Calcinosis cutis is de overkoepelende term voor aandoeningen waarbij
kalkdeposities ontstaan in de huid (cutis en subcutis). Dit verschijnsel kan
bij uiteenlopende aandoeningen ontstaan, voor het overzicht wordt calcinosis
cutis vaak ingedeeld in 5 verschillende subtypes: dystrofisch, metastatisch,
idiopathisch, iatrogeen en calciphylaxis cutis als aparte entiteit.
Calcificatie in dermis of subcutaan vet kan zich manifesteren als harde
noduli of plaques (b.v. bij dermatomyositis of sclerodermie), maar kan ook
uitsluitend op X-foto's zichtbaar zijn.
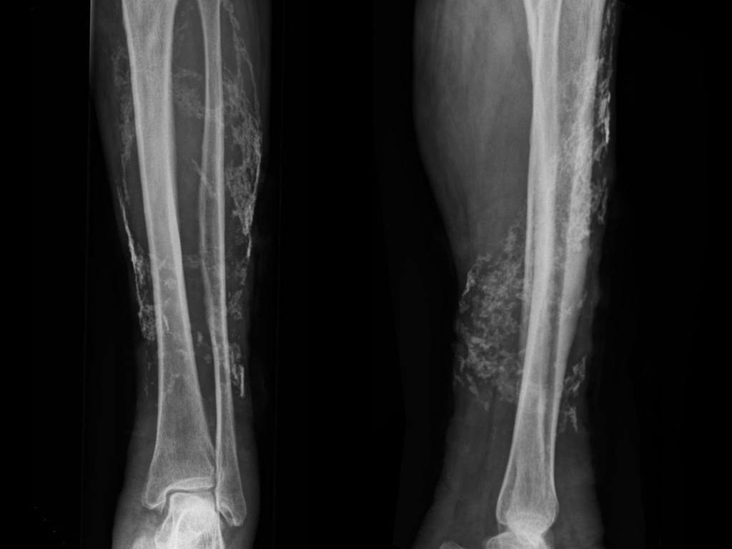
![Calcinosis cutis bij chronische veneuze insufficientie (click on photo to enlarge) [source: www.huidziekten.nl] Calcinosis cutis bij chronische veneuze insufficientie](../../../images/calcinosis-cutis-1z.jpg) |
![Calcinosis cutis bij chronische veneuze insufficientie (click on photo to enlarge) [source: www.huidziekten.nl] Calcinosis cutis bij chronische veneuze insufficientie](../../../images/calcinosis-cutis-2z.jpg) |
![Calcinosis cutis bij chronische veneuze insufficientie (click on photo to enlarge) [source: www.huidziekten.nl] Calcinosis cutis bij chronische veneuze insufficientie](../../../images/calcinosis-cutis-3z.jpg) |
| calcinosis cutis bij CVI |
calcinosis cutis bij CVI |
calcinosis cutis bij CVI |
![Calcinosis cutis bij sclerodermie (click on photo to enlarge) [source: www.huidziekten.nl] Calcinosis cutis bij sclerodermie](../../../images/sclerodermiecalcinosiscutisz.jpg) |
![Pilomatricoma (click on photo to enlarge) [source: www.huidziekten.nl] Pilomatricoma](../../../images/pilomatrixoma-1z.jpg) |
![Pilomatricoma (click on photo to enlarge) [source: www.huidziekten.nl] Pilomatricoma](../../../images/pilomatrixoma-2z.jpg) |
| calcinosis
bij sclerodermie |
pilomatricoma |
pilomatricoma |
| Indeling van calcinosis cutis: |
| dystrophic calcification |
| - |
weefselbeschadiging, vaak door een
inflammatoir proces, met secundaire verkalking |
| - |
calcium en fosfaat spiegels normaal |
|
| metastatic
calcification |
| - |
calciumdeposities bij een gestoord calcium en/of
fosfaat metabolisme |
|
| idiopathic calcification |
| - |
oorzaak onbekend, geen gestoord calcium en/of
fosfaat metabolisme |
| - |
geen aanwijzing voor weefselbeschadiging of
inflammatie als onderliggende oorzaak |
|
| iatrogenic
calcification |
| - |
bij intraveneuze toediening van calciumoplossingen |
| - |
bij levertransplantatie |
|
| calciphylaxis |
| - |
extreme kalkafzetting in de vaten die daardoor
dicht gaan zitten, pijnlijke ulcera |
| - |
bij hyperparathyreoïdie en/of gestoord calcium en
fosfaat metabolisme |
| - |
vaak bij terminale nierinsufficiëntie, en
potentieel fataal |
|
1. Dystrofische calcinosis cutisDit ontstaat secundair aan
beschadigingen in dermis (collageenvezels, elastine vezels) of subcutaan vet
door allerlei aandoeningen zoals bindweefselziekten (
sclerodermie,
CREST
syndroom,
SLE, lupus panniculitis, juveniele
dermatomyositis), pancreatische panniculitis,
panniculitis nno,
subcutane neonatale vetnecrose,
porphyria
cutanea tarda, tumoren (
pilomatricoma,
trichilemmale cysten,
basaalcelcarcinoom),
pseudoxanthoma elasticum,
Ehlers-Danlos syndroom,
Werner syndroom,
Rothmund-Thomson syndroom,
epidermolysis bullosa dystrofica, veneuze insufficiëntie, infecties, en
trauma. De kalkafzettingen bestaan uit calciumfosfaat en hydroxyapatiet
(Ca5(PO4)3OH). Calcium en fosfaat in het bloed zijn niet verhoogd.
Dystrofische calcinosis cutis komt vaak voor bij
systemische sclerose,
vooral (25-40%) bij de limited vorm (CREST). De kalkafzettingen vormen
noduli en plaques, vooral op plaatsen waar traumata voorkomen (onderarmen,
ellebogen, vingers) en kunnen ulcereren of ontsteken. Het lichaam probeert
de kalk er uit te werken. Bij localized scleroderma (morphea) is het
zeldzaam. Bij
dermatomyositis wordt calcinosis gezien bij
20-30% van de
volwassenen en 30-70% van de kinderen. Meestal in de vorm van subcutane geel
witte noduli, soms grote tumoren, deposities in spieren, of uitgebreide
botuitstulpingen (zie onder
calcinosis cutis bij
dermatomyositis). Bij
SLE komt het vaak voor op de billen. Bij
porphyria
cutanea tarda ontstaan calcificaties op het hoofd, in de nek en op de
handruggen. Bij
pseudoxanthoma elasticum in de huid, hart en vaten, ogen en
in de tractus digestivus. Bij het
Werner syndroom (progeria,
scleroderma-achtige huidveranderingen, hypogonadisme) kunnen verkalkingen
optreden in pezen en weke delen, vooral rond gewrichten. Bij
Ehlers-Danlos
syndroom ontstaan subcutane calcificaties en pseudotumoren die secundair
kunnen verkalken. De bekendste
tumoren die die secundair kunnen verkalken
zijn pilomatricomen (epithelioma calcificans van Malherbe; vooral bij
kinderen), trichilemmale cysten, desmoplastisch trichoepithelioma en
basaalcelcarcinomen. Allerlei vormen van panniculitis (pancreatic
panniculitis, lupus panniculitis, lupus profundus, panniculitis nno) kunnen
secundair verkalken.
Lupus panniculitis is meestal gelokaliseerd aan de
extremiteiten (laterale bovenarmen, dijen), of op de billen. Dystrofische
calcinosis cutis treedt ook op op plaatsen waar een
trauma is geweest (rond
fracturen, kneuzingen, injectieplaatsen,
hielprik bij neonaten, littekens, keloïden,
acne-littekens, brandwonden, etc.). Na
parasitaire infecties wordt het soms
ook gezien (onchocerciasis, cysticercosis).
2.
Metastatische calcinosis cutisMetastatische calcificaties ontstaan bij
een verhoogd calcium of fosfaat gehalte in het bloed (hyperfosfatemie en/of
hypercalciëmie). Hyperfosfatemie wordt vooral gezien bij nierinsufficiëntie
en kan gepaard gaan met nodulaire deposities rond de grote gewrichten. Dit
wordt ook wel
benign nodular calcification genoemd (calcificatie van cutis
en subcutis zonder ulceratie en necrose). Metastatische calcificatie wordt
ook gezien bij het
milk alkali syndroom (hypercalciëmie, nierstenen,
nierparenchym verkalkingen, metabole alkalose, treedt op bij combinatie van
lichte nierfunctiestoornis en veel melk en antacida-gebruik), bij
hypervitaminosis D (door overmatige inname vitamine D), bij
interne ziekten
zoals
sarcoïdose,
multiple myeloma, leukemie, lymfomen, en bij
hyperparathyreoïdie
(hypercalciëmie, maar hypofosfatemie door verlies via nieren, geeft
eigenlijk alleen calcificaties indien ook nierfunctiestoornis optreedt).
3. Idiopathische calcinosis cutisDit wordt gedefinieerd als
kalkafzettingen zonder dat er sprake is van een uitlokkend moment of een
stoornis in het calcium of fosfaat metabolisme. Hiertoe behoren o.a.
tumoral
calcinosis (kalkafzettingen rond de gewrichten e.c.i. bij gezonde jong
volwassenen),
subepidermal calcified nodules (harde witgele papels op hoofd
en extremiteiten, vooral bij kinderen, zie
betreffende pagina),
scrotal calcinosis (subcutane noduli in het
scrotum, mogelijk secundair verkalkte epidermale cysten), en
milia-like
idiopathic calcinosis cutis bij Down syndroom (zie
betreffende pagina).
4. Iatrogene calcinosis cutis
Calcium deposities ten gevolge van medisch handelen, bijvoorbeeld na infusen
met calciumoplossingen, vooral als het infuus naast het vat heeft gelopen.
Ook door electrodengel met calciumchloride. En na levertransplantatie.
5. CalciphylaxisCalciphylaxis is een extreme kalkafzetting in de
kleine bloedvaten leidend tot occlusie, ischemie en infarcten van de huid of
andere organen (hart, darmen). Het wordt vooral gezien bij
hyperparathyreoïdie in het kader van terminale nierinsufficiëntie, maar er
bestaat ook een atypische variant. Zie verder onder
calciphylaxis cutis en
atypical calciphylaxis.
OsteosisOp het
voorhoofd kunnen
multipele miliaire osteomen(multiple miliary osteoma cutis, MMOC)
ontstaan. Dit is zeldzaam, het zijn kleine ectopische botdeposities in de
huid. Het komt vooral voor op middelbare leeftijd, en vooral in het gelaat
(voorhoofd, wangen). Het is een vorm van
osteosis of
osteoma cutis (ectopische / heterotope botvorming in de huid). Er
bestaan verschillende deels genetische syndromen met osteosis cutis, zoals
fibrodysplasia ossificans progressiva (FOP, ACVR1 mutatie), progressive
osseous heteroplasia (POH, GNAS mutatie), Albright hereditary osteodystrophy
(AHO, GNAS mutatie), plate-like osteoma (PLOC, GNAS mutatie), myositis
ossificans, en multiple miliary osteoma cutis (MMOC, oorzaak onbekend). Het
verschil tussen osteosis en calcinosis is dat er bij osteosis een echte
botstructuur wordt gevormd, en bij calcinosis cutis alleen amorfe
afzettingen van kalk kristallen.
Onderzoek:X-foto's, Ca,
fosfaat, bij stoornis Ca en fosfaat uitscheiding in urine, zonodig PTH,
eventueel vitamine D. Soms een biopt (kan slecht genezen of grote ulceratie
veroorzaken).
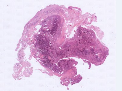
![Histologie tumorale calcinosis van de hand (click on photo to enlarge) [source: Kevin Kwee / Afdeling Pathologie MUMC] Histologie tumorale calcinosis van de hand](../../../pacoupes/thumbnails/tumorale-calcinosis-hand.jpg) |
|
ingescande coupe (zoom) |
Bron
hoge resolutie PA-foto's: Kevin Kwee en Afdeling Pathologie MUMC. Klik
op de afbeelding om in te zoomen.
Therapie:Afhankelijk van oorzaak,
bij uremie b.v. calcium intake verminderen, dialyse, aluminiumhydroxide gel.
Bij sclerodermie moeten soms hinderlijke subepidermale verkalkingen
verwijderd worden. Chronische veneuze e.a. ulcera kunnen niet genezen door
kalkfragmenten, excisie is nodig. Hyperbare zuurstoftherapie (bij
calciphylaxis cutis).

Chirurgische excisie.

CO2 laser.

Shock wave
lithotripsy (net als bij nierstenen behandeling).
R/ bisfosfonaten:
Fosamax (alendroninezuur) 1 dd 10 mg of 70 mg per week.
R/
aluminiumhydroxide 3 dd 600 mg.
R/
natriumthiosulfaat 10% crème, 1 dd aanbrengen.
R/ natriumthiosulfaat i.v.
20 mg/dag (kinderen 10 mg) gedurende 5 dagen van de maand, 6 maanden lang.
R/ natriumthiosulfaat intralesionaal 1-3 g per week (experimenteel).
R/ Mimpara (cinacalcet) 1 dd 30 mg,
zonodig langzaam verhogen naar maximaal 2 dd 90 mg. Bij hyperparathyreoïdie.
R/ Tildiem (diltiazem) 2-4 mg/kg/dag.
R/ minocycline 1 dd 50-100 mg.
R/ Ceftriaxon 2 g per dag i.v. gedurende 20 dagen.
R/ intralesionale
corticosteroïden.
R/ intraveneuze immunoglobulinen 2 g per dag 4 dagen
per maand. Zie onder
IvIg.
R/ Sintrom (acenocoumarol) op geleide van de INR. Sintrom kan
atypische calciphylaxis induceren in zeldzame gevallen.
R/ probenecide 2 dd 250-500 mg, zonodig verhogen tot 2 dd 1000 mg.
R/ colchicine 2 dd
0.5 mg.
Referenties
| 1. |
Reiter N, El-Shabrawi L, Leinweber B, Berghold
A, Aberer E. Calcinosis cutis: part I. Diagnostic pathway. J Am Acad
Dermatol 2011;65(1):1-12.
PDF |
| 2. |
Reiter N, El-Shabrawi L, Leinweber B, Berghold A,
Aberer E. Calcinosis cutis: part II. Treatment options. J Am Acad Dermatol
2011;65(1):15-22.
PDF |
| 3. |
Wang WJ, Lo WL, Wong CK. Calcinosis cutis in
juvenile dermatomyositis: remarkable response to aluminum hydroxide therapy.
Arch Dermatol 1988;124:1721-1722. |
| 4. |
Robertson LP, Marshall RW,
Hickling P. Treatment of cutaneous calcinosis in limited systemic sclerosis
with minocycline. Ann Rheum Dis 2003;62:267-269. |
| 5. |
Buchowski
JM, Ahn NU, Ahn UM, McCarthy EF, Mehta MB. Disproportionately severe
calcinosis cutis in an 88-year-old patient with CREST syndrome. Skeletal
Radiol 2001;30:478-481. |
| 6. |
Eddy MC, Leelawattana R, McAlister
WH, Whyte MP. Calcinosis universalis complicating juvenile dermatomyositis:
resolution during probenecid therapy. J Clin Endocrinol Metab
1997;82:3536-3542. |
| 7. |
Ichiki Y, Akiyama T, Shimozawa N, Suzuki
Y, Kondo N, Kitajima Y. An extremely severe case of cutaneous calcinosis
with juvenile dermatomyositis, and successful treatment with diltiazem. Br J
Dermatol 2001;144:894-897. |
| 8. |
Park YM, Lee SJ, Kang H, Cho SH.
Large subcutaneous calcification in systemic lupus erythematosus: treatment
with oral aluminum hydroxide administration followed by surgical excision. J
Korean Med Sci 1999;14: 589-582. |
| 9. |
Federico A, Weinel S, Fabre
V, Callen JP. Dystrophic calcinosis cutis in pseudoxanthoma elasticum. J Am
Acad Dermatol 2008;58:707-710. |
| 10. |
Leone A, Costantini AM, Brigida R,
Antoniol OM, Antonelli-Incalzi R, Bonomo L. Soft-tissue mineralization in
Werner syndrome. Skeletal Radiol 2005;34:47-51. |
| 11. |
Strumıa R,
Lombardi AR, Bedani PL, Perini L. Benign nodular calcification and
calciphylaxis in a haemodialysed patient. J Eur Acad Dermatol Venereol
1998;11:69-71. |
| 12. |
Boulman N, Slobodin G, Rozenbaum M, Rosner I.
Calcinosis in rheumatic diseases. Semin Arthritis Rheum 2005;34:805-812. |
| 13. |
Meissner M, Varwig D, Beier C, Jacobi V, Kaufmann R, Gille J.
Dystrophic calcinosis cutis after subcutaneous administration of
para-aminosalicylic acid for treatment of pulmonary tuberculosis. J Dtsch
Dermatol Ges 2006;4:489-491. |
| 14. |
Lateo S, Charlton F, Hudson M,
Lawrence CM. Cutaneous calcification following liver transplantation. Clin
Exp Dermatol 2005;30:484-486. |
| 15. |
Delgado-Márquez AM, Carmona M,
Vanaclocha F, Postigo C. Eficacia del tratamiento con ondas de choque en las
úlceras por calcinosis distrófica. Actas Dermosifiliogr 2015;106:140-143. |
| 16. |
Oh DH, Eulau D, Tokugawa DA, McGuire JS, Kohler S. Five cases of
calciphylaxis and a review of the literature. J Am Acad Dermatol
1999;40:979-987. |
| 17. |
López-Sundh AE, Quintana-Sancho A, Durán-Vian C, Reguero-DelCura L, Corrales-Martínez AF, Gómez-Fernández C, González-López MA. Clinical and ultrasound response to intralesional sodium thiosulfate for the treatment of calcinosis cutis in the setting of systemic sclerosis. A case-based review. Clin Rheumatol 2021;40(7):2985-2989. |
| 18. |
Del Barrio-Díaz P, Moll-Manzur C,
Álvarez-Veliz S, Vera-Kellet C. Topical sodium metabisulfite for the
treatment of calcinosis cutis: a promising new therapy. Br J
Dermatol. 2016 Sep;175(3):608-611. |
Author(s):dr. Jan R. Mekkes. Dermatologist, Amsterdam UMC.