URTICARIA EN ANGIO-OEDEEM home ICD10: L50.9

Urticaria (netelroos, galbulten) wordt gedefinieerd als de aanwezigheid van één of meerdere urticae (kwaddels): vluchtige, afgeplatte, omschreven verhevenheden van de huid (berustend op oedeem), meestal jeukend, rood gekleurd en omgeven door erytheem. Soms bleek i.p.v. erythemateus, als door het oedeem de capillairen zijn dichtgedrukt. Angio-oedeem is een diepere variant, met oedeem in het subcutane of submucosale weefsel, meestal zonder roodheid (meest voorkomende plaatsen zijn: periorbitaal, lippen, wangen, handen, vingers, voeten, genitalia, tong, mond- en keelholte).

Urticaria Urticaria Urticaria
urticaria urticaria urticaria

Angio-oedeem (Quincke-oedeem) Angio-oedeem (Quincke-oedeem) Angio-oedeem (Quincke-oedeem)
angio-oedeem angio-oedeem angio-oedeem


Pathogenese
Urticaria en angio-oedeem worden veroorzaakt door mediatoren die vaatverwijding veroorzaken. Hiervan is histamine, vrijkomend uit mestcellen bij mestceldegranulatie, de belangrijkste. Dus de type I immuunreactie waarbij IgE gevormd wordt tegen allergenen, bijvoorbeeld garnalen, of Cashew noten, is een mechanisme dat urticaria kan veroorzaken. Histamine zit ook in de netels van de brandnetel (Urtica urens) waar urticaria naar vernoemd is. De reactie kan worden gedempt met anti-histamina. Er komen ook nog andere mediatoren vrij dan histamine, en er zijn andere mechanismen (zie verder).

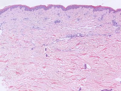
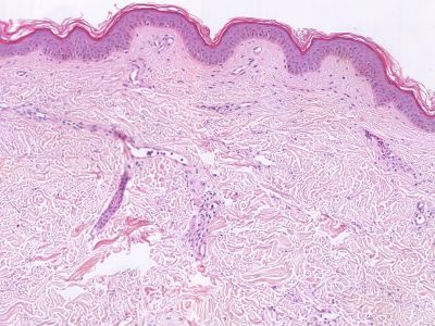
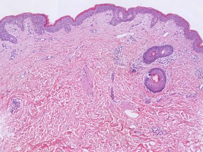
Urticaria Histologie urticaria
brandnetel ingescande coupe (zoom)

Histologie urticaria Histologie urticaria
ingescande coupe (zoom) ingescande coupe (zoom)

Bron hoge resolutie PA-foto's: Kevin Kwee en Afdeling Pathologie MUMC. Klik op de afbeelding om in te zoomen.


Andere mechanismen waardoor urticaria of angio-oedeem kan ontstaan:
- andere oorzaken voor mestceldegranulatie
   - spontane degranulatie
   - degranulatie door druk of andere fysische factor
   - degranulatie door auto-antistoffen tegen de IgE receptor (FcεRI) op de mestcel
   - degranulatie door complementfactoren
   - directe degranulatie door geneesmiddelen
- andere vasactieve mediatoren dan histamine
   - bradykinine (↑ door ACE remmers)
   - leukotrienen (↑ door NSAID’s en salicylaten)


Acute versus chronische urticaria
Het is gebruikelijk om urticaria onder te verdelen in acute urticaria (< 6 weken bestaand) en chronische urticaria (> 6 weken bestaand). De grens van 6 weken is arbitrair gekozen. Meer dan de helft van de urticaria is binnen 6 weken vanzelf over, en meer dan 90% is binnen 3 maanden over. Het is dus verantwoord om bij acute urticaria antihistaminica te geven, desnoods prednison, en gewoon af te wachten en ook nog geen onderzoek te doen naar onderliggende ziekten, of door te verwijzen naar een dermatoloog hiervoor. In de acute urticaria groep worden vaker klassieke type I IgE gemedieerde reacties op voedingsmiddelen of geneesmiddelen gezien dan in de chronische urticaria groep. Dat komt omdat deze reacties snel optreden; de relatie met het veroorzakend product is hierdoor makkelijk te leggen; het middel wordt vermeden waarna de urticaria verdwijnt. Deze categorie beland niet in het cohort chronische urticaria. In de chronische urticaria groep belanden de fysische urticaria, die niet snel overgaan, auto-immuun urticaria, urticaria bij onderliggende ziekten, en urticaria e.c.i.

Oorzaken acute urticaria of angio-oedeem ( < 6 weken)
1. geneesmiddelen
2. voedingsmiddelen
3. infectieziekten

Oorzaken chronische urticaria of angio-oedeem ( > 6 weken)
1. oorzaak onbekend (50-60%)
2. fysische urticaria als groep (30%) (dermografie, warmte, koude, druk, zonlicht, etc,)
3. geneesmiddelen (9%)
4. voedsel allergie en intolerantie (2-3%)
5. infectieziekten (0.5-1.5%), m.n. virale en parasitologische infecties
6. interne ziekten (0.5-1.5%), maligniteiten en interne afwijkingen met circulerende immuuncomplexen.
7. contact-allergenen en -agentia
8. inhalatie allergenen
9. psychische factoren

Daarnaast zijn er enkele zeer zeldzame vormen van urticaria: hitte contact urticaria, familiale koude urticaria, hereditair angio-oedeem, aquagene urticaria, vibratory urticaria, verkregen C1-inhibitor deficiëntie, C3b-inactivator deficiëntie, serum carboxypeptidase B deficiëntie.


Urticaria versus angio-oedeem
Patiënten kunnen hebben:
- alleen urticaria
- urticaria + angio-oedeem
- alleen angio-oedeem.
Bij alleen angio-oedeem ook denken aan hereditair angio-oedeem of angio-oedeem door geneesmiddelen.


Spontane urticaria versus induceerbare urticaria
In recente richtlijnen worden chronische urticaria onderverdeeld in:
- chronische spontane urticaria (CSU)
     - vaak geen oorzaak te vinden (idiopathisch)
     - inclusief auto-immuunurticaria (antistoffen tegen de IgE receptor)
- chronische induceerbare urticaria (CINDU)
    - oude term: fysische urticaria: warmte, koude, druk, zonlicht, etc.
- angio-oedeem


DD urticaria:
- chronische spontane urticaria (CSU)
- chronische induceerbare urticaria (CINDU)
- urticariële vasculitis
- auto-inflammatoire aandoeningen
- huidafwijkingen die bij presentatie kunnen lijken op urticaria maar niet vluchtig blijken te zijn:
    - erythema exsudativum multiforme
    - erythema annulare centrifugum
    - subacute cutane lupus erythematodus
    - Sweet syndroom
    - geneesmiddelenreacties


DD angio-oedeem:
- chronische spontane urticaria (CSU)
- angio-oedeem geïnduceerd door ACE-remmers of andere geneesmiddelen
- hereditair angio-oedeem (HAE)
- acquired (verworven) angio-oedeem (AAE)


DD fysische urticaria:
- dermografisme (urticaria factitia)
- (vertraagde) druk urticaria
- warmte urticaria (urticaria cholinergica)
- koude urticaria
- urticaria solaris
- exercise induced urticaria
- exercise induced food-triggered urticaria
- vertraagd dermografisme
- vibratory angio-edema
- warmte-contact urticaria


Zie ook onder diagnostiek, therapie, therapie angio-oedeem


patientenfolder


Referenties
1. Mekkes JR, Bos JD. Urticaria en erythemen. In: van Vloten WA, et al. Dermatologie en Venereologie. Utrecht 1992, Wetenschappelijke Uitgeverij Bunge. Pagina 124-89.
2. Kozel MM, Mekkes JR, Bossuyt PM, Bos JD. Natural course of physical and chronic urticaria and angioedema in 220 patients. J Am Acad Dermatol 2001;45:387-391.
3. Kozel MMA, Chloé Ansari Moein M, Mekkes JR, Meinardi MMHM, Bossuyt PMM, Bos JD. Evaluation of a clinical guideline for the diagnosis of physical and chronic urticaria and angioedema. Acta Derm Venereol 2002;82:270-274.
4. Kozel MM, Bossuyt PM, Mekkes JR, Bos JD. Laboratory tests and identified diagnoses in patients with physical and chronic urticaria and angioedema: A systematic review. J Am Acad Dermatol 2003;48:409-416.
5. Kozel MMA, Mekkes JR, Bossuyt PMM, Bos JD. Diagnostisch beleid bij patiënten met chronische urticaria. Ned Tijdschr Dermatol Venereol 2000;10:220-225.
6. Kozel MMA, Mekkes JR, Bossuyt PMM, Bos JD. Urticaria: een zinvolle benadering. Ned Tijdschr Dermatol Venereol 2000;10:344-346.
7. NVDV Richtlijn chronische urticaria 2015. PDF


Author(s):
dr. Jan R. Mekkes. Dermatologist, Amsterdam UMC.

31-05-2023 (JRM) - www.skin-diseases.eu Terug naar homepagina



Diagnosis codes:
ICD10 L50.0 Allergische urticaria
ICD10 L50.0 Allergic urticaria
SNOMED 40178009 Allergic urticaria
DBC 23 spacer Urticaria

ICD10 L50.0 Allergische urticaria: urticaria door voedsel allergie
ICD10 L50.0 Allergic urticaria: urticaria due to ingested food
SNOMED 402384009 Allergic urticaria due to ingested food
DBC 23 spacer Urticaria

ICD10 L50.0 Allergische urticaria: urticaria door steek of beet
ICD10 L50.0 Allergic urticaria: urticaria due to bite and/or sting
SNOMED 402385005 Allergic urticaria due to bite and/or sting
DBC 23 spacer Urticaria

ICD10 L50.1 Idiopathische urticaria
ICD10 L50.1 Idiopathic urticaria
SNOMED 42265009 Idiopathic urticaria
DBC 23 spacer Urticaria

ICD10 L50.1 Idiopathische urticaria: spontane acute urticaria
ICD10 L50.1 Idiopathic urticaria: acute spontaneous urticaria
SNOMED 302161006 Acute idiopathic urticaria
DBC 23 spacer Urticaria

ICD10 L50.1 Idiopathische urticaria: spontane chronische urticaria
ICD10 L50.1 Idiopathic urticaria: chronic spontaneous urticaria
SNOMED 302162004 Chronic idiopathic urticaria
DBC 23 spacer Urticaria

ICD10 L50.2 Urticaria door koude en warmte
ICD10 L50.2 Urticaria due to cold and heat
SNOMED 201261003 Urticaria caused by cold and heat
DBC 23 spacer Urticaria

ICD10 L50.2 Urticaria door koude en warmte: warmte urticaria
ICD10 L50.2 Urticaria due to cold and heat: heat urticaria
SNOMED 62211002 Urticaria caused by heat
DBC 23 spacer Urticaria

ICD10 L50.2 Urticaria door koude en warmte: koude urticaria
ICD10 L50.2 Urticaria due to cold and heat: cold urticaria
SNOMED 74774004 Urticaria caused by cold
DBC 23 spacer Urticaria

ICD10 L50.2 Urticaria door koude en warmte: hitte contact urticaria
ICD10 L50.2 Urticaria due to cold and heat: heat contact urticaria
SNOMED 62211002 Urticaria caused by heat [specific SNOMED term missing]
DBC 23 spacer Urticaria

ICD10 L50.3 Dermatografische urticaria
ICD10 L50.3 Dermatographic urticaria
SNOMED 7632005 Dermatographic urticaria
DBC 23 spacer Urticaria

ICD10 L50.4 Urticaria door vibratie
ICD10 L50.4 Vibratory urticaria
SNOMED 51247001 Vibratory urticaria
DBC 23 spacer Urticaria

ICD10 L50.5 Cholinergische urticaria
ICD10 L50.5 Cholinergic urticaria
SNOMED 73098005 Cholinergic urticaria
DBC 23 spacer Urticaria

ICD10 L50.5 Cholinergische urticaria: cholinergische urticaria door inspanning
ICD10 L50.5 Cholinergic urticaria: exercise induced cholinergic urticaria
SNOMED 73098005 Cholinergic urticaria [specific SNOMED term missing]
DBC 23 spacer Urticaria

ICD10 L50.6 Contact-urticaria
ICD10 L50.6 Contact urticaria
SNOMED 19364004 Contact urticaria
DBC 23 spacer Urticaria

ICD10 L50.6 Contact-urticaria: immunologische contact urticaria (ICU)
ICD10 L50.6 Contact urticaria: immunologic contact urticaria (ICU)
SNOMED 402304007 Allergic contact urticaria
DBC 23 spacer Urticaria

ICD10 L50.6 Contact-urticaria: non-immunologische contact urticaria (NICU)
ICD10 L50.6 Contact urticaria: non-immunological contact urticaria (NICU)
SNOMED 402305008 Non-immunological contact urticaria
DBC 23 spacer Urticaria

ICD10 L50.8 Overige gespecificeerde vormen van urticaria: aquagene urticaria
ICD10 L50.8 Other urticaria: aquagenic urticaria
SNOMED 89870006 Aquagenic urticaria
DBC 23 spacer Urticaria

ICD10 L50.8 Overige gespecificeerde vormen van urticaria: fysische urticaria
ICD10 L50.8 Other urticaria: physical urticaria
SNOMED 402601007 Physical urticaria
DBC 23 spacer Urticaria

ICD10 L50.8 Overige gespecificeerde vormen van urticaria: druk urticaria
ICD10 L50.8 Other urticaria: pressure urticaria
SNOMED 387787005 Pressure urticaria
DBC 23 spacer Urticaria

ICD10 L50.8 Overige gespecificeerde vormen van urticaria: vertraagde druk urticaria
ICD10 L50.8 Other urticaria: delayed pressure urticaria
SNOMED 387788000 Delayed pressure urticaria
DBC 23 spacer Urticaria

ICD10 L27.0 Overige gespecificeerde vormen van urticaria: urticaria door geneesmiddelen
ICD10 L27.0 Other urticaria: drug-induced urticaria
SNOMED 89322006 Urticaria medicamentosa
DBC 23 spacer Urticaria

ICD10 L50.8 Overige gespecificeerde vormen van urticaria: urticaria bullosa
ICD10 L50.8 Other urticaria: bullous urticaria
SNOMED 14907004 Bullous urticaria
DBC 23 spacer Urticaria

ICD10 L50.8 Overige gespecificeerde vormen van urticaria: giant urticaria
ICD10 L50.8 Other urticaria: giant urticaria
SNOMED 400075008 Giant urticaria
DBC 23 spacer Urticaria

ICD10 L50.0 Allergische urticaria: urticaria door voedsel allergie
ICD10 L50.0 Allergic urticaria: urticaria due to ingested food
SNOMED 402384009 Urticaria due to ingested food
DBC 23 spacer Urticaria

ICD10 L50.9 Urticaria, niet gespecificeerd
ICD10 L50.9 Urticaria, unspecified
SNOMED 126485001 Urticaria
DBC 23 spacer Urticaria

ICD10 L50.9 Urticaria, niet gespecificeerd: acute urticaria
ICD10 L50.9 Urticaria, unspecified: acute urticaria
SNOMED 402408009 Acute urticaria
DBC 23 spacer Urticaria

ICD10 L50.9 Urticaria, niet gespecificeerd: chronische urticaria
ICD10 L50.9 Urticaria, unspecified: chronic urticaria
SNOMED 51611005 Chronic urticaria
DBC 23 spacer Urticaria

ICD10 L50.9 Urticaria, niet gespecificeerd: chronisch recurrente urticaria
ICD10 L50.9 Urticaria, unspecified: episodic (recurrent) urticaria
SNOMED 402409001 Episodic urticaria
DBC 23 spacer Urticaria

ICD10 L50.9 Urticaria, niet gespecificeerd: psychogene urticaria
ICD10 L50.9 Urticaria, unspecified: psychogenic urticaria
SNOMED 63990000 Psychogenic urticaria
DBC 23 spacer Urticaria

ICD10 L50.9 Urticaria, niet gespecificeerd: autoimmuun urticaria
ICD10 L50.9 Urticaria, unspecified: autoimmune urticaria
SNOMED 402397006 Autoimmune urticaria
DBC 23 spacer Urticaria

ICD10 L56.3 Urticaria door zonnestraling
ICD10 L56.3 Solar urticaria
SNOMED 10347006 Solar urticaria
DBC 23 spacer Urticaria