Annulaire laesies met verheven erythemateuze rand,
centraal genezend, geen schilfering of jeuk. Vooral op hand- en voetruggen,
vingers, tenen, armen (ellebogen), rond gewrichten. Het kan ook voorkomen op
de handpalmen (zeldzaam). Ontstaat vaak op jonge leeftijd, vaker bij vrouwen.
De oorzaak is onbekend. Geassocieerd met diabetes (komt significant vaker voor
bij diabetici, maar diabetes komt niet significant vaker voor bij patiënten
met lokale granuloma annulare). Gaat bij de meeste patiënten vanzelf over binnen
1-2 jaar.
Varianten: erythemateuze vorm (aanvankelijk
vlak, later papuleus), plaquevorm (dd
necrobiosis lipoidica,
elastolytic giant cell granuloma),
subcutane vorm, vooral rond gewrichten (dd: reuma noduli),
perforerende vorm (acrale
granulomen, met ulceratie), en de
gedissemineerde vorm.
DD:
mycose (ringworm),
lichen planus,
necrobiosis lipoidica,
borderline lepra,
erythema elevatum diutinum,
annulaire
sarcoidose,
annulaire lues II,
reuma-noduli,
mucinosis papulosa, en andere
granulomateuze ontstekingen.
![Granuloma annulare (click on photo to enlarge) [source: www.huidziekten.nl] granuloma annulare](../../../images/granuloma-annulare-1z.jpg) |
![Granuloma annulare (click on photo to enlarge) [source: www.huidziekten.nl] granuloma annulare](../../../images/granuloma-annulare-2z.jpg) |
![Granuloma annulare (click on photo to enlarge) [source: www.huidziekten.nl] granuloma annulare](../../../images/granuloma-annulare-3z.jpg) |
| granuloma
annulare |
granuloma
annulare |
granuloma
annulare |
![Granuloma annulare (click on photo to enlarge) [source: www.huidziekten.nl] granuloma annulare](../../../images/granuloma-annulare-4z.jpg) |
![Granuloma annulare (click on photo to enlarge) [source: www.huidziekten.nl] granuloma annulare](../../../images/granuloma-annulare-5z.jpg) |
![Granuloma annulare (click on photo to enlarge) [source: www.huidziekten.nl] granuloma annulare](../../../images/granuloma-annulare-6z.jpg) |
| granuloma
annulare |
granuloma
annulare |
granuloma
annulare |
![Granuloma annulare (click on photo to enlarge) [source: www.huidziekten.nl] granuloma annulare](../../../images/granuloma-annulare-7z.jpg) |
![Granuloma annulare (click on photo to enlarge) [source: www.huidziekten.nl] granuloma annulare](../../../images/granuloma-annulare-8z.jpg) |
![Granuloma annulare (click on photo to enlarge) [source: www.huidziekten.nl] granuloma annulare](../../../images/granuloma-annulare-9z.jpg) |
| granuloma
annulare |
granuloma
annulare |
granuloma
annulare |
![Granuloma annulare (click on photo to enlarge) [source: www.huidziekten.nl] granuloma annulare](../../../images/granuloma-annulare-10z.jpg) |
![Granuloma annulare (click on photo to enlarge) [source: www.huidziekten.nl] granuloma annulare](../../../images/granuloma-annulare-11z.jpg) |
![Granuloma annulare (click on photo to enlarge) [source: www.huidziekten.nl] granuloma annulare](../../../images/granuloma-annulare-12z.jpg) |
| granuloma
annulare |
granuloma
annulare |
granuloma
annulare |
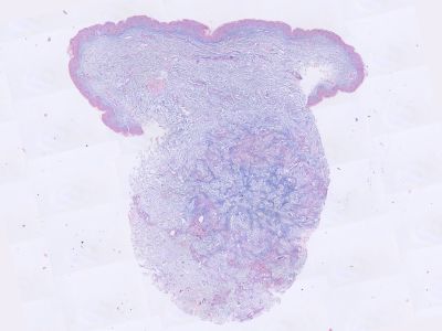
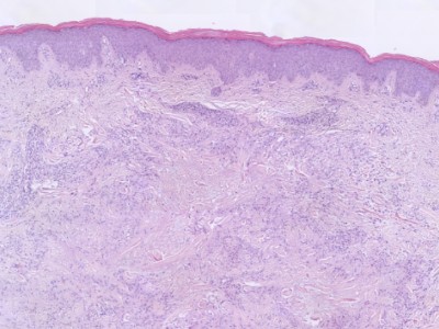
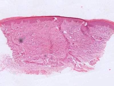
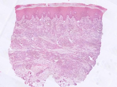
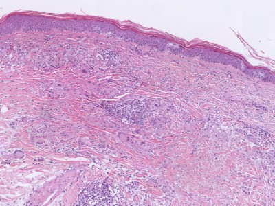
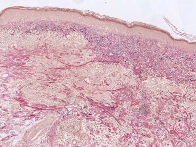
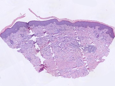
Diagnostiek: in niet-typische gevallen een biopt; eventueel
glucose in urine of bloed.
PA:De epidermis is normaal. In de dermis focale degeneratie van collageen met een reactieve ontsteking en fibrose. Soms meerkernige reuscellen. In de dermis een superficieel en diep perivasculair en interstitieel gelegen ontstekingsinfiltraat. Dit infiltraat is samengesteld uit histiocyten, lymfocyten en plasmacellen. Opvallend is de aanwezigheid van necrobiosis omgeven door een wal van histiocyten en lymfocyten. De necrobiotische zone kleurt aan met Alcian blue.
Therapie:Behandelen met
sterke corticosteroïden of cryotherapie (oppervlakkig bevriezen met vloeibare
stikstof of chloorethylspray). Soms verdwijnt het spontaan na biopsie voor diagnostiek.
Daarom wordt ook 'scarificatietherapie' (krassen, prikken, biopteren) toegepast.
Ook PUVA en UVA-1 is mogelijk.
R/ Dermovate lokaal, onder occlusieve
folies of
hydrocolloïden.
R/ Kenacort-A 10 1:1 (5 mg/ml) intralesionaal, gelijkmatig
verdelen over de lesie.
R/ Interferon γ (Immukine) intralesionaal 250.000
IU per lesie dagelijks gedurende 1 week, dan 3 x per week gedurende 2 weken.
R/ Aldara (imiquimod) crème lokaal 3 x per week.
Referenties
| 1. |
Ilchyshyn A. Granuloma annulare. In Lebwohl
M, Heymann WR, Berth-Jones J, Coulson I. Treatment of skin disease.
Mosby, London, 2002, pp. 247-250. |
| 2. |
Shelley WB, Shelley ED. Advanced Dermatologic
Therapy II. WB Saunders Company. |
| 3. |
Braun-Falco O, Plewig G, Wolff HH, Burgdorf
WHC. Dermatology. Second Edition, Springer, Berlin Heidelberg 2000,
pp. 1387-1389. |
| 4. |
Weiss JM, Muchenberger S, Schopf E, Simon
JC. Treatment of granuloma annulare by local injections with low-dose
recombinant human interferon gamma. J Am Acad Dermatol 1998;39:117-119. |
Author(s):dr. Jan R. Mekkes. Dermatologist, Amsterdam UMC.