Contacteczeem kan worden onderverdeeld in
allergisch contacteczeem en
irritatief contacteczeem
(orthoergisch contact eczeem). Bij irritatief contact eczeem is er geen allergie
maar wordt het eczeem veroorzaakt door rechtstreekse irritatie van een agressieve
stof, bijvoorbeeld terpentine.
Bij allergisch contacteczeem is er een
type IV allergie ontstaan. Er zijn duizenden
chemicaliën
en plantaardige stoffen die een contactallergie kunnen opwekken. Meestal zijn
het kleine moleculen (< 500 kd), die makkelijk door de epidermis kunnen doordringen.
Bij atopisch eczeem is de huidbarrière verstoord, waarschijnlijk door een verminderde
hoeveelheid fillagrine in de epidermis. Hierdoor hebben atopisch eczeem patiënten
een verhoogd risico op het krijgen van contacteczeem.
Een contact eczeem
moet zich ontwikkelen. Dit kan binnen 10-14 dagen na eerste blootstelling aan
een allergeen. Eenmaal gesensibiliseerd kan het eczeem binnen enkele uren tot
dagen na contact met het allergeen ontstaan.
Pathogenese:
Het contactallergeen bindt zich aan Langerhans cellen die in de epidermis aanwezig
zijn. De Langerhans cellen presenteren het antigeen aan CD4+ T cellen (helper
T cellen). De Langerhans cellen kunnen vanuit de epidermis via de lymfbanen
naar de regionale lymfklieren migreren en daar het antigeen aanbieden. De T-lymfocyten
migreren naar de epidermis en veroorzaken een ontsteking. De lymfocyten (CD4+
CCR10+ memory T cells) blijven langdurig in de dermis aanwezig.
Illustratie:
www.hse.gov.uk (UK-Open Government License 3.0).
Klinisch beeld:variabel, in acute fase erytheem, oedeem,
vesikels, soms bullae, in chronische fase erythematosquameuze laesies. Het eczeem
ontstaat daar waar het contact met het allergeen was. Soms ontstaat een reactie
op afstand (ide reactie).
![eczema contactallergicum op laarzen (click on photo to enlarge) [source: www.huidziekten.nl] eczema contactallergicum op laarzen](../../../images/eczema-allergicum-laarzen-2z.jpg) |
![eczema contactallergicum op laarzen (click on photo to enlarge) [source: www.huidziekten.nl] eczema contactallergicum op laarzen](../../../images/eczema-allergicum-laarzen-1z.jpg) |
![contactallergisch eczeem (click on photo to enlarge) [source: www.huidziekten.nl] contactallergisch eczeem](../../../images/eczema-allergicum-1z.jpg) |
|
contacteczeem (laarzen) |
contacteczeem (laarzen) |
contacteczeem |
![contactallergisch eczeem (click on photo to enlarge) [source: www.huidziekten.nl] contactallergisch eczeem](../../../images/eczema-allergicum-nikkelz.jpg) |
![contactallergisch eczeem (click on photo to enlarge) [source: www.huidziekten.nl] contactallergisch eczeem](../../../images/eczema-allergicum-cosmeticaz.jpg) |
![contactallergisch eczeem (click on photo to enlarge) [source: www.huidziekten.nl] contactallergisch eczeem](../../../images/eczema-allergicum-pleistersz.jpg) |
| contacteczeem
(nikkel) |
contacteczeem
(cosmetica) |
contacteczeem
(pleisters) |
Diagnostiek:Soms een biopt. Een biopt differentieert
echter slecht tussen verschillende soorten eczeem.
Bij serieuze verdenking
op contact eczeem (de lokalisatie moet op logische wijze verklaard kunnen worden
door direct of indirect contact met een toegepast product) patiënt doorverwijzen
voor
allergologisch onderzoek. De patiënt
moet weten dat alle gebruikte producten moeten worden meegebracht, vooral alle
cosmetica (geef een folder mee).
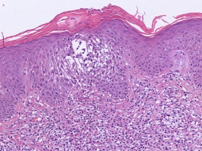
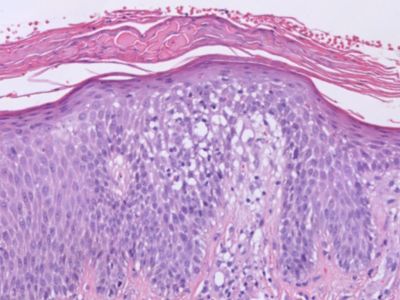
PA:
In de acute fase spongiose met lymfocyten, eosinofielen, en leukocyten, vaak
lymfocyten in de epidermis (exocytose), en perivasculaire infiltraten. In de chronische fase acanthose, lichenificatie,
en desquamatie, met hetzelfde ontstekingsinfiltraat in de dermis.
![Histologie eczeem (click on photo to enlarge) [source: Kevin Kwee / Afdeling Pathologie MUMC] Histologie eczeem](../../../pacoupes/thumbnails/eczeem-1.jpg) |
![Histologie eczeem (click on photo to enlarge) [source: Kevin Kwee / Afdeling Pathologie MUMC] Histologie eczeem](../../../pacoupes/thumbnails/eczeem-2.jpg) |
![Histologie eczeem (click on photo to enlarge) [source: Kevin Kwee / Afdeling Pathologie MUMC] Histologie eczeem](../../../pacoupes/thumbnails/eczeem-5.jpg) |
|
ingescande coupe (zoom) |
ingescande coupe (zoom) |
ingescande coupe (zoom) |
Bron
hoge resolutie PA-foto's: Kevin Kwee en Afdeling Pathologie MUMC. Klik
op de afbeelding om in te zoomen.
Therapie:In acute
fase (erytheem, oedeem, vesikels, soms bullae) indrogend met sterke (klasse
II-IV) corticosteroïd crèmes. Soms zijn vochtige omslagen zinvol.
Ook zinkoxidesmeersel
gecombineerd met corticosteroiden is in deze fase mogelijk. Later overschakelen
op vetcrèmes of zalf.
R/ Corticosteroïden klasse II-IV in indrogende basis.
Voor de handen klasse III-IV.
R/ Zinkoxide 10% in triamcinoloncrème FNA.
R/ Zinkoxidesmeersel en Betnelan of Dermovate crème 1:1 (aa). Dit is ook geschikt
bij contacteczeem bij ulcus cruris, kan onder een compressieverband worden aangebracht).
Het beste is om ter plaatse de twee componenten zelf door elkaar te mengen (60
g zinkoxide smeersel met 2 tubes van 30 g steroïd crème) omdat veel apothekers
geen magistrale therapie meer willen maken.
Zie ook:contactallergie voor:
cosmetica
formaldehyde
groenten en fruit
handschoenen
kappersprodukten
medicamenten
metalen
planten en bloemen
plastics en lijmen
polyurethaanpolymeren
rubber
latex
allergologisch onderzoek: verschillende testen
allergologisch onderzoek
(principe)
allergologisch onderzoek (achtergrondinformatie
plakproeven:
diverse standaardreeksen
Europese
standaardreeks
TRUETEST
36
Catalogus
Allergeaze reeksen
contact-allergenen
lijst, alfabetische volgorde
contact-allergenen
lijst, gerangschikt per standaardreeks
Author(s):dr. Jan R. Mekkes. Dermatologist, Amsterdam UMC.