PSORIASIS VULGARIS (en topografische varianten: psoriasis capitis, guttata, inversa, unguium) home ICD10: L40.0

Psoriasis vulgaris (gewone psoriasis) is de term voor de klassieke psoriasis, met scherp begrensde verheven erythemato-papulo-squameuze lesies (plaques, papels) van wisselende grootte op de voorkeurslokalisaties (strekzijde elleboog en knie, vaak symmetrisch, stuit boven bilspleet, behaarde hoofd, rond de navel). Onbehandeld zijn de plekken wit en schilferend (kaarsvetfenomeen). Psoriasis kan over het gehele lichaam aanwezig zijn (erytrodermie) en kent topografische varianten en morfologische varianten. Psoriasis komt bij 2-4% v.d. Nederlandse bevolking voor. Het kan op elke leeftijd beginnen, ongeacht of het in de familie voorkomt, en heeft een chronisch karakter. De pathogenese is nog steeds niet geheel opgehelderd. Een verhoogd aantal cellen is in deling en er is abnormale uitrijping van epidermale cellen (hyperkeratose, parakeratose (kaarsvetfenomeen), wisselende acanthose, hoogoplopende dermale papillen (puntbloedinkjes), geen stratum granulosum). Als luxerende factoren worden o.a. genoemd beta- blokkers, ACE-remmers, lithiumcarbonaat, chloroquin, infecties m.n. streptokokken, trauma van de huid (Köbnerfenomeen) en psychosociale stress.

Varianten van psoriasis:
Topografische varianten
behaarde hoofd
bilspleet, navel, liezen
nagels
gehele lichaam
handpalmen en voetzolen
gewrichten
distale vinger en kootje
naam
psoriasis capitis
psoriasis inversa
psoriasis unguium
psoriasis universalis
psoriasis palmoplantaris
psoriasis artropathica
acrodermatitis continua
ICD10 code
L40.8
L40.8
L40.8
L40.8
L40.3
L40.5
L40.2
Morfologische varianten
klassieke, gewone psoriasis
papels
plaques
nummulair
pustels
pustels, gegeneraliseerd
annulair
erytrodermie
niet nader omschreven
naam
psoriasis vulgaris
psoriasis guttata
plaque type psoriasis
nummulaire psoriasis
psoriasis pustulosa
psoriasis pustulosa generalisata
annulaire psoriasis
psoriasis, erythrodermatisch
psoriasis nno
ICD10 code
L40.0
L40.4
L40.0
L40.9
L40.1
L40.1
L40.9
L40.8
L40.9
pustulosis palmoplantaris morbus Andrews-Barber L40.3


Psoriasis vulgaris, gewone psoriasis Psoriasis vulgaris, gewone psoriasis Erytrodermie op basis van psoriasis
psoriasis vulgaris psoriasis vulgaris erytrodermie

Psoriasis capitis (psoriasis van het behaarde hoofd) Psoriasis capitis (psoriasis van het behaarde hoofd) psoriasis pustulosa generalisata
psoriasis capitis psoriasis capitis psoriasis pustulosa

Psoriasis inversa Psoriasis inversa Psoriasis inversa
psoriasis inversa psoriasis inversa psoriasis inversa

Psoriasis guttata Psoriasis guttata Acrodermatitis continua van Hallopeau
psoriasis guttata psoriasis guttata acrodermatitis continua

Nagel psoriasis Nagel psoriasis Nagel psoriasis
nagel psoriasis nagel psoriasis nagel psoriasis


Psoriasis capitis, psoriasis unguium, psoriasis inversa en psoriasis artropathica (of artritis psoriatica) kunnen voorkomen in het kader van een psoriasis vulgaris, maar ook geïsoleerd. Acrodermatitis continua (Hallopeau) komt vaak geïsoleerd voor. De term psoriasis pustulosa palmoplantaris geeft verwarring, het is beter om psoriasis palmoplantaris te gebruiken voor een patiënt met echte bewezen psoriasis aan de handpalmen of voetzolen, en de term pustulosis palmoplantaris (Andrews Barber) voor het typische beeld met pustels van wisselende grootte palmoplantair. De ziekte van Andrews Barber is een aparte entiteit.

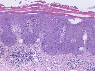
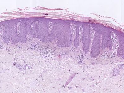
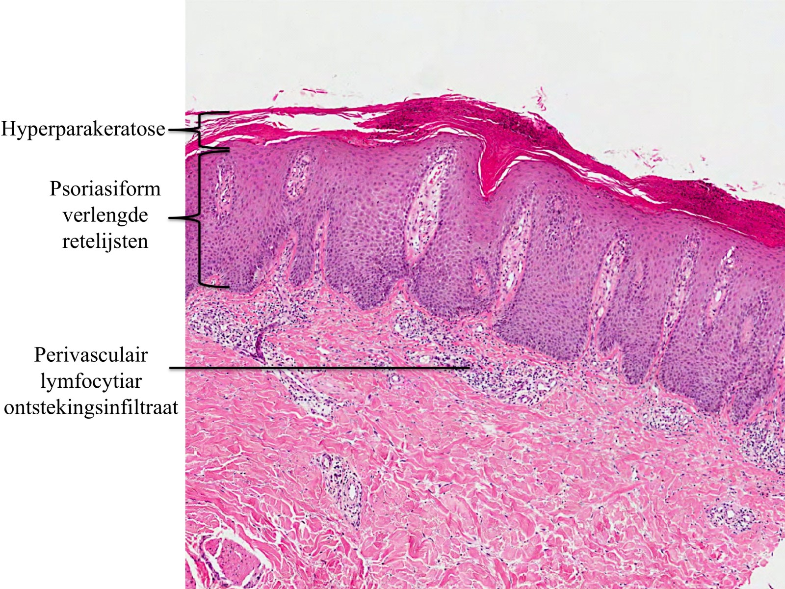
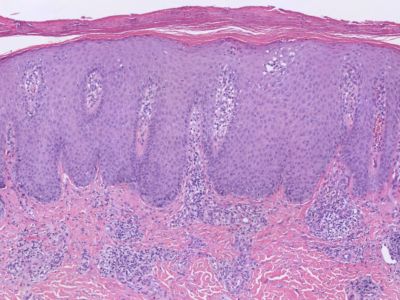
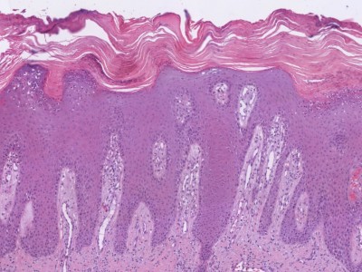
Histologie:
Hyperkeratose, parakeratose (kaarsvetfenomeen), wisselende acanthose, verlengde retelijsten, hoogoplopende dermale papillen (puntbloedinkjes), geen stratum granulosum.

Psoriasis, histologisch beeld Psoriasis, histologisch beeld



Histologie psoriasis Histologie psoriasis
ingescande coupe (zoom) ingescande coupe (zoom)

Histologie psoriasis Histologie psoriasis
ingescande coupe (zoom) ingescande coupe (zoom)

Bron hoge resolutie PA-foto's: Kevin Kwee en Afdeling Pathologie MUMC. Klik op de afbeelding om in te zoomen.


Therapie:
De voorkeur voor een bepaalde therapie wordt mede bepaald door gebruiksvriendelijkheid en bijwerkingsprofiel. In eerste instantie probeert men uit te komen met lokale therapie, tenzij de psoriasis zeer uitgebreid is. Meestal een klasse III-IV corticosteroïd of een combinatie preparaat (Diprosalic, calcipotriol / betamethason). Indien lokale therapie onvoldoende effectief is, of te veel bijwerkingen geeft of te bewerkelijk wordt voor de patiënt, is lichttherapie de volgende stap. Meestal is dat UVB TL-01 (smalspectrum UVB). PUVA is ook een optie, maar kan meer bijwerkingen opleveren vanwege de psoralenen. In het algemeen probeert men niet vaker dan 1 keer per jaar een lichttherapie kuur te geven, om de UV-belasting van de huid te beperken, maar in bijzondere gevallen kan men daar van afwijken. Als ook lichttherapie, al dan niet gecombineerd met dagbehandeling (licht, teer, bad) niet meer helpt dan is systemische therapie de volgende stap. Voor de introductie van de biologicals zijn de conventionele systemische therapieën wel eens in een voorkeursvolgorde gezet op grond van werking en bijwerking. Zowel expert-based als evidence based is die volgorde methotrexaat, ciclosporine, neotigason, fumaarzuur, prednison. Neotigason en fumaarzuur staan op een lagere plaats omdat ze niet bij iedereen even goed werken, maar als ze werken en goed verdragen worden kan men er langdurig mee doorgaan. Prednison wordt liever niet gebruikt omdat het na staken een reboundfenomeen geeft. De laatste jaren is er meer waardering voor fumaarzuur, en in richtlijnen verschijnt fumaarzuur nu als een eerste keuze middel, of gepositioneerd direct na methotrexaat. Een nieuw middel, geen biological maar ook niet behorend tot de groep conventionele therapieën is Otezla (apremilast). De plaats hiervan is nog niet duidelijk. Werkt een bepaalde therapie niet (meer) dan wordt een andere gekozen (het principe van de rotational therapy), in een latere fase kan dezelfde therapie weer wel werken. Indien de conventionele middelen niet werken of teveel bijwerkingen hebben, en de patiënt heeft een plaque type psoriasis van voldoende ernst, dan komen de biologicals in aanmerking. Dit zijn ook de vergoedingscriteria, biologicals zijn zeer dure geneesmiddelen. Patiënten prefereren de biologicals vanwege het gebruiksgemak en de kwaliteit van leven die ze er voor terugkrijgen boven alle andere therapieën. Toch staan de biologicals op de laatste plaats, vanwege de kosten, maar niet alleen daarom. Ze beïnvloeden het immuunsysteem, met enkele consequenties om rekening mee te houden. Van de biologicals was Enbrel (etanercept) (fusieproteïne van TNF receptor en IgG1) het eerste poliklinische middel, waardoor veel patiënten daar mee begonnen zijn, en mee door zijn gegaan zolang het bleef werken. Enbrel veroorzaakt weinig problemen zoals antistofvorming. Remicade (infliximab) en Humira (adalimumab) (beiden anti-TNF-alfa) kwamen daarna, sinds 2009 is ook Stelara (ustekinumab) (anti-IL12, anti-IL23) beschikbaar en sinds 2015 Cosentyx (secukinumab) (anti-IL-17A) en Otezla (apremilast) (fosfodiesterase E4-remmer, remt TNF-α, IL-23, IFN-alpha, en IFN-gamma). In 2016 is ook Taltz (ixekizumab) (anti-IL-17A) toegelaten op de Nederlandse markt. Daarna kwamen Cimzia (certolizumab pegol) (anti-TNF-α), Kyntheum (brodalumab) (anti-IL-17A), Tremfya (guselkumab) (anti-IL-23), Ilumetri (tildrakizumab) (anti-IL-23) en Skyrizi (risankizumab) (anti-IL-23). In 2021 is Bimzelx (bimekizumab) geregistreerd (anti-IL-17A, anti-IL-17F, anti-IL-17AF). In 2024 werd Sotyktu (deucravactinib) toegevoegd aan het assortiment.

De voorkeursvolgorde van de biologicals varieert door de jaren heen, en is afhankelijk van de ervaringen van de dermatologen, maar ook van factoren zoals de vergoedingsstatus, de inkoopprijs en preferentiebeleid. In het begin kregen alle patiënten etanercept. In 2011 werd adalimumab eerste keus omdat dat maar eens in de 14 dagen gegeven hoeft en gemiddeld goedkoper was dan etanercept, en daarna ustekinumab (dat zijn plaats nog moest verdienen). Inmiddels worden veel patiënten die 2 keer per week 50 mg etanercept gebruikten teruggezet naar 2 x per week 25 mg, of 1 keer per week 50 mg. Bij een groot deel van de patiënten (maar helaas niet allemaal) werkt dat even goed, en door deze halvering is de prijs van etanercept weer concurrerend. Ustekinumab in de hoge dosering (90 mg) was prijzig; in 2015 is de prijs verlaagd en kost 90 mg bijna evenveel als 45 mg waardoor het voorschrijven van ustekinumab weer aantrekkelijker werd. Veel patiënten met psoriasis hebben ook overgewicht en hebben de hogere dosering nodig. Sinds 2015 is ook secukinumab (anti IL-17A) beschikbaar, een concurrent van ustekinumab, maar wel duurder. Ustekinumab heeft de voorkeur bij therapie-ontrouw, het hoeft maar eens per 3 maanden te worden gegeven. Infliximab wordt meestal achter de hand gehouden als laatste keuze, omdat patiënten hiervoor opgenomen moeten worden, en omdat er vaker antistofvorming optreedt dan bij adalimumab of etanercept. Als adalimumab niet werkt is het niet waarschijnlijk dat infliximab wel werkt, omdat dit hetzelfde molecuul is. Het kan wel nuttig zijn bij een patiënt met overgewicht: de dosering van 40 mg adalimumab per 2 weken is dan te laag, infliximab wordt per lichaamsgewicht gedoseerd en de dosis kan nog individueel worden verhoogd of het interval verkort. Er zijn inmiddels ook biosimilars van infliximab (Remsima, Inflectra), die aanzienlijk goedkoper kunnen worden ingekocht. Er is sinds 2016 ook een biosimilar van etanercept (Benepali). Globaal werd toen de volgorde adalimumab of etanercept in de lage dosering, ustekinumab, secukinumab, infliximab. Inmiddels zijn er weer nieuwe biologicals bijgekomen (ixekizumab, risankizumab, guselkumab, tildrakizumab, brodalumab, bimekizumab, spesolimab).

Biologicals voor psoriasis zijn vaak ook effectief voor andere inflammatoire aandoeningen zoals reumatoïde artritis, m. Crohn, of hidradenitis suppurativa. Zie het overzicht van de werkzaamheid van biologicals voor verschillende indicaties.


Overzicht therapie bij psoriasis:
Lokale therapie:
corticosteroïden
corticosteroïden + salicylzuur
calcipotriol en calcitriol
corticosteroïden + calcipotriol
teerpreparaten
cignoline
Lichttherapie:
UVB
PUVA
zonlicht
lokale PUVA
Zon en Zee kuren, Dode Zee
(Heliobalneo-thalasso-therapie)
Systemische therapie:
methotrexaat
fumaarzuur
ciclosporine
Neotigason (acitretine)
Otezla (apremilast)
prednison (reboundfenomeen)
Combinaties:
teer + cignoline
retinoïden + PUVA (Re-PUVA)
teer - PUVA (Goeckermann)
teer + baden + PUVA/UVB
(dagbehandeling)
Biologicals:
Bimzelx (bimekizumab)
Cimzia (certolizumab pegol)
Cosentyx (secukinumab)
Enbrel (etanercept)
Humira (adalimumab)
Ilumetri (tildrakizumab)
Kyntheum (brodalumab)
Remicade (infliximab)
Skyrizi (risankizumab)
Sotyktu (deucravactinib)
Spevigo (spesolimab)
Stelara (ustekinumab)
Taltz (ixekizumab)
Tremfya (guselkumab)
Indifferente therapie:
vette zalven
keratolytica (salicylzuur, ureum)
keratolytica behaarde hoofd


Lokale therapie bij psoriasis
Zie ook onder: middelen voor de droge huid; teerpreparaten; middelen voor het behaarde hoofd.

Indifferente therapie:
R/ paraffine-vaseline aa.
R/ Koelzalf zonder rozenolie FNA, 100 g, 500 g.
R/ Lanettezalf FNA (unguentum lanette FNA), 100 g, 500 g.
R/ Cetomacrogolzalf FNA (unguentum cetomacrogolis FNA),100 g, 500 g.

Keratolytische therapie:
R/ salicylzuur 10% of 20% in vaseline.

Losweken van schilfers behaarde hoofd:
R/ 25% cetiol V in (basis pro) cetomacrogolzalf FNA, pot à 250 g.
R/ 25% cetiol V in (basis pro) ung lanette FNA, pot à 250 g.
R/ paraffine capitis lotion, flacon à 250 ml (Fagron nr. 103413).
R/ axungia (adeps suillus, reuzel, varkensvet), pot à 100 of 500 g.
R/ Cetomacrogolsmeersel FNA (linimentum cetomacrogolis), pot à 100 of 500 g.
R/ Lanettesmeersel FNA (linimentum lanette), pot à 100 of 500 g.
R/ Unguentum lanette FNA (vet), tube à 100 g (Fagron nr. 103601).

Corticosteroïden:
R/ Betnelan zalf (betamethasonvaleraat 0.1%), tube à 25 of 30 g.
R/ Diprosone zalf (betamethasondipropionaat 0.05%), tube à 100 g.
R/ Cutivate zalf (fluticasonpropionaat 0.005%), tube à 30 of 100 g.R/ Elocon zalf (mometasonfuroaat 0.1%) (vet wateremulgerende zalf), tube à 30 g
R/ Dermovate zalf (clobetasolpropionaat 0.05%), tube à 30 of 100 g.
R/ Diprolene zalf (betamethasondipropionaat 0.05%), tube à 50 g.

Combinatie preparaten met calcipotriol:
R/ calcipotriol / betamethason gel, flacon à 60 g.
R/ calcipotriol / betamethason zalf, tube à 60 g.

Calcipotriol en calcitriol:
R/ calcipotriol zalf, tube à 30, 60 of 100 g.
R/ calcipotriol lotion, tube à 30, 60 of 100 g.
R/ Silkis zalf (calcitriol zalf), tube à 30 of 100 g.

Corticosteroiden voor het behaarde hoofd:
R/ Locoid (hydrocortison-17-butyraat 0.1%) scalplotion, flacon à 30 of 100 ml.
R/ Locoid crelo, flacon à 30 of 100 g.
R/ Topicorte lotion (o/w emulsie), flacon à 15, 60 of 120 g.
R/ Betnelan scalplotion (vloeistof voor cutaan gebruik) (betamethasonvaleraat 0.1%), flacon à 30 of 100 ml.
R/ Diprosone scalplotion, flacon à 100 ml.
R/ Dermovate (clobetasolpropionaat 0.05%) lotion, flacon à 50 ml.
R/ Clarelux (clobetasolpropionaat 0.05%) schuim, flacon à 100 g.
R/ Clobex (clobetasolpropionaat 0.05%) shampoo, flacon à 125 ml.
R/ calcipotriol / betamethason gel, flacon à 60 g.

Combinatie preparaten met salicylzuur:
R/ Diprosalic zalf
R/ salicylzuur 10% in Dermovate zalf

Teerzalven:
zie onder teerpreparaten.

Teerpreparaten voor het behaarde hoofd:
R/ koolteeroplossing - levomenthol shampoo. Denorex Rx is niet meer leverbaar in Nederland. Alternatieven zijn Denorex Therapeutic Maximum Itch Relief Dandruff Shampoo & Conditioner, verkrijgbaar via Amazon.com en TarMed shampoo, in Duitsland verkrijgbaar.
R/ koolteer (pix lithantracis) 1.5%, triamcinolon 0.1%, salicylzuur 1% in hoofdhuid crème tube à 100 g.
R/ koolteer oplossing (LCD) 20%, in paraffine capitis lotion, tube à 250 ml.
R/ koolteer oplossing (LCD) 10%, salicylzuur 10% in axungia, tube à 30 of 100 g.

Combinatie preparaten met teer:
zie onder teerpreparaten.

Conventionele systemische therapie:
R/ methotrexaat 5-22.5 mg per week + foliumzuur 5 mg 1 dag na de inname van MTX. De gebruikelijke aanvangsdosering is 10-15 mg per week. Het is niet verplicht om eerst een proefdosis te geven. Voor patiënten is er een folder over methotrexaat.
R/ fumaarzuur bestaat als Dimethylfumaraat Psorinovo tabletten (30, 120 of 240 mg) en als Skilarence (dimethylfumaraat 30 of 120 mg). De generieke dimethylfumaraat tabletten 30, 120 en 240 mg van Fagron zijn uit de handel. Skilarence is duurder dan de generieke producten, maar wel geregistreerd voor de indicatie psoriasis. Het voorschrijven van de goedkopere generieke producten is daardoor lastig geworden, apothekers leveren het niet meer en zorgverzekeraars vergoeden het soms niet meer.
De dosering van fumaarzuur moet langzaam volgens een schema worden opgebouwd naar maximaal 3 dd 240 mg. Als het bij een lagere dosis al werkt, niet verhogen. Probeer bij werking de dosis te verlagen. Voor patiënten is er een folder over fumaarzuur met daarin het opbouwschema.
R/ ciclosporine 3-5 mg/kg in 2 dosis. Bijvoorbeeld 2 dd 100 mg of 2 dd 100+25 mg als begin dosering. Voor patiënten is er een folder over ciclosporine.
R/ Neotigason (acitretine). Een relatief lage dosis van 0.3-0.5 mg/kg/dag wordt aanbevolen als startdosis voor psoriasis. Voor een patiënt van 75 kg komt dat neer op 1 dd 25 mg. Na drie tot vier weken wordt de dosis verhoogd of verlaagd, afhankelijk van het effect en de tolerantie. De gemiddelde dosis is 0.5-0.8 mg/kg/dag met een maximum dosering van 1 mg/kg/dag. Voor patiënten is er een folder over acitretine.

Biologicals en overige:
R/ Otezla (apremilast) 2 dd 30 mg. Na een opbouwschema: dag 1: 10 mg, dag 2: 20 mg (2 x 10 mg) dag 3: 30 mg (10 mg + 20 mg), dag 4: 40 mg (20 mg + 20 mg), dag 5: 50 mg (20 mg + 30 mg), daarna 2 dd 30 mg. Voor het opbouwschema is een set met tabletten van 10, 20 en 30 mg beschikbaar.
R/ Enbrel (etanercept) 2 keer per week 25 mg of 1 keer per week 50 mg. De dosis kan eventueel worden verhoogd naar 2 keer per week 50 mg.
R/ Humira (adalimumab) 40 mg om de 2 weken. Voor patiënten met overgewicht kan deze dosering te laag zijn. Er kunnen antistoffen worden gevormd tegen adalimumab, en dit is geassocieerd met een verminderde werking.
R/ Cosentyx (secukinumab) met een oplaadschema van 300 mg (2 spuiten van 150 mg) in week 0,1,2,3, en daarna 300 mg eens in de 4 weken.
R/ Taltz (ixekizumab) 2 x 80 mg in week 0, 80 mg in week 2,4,6,8,10,12, daarna 80 mg per 4 weken.
R/ Stelara (ustekinumab) 45 mg, gevolgd door 45 mg na 4 weken en vervolgens 45 mg elke 12 weken. Bij lichaamsgewicht > 100 kg: 90 mg, gevolgd door 90 mg na 4 weken en vervolgens 90 mg elke 12 weken. Indien na 28 weken nog geen respons is opgetreden, overwegen de behandeling te staken.
R/ Cimzia (certolizumab pegol) 400 mg subcutaan (2 injecties van 200 mg) in week nul, 2 en 4. Onderhoudsdosering 200 mg elke 2 weken. Overweeg bij een onvoldoende respons een dosis van 400 mg om de 2 weken.
R/ Kyntheum (brodalumab) 210 mg subcutaan in week 0, 1 en 2. Daarna: 210 mg 1 x per 2 weken.
R/ Tremfya (guselkumab) 100 mg subcutaan in week 0 en 4, gevolgd door een onderhoudsdosis van 100 mg 1 x per 8 weken.
R/ Ilumetri (tildrakizumab) 100 mg subcutaan in week 0, week 4 en daarna om de 12 weken. Bij bepaalde kenmerken (bv. zware ziektelast, lichaamsgewicht ≥ 90 kg) eventueel 200 mg.
R/ Skyrizi (risankizumab) 150 mg subcutaan (twee injecties van 75 mg) in week 0 en 4, daarna 150 mg 1x per 12 weken.
R/ Remicade, Remsima, Inflectra (infliximab) 5 mg/kg op week 0,2 en 6 en daarna om de 8 weken. Bij onvoldoende effect kan de dosering worden verhoogd of het interval verkort naar 6 weken. Als de werking achteruitgaat kan dat zijn door de vorming van antistoffen. Antistoffen en de concentratie infliximab kan worden bepaald in het bloed. De antistoffen kunnen de werking van infliximab neutraliseren.
R/ Bimzelx (bimekizumab) 320 mg subcutaan (2 injecties van 160 mg) in week 0, 4, 8, 12, 16 en daarna elke 8 weken.
Bij behandeling met bimekizumab en andere anti-IL-17 biologicals (secukinumab, ixekizumab, brodalumab) kan een orale candida ontstaan. Behandeling met lokale miconazol gel of systemische antimycotica kan nodig zijn. De firma UCB heeft daarvoor een flowchart gemaakt (zie PDF bestand).
R/ Spevigo (spesolimab) 450 mg per flacon van 7.5 ml, 900 mg iv éénmalig, zo nodig herhalen na 1 week. Spesolimab is geregistreerd voor acute flares van psoriasis pustulosa generalisata.
R/ Sotyktu (deucravactinib) 1 dd 1 tab à 6 mg.


Biologicals voor psoriasis:
Naam Dosis Kosten per jaar
Benepali (etanercept) 2 x per week 25 mg
2 x per week 50 mg
€   8.226
€ 16.453
Bimzelx (bimekizumab) 320 mg per 8 weken € 18.034
Cimzia (certolizumab pegol) 1 x per 2 weken 200 mg € 15.448
Cosentyx (secukinumab) 300 mg per maand € 19.844
Enbrel (etanercept) 2 x per week 25 mg
2 x per week 50 mg
€ 10.393
€ 17.090
Erelzi (etanercept) 2 x per week 25 mg
2 x per week 50 mg
€ 10.985
€ 19.530
Flixabi (infliximab) 5 mg/kg per 2 maanden € 13.082
Humira (adalimumab) 1 x per 2 weken 40 mg
1 x per week 40 mg
€   9.919
€ 19.838
Ilumetri (tildrakizumab) 1 x per 12 weken 100 mg € 19.615
Inflectra (infliximab) 5 mg/kg per 2 maanden € 13.024
Kyntheum (brodalumab) 1 x per 2 weken 210 mg € 17.913
Otezla (apremilast) 2 dd 30 mg €   8.563
Remicade (infliximab) 5 mg/kg per 2 maanden € 13.143
Remsima (infliximab) 5 mg/kg per 2 maanden € 12.179
Skyrizi (risankizumab) 1 x per 12 weken 150 mg € 19.995
Spevigo (spesolimab)  900 mg iv éénmalig
zo nodig herhalen na 1 wk 
€ 16.500
€ 33.000
Stelara (ustekinumab) 45 mg per 3 maanden
90 mg per 3 maanden
€ 15.844
€ 15.844
Taltz (ixekizumab) 1 x per 4 weken 80 mg € 20.284
Tremfya (guselkumab) 1 x per 8 weken 100 mg € 18.063
Zessly (infliximab) 5 mg/kg per 2 maanden € 13.082
grijs: biosimilars van middelen waarvan het patent verlopen is
Prijzen (inclusief eventuele oplaaddosis) zoals genoemd in het Farmacotherapeutisch Kompas. De werkelijke prijzen kunnen veel lager zijn als gevolg van de onderhandelingen tussen de inkopers van het ziekenhuis en de farmaceutische industrie. Deze prijzen worden meestal niet bekend gemaakt.



patientenfolder  patientenfolder


Referenties
1. NVDV Richtlijn psoriasis 2017
2. NVDV Richtlijn psoriasis 2023 en samenvatting richtlijn psoriasis 2023. Zie ook de online richtlijn psoriasis 2023 op de FMS richtlijnendatabase.


Author(s):
dr. Jan R. Mekkes. Dermatologist, Amsterdam UMC.
Mary-Ann el Sharouni. Co-assistent, UMC Utrecht.
Norbert A. Ipenburg. Co-assistent, UMC Utrecht.
Prof. dr. Marijke R. van Dijk. Patholoog, UMC Utrecht.

30-08-2024 (JRM / MAS / NAI / MRD) - www.huidziekten.nl Terug naar homepagina



Diagnosis codes:
ICD10 L40.0 Psoriasis vulgaris
ICD10 L40.0 Psoriasis vulgaris
SNOMED 200975007 Psoriasis vulgaris
DBC 29 spacer Psoriatiforme dermatosen

ICD10 L40.1 Gegeneraliseerde psoriasis pustulosa
ICD10 L40.1 Generalized pustular psoriasis
SNOMED 38360005 Generalized pustular psoriasis
DBC 20 spacer Psoriatiforme dermatosen

ICD10 L40.1 Gegeneraliseerde psoriasis pustulosa: impetigo herpetiformis
ICD10 L40.1 Generalized pustular psoriasis: impetigo herpetiformis
SNOMED 65539006 Impetigo herpetiformis
DBC 20 spacer Psoriatiforme dermatosen

ICD10 L40.1 Gegeneraliseerde psoriasis pustulosa: psoriasis pustulosa
ICD10 L40.1 Generalized pustular psoriasis: psoriasis pustulosa
SNOMED 200973000 Pustular psoriasis
DBC 20 spacer Psoriatiforme dermatosen

ICD10 L40.2 Acrodermatitis continua
ICD10 L40.2 Acrodermatitis continua
SNOMED 200976008 Acrodermatitis continua
DBC 20 spacer Psoriatiforme dermatosen

ICD10 L40.3 Pustulosis palmaris et plantaris
ICD10 L40.3 Pustulosis palmaris et plantaris
SNOMED 27520001 Pustular psoriasis of palms and sole
DBC 20 spacer Psoriatiforme dermatosen

ICD10 L40.3 Pustulosis palmaris et plantaris: acropustulosis infantum
ICD10 L40.3 Pustulosis palmaris et plantaris: acropustulosis infantum
SNOMED 239098009 Acropustulosis of infancy
DBC 27 spacer Diagnose niet nader omschreven

ICD10 L40.3 Pustulosis palmaris et plantaris: acropustulosis acuta
ICD10 L40.3 Pustulosis palmaris et plantaris: acute acropustulosis (pustular bacterid)
SNOMED 3533007 Pustular bacterid
DBC 27 spacer Diagnose niet nader omschreven

ICD10 L40.4 Psoriasis guttata
ICD10 L40.4 Guttate psoriasis
SNOMED 37042000 Guttate psoriasis
DBC 20 spacer Psoriatiforme dermatosen

ICD10 L40.5 Psoriasis arthropathica
ICD10 L40.5 Arthropathic psoriasis
SNOMED 156370009 Psoriatic arthritis
DBC 20 spacer Psoriatiforme dermatosen

ICD10 L40.8 Overige gespecificeerde vormen van psoriasis: erytrodermie
ICD10 L40.8 Other psoriasis: erythrodermic psoriasis
SNOMED 200977004 Erythrodermic psoriasis
DBC 20 spacer Psoriatiforme dermatosen

ICD10 L40.8 Overige gespecificeerde vormen van psoriasis: nagelpsoriasis
ICD10 L40.8 Other psoriasis: psoriasis of nail
SNOMED 238604005 Psoriasis of nail
DBC 20 spacer Psoriatiforme dermatosen

ICD10 L40.8 Overige gespecificeerde vormen van psoriasis: psoriasis capitis
ICD10 L40.8 Other psoriasis: scalp psoriasis
SNOMED 238608008 Scalp psoriasis
DBC 20 spacer Psoriatiforme dermatosen

ICD10 L40.8 Overige gespecificeerde vormen van psoriasis: psoriasis inversa
ICD10 L40.8 Other psoriasis: flexural psoriasis
SNOMED 238600001 Flexural psoriasis
DBC 20 spacer Psoriatiforme dermatosen

ICD10 L40.8 Overige gespecificeerde vormen van psoriasis: sebopsoriasis
ICD10 L40.8 Other psoriasis: seborrheic psoriasis
SNOMED 25847004 Seborrheic psoriasis
DBC 20 spacer Psoriatiforme dermatosen

ICD10 L40.8 Overige gespecificeerde vormen van psoriasis: gegeneraliseerde psoriasis
ICD10 L40.8 Other psoriasis: generalized psoriasis
SNOMED 200974006 Psoriasis universalis
DBC 20 spacer Psoriatiforme dermatosen

ICD10 L40.8 Overige gespecificeerde vormen van psoriasis: psoriasis palmoplantaris
ICD10 L40.8 Other psoriasis: non-pustular psoriasis of hands and feet
SNOMED 402324006 Non-pustular psoriasis of hands and feet
DBC 20 spacer Psoriatiforme dermatosen

ICD10 L40.9 Psoriasis, niet gespecificeerd
ICD10 L40.9 Psoriasis, unspecified
SNOMED 9014002 Psoriasis
DBC 20 spacer Psoriatiforme dermatosen