mag worden stop ik een week lang in een afgesloten vuilniszak. |
|
Daarna trek ik schone kleren
aan. 's Avonds stap ik in een schoon bed. |
| 4. |
De volgende
ochtend doe ik opnieuw al het beddengoed en gedragen kleding
in de was op 60 graden. Als het dekbed of de dekens niet zo
heet gewassen mogen worden dan hang ik ze te luchten (een week
lang). Ik draai de matras om en maak het bed niet op, dat doe
ik 's avonds pas. |
| 5. |
24 uur na het innemen van
de tabletten douche ik opnieuw en trek daarna opnieuw schone
kleren aan. |
| 6. |
Na een week neem ik nog
een keer de tabletten in. |
|
Daarna trek ik schone kleren
aan en stap in een schoon bed. |
|
Referenties
| 1. |
Salavastru CM, Chosidow O, Boffa MJ, Janier
M, Tiplica GS. European guideline for the management of scabies.
Eur Acad Dermatol Venereol 2017 Aug;31(8):1248-1253.
PDF |
| 2. |
Scott GR, Chosidow O, IUSTI/WHO. European
guideline for the management of scabies, 2010. Int J STD AIDS 2011;
22:301-303. |
| 3. |
CDC Resources for Health Professionals. Classic
scabies. 2017 |
| 4. |
Leone AP. Scabies and pediculosis pubis:
an update of treatment regimens and general review. Clin Infect
Dis 2007;44:S153-159. |
| 5. |
Chosidow O. Clinical practices. Scabies.
N Engl J Med 2006;354:1718. |
| 6. |
Schlesinger L, Oelrich DM, Tyring SK. Crusted
(Norwegian) scabies in patients with AIDS: the range of clinical
presentations. South Med J 1994;87:352-356. |
| 7. |
Goldust M, Rezaee E. Comparative trial of
oral ivermectin versus sulfur 8% ointment for the treatment of scabies.
J Cutan Med Surg 2013;17:299-300. |
| 8. |
Chhaiya SB, Patel VJ, Dave JN, Mehta DS,
Shah HA. Comparative efficacy and safety of topical permethrin,
topical ivermectin, and oral ivermectin in patients of uncomplicated
scabies. Indian J Dermatol Venereol Leprol 2012;78:605-610. |
| 9. |
Sharma R, Singal A. Topical permethrin and
oral ivermectin in the management of scabies: A prospective, randomized,
double blind, controlled study. Indian J Dermatol Venereol Leprol
2011;77:581-586. |
| 10. |
Panahi Y, Poursaleh Z, Goldust M. The efficacy
of topical and oral ivermectin in the treatment of human scabies.
Ann Parasitol 2015;61:11-16. |
| 11. |
Chouela EN, Abelda~no AM, Pellerano G et
al. Equivalent therapeutic efficacy and safety of ivermectin and
lindane in the treatment of human scabies. Arch Dermatol 1999;135:651. |
| 12. |
Mytton OT, McGready R, Lee SJ et al. Safety
of benzyl benzoate lotion and permethrin in pregnancy: a retrospective
matched cohort study. Br J Obstet Gynecol 2007;114:582-587. |
| 13. |
Porto I. Antiparasitic drugs and lactation:
focus on anthelmintics, scabicides, and pediculosis. J Hum Lact
2003;19:421-425. |
| 14. |
Briggs GG, Freeman RK, Yaffe SL. Permethrin.
In: Drugs in pregnancy and lactation (Briggs GG, Freeman RK, Yaffe
SL), 9th ed. Lippincott Williams and Wilkens a Wolters Kluwer business,
Baltimore, 2011: 1145-1146. |
| 15. |
Strong M, Johnstone PW. Interventions for
treating scabies (update). Cochrane Database Syst Rev 2010:CD000320. |
| 16. |
Usha V, Gopalakrishnan Nair TV. A comparative
study of oral ivermectin and topical permethrin cream in the treatment
of scabies. J Am Acad Dermatol 2000;42 236-240. |
| 17. |
Currie BJ, McCarthy JS. Permethrin and ivermectin
for scabies. N Engl J Med 2010;362:717-725. |
| 18. |
Hoep YE, Heinze ZCM, Garritsen FM, Sigurdsson
V. Scabiës: ivermectine oraal of permetrine lokaal? Ned Tijdschr
Dermatol Venereol 2018;28:22-27. |
| 19. |
Ekmekci TR, Koslu A.
Erythrodermic crusted scabies in a young healthy man.
Dermatology Online Journal 2006;12(6):23. |
| 20. |
Levy M, Martin L, Bursztejn AC, Chiaverini C, Miquel J, Mahé E, Maruani A, Boralevi F; Groupe de Recherche de la Société Française de Dermatologie Pédiatrique. Ivermectin safety in infants and children under 15 kg treated for scabies: a multicentric observational study. Br J Dermatol 2020;182(4):1003-1006. |
| 21. |
Erber AC, Ariyo E, Olliaro P, Nicolas P, Chaccour C, Colebunders R. Treatment of Pregnant Women with Ivermectin during Mass Drug Distribution: Time to Investigate Its Safety and Potential Benefits. Pathogens 2021;10(12):1588. |
| 22. |
Nicolas P, Maia MF, Bassat Q, Kobylinski KC, Monteiro W, Rabinovich NR, Menéndez C, Bardají A, Chaccour C. Safety of oral ivermectin during pregnancy: a systematic review and meta-analysis. Lancet Glob Health 2020;8(1):e92-e100. |
| 23. |
Meyersburg D, Hoellwerth M, Brandlmaier
M, Handisurya A, Kaiser A, Prodinger C, Bauer JW. Comparison of
topical permethrin 5% vs. benzyl benzoate 25% treatment in
scabies: a double-blinded randomized controlled trial. Br J
Dermatol 2024;190(4):486-491. |
Author(s):dr. Jan R. Mekkes. Dermatologist, Amsterdam UMC.