LUPUS ERYTHEMATODES / LUPUS ERYTHEMATOSUS home ICD10: M32.9

Lupus erythematodes (de internationale, meer gebruikte term is: lupus erythematosus), vaak afgekort als LE of SLE (systemische lupus erythematosus) is een auto-immuunziekte waarbij de huid en allerlei interne organen aangedaan kunnen zijn. De ziekte werd in 1828 voor het eerst beschreven door de Franse dermatoloog Biett. LE wordt ook wel gerekend tot de reumatologische aandoeningen. Als alleen de huid is aangedaan wordt het cutane LE genoemd. Als diverse organen zijn aangedaan wordt het systemische lupus erythematosus genoemd. Lupus betekent wolf en die naam is ooit bedacht omdat sommige plekken er uitzagen alsof aangevreten door een wolf, en enigszins leken op lupus vulgaris (cutane tuberculose). LE komt vooral voor bij vrouwen, bijna 9 x vaker dan bij mannen en begint meestal tussen 10- en 30-jarige leeftijd. Het kan zomaar opeens ontstaan. De oorzaak is niet bekend. Wel is duidelijk dat het gaat om een auto-immuunziekte met antistoffen gericht tegen onderdelen van cellen en celkernen. Door deze abnormale auto-immuunreactie ontstaan overal in het lichaam ontstekingen en dit veroorzaakt de verschijnselen.

Er is ook een vorm van LE die wordt veroorzaakt door geneesmiddelen. Dit wordt drug-induced lupus erythematosus genoemd. Drug-induced LE gaat vanzelf weer over als het geneesmiddel dat het heeft veroorzaakt wordt gestopt. De andere vormen van LE gaan meestal niet vanzelf weer over, ze kunnen wel rustiger worden of onder controle worden gebracht met geneesmiddelen.


Indeling specifieke huidafwijkingen bij lupus erythematodes (LE):
1. Acute cutane LE (voorbijgaand in uren tot weken, laat geen littekens na, zeer fotosensitief, sterk geassocieerd met SLE).
- gelocaliseerd erytheem op de wangen (butterfly rash)
- gegeneraliseerd erytheem (en/of oedeem)
- fotosensitieve dermatitis nno
2. Subacute cutane LE (lupus erythematodes subacutis cutaneus)
- psoriasiform
- annulair
3. Chronische cutane LE (persisterend, maanden tot jaren, laat littekens na, minder fotosensitief, minder sterk geassocieerd met SLE.
- discoïde LE (CDLE, lupus erythematodes discoides chronica)
    - gelocaliseerde CDLE
    - gegeneraliseerde CDLE (lupus erythematodes discoides et disseminatus)
- diepe LE, lupus erythematodes profundus

Andere huidafwijkingen die kunnen voorkomen bij lupus erythematosus zijn lupus erythematous panniculitis, lupus erythematosus tumidus, Raynaud fenomeen, chilblain lupus, leukocytoclastische vasculitis, hypocomplementemische urticariële vasculitis (HUV), livedo reticularis, purpura, urticaria, SLE-geassocieerde neutrofiele dermatose, bulleuze SLE, TEN-like SLE, digital pitting scars, erythema palmoplantare, alopecia, leukoplakie mucosa, orale ulcera, pigmentafwijkingen, sclerodactylie, calcinosis cutis, nagelafwijkingen (o.a. nageldystrofie, rode lunula, ontbrekende lunula), interstitiële granulomateuze dermatitis, en amicrobial pustulosis (zeldzaam).



LUPUS ERYTHEMATODES DISCOIDES CHRONICA (CDLE) (cutane discoïde LE) home ICD10: L93.0

Chronische discoïde lupus erythematodes (CDLE) (synoniemen: cutane discoïde LE, discoid lupus erythematosus, DLE) is een lokale vorm van lupus erythematodes (LE) getypeerd door erythemato-squameuze laesies, soms met centrale atrofie, op de aan zonlicht blootgestelde huid. De laesies zitten met name in het gelaat, ook hals, coeur, armen, handen, benen en romp (soms), behaarde hoofd (soms). De term discoïd (schotelvormig) wordt gebruikt omdat het vaak ronde plekken zijn, lupus (wolf) omdat het plekken kunnen zijn met een "invretend" karakter, dat wil zeggen dat er door de ontsteking atrofie en littekens kunnen ontstaan. De oorzaak is niet bekend, er is waarschijnlijk een genetisch bepaalde aanleg. Het komt vaak voor (17-48 per 100.000 inwoners), begint meestal tussen de 20 en 40 jaar, vaker bij vrouwen dan bij mannen, en vaker bij personen met een donkere huid dan bij blanken.

Discoïde LE is een van de ARA criteria voor SLE. CDLE patiënten kunnen andere SLE of LE symptomen hebben zoals een malar rash of subacute cutane LE hebben, maar het komt zelden voor dat CDLE patiënten 4 of meer ARA critera hebben en dus SLE. De kans op progressie naar SLE is bij gelokaliseerde CDLE circa 5%, bij generaliseerde CDLE 20%, bij SCLE 50% en bij ACLE 72%. In zeldzame gevallen kan een plaveiselcelcarcinoom ontstaan in een langdurige bestaande CDLE laesie.

Klinisch beeld:
In het begin erythemateuze papels en plaques met lichte schilfering. In een latere fase ontstaat een dikke en adherente hyperkeratotische crusta. Tevens ontstaat hyperpigmentatie en atrofie. De laesies breiden naar de randen uit met centraal atrofie. De follikelopeningen zijn gedilateerd en bevatten keratotische pluggen. Een losgetrokken hyperkeratotische schilfer heeft soms aan de onderkant talloze uitsteeksel (folliculaire pluggen) die onder de microscoop of met het blote oog zichtbaar zijn. Klassieke voorkeurslokalisaties zijn de neusrug en de wangen. Ook in de oorschelpen kan het zitten. Meestal is het op zonbeschenen plekken maar niet altijd, het kan ook uitgebreid op de romp aanwezig zijn zonder relatie met zonlicht. Op het behaarde hoofd laat CDLE een cicatriciële alopecia achter. Aan de handen en handpalmen komen verruceuze en hypertrofische CDLE varianten voor. CDLE kan ook op het mondslijmvlies voorkomen en lijkt dan op lichen planus. Er bestaat ook een lymfomatoïde LE variant.

Chronische discoide lupus erythematosus (CDLE) Chronische discoide lupus erythematosus (CDLE) Chronische discoide lupus erythematosus (CDLE)
CDLE CDLE CDLE

Chronische discoide lupus erythematosus (CDLE) Chronische discoide lupus erythematosus (CDLE) Chronische discoide lupus erythematosus (CDLE)
CDLE CDLE CDLE


DD:
Actinische keratose, plaveiselcelcarcinoom, morbus Bowen, granuloma faciale, granuloma annulare, mycose, lues II, SLE, subacute LE, dermatomyositis, psoriasis, rosacea, sarcoïdose.

Diagnostiek:
De diagnose wordt bevestigd door een biopt. Serologisch onderzoek naar SLE is bij een CDLE patiënt niet zinvol. Bij een deel (circa 20%) van de patiënten is de ANA (antinuclear antibody) positief, maar dat komt ook bij gezonden vaak voor. Er wordt dus geen consequentie aan dit onderzoek verbonden, daarom niet aanvragen. Als er klachten zijn wijzend op SLE zoals malaise, gewrichtsklachten, pleuritis, pericarditis, neurologische klachten, nierafwijkingen, etc. of patiënt heeft 4 of meer ARA criteria, dan is uiteraard wel onderzoek naar SLE nodig (ANA, ANF cascade onderzoek (anti-Ro (SS-A), anti-Sm), anti-dsDNA, BSE, leuko's, ery's, trombo's, urine-sediment, eiwit in de urine, etc.). In Nederland is het gebruikelijk om de patiënt hiervoor door te verwijzen naar de reumatoloog, of een internist/immunoloog.

Therapie:
CDLE is fotosensitief, dus het is erg belangrijk om een goede sunscreen te gebruiken. Gebruik een hoge factor sunscreen en mijdt de felle zon. Ook roken is vermoedelijk een uitlokkende factor, en bemoeilijkt de behandeling. Stoppen met roken wordt geadviseerd. Littekens kunnen worden gecamoufleerd met make-up en/of pruiken. De behandeling begint met een sunscreen 's ochtends en een krachtig steroïd op de plekken 's avonds, bij onvoldoende effect antimalaria middelen oraal (hydroxychloroquin of chloroquin).
Zie verder onder chronische discoide LE.



LUPUS ERYTHEMATODES DISCOIDES ET DISSEMINATUS home ICD10: L93.0

Bij gedissemineerde discoïde LE zijn de laesies identiek aan cutane discoïde LE, maar verspreid over het lichaam. Kan overgaan in systemische lupus erythematosus. Preventie en therapie, zie boven.

Chronische discoide lupus erythematosus (CDLE)
gedissemineerde CDLE


Therapie:
R/ corticosteroïd crèmes of lotions locaal, eventueel onder occlusie.
R/ antimalaria middelen oraal (cave oogafwijkingen): Plaquenil 200-400 mg per dag.
R/ systemische immunosuppresiva. Zie verder onder chronische discoide LE.



LUPUS ERYTHEMATODES DISSEMINATUS (SLE) (systemische LE) home ICD10: M32.1

Systemische lupus erythematodes (SLE) kan allerlei verschijnselen veroorzaken omdat er vele organen bij betrokken zijn. Ook de ernst is sterk wisselend. Het kan variëren van vage vermoeidheidsklachten en hangerigheid tot doodziek zijn met gewrichtsklachten en beschadiging van de nieren. Ongeveer 1 op de 4000 mensen in Nederland lijdt aan lupus erythematosus. De ziekte komt negen maal vaker voor bij vrouwen dan bij mannen. Het kan op elke leeftijd voorkomen, maar het begint meestal op jongere leeftijd (< 45 jaar). Bij vrouwen komt het vooral voor in de vruchtbare periode. Jonge kinderen onder de 5 jaar krijgen het meestal niet, pasgeborenen kunnen het wel tijdelijk hebben omdat de antistoffen via de placenta het kind kunnen bereiken.

Veel voorkomende klachten bij SLE zijn:
- huidafwijkingen
- overgevoeligheid voor zonlicht
- algeheel onwelbevinden (moeheid, hangerigheid)
- koorts (soms sluimerend, soms hoog)
- gewrichtspijnen en gewrichtsontsteking
- verslechtering van de nierfunctie, ontsteking en beschadiging van de nieren
- neurologische klachten
- hart- en longafwijkingen (pericarditis, pleuritis)
- zweertjes (aften) in de mond, keel en neusholten
- stolsels in bloedvaten (trombose)
- droge ogen (Sjögren syndroom)
- Raynaud fenomeen (doorbloedingsstoornis van de vingertoppen met witte, bauwe en rode verkleuringen)
- gewichtsverlies

Diagnostiek:
De diagnose SLE wordt gesteld op basis van klachten en symptomen van de patiënt en vastgestelde orgaanaantastingen en/of bloedafwijkingen. Als er een verdenking is op SLE dan wordt aanvullend onderzoek gedaan zoals bloedonderzoek (Hb, CRP, BSE, leuko's, diff, trombocyten, anti-nucleaire antistoffen (ANA-cascade, als er ANA's worden gevonden wordt vaak automatisch doorgetest en wordt het anti-dsDNA bepaalde en eventuele specifieke andere antigenen zoals anti-Sm)). Zie ook onder auto-immuunziekten, diagnostiek. Verder X-thorax, ECG. Bij SLE zijn er vaak afwijkingen in het bloed vast te stellen, zoals een verhoogde CRP en BSE, anemie, leukopenie, trombopenie, en de typische antistoffen die bij SLE kunnen worden gevonden gericht tegen onderdelen van de cel of de celkern (anti-dubbelstrengs-DNA, anti-ds-DNA).

ACR-criteria (ARA criteria)
De Amerikaanse Vereniging van Reumatologen (American College of Rheumatology) heeft in 1982 een lijst van criteria opgesteld die kan worden gebruikt om de diagnose SLE te stellen. Er is officieel sprake van SLE als er ten minste 4 van de onderstaande 11 criteria gelijktijdig of achtereenvolgens bij de patiënt aanwezig zijn of geweest zijn. Ze hoeven dus niet allemaal op hetzelfde moment aanwezig te zijn. De lijst hoeft niet keihard gehanteerd worden: er zijn patiënten die maar 3 criteria hebben maar waarbij toch alles er op wijst dat ze SLE hebben of het gaan krijgen.

ARA criteria voor SLE:
1. malar rash
Gelocaliseerd erytheem of erytheem plus oedeem/induratie in het gelaat.
Meestal symmetrisch, vooral over jukbeenderen, nasolabiale plooien blijven soms gespaard.
2. discoid rash
 
Erythemateuze, verheven plaques, met hyperkeratose, schilfering, folliculaire plugging, atrofische littekens in latere stadium (CDLE).
3. fotosensitivity
 
Erytheem en/of oedeem/induratie op zongeëxposeerde plaatsen, anamnestisch of vastgesteld door arts.
4. oral ulcers
 
Oraal of nasopharyngeale ulceraties, meestal pijnloos, vastgesteld door een arts.
5. arthritis
 
Niet-erosieve arthritis van twee of meer perifere gewrichten, gekarakteriseerd door pijn, zwelling, of vocht in het gewricht.
6.   serositis   Pleuritis: overtuigende pleurapijnklachten, wrijven bij auscultatie, of pleuravocht, of:
Pericarditis: blijkend uit ECG, auscultatie, of pericardvocht (echo).
7. renal disorder Persisterende proteïnurie (>0.5 g per dag of 3+ semikwantitatief), of:
Eiwitcylinders (erytrocyten, hemoglobine, granulair, tubulair, of gemengd).
8. neurological disorder Epileptische aanvallen (niet t.g.v. medicatie, uremie, ketoacidose of elektrolytafw.), of:
Psychosen (niet t.g.v. medicatie, uremie, ketoacidose of elektrolytafwijkingen).
9. hematological disorders Hemolytische anemie, met reticulocytose, of:
Leukopenie, minder dan 4.0 x 109/L op twee of meer momenten, of:
Lymfopenie, minder dan 1.5 x 109/L op twee of meer momenten, of:
Trombocytopenie, minder dan 100 x 109/L, niet t.g.v. geneesmiddelen.
10. immunologic disorder
 
positieve LE cel test, of anti-DNA verhoogd, of anti-Sm, of een valspositieve VDRL, bij negatieve TPI of FTA-abs.
11. antinuclear antibody Een op enig moment vastgestelde abnormale titer van een antinucleair antilichaam,
vastgesteld door immunofluorescentie, en niet t.g.v. geneesmiddelen (drug-induced).


EULAR Criteria voor SLE (2019)
In 2019 zijn er nieuwe diagnostische criteria opgesteld voor de diagnose SLE die nog nauwkeuriger zijn: de EULAR/ACR Classification Criteria for Systemic Lupus Erythematosus 2019.

EULAR Criteria voor SLE (2019):
ANA (antinuclear antibodies) moeten ooit positief zijn geweest (titer ≥ 1:80 op HEp-2 cellen, of equivalente positieve test)
- indien negatief: niet de diagnose SLE stellen
- indien positief: ga verder met de volgende criteria
Als er een andere meer waarschijnlijke verklaring voor de afwijking is: niet meetellen
De klachten of labafwijkingen hoeven niet allemaal simultaan op 1 moment aanwezig te zijn
Aanwezigheid van de klacht of de labafwijking in het verleden telt ook mee
Tel per domijn alleen het criterium met de hoogste score mee
(voorbeeld: patiënt heeft leukopenie en trombocytopenie dan is de score 4)
De diagnose SLE wordt gesteld bij aanwezigheid van 1 of meer klinische criteria en ≥ 10 punten
Domijnen (klinische criteria): Punten:
Systemisch
koorts

2
Hematologisch
leukopenie
trombocytopenie
auto-immuun hemolysis

3
4
4
Neuropsychiatrisch
delirium
psychose
insult

2
3
5
Mucocutaan
non-scarring alopecia
orale ulceraties
subacute cutane LE of cutane discoide LE
acute cutane LE

2
2
4
6
Serositis
pleurale of pericardiale effusie
acute pericarditis

5
6
Spier en skelet
gewrichtsklachten

6
Nieren
proteïnurie > 0.5 g/24 uur
nierbiopt: klasse II of V lupus nefritis
nierbiopt: klasse III of IV lupus nefritis

4
8
10
Domijnen (immunologische criteria): Punten:
Antifosfolipiden
anticardiolipine of antiβ2GP1 of lupus anticoagulans

2
Complementfactoren
laag C3 of laag C4
laag C3 en laag C4

3
4
SLE specifieke antistoffen
anti-ds-DNA of anti-Smith (anti-Sm) positief

6


Anti-Sm antistoffen zijn zeer specifiek voor SLE en correleren met de ziekteactiviteit.
Hieronder de originele Engelstalige EULAR criteria in een tabel:

EULAR/ACR Classification Criteria for Systemic Lupus Erythematosus
Aringer M, et al. Arthritis Rheumatol 2019;71(9):1400-1412.


Een malar rash (butterfly erythema, vlindervormig erytheem) is een erytheem op de wangen, vlindervormig. Het is een van de ARA criteria voor SLE, het komt bij 45-65% van de SLE patiënten voor. Het is een fotosensibel erytheem (heliotroop, veroorzaakt door blootstelling aan zonlicht), niet vluchtig. Het kan vlak zijn of verheven. De klassieke malar rash is alleen erytheem en komt voor bij acute SLE. Het kan later ook geïndureerd worden en gaan schilferen, of erosief worden en meer gaan lijken op een subacute of discoide LE in het gelaat. In dat geval voldoet het niet meer aan de definitie van erytheem. Behalve bij SLE kan het ook voorkomen bij andere auto-immuunziekten (b.v. dermatomyositis) en bij Pellagra en Bloom syndroom.

Malar rash Malar rash
butterfly erythema butterfly erythema


Acute cutane LE
De afwijkingen bij acute cutane LE ontstaan in korte tijd en kunnen over het hele lichaam verspreid zitten. Het zijn kleine en grotere rode vlekken, soms wat verheven, soms licht schilferend. Het gaat vanzelf weer voorbij in uren tot weken en laat geen littekens achter. De acute cutane LE komt, net als het vlindervormig erytheem vaak voor bij systemische LE.

Acute cutane LE
acute cutane LE


Licht overgevoeligheid
Patiënten met een SLE kunnen een uitslag krijgen op zonbeschenen huid. Het vlindervormig erytheem is ook een voorbeeld van lichtovergevoeligheid. Maar op elke plek die in de zon is geweest kan een rode uitslag ontstaan bij SLE patiënten.

Poikiloderma van Civatte Subacute cutane lupus erythematosus (SCLE)
licht overgevoeligheid licht overgevoeligheid


Therapie:
De behandeling van LE is niet gericht op het genezen van de ziekte, maar op het onderdrukken van de symptomen. Hiervoor worden ontstekingsremmende middelen en pijnstillers gebruikt. Inwendige organen zijn vaak ook aangedaan, de therapie is specialistisch en wordt meestal uitgevoerd door de reumatoloog of internist/immunoloog.

R/ pijnstillers: paracetamol en codeïne.
R/ ontstekingsremmende pijnstillers (NSAID's): ibuprofen, diclofenac.
R/ antimalariamiddelen: Plaquenil (hydroxychloroquine).
R/ corticosteroïden: prednison of prednisolon.
R/ andere middelen die het immuunsysteem onderdrukken: methotrexaat en ciclosporine.
R/ mycofenolaat mofetil.
R/ azathioprine.
R/ cyclofosfamide.
R/ litifilimab.
R/ antibiotica.
R/ bloeddrukverlagende medicijnen.
R/ bloedverdunnende middelen: Marcoumar of Sintrom.
R/ intraveneuze immunoglobulinen (IvIg) 2 g/kg verdeeld over 2-5 dagen, 1 keer per 4 weken. Voor een periode van 6 maanden. Aanvullende therapie bij vormen van SLE die niet voldoende reageren op standaard immunosuppressieve therapie met prednison en andere immunosuppressiva.

Prognose:
Het verloop van de ziekte is erg wisselend. De ene patiënt heeft er meer last van dan de andere en ook het beloop is onvoorspelbaar. Meestal wisselen actieve periodes zich af met rustige periodes. Het kan ook voorkomen dat de ziekte hevig begint maar daarna rustig blijft.

Aanvullende maatregelen:
Vermijd overmatige blootstelling aan zonlicht. Zonlicht (UV-licht) is een belangrijke uitlokkende en verergerende factor bij SLE en ook bij de cutane discoide LE (CDLE). Zonlicht kan niet alleen de huidafwijkingen, maar ook de inwendige aandoeningen verergeren. Niet alle SLE patiënten zijn overgevoelig voor zonlicht, maar de meeste wel. Gebruik zonnebrandcrèmes met een hoge beschermingsfactor.
Probeer een gezonde levensstijl aan te houden. Zorg voor voldoende rust en slaap, rook niet en vermijd overmatig alcoholgebruik, vermijd angst en spanningen, eet gezond. Het is niet zo dat voeding LE veroorzaakt of verergert, maar streef naar gezonde en gevarieerde voeding. Soms wordt een dieet wordt voorgeschreven, bijvoorbeeld bij nierschade of een hoge bloeddruk.

SLE in de zwangerschap:
SLE patiënten kunnen gewoon zwanger worden. Er is een slechts een licht verhoogde kans op complicaties zoals een miskraam of voortijdige bevalling. De kans dat het kind ook LE krijgt is klein. Sommige antistoffen kunnen wel via de placenta het kind bereiken en daar problemen veroorzaken waardoor er een klein risico aanwezig is dat het kind neonatale lupus of hartproblemen krijgt. Bij geplande zwangerschappen is het verstandig om af te wachten tot de SLE rustig is. Tijdens een zwangerschap kan SLE onder invloed van alle hormonale veranderingen opvlammen. Een goede begeleiding door de reumatoloog en de gynaecoloog is nodig. De bloeddruk en de nierfunctie moeten goed in de gaten worden gehouden. Ook mogen allerlei geneesmiddelen voor SLE niet in de zwangerschap gegeven worden.


Referenties
1. Aringer M, Costenbader K, Daikh D, et al. 2019 European League Against Rheumatism/American College of Rheumatology Classification Criteria for Systemic Lupus Erythematosus. Arthritis Rheumatol. 2019;71(9):1400-1412.



LUPUS ERYTHEMATODES DISSEMINATUS DOOR GENEESMIDDELEN home ICD10: M32.0

Drug-induced LE kan door een groot aantal geneesmiddelen worden geluxeerd, waaronder door TNF-alfa remmers. Zie verder onder drug-induced SLE.


LUPUS ERYTHEMATODES SUBACUTIS CUTANEUS home ICD10: L93.1

Subacute cutane lupus erythematosus (SCLE) is een van de vormen van cutane LE, gekenmerkt door ronde of annulaire erythematosquameuze laesies en een fotosensitieve component. Het kan lijken op (annulaire) psoriasis. SCLE wordt gezien bij circa 10% van de patiënten met SLE (systemische lupus erythematosus), ook bij patiënten waarbij die diagnose nog niet gesteld is maar die het wel al onder de leden hebben. SCLE gaat in 10-50% van de gevallen over in SLE. In circa de helft van de gevallen kan op het moment van het ontstaan van SCLE al de diagnose SLE worden gesteld op grond van 4 of meer ARA criteria. Vreemd genoeg is SCLE niet opgenomen in de ARA criteria, maar CDLE (chronische discoide LE) wel, terwijl dat veel minder vaak geassocieerd is met SLE.

Subacute cutane lupus erythematosus (SCLE) Subacute cutane lupus erythematosus (SCLE) Subacute cutane lupus erythematosus (SCLE)
subacute cutane LE subacute cutane LE subacute cutane LE

Subacute cutane lupus erythematosus (SCLE) Subacute cutane lupus erythematosus (SCLE) Subacute cutane lupus erythematosus (SCLE)
subacute cutane LE subacute cutane LE subacute cutane LE

Subacute cutane lupus erythematosus (SCLE) Subacute cutane lupus erythematosus (SCLE) Subacute cutane lupus erythematosus (SCLE)
subacute cutane LE subacute cutane LE subacute cutane LE

Subacute cutane lupus erythematosus (SCLE) Subacute cutane lupus erythematosus (SCLE) Subacute cutane lupus erythematosus (SCLE)
subacute cutane LE subacute cutane LE subacute cutane LE


Subacute cutane lupus erythematosus ontstaat meestal op plaatsen die zijn blootgesteld aan de zon, zoals de bovenrug, nek, schouders, bovenarmen, handruggen, en het gelaat (minder vaak). Het zijn meestal erythemateuze of erythematosquameuze psoriatiforme plaques, soms annulair. In tegenstelling tot CDLE geneest het zonder littekenvorming of atrofie, maar er kunnen wel pigmentverschuivingen optreden. SCLE komt voor bij SLE, bij Sjögren syndroom en bij complement C2d deficiëntie. SCLE kan ook drug-induced zijn. Het hebben van een bepaalde genetische aanleg (HLA-DR3, HLA-DRw52, HLA-DQ1) predisponeert voor SCLE. Patiënten hebben vaak ook anti-Ro (SS-A) antistoffen. De aandoening wordt uitgelokt door UVB en soms ook door UVA. SCLE komt vooral voor bij blanken rond de 45 jaar (range 15-70) jaar, en de man vrouw ratio is circa 1:4. Hoewel circa de helft SLE heeft is de prognose relatief goed omdat de SLE manifestaties vaak mild zijn, vooral myalgie en artritis. SCLE kan spontaan verdwijnen. Meestal is het een chronisch recidiverende aandoening, die vooral in het voorjaar opvlamt door zonne-expositie.

DD: psoriasis, tinea corporis, tinea incognito, mycosis fungoides, nummulair eczeem, acute cutane lupus erythematosus, chronische polymorfe lichteruptie, lymphocytic infiltration of the skin, erythema annulare centrifugum, granuloma annulare, lichen planus, REM syndroom, toxicodermie, sarcoidose, pityriasis rubra pilaris, dermatomyositis, vasculitis.

Diagnostiek:
Biopt. Eventueel ook een vriesbiopt voor immunofluorescentie. Een positieve lupus band (granulaire deposities van IgG, IgM, en soms IgA langs de basale membraan kan worden gezien in de lesionale huid bij circa 60%. Bij patiënten met SLE of Sjögren syndroom wordt vaak ook in de non-lesionale huid een positieve lupus band gezien. Een IF biopt ondersteunt de diagnose maar is niet persé nodig.
Compleet bloedbeeld (anemie, leukopenie, trombocytopenie?). Na K kreat. Urine sediment (eiwit, erytrocyten?). ANA (antinucleaire antibodies; cascade onderzoek, inclusief anti-dsDNA, Ro, La, Sm, ribosomal P). 70% van de SCLE patiënten heeft een positieve ANA, anti-Ro (SS-A) wordt vaak gevonden (circa 90%), anti-La (SS-B) ook (circa 50%).

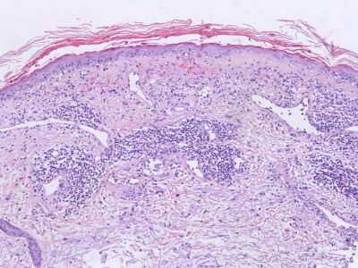
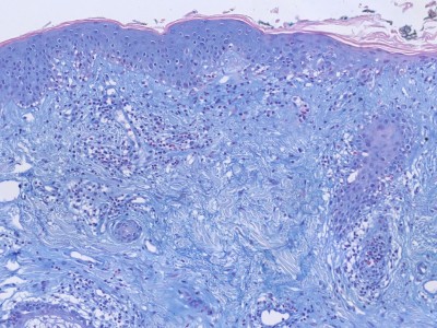
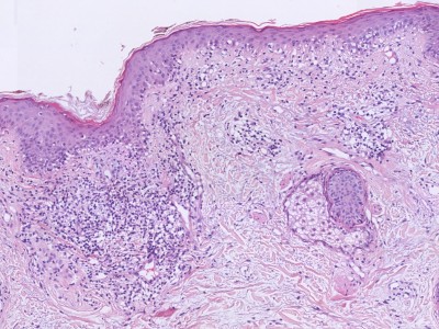
PA:
Grensvlakdermatitis met vacuolisatie van de basale membraan, en subepidermaal een perivasculair en periadnexaal lymfocytair infiltraat. De epidermis kan atrofisch zijn. Mucine depositie subepidermaal. De IF is meestal positief (lupus band).

Histologie lupus erythematosus Histologie lupus erythematosus
ingescande coupe (zoom) ingescande coupe (zoom)

Histologie lupus erythematosus Histologie lupus erythematosus
ingescande coupe (zoom) ingescande coupe (zoom)

Bron hoge resolutie PA-foto's: Kevin Kwee en Afdeling Pathologie MUMC. Klik op de afbeelding om in te zoomen.


Therapie:
R/ Lokale corticosteroïden.
R/ Intralesionale corticosteroïden (bij enkele kleine plekken).
R/ Plaquenil (hydroxychloroquine). Patiënten die roken reageren slechter op Plaquenil.
R/ chloroquin, quinacrine (mepacrine). Quinacrine is in Nederland niet meer leverbaar.
R/ prednison (alleen kortdurend of als er ernstige systemische SLE klachten zijn).
R/ cicloporine.
R/ acitretine
R/ methotrexaat.
R/ thalidomide of lenalidomide.
R/ Cellcept (mycophenolate mofetil).
R/ azathioprine.
R/ dapson.
R/ cyclofosfamide.
R/ Overige: rituximab, IvIg, clofazimine, interferon.


LUPUS ERYTHEMATODES NEONATALIS home ICD10: P00.8

Neonatale LE (lupus erythematodes neonatalis) wordt veroorzaakt door LE-antistoffen van de moeder die via de placenta in de circulatie van de neonaat terecht zijn gekomen. Deze antistoffen hebben een beperkte halfwaardetijd en worden niet door de baby aangemaakt, dus neonatale LE gaat vanzelf over binnen drie maanden tot een jaar. Neonatale lupus komt vooral voor als de moeder anti-SSA (anti-Ro) antistoffen in het bloed heeft. Ook bij anti-SSB (anti-La) antistoffen kan het ontstaan, maar minder vaak. Er ontstaan erythematosquameuze, vaak annulaire plaques, vooral op het hoofd, en op de romp. Ook kan een congenitaal hartblok ontstaan met ritmestoornissen, waarvoor later een pacemaker nodig is. Dit is zeldzaam (bij 2 op de honderd vrouwen met anti-SSA). Bij een volgende zwangerschap wordt de kans dat de baby neonatale LE heeft groter (circa 20%). Het kan worden voorkomen door plaquenil door te slikken in de zwangerschap. Neonatale LE kan ontstaan terwijl de moeder geen klachten heeft: 25-60% van de moeders van een neonaat met LE had geen klachten.

Neonatale cutane LE Neonatale cutane LE Neonatale cutane LE
neonatale cutane LE neonatale cutane LE neonatale cutane LE

Diagnostiek:
Bij de moeder antistoffen bepalen: anti-SSA, anti-SSB, anti-RNP.




LUPUS ERYTHEMATODES PROFUNDUS home ICD10: L93.2

Lupus erythematodes profundus (diepe LE).



LUPUS ERYTHEMATODES VISCERALIS home ICD10: M32.1

Lupus erythematodes visceralis is een systemische LE met betrokkenheid van interne organen. Zie verder onder SLE.



LUPUS ERYTHEMATODES - LICHEN PLANUS OVERLAP SYNDROOM home ICD10: L93.0

Lupus erythematodes - lichen planus overlap syndroom.



LUPUS ERYTHEMATOSUS TUMIDUS home ICD10: L93.1

Lupus erythematosus tumidus is een variant van SLE die vaak voorkomt in het gezicht, ook op het behaarde hoofd, en die lijkt op morbus Jessner (lymphocytic infiltration of the skin). Klinisch zijn het rode of blauwpaarse infiltraten.


patientenfolder


Author(s):
dr. Jan R. Mekkes. Dermatologist, Amsterdam UMC.

31-05-2023 (JRM) - www.skin-diseases.eu Terug naar homepagina



Diagnosis codes:
ICD10 L93 Lupus erythematosus
ICD10 L93 Lupus erythematosus
SNOMED 200936003 Lupus erythematosus
DBC 13 spacer Inflammatoire dermatosen

ICD10 L93.0 Discoïde lupus erythematosus
ICD10 L93.0 Discoid lupus erythematosus
SNOMED 200938002 Discoid lupus erythematosus
DBC 13 spacer Inflammatoire dermatosen

ICD10 L93.0 Discoïde lupus erythematosus: chronische discoide lupus erythematosus
ICD10 L93.0 Discoid lupus erythematosus: chronic discoid lupus erythematosus
SNOMED 238927000 Chronic discoid lupus erythematosus
DBC 13 spacer Inflammatoire dermatosen

ICD10 L93.0 Discoïde lupus erythematosus: gedissemineerde discoïde lupus erythematosus
ICD10 L93.0 Discoid lupus erythematosus: disseminated discoid lupus erythematosus
SNOMED 403502003 Disseminated discoid lupus erythematosus
DBC 13 spacer Inflammatoire dermatosen

ICD10 L93.0 Discoïde lupus erythematosus: alopecia cicatricialis t.g.v. cutane LE
ICD10 L93.0 Discoid lupus erythematosus: scarring alopecia caused by cutaneous lupus erythematosus
SNOMED 403497000 Discoid lupus erythematosus of scalp
DBC 13 spacer Inflammatoire dermatosen

ICD10 L93.0 Discoïde lupus erythematosus: discoïde lupus erythematodes gelaat
ICD10 L93.0 Discoid lupus erythematosus: discoid lupus erythematosus of face
SNOMED 403498005 Discoid lupus erythematosus of face
DBC 13 spacer Inflammatoire dermatosen

ICD10 L93.0 Discoïde lupus erythematosus: lupus erythematosus-lichen planus overlapsyndroom
ICD10 L93.0 Discoid lupus erythematosus: lichen planus-lupus erythematosus overlap syndrome
SNOMED 238652000 Lichen planus-lupus erythematosus overlap
DBC 13 spacer Inflammatoire dermatosen

ICD10 L93.0 Discoïde lupus erythematosus: lymfomatoide lupus erythematodes
ICD10 L93.0 Discoid lupus erythematosus: lymfomatoid lupus erythematosus
SNOMED 200938002 Discoid lupus erythematosus [specific SNOMED term missing]
DBC 13 spacer Inflammatoire dermatosen

ICD10 L93.1 Subacute cutane lupus erythematosus
ICD10 L93.1 Subacute cutaneous lupus erythematosus
SNOMED 239891002 Subacute cutaneous lupus erythematosus
DBC 13 spacer Inflammatoire dermatosen

ICD10 L93.2 Overige lokale lupus erythematosus
ICD10 L93.2 Other local lupus erythematosus
SNOMED 7119001 Cutaneous lupus erythematosus
DBC 13 spacer Inflammatoire dermatosen

ICD10 L93.2 Overige lokale lupus erythematosus: chilblain lupus
ICD10 L93.2 Other local lupus erythematosus: chilblain lupus
SNOMED 238928005 Chilblain lupus erythematosus
DBC 13 spacer Inflammatoire dermatosen

ICD10 L93.2 Overige lokale lupus erythematosus: nageldystrofie bij lupus erythematosus
ICD10 L93.2 Other local lupus erythematosus: lupus erythematosus-associated nail dystrophy
SNOMED 403513000 Lupus erythematosus-associated nail dystrophy
DBC 13 spacer Inflammatoire dermatosen

ICD10 L93.2 Overige lokale lupus erythematosus: lupus erythematosus tumidus
ICD10 L93.2 Other local lupus erythematosus: lupus erythematosus tumidus
SNOMED 200941006 Lupus erythematosus tumidus
DBC 13 spacer Inflammatoire dermatosen

ICD10 L93.2 Overige lokale lupus erythematosus: lupus erythematosus van de orale mucosa
ICD10 L93.2 Other local lupus erythematosus: lupus erythematosus of oral mucous membrane
SNOMED 707301001 Lupus erythematosus of oral mucous membrane
DBC 13 spacer Inflammatoire dermatosen

ICD10 L93.2 Overige lokale lupus erythematosus: lupus erythematosus en erythema multiforme / TEN-achtig syndroom (Rowell's syndrome)
ICD10 L93.2 Other local lupus erythematosus: lupus erythematosus and erythema multiforme-like syndrome
SNOMED 238926009 Lupus erythematosus and erythema multiforme-like syndrome
DBC 13 spacer Inflammatoire dermatosen

ICD10 L93.2 Overige lokale lupus erythematosus: lupus erythematodes profundus
ICD10 L93.2 Other local lupus erythematosus: lupus erythematodes profundus
SNOMED 15084002 Lupus profundus
DBC 13 spacer Inflammatoire dermatosen

ICD10 L93.2 Overige lokale lupus erythematosus: acute cutane lupus erythematosus
ICD10 L93.2 Other local lupus erythematosus: acute cutaneous lupus erythematosus
SNOMED 838359008 Acute cutaneous lupus erythematosus
DBC 13 spacer Inflammatoire dermatosen

ICD10 L93.2 Overige lokale lupus erythematosus: lupus panniculitis
ICD10 L93.2 Other local lupus erythematosus: lupus panniculitis
SNOMED 239888002 Lupus panniculitis
DBC 13 spacer Inflammatoire dermatosen

ICD10 M32.0 Door geneesmiddel geïnduceerde lupus erythematosus disseminatus [LED]
ICD10 M32.0 Drug-induced systemic lupus erythematosus
SNOMED 201436003 Drug-induced systemic lupus erythematosus
DBC 10 spacer Geneesmiddeleneruptie

ICD10 M32.1 Systemische lupus erythematosus met orgaanlokalisaties of systemische klachten
ICD10 M32.1 Systemic lupus erythematosus with organ or system involvement
SNOMED 239890001 Systemic lupus erythematosus with multisystem involvement
DBC 13 spacer Inflammatoire dermatosen

ICD10 M32.8 Overige vormen van lupus erythematosus disseminatus [LED]
ICD10 M32.8 Other forms of systemic lupus erythematosus
SNOMED 55464009 Systemic lupus erythematosus
DBC 13 spacer Inflammatoire dermatosen

ICD10 M32.8 Overige vormen van lupus erythematosus disseminatus [LED]: juveniele systemische lupus erythematosus
ICD10 M32.8 Other forms of systemic lupus erythematosus: systemic lupus erythematosus of childhood
SNOMED 403488004 Systemic lupus erythematosus of childhood
DBC 13 spacer Inflammatoire dermatosen

ICD10 M32.8 Overige vormen van lupus erythematosus disseminatus [LED]: bulleuze systemische lupus erythematosus
ICD10 M32.8 Other forms of systemic lupus erythematosus: bullous systemic lupus erythematosus
SNOMED 239889005 Bullous systemic lupus erythematosus
DBC 13 spacer Inflammatoire dermatosen

ICD10 M32.8 Overige vormen van lupus erythematosus disseminatus [LED]: vasculitis door lupus erythematosus
ICD10 M32.8 Other forms of systemic lupus erythematosus: vasculitis due to lupus erythematosus
SNOMED 239944008 Lupus vasculitis
DBC 13 spacer Inflammatoire dermatosen

ICD10 M32.8 Overige vormen van lupus erythematosus disseminatus [LED]: vlindervormig erytheem bij systemische lupus erythematosus
ICD10 M32.8 Other forms of systemic lupus erythematosus: rash of systemic lupus erythematosus
SNOMED 95332009 Rash of systemic lupus erythematosus
DBC 13 spacer Inflammatoire dermatosen

ICD10 M32.8 Overige vormen van lupus erythematosus disseminatus [LED]: teleangiëctasieën nagelriem bij SLE
ICD10 M32.8 Other forms of systemic lupus erythematosus: lupus erythematosus-associated nailfold telangiectasia
SNOMED 403508004 Lupus erythematosus-associated nailfold telangiectasia
DBC 13 spacer Inflammatoire dermatosen

ICD10 M32.8 Overige vormen van lupus erythematosus disseminatus [LED]: anetodermie secundair aan lupus erythematosus
ICD10 M32.8 Other forms of systemic lupus erythematosus: lupus erythematosus-associated anetoderma
SNOMED 403503008 Lupus erythematosus-associated anetoderma
DBC 13 spacer Inflammatoire dermatosen

ICD10 M32.8 Overige vormen van lupus erythematosus disseminatus [LED]: SLE / Sjögren overlap syndroom
ICD10 M32.8 Other forms of systemic lupus erythematosus: systemic lupus erythematosus / Sjögren's overlap syndrome
SNOMED 905381000000108 Systemic lupus erythematosus / Sjogren's overlap syndrome
DBC 13 spacer Inflammatoire dermatosen

ICD10 M32.9 Lupus erythematosus disseminatus [LED], niet gespecificeerd
ICD10 M32.9 Systemic lupus erythematosus, unspecified
SNOMED 55464009 Systemic lupus erythematosus
DBC 13 spacer Inflammatoire dermatosen

ICD10 P00.8 Gevolgen voor foetus en pasgeborene door overige gespecificeerde aandoeningen van moeder: neonatale lupus erythematodes
ICD10 P00.8 Fetus and newborn affected by other maternal conditions: neonatal lupus erythematosus
SNOMED 95609003 Neonatal lupus erythematosus
DBC 13 spacer Inflammatoire dermatosen