Dermatitis herpetiformis (morbus Duhring) is een polymorfe
hevig jeukende eruptie met in het klassieke geval
heldere blaasjes (vesiculo-bulleuze elementen), erosies, en papels, vaak 'en
bouquet' (herpetiform) gerangschikt, op een erythemateuze ondergrond. Begint
meestal voor 40e jaar. Voorkeurslokalisaties: knieën, ellebogen, schoudergordel,
nates, regio sacralis, hoofdhuid. Door het krabben kan een beeld ontstaan met
erosies, crustae, geëxcorieerde prurigopapels, impetiginisatie, atrofie, hypo-
of hyperpigmentatie, lichenificatie of impetiginisatie. Geassocieerd met
glutengevoelige jejunumvlokatrofie (coeliakie). Circa
10% heeft gastrointestinale verschijnselen, bij 25% kan een (subklinisch) malabsorptiesyndroom
worden aangetoond en bij 70-90% kan jejunumvlokatrofie in een darmbiopt worden
gevonden. In het GALT gevormde IgA-antistoffen tegen voedselbestanddelen (immuuncomplexen)
slaan neer in de toppen van de papillen. IgA antistoffen tegen epidermaal transglutaminase,
tissue transglutaminase, gliadine en reticuline zijn vaak aanwezig. Kan samengaan
met andere auto-immuunziekten zoals thyroiditis (antimicrosomale antistoffen;
hyper- en hypothyreoidie), gastritis (anti-pariëtale cellen; atrofie, hypochloorhydrie),
SLE, RA, dermatomyositis, diabetes en myasthenia gravis. Mogelijk is er een
iets hogere kans op darmmaligniteiten en lymfomen uitgaande van de darm. Verergert
door jodium intake (via dieet, kaliumjodide, lokale jodium producten, gejodeerd
zout).
![Dermatitis herpetiformis, ziekte van Duhring (click on photo to enlarge) [source: www.huidziekten.nl] Dermatitis herpetiformis, ziekte van Duhring](../../../images/dermatitis-herpetiformis-1z.jpg) |
![Dermatitis herpetiformis, ziekte van Duhring (click on photo to enlarge) [source: www.huidziekten.nl] Dermatitis herpetiformis, ziekte van Duhring](../../../images/dermatitis-herpetiformis-2z.jpg) |
![Dermatitis herpetiformis, ziekte van Duhring (click on photo to enlarge) [source: www.huidziekten.nl] Dermatitis herpetiformis, ziekte van Duhring](../../../images/dermatitis-herpetiformis-3z.jpg) |
| dermatitis
herpetiformis |
dermatitis
herpetiformis |
dermatitis
herpetiformis |
![Dermatitis herpetiformis, ziekte van Duhring (click on photo to enlarge) [source: www.huidziekten.nl] Dermatitis herpetiformis, ziekte van Duhring](../../../images/dermatitis-herpetiformis-4z.jpg) |
![Dermatitis herpetiformis, ziekte van Duhring (click on photo to enlarge) [source: www.huidziekten.nl] Dermatitis herpetiformis, ziekte van Duhring](../../../images/dermatitis-herpetiformis-5z.jpg) |
![Dermatitis herpetiformis, ziekte van Duhring (click on photo to enlarge) [source: www.huidziekten.nl] Dermatitis herpetiformis, ziekte van Duhring](../../../images/dermatitis-herpetiformis-6z.jpg) |
| dermatitis
herpetiformis |
dermatitis
herpetiformis |
dermatitis
herpetiformis |
DD: blaarziekten,
m.n. lineaire IgA dermatose, pemphigus vulgaris,
EEM,
Sweet syndroom,
Sneddon-Wilkinson, en bij geëxcorieerde
papels tevens
prurigo nodularis,
prurigo nno,
atopisch eczeem,
scabies,
m. Grover.
Diagnostiek: Routine PA lesionale huid (subepidermale
microabcesjes, steriel, vrij veel eosinofielen) en IF van gezonde (bij voorkeur
perilesionale) huid. In de lesionale huid kan IgA ontbreken door afbraak door
neutrofiele granulocyten. Bij ontbreken huidafwijkingen biopt van de billen
afnemen. IF: deposities van IgA in de dermale papillen, bij 90% granulair patroon,
bij 10% lineair patroon; vaak tevens complement in de papillaire dermis. Lab:
IgA antistoffen tegen epidermaal transglutaminase (indien beschikbaar), tissue
transglutaminase, endomysium, en gliadine. Kan o.a bepaald worden bij
Sanquin Diagnostiek (coeliakie
screening, formulier
immunodiagnostiek).
IgA antistoffen tegen epidermaal transglutaminase zijn specifieker dan tissue
transglutaminase maar in de meeste labs nog niet beschikbaar. Voor de coeliakie
screening wordt meestal IgA anti-tissue transglutaminase en IgA anti-gedeamideerd
gliadine (gevoeliger test bij kleine kinderen) en IgG anti gedeamideerd gliadine
bepaald. Eventueel HLA typering (meest frequent HLA A1, B8, DR3 en DQ2). Verder
evaluatie van eventuele darmklachten middels een doorverwijzing naar de gastro-enteroloog.
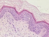
PA:De epidermis is plaatselijk versmald. In de cutis ziet men ter plaatse van de versmalde epidermis en er direct tegenaan concentraties van overwegend neutrofiele granulocyten. Deze infiltraatjes bevinden zich bij voorkeur in de toppen van de dermale papillen; hier vindt in eerste instantie de dermo-epidermale splijting plaats. Deze gaat gepaard met vochtophoping, zodat tenslotte het aspect van een micro-abces ontstaat. Eosinofiele granulocyten kunnen soms in opvallende mate aanwezig zijn,
maar neutrofiele granulocyten overheersen. Deze (steriele) micro-abcessen zijn specifiek voor dermatitis herpetiformis en alleen in 'vroege' laesies aantoonbaar. Door vervloeiing van micro-abcessen ontstaat uiteindelijk de (subepidermale) bullae.
In de dermis perivasculaire infiltraatjes bestaande uit lymfocyten en vaak ook neutrofiele en eosinofiele granulocyten. Immunofluorescentie: depositie van IgA.
![PA lesionale huid (subepidermale microabcesjes) (click on photo to enlarge) [source: www.huidziekten.nl] PA lesionale huid (subepidermale microabcesjes)](../../../images/dermatitisherpetiformispaz.jpg) |
![IgA depositie in de immunofluorescentie van lesionale huid (click on photo to enlarge) [source: www.huidziekten.nl] IgA depositie in de immunofluorescentie van lesionale huid](../../../images/dermatitisherpetiformispaiflesionaalz.jpg) |
![IgA depositie in de immunofluorescentie van non-lesionale huid (click on photo to enlarge) [source: www.huidziekten.nl] IgA depositie in de immunofluorescentie van non-lesionale huid](../../../images/dermatitisherpetiformispaiflnonlesionaalz.jpg) |
| PA lesionaal |
IF lesionaal |
IF non-lesionaal |
Therapie:Uit recent onderzoek komt naar voren dat
alle patiënten baat hebben bij een glutenvrij dieet en dat de klachten daar
volledig mee kunnen verdwijnen. Ook de antistoffen tegen epidermaal transglutaminase
dalen bij het goed volgen van een dieet. Een glutenvrij dieet is moeilijk vol
te houden, schakel zonodig de dietiste in. Daarnaast medicamenteuze therapie:
R/ Dapson (diaminodifenylsulfon,
DDS) 50-200 mg dd (1 dd ½ tab à 100 mg tot 2 dd 100 mg).

Meestal is 50-100 mg/dag voldoende voor onderhoudstherapie (1 mg/kg/dag). Kinderen
1-1,5 mg/kg eenmaal per dag. Geleidelijk instellen op de laagste hoeveelheid
die effectief is. Een glutenvrij dieet vermindert de hoeveelheid Dapson die
nodig is. Reageert zo goed (binnen 24-48 uur) dat Dapson als diagnosticum kan
worden gebruikt (25 mg is vaak al genoeg om verbetering te zien).

Zo nodig verhogen tot 300 mg/dag. Maximaal 500 mg/dag. Bij hoge doseringen meer
kans op hemolyse en
methemoglobinemie.
Contra-indicaties: hemoglobinopathieën waaronder
G6PD deficiëntie en sikkelcelanemie. Maximaal 500 mg/dag.
R/ sulfasalazopyridine
500-2000 mg per dag. Langzaam opbouwen zodat bijwerkingen beter verdragen worden.
Maximaal 4.5 g per dag verdeeld over 3 giften.

Sulfasalazine (salazosulfapyridine) wordt in het colon onder invloed van bacteriële
enzymen gesplitst in sulfapyridine en mesalazine.
R/ jodium-arm dieet, waardoor
vaak een betere reactie op DDS volgt.
R/ tetracycline 3 dd 500 mg + nicotinamide
4 dd 500 mg.

R/ ciclosporine 3-5 mg/kg/dag of prednison 0.5 mg/kg/dag, af te bouwen naar
laagste werkzame dosering.

R/ colchicine.
Referenties
| 1. |
Braun-Falco O, Plewig G, Wolff HH, Burgdorf
WHC. Dermatology. 2nd edition. Springer, Berlin 2000, pp:687-689. |
| 2. |
Lebwohl M, Heymann WR, Berth-Jones J, Coulson
I. Treatment of skin disease - Comprehensive therapeutic strategies.
Mosby, New York, 2002. |
Author(s):dr. Jan R. Mekkes. Dermatologist, Amsterdam UMC.