Lichen planus is een benigne inflammatoire aandoening van de
huid en de orale en genitale slijmvliezen (mucosale lichen planus) met onbekende
etiologie. Kan op elke leeftijd voorkomen, maar vooral tussen 25-70 jaar, vrijwel
nooit bij kinderen. Het is moeilijk te behandelen, de diverse therapieën onderdrukken
alleen de symptomen en kunnen bijwerkingen hebben. De meest gebruikelijke therapie
is lokale corticosteroïden klasse IV of III.
Klinisch beeld:
Jeukende, vlakke glanzende polygonale papels, miliair tot lenticulair groot,
rood tot roodpaars, met aan het oppervlak een netwerk van fijn vertakte wittige
streepjes (Wickhamse striae) die zichtbaar worden na insmeren met paraffine/olie.
Kunnen overal op de huid voorkomen, soms geïsoleerd, soms gegeneraliseerd, maar
neigen tot annulaire groepering op voorkeursplaatsen: buigzijden van polsen
en onderarmen, nek, sacraalstreek, genitaliën (scrotum, penis), enkels, onderrug.
Soms pijnlijk, vooral mucosale lichen planus. Er bestaan lineaire, annulaire,
palmoplantaire, bulleuze, hypertrofische (verruceuze), erosieve en ulcererende
varianten van lichen planus. Een aparte vorm is
lichen planus actinica. Ook de
nagels en de
haren kunnen
aangedaan zijn, zie onder
lichen planus nagels,
en onder
lichen planopilaris. De haren
kunnen volledig uitvallen. Het
Köbner fenomeen
komt voor d.w.z. aspecifieke prikkel op gezonde huid veroorzaakt ter plekke
de dermatose. Prikkels: krabben, schaafwonden, tatoeage, injecties, verbranding,
frostbite. Slijmvliesafwijkingen in de mondholte bij 60-70% v.d. patiënten,
vooral buccaal t.h.v. de occlusie. Parelmoerachtige, opalescerende witte guirlande
vormige laesies, soms vlakke witte papels met streepvormige figuren.
Mucosale lichen planus treft vooral de mondholte maar ook
de lip, vagina, penis en soms slokdarm, perianaal, conjunctiva en neusslijmvlies.
Bij mucosale LP is er een licht verhoogd risico op ontstaan van plaveiselcelcarcinoom.
Bij 10% v.d. patiënten zijn de nagels aangetast: lengte streping, longitudinale
groeven, pterygium, hyperkeratose, putjes, grauwbruine verkleuring, dystrofie,
dunner worden van de nagels, splijting aan het distale einde, proximale bolling.
Vaak livide zwelling peri-unguale gebied. Zie verder onder
lichen planus van de nagel en onder
nagelafwijkingen.
![Lichen planus (click on photo to enlarge) [source: www.huidziekten.nl] Lichen planus](../../../images/lichen-planus-1z.jpg) |
![Lichen planus (click on photo to enlarge) [source: www.huidziekten.nl] Lichen planus](../../../images/lichen-planus-2z.jpg) |
![Lichen planus (click on photo to enlarge) [source: www.huidziekten.nl] Lichen planus](../../../images/lichen-planus-3z.jpg) |
| lichen
planus |
lichen
planus |
lichen
planus |
![Lichen planus (click on photo to enlarge) [source: www.huidziekten.nl] Lichen planus](../../../images/lichen-planus-4z.jpg) |
![Annulaire lichen planus (click on photo to enlarge) [source: www.huidziekten.nl] Annulaire lichen planus](../../../images/lichen-planus-annulair-1z.jpg) |
![Annulaire lichen planus (click on photo to enlarge) [source: www.huidziekten.nl] Annulaire lichen planus](../../../images/lichen-planus-annulair-2z.jpg) |
| lichen
planus |
annulaire
lichen planus |
annulaire
lichen planus |
![Annulaire lichen planus (click on photo to enlarge) [source: www.huidziekten.nl] Annulaire lichen planus](../../../images/lichen-planus-annulair-3z.jpg) |
![Annulaire lichen planus (click on photo to enlarge) [source: www.huidziekten.nl] Annulaire lichen planus](../../../images/lichen-planus-annulair-4z.jpg) |
![Lineaire lichen planus (click on photo to enlarge) [source: www.huidziekten.nl] Lineaire lichen planus](../../../images/lichen-planus-lineair-1z.jpg) |
| annulaire
lichen planus |
annulaire
lichen planus |
lineaire
lichen planus |
![Lineaire lichen planus (click on photo to enlarge) [source: www.huidziekten.nl] Lineaire lichen planus](../../../images/lichen-planus-lineair-2z.jpg) |
![Lineaire lichen planus (click on photo to enlarge) [source: www.huidziekten.nl] Lineaire lichen planus](../../../images/lichen-planus-lineair-3z.jpg) |
![Lineaire lichen planus (click on photo to enlarge) [source: www.huidziekten.nl] Lineaire lichen planus](../../../images/lichen-planus-lineair-4z.jpg) |
| lineaire
lichen planus |
lineaire
lichen planus |
lineaire
lichen planus |
![Lichen planus hypertrofica (click on photo to enlarge) [source: www.huidziekten.nl] Lichen planus hypertrofica](../../../images/lichen-planus-hypertrophica-1z.jpg) |
![Lichen planus hypertrofica (click on photo to enlarge) [source: www.huidziekten.nl] Lichen planus hypertrofica](../../../images/lichen-planus-hypertrophica-2z.jpg) |
![Lichen planus hypertrofica (click on photo to enlarge) [source: www.huidziekten.nl] Lichen planus hypertrofica](../../../images/lichen-planus-hypertrophica-3z.jpg) |
| lichen
planus hypertrofica |
lichen
planus hypertrofica |
lichen
planus hypertrofica |
![Lichen planus hypertrofica (click on photo to enlarge) [source: www.huidziekten.nl] Lichen planus hypertrofica](../../../images/lichen-planus-hypertrophica-4z.jpg) |
![Lichen planus nagels (click on photo to enlarge) [source: www.huidziekten.nl] Lichen planus nagels](../../../images/lichen-planus-nagels-1z.jpg) |
![Lichen planus nagels (click on photo to enlarge) [source: www.huidziekten.nl] Lichen planus nagels](../../../images/lichen-planus-nagels-2z.jpg) |
| lichen
planus hypertrofica |
lichen
planus nagels |
lichen
planus nagels |
![Lichen planus nagels (click on photo to enlarge) [source: www.huidziekten.nl] Lichen planus nagels](../../../images/lichen-planus-nagels-3z.jpg) |
![Lichen planus nagels (click on photo to enlarge) [source: www.huidziekten.nl] Lichen planus nagels](../../../images/lichen-planus-nagels-4z.jpg) |
![Lichen planus ulcera (click on photo to enlarge) [source: www.huidziekten.nl] Lichen planus ulcera](../../../images/lichen-planus-ulcera-1z.jpg) |
| lichen
planus nagels |
lichen
planus nagels |
lichen
planus ulcererend |
Etiologie:De oorzaak is onbekend. Histologisch
is er een lymfocytair infiltraat waarbij cytotoxische T-lymfocyten aangrijpen
op de epidermis. Een
auto-immuungenese wordt vermoed
vanwege het soms geassocieerd voorkomen met andere auto-immuunziekten (schildklierziekten,
rheumatoïde arthritis, vitiligo, coeliakie, inflammatory bowel disease (IBD),
primaire biliaire cirrhose, alopecia areata en SLE). Soms is er een
genetische predispositie (genitale LP is sporadisch familiair
beschreven).
Stress wordt genoemd als uitlokkende
factor maar de relatie kan ook andersom zijn. Ook een reactie op
allergenen (contactallergenen, superantigenen) of op
bacteriën of
virussen (Helicobacter
pylori, Hepatitis C) wordt genoemd, evenals
geneesmiddelenreacties
(drug-induced lichen planus). Geneesmiddelen die gerelateerd worden aan drug-induced
lichen planus zijn o.a. NSAID's, ACE-remmers, beta-blokkers, quininen, methyldopa,
en
nivolumab.
Het is moeilijk om de relatie te bewijzen. Geneesmiddelen kunnen ook een
lichenoide geneesmiddel reactie veroorzaken
die lijkt op lichen planus. Dit is o.a. beschreven bij bovenstaande middelen
en bij tetracyclines, furosemide, hydrochloorthiazide, allopurinol, etanercept,
hepatitis B en influenza vaccins, goud en organische mercuro-verbindingen, fenothiazine
derivaten, isoniazide, tolbutamide.
In bepaalde landen (Japan, VS, rond de
Middellandse Zee) rapporteerden onderzoekers een mogelijke associatie tussen
orale lichen planus en hepatitis-C infectie, chronische hepatitis C en primaire
biliare cirrose. Deze associatie kon in de Nederlandse en Europese populatie
niet worden teruggevonden. Orale lichen planus en overige orale lichenoide laesies
kunnen een reactie zijn op tandheelkundige restauratiematerialen zoals amalgaam,
composiet, cobalt en goud. Dat kan een
contactallergie
zijn (zeldzaam) maar ook irritatie of mechanische beschadiging van het slijmvlies
door de vullingen of scherpe randen waarbij via het Köbnerfenomeen lichen planus
ontstaat.
Prognose: chronische aandoening, 25% geneest
in halfjaar, 75% binnen 1 jaar, 90% binnen 2 jaar.
DD:
lichen simplex chronicus,
lichen striatus,
verruca planae,
verruca vulgaris,
mollusca contagiosa,
lichen nitidus, lichenoide geneesmiddelen eruptie,
drug-induced lichen planus,
lichen planus
actinica,
porokeratosis.
| Klinische varianten: |
- lichen planus klassieke cutane vorm (polygonale papels en
plaques) - lichen planus cutane varianten: lineaire, annulaire,
bulleuze, hypertrofische (verruceuze), atrofische, erosieve en ulcererende
varianten van lichen planus: - lichen planus linearis - lichen
planus annularis - lichen ruber verrucosis (hypertrofische lichen
planus): komt vooral voor aan de onderbenen en geeft hevige jeuk
(hyperkeratose en papillomatose) - lichen planus bullosa, lichen
ruber bullosis: lijkt soms op pemphigus (subepidermale splijting)
- lichen ruber atrophicus, uitgebreide atrofieën (epidermis vlak
en smal) - lichen planus als
Köbner fenomeen in littekens,
tatouages, en andere huidbeschadigingen - palmoplantaire lichen
planus - lichen planus mucosae (mondholte,
lippen, vagina, penis, anaal en perianaal, oesofagus, neusslijmvlies)
- lichen planus nagels
- lichen planopilaris (klassieke
lichen planopilaris, frontal fibrosing alopecia, Lassueur Graham-Little
Piccardi syndrome en lichen planopilaris romp) - lichen planus
actinica (lichen planus tropica), zon-geïnduceerd, vaak in het gelaat
(zie onder lichen planus actinicus)
- lichen nitidus, kleine glanzende
vlakke bleke-huidkleurige papels in grote aantallen, conflueren
niet, vooral op romp, buigzijde onderarmen, penis; wordt
door sommigen beschouwd als variant van lichen planus, en door anderen
als een aparte entiteit - lichen planus overlapsyndromen: lupus-erythematodes-lichen-planus
overlapsyndroom (LE-LP), en LP-bulleus pemphigoid (LP
pemphigoides) - lichen planus bij kinderen: is heel zeldzaam
en wordt vaak niet herkend; verder identiek aan lichen planus bij
volwassenen |
![Lichen planus nagels (click on photo to enlarge) [source: www.huidziekten.nl] Lichen planus nagels](../../../images/lichen-planus-kobner-1z.jpg) |
![Lichen planus nagels (click on photo to enlarge) [source: www.huidziekten.nl] Lichen planus nagels](../../../images/lichen-planus-kobner-2z.jpg) |
![Lichen planus nagels (click on photo to enlarge) [source: www.huidziekten.nl] Lichen planus nagels](../../../images/lichen-planus-kobner-3z.jpg) |
| lichen
planus Köbner |
lichen
planus Köbner |
lichen
planus Köbner |
Diagnostiek:- Zonodig biopt
- In risico groepen
(discutabel) eventueel onderzoek naar geassocieerde hepatitis B en C infectie
(hepatitis B en C serologie (anti-HBS, anti-HB core, anti-HCV) en leverenzymen)
- Geneesmiddel gebruik inventariseren
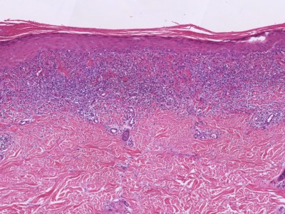
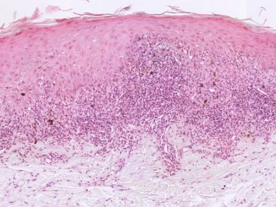
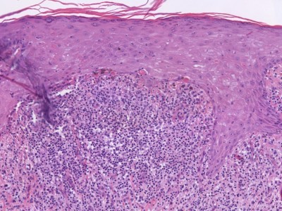
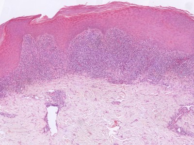
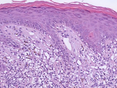
PA:
In de epidermis is het stratum corneum licht en stratum granulosum irregulair
verdikt. Het stratum spinosum toont irregulaire acanthose; de epidermale papillen
lopen spits van onder uit en vormen een kartelrand (koepels, zaagtandvormig).
Het stratum basale is onduidelijk begrensd door vanuit de cutis binnengedrongen
lymfocytair infiltraat; er is pigmentverlies. In latere stadia treedt degeneratie
op, met vorming van kleine holten en wordt de basale laag door platte cellen
vervangen. De cutis toont een min of meer bandvormig infiltraat, dat tussen
de onderste epidermiscellagen dringt en bestaat uit lymfocyten en histiocyten.
Dit infiltraat, dat in het begin soms kenmerken heeft van lichen nitidus, bevat
in latere fase vaak veel melanofagen. In alle gevallen ziet men de z.g. hyaliene
en/of colloïde lichaampjes, eosinofiele PAS-positieve vormsels, vooral onder
de epidermis en oppervlakkig in de cutis. Zij zijn ongeveer celgroot.
Therapie lokaal:R/ corticosteroïden locaal klasse
III-IV 2 dd gedurende 2-3 weken (eventueel onder plastic occlusie).
R/ intralesionale
corticosteroïden bij laesies met beperkte omvang en bij hypertrofische lichen
planus. Injecties of dermojet.
R/ lokale antipruriginosa en systemische antihistaminica
bij veel jeuk.

Cryotherapie. Matig resultaat, littekenvorming, wordt niet
aangeraden.

CO2-laser. Matig resultaat, littekenvorming, wordt niet aangeraden.
Therapie systemisch:R/ systemische corticosteroïden
(prednison stootkuur 40-40-35-35-30-30-25-25-20-20-15-15-10-10-0 mg.).
Print schema uit voor patiënt.
R/ prednison tabletten 5 mg, 70 stuks.
S/ dag 1 en dag 2: 40 mg (8 tab), dag 3 en 4: 35 mg (7 tab) etc. elke 2 dagen
1 tablet minder.
R/ UVB TL-01 of breedband, PUVA therapie.
R/ Neotigason
(acitretine) 30 mg dd, of isotretinoïne 2 dd 10 mg.
R/ Neoral (ciclosporine)
3-5 mg/kg.
R/ Plaquenil (hydrochloroquine) 1 dd 200-400 mg.
R/ methotrexaat
1 keer per week 7.5-15 mg + foliumzuur 5 mg de dag erna.
R/ metronidazol
2 dd 500 mg gedurende 3 weken - 2 maanden.
Therapie overig:
NB: vele opties worden genoemd maar de evidence is niet zo goed en omdat lichen
planus spontaan kan verdwijnen zijn alleen randomized controlled trials betrouwbaar.
Terughoudendheid is gewenst gezien de kans op spontaan herstel en de bijwerkingen
van therapie. Gesuggereerd worden antibiotica (co-trimoxazol, tetracycline,
doxycycline, metronidazol), antimycotica (itraconazol, griseofulvine), mycofenolaatmofetil
en azathioprine, interferon, thalidomide, UVA-1, fumaarzuur, isoniacide, Clexane
(enoxaparine) en PDT. De tetracyclinen en ook metronidazol hebben een anti-inflammatoire
werking. Metronidazol wordt genoemd in het evidence based dermatology boek van
Lebwohl maar de evidence is zeer zwak. Er is in 2013 een richtlijn van de NVDV
verschenen over lichen planus. Maar omdat er vrijwel geen dubbelblind onderzoek
is verricht naar lichen planus (alleen oude case series en case reports) komen
daar geen andere therapie-opties uit naar voren dan bovenstaande bekende rijtjes.
Therapie lichen planus nagels:R/ lokale corticosteroïden
klasse III-IV, 1-2 dd, eventueel onder occlusie.
R/ intralesionale corticosteroïden
(Kenacort 10) 1 keer per 6-8 weken injecteren gedurende 6 maanden. Verdeel met
een fijne naald (b.v. met een 0.5 ml diabetes spuitje) 0.1-0.15 ml over 3 plekken
in de nagelwal, op circa 5-8 mm van de nagelriem, en diep, dichtbij en net boven
de proximale nagelmatrix. Pijnlijke behandeling. Kenacort 10 kan ook met een
dermojet in de nagelwal worden geschoten, maar dat is ook pijnlijk en er is
geen goede controle over de juiste diepte en de juiste hoeveelheid. Bij lichen
planus kan een hogere dosering (Kenacort 40) nodig zijn dan bij
nagelpsoriasis;
er is dan echter ook kans op atrofie van de huid.
R/ salicylzuur 10% in betamethason
of clobetasol zalf (salicylzuur 10% in Dermovate zalf).
R/ salicylzuur 20%
in vaseline gedurende 2 weken, daarna Dermovate zalf.
R/ nagellak met 8%
clobetasoldipropionaat 0.05% (clobetasol nail lacquer, VS, niet in Nederland).
R/ systemische therapie in ernstige gevallen (acitretine (Neotigason), plaquenil,
ciclosporine, methotrexaat).
R/ Kenacort-A 40 intramusculair 0.5-1 mg (meestal
1 hele ampul van 1 ml = 40 mg Kenacort-A 40) eens in de 4-6 weken.
Referenties
| 1. |
Lebwohl M, Heymann WR, Berth-Jones J, Coulson
I. Treatment of skin disease - Comprehensive therapeutic strategies.
Saunders - Elsevier, New York, Third edition 2010. |
| 2. |
Maticic M, Poljak M, Lunder T et al. Lichen
planus and other cutaneous manifestations in chronic hepatitis C.
J Eur Acad Dermatol Venereol 2008;22:779-788. |
| 3. |
Büyük AY, Kavala M. Oral metronidazol treatment
of lichen planus, J Am Acad Dermatol 2000;43:260-262. |
| 4. |
Lodi G, Carrozzo M, Furness S, Thongprasom
K. Interventions for treating oral lichen planus: a systematic review.
Br J Dermatol 2012;166(5):938-947. |
| 5. |
NVDV Richtlijn lichen planus 2021. |
Mondholte en lippenSlijmvliesafwijkingen in de mondholte
zijn te vinden bij 60-70% van patiënten met lichen planus, vooral buccaal (wangslijmvlies)
t.h.v. de occlusie, maar ook op gingiva, tong, en lippen. Klinisch ziet men
parelmoerachtige, opalescerende witte guirlande vormige laesies, soms vlakke
witte papels met streepvormige figuren. Vaak erosief. Veroorzaakt branderig
gevoel en pijnklachten, vooral bij erosies en ulceraties. Naast de klassieke
orale lichen planus (OLP) komen in de mondholte ook orale lichenoïde laesies
(OLL) voor, die klinisch en histologisch lijken op lichenplanus. Orale lichen
planus is meestal idiopathisch, bij de lichenoïde laesies kunnen wel oorzaken
aangewezen worden: contact met tandheelkundig restauratiemateriaal, lichenoide
geneesmiddelenreacties, graft versus host disease (GVHD), en overige oorzaken
waaronder trauma van het wangslijmvlies. Ook in de eosofagus kan lichen planus
voorkomen, met als gevolg slikklachten en pijn bij slikken, en soms een stenose
van de proximale slokdarm. De KNO arts kan dit vaststellen met endoscopie.
![Lichen planus mucosae (click on photo to enlarge) [source: www.huidziekten.nl] Lichen planus mucosae](../../../images/lichen-planus-mucosa-5z.jpg) |
![Lichen planus mucosae (click on photo to enlarge) [source: www.huidziekten.nl] Lichen planus mucosae](../../../images/lichen-planus-mucosa-6z.jpg) |
![Lichen planus mucosae (click on photo to enlarge) [source: www.huidziekten.nl] Lichen planus mucosae](../../../images/lichen-planus-mucosa-1z.jpg) |
| lichen
planus mucosae |
lichen
planus mucosae |
lichen
planus mucosae |
![Lichen planus mucosae (click on photo to enlarge) [source: www.huidziekten.nl] Lichen planus mucosae](../../../images/lichen-planus-mucosa-3z.jpg) |
![Lichen planus mucosae (click on photo to enlarge) [source: www.huidziekten.nl] Lichen planus mucosae](../../../images/lichen-planus-mucosa-7z.jpg) |
![Lichen planus mucosae (click on photo to enlarge) [source: www.huidziekten.nl] Lichen planus mucosae](../../../images/lichen-planus-mucosa-2z.jpg) |
| lichen
planus mucosae |
lichen
planus mucosae |
lichen
planus mucosae |
DD: leukoplakie,
hairy leukoplakie, leukodeem,
chronic ulcerative stomatitis,
cheilitis actinica,
cheilitis plasmacellularis,
andere vormen van
cheilitis en
cheilosis,
lip-licking dermatitis,
contacteczeem,
Stevens Johnson syndroom,
herpes simplex,
candida, pseudomembraneuze
candidiasis, lues I en II, blaarziekten,
graft versus host disease,
lichenoide contactallergie op amalgaamvullingen,
Köbner reactie op irritatie rond vullingen,
CDLE, SLE, mechanische beschadiging door vullingen, scherpe randen kiezen en
tanden, tandenpoetsgewoonten, wangbijten (morsicatio buccorum), aspirin burn,
linea alba, papilloom,
white sponge nevus,
verruciform
xanthoom,
lingua geographica. De DD
met leukoplakie is moeilijk als huidlaesies ontbreken.
Anogenitale
mucosaAfwijkingen aan de genitale mucosa (vagina, glans penis,
penis) komen regelmatig voor en kunnen veel klachten veroorzaken. Met name de
vaginale lichen planus veroorzaakt veel hinder en pijn, kan chronische erosies
en ulceraties veroorzaken. Soms met bloederige of purulente fluor, dyspareunie,
dysurie, en postcoïtaal bloedverlies. Anogenitale lichen planus kan vernauwing
van anus, urethra, vagina en vaginale introïtus veroorzaken, en atrofie van
de labia minora. Behalve mucosale lichen planus kan in het anogenitale gebied
natuurlijk ook de cutane vorm voorkomen op de penis, vagina en perianale huid.
Bij erosieve lichen planus worden soms auto-antilichamen tegen plaveiselcelepitheel
aangetroffen (SES-ANA). Zie ook onder
chronic ulcerative stomatitis.
Soms spelen geneesmiddelen een rol (lichenoide geneesmiddelen reacties, o.a.
op NSAIDs, lithium, beta-blokkers, ACE-remmers).
![Lichen planus mucosae (click on photo to enlarge) [source: www.huidziekten.nl] Lichen planus mucosae](../../../images/lichen-planus-penis-1z.jpg) |
![Lichen planus mucosae (click on photo to enlarge) [source: www.huidziekten.nl] Lichen planus mucosae](../../../images/lichen-planus-penis-2z.jpg) |
![Lichen planus van de vulva (click on photo to enlarge) [source: www.huidziekten.nl] Lichen planus mucosae](../../../images/lichen-planus-vulva-1z.jpg) |
| lichen
planus penis |
lichen
planus penis |
lichen
planus vulva |
DD: lichen sclerosus,
morbus Bowen,
plaveiselcarcinoom,
condyloma,
lichen simplex chronicus, mucosaal
pemphigoid, herpes simplex, banaal ulcus, sexueel overdraagbare aandoeningen.
Therapie: Mondholte:
R/ Triamcinolon 0.1% in hypromellosezalf 20% FNA (Triamcinolonacetonidemondpasta
0,1% FNA).
Voor de nacht direct op laesies aanbrengen, zonodig ook overdag
nog 2-3 keer, na de maaltijden.
R/ triamcinolon 0.1% in oculentum simplex
(15 g).
R/ triamcinolon 0.1% in Orabase, fluocinolonacetonide 0.1% in Orabase,
clobetasolpropionaat 0.05% in Orabase. Orabase is een merknaam voor een indifferente
hypromellose basis voor gebruik in de mondholte. Met dit product zijn studies
uitgevoerd in de VS. In Nederland wordt deze receptuur vervangen door een magistraal
recept van triamcinolon 0.1%, clobetasolpropionaat 0.05% of andere corticosteroïden
in hypromellosezalf 20% FNA. De apothekers bereiden dit zelf.
R/ Betnelan
mondpasta 0.025% of 0.1%, Dermovate mondzalf of Clobetasol mondspoeling. Zie
voorbeelden receptuur hieronder.
R/ Dermovate (clobetasolpropionaat) zalf.
R/ corticosteroïd dosis-aerosols: beclomethason (Becotide 100, Becloforte 250),
of fluticason (Flixotide 125 of 250), 4-6 dd sprayen op de laesies.
R/ dexamethason
oplossen in een glas water en mee spoelen.
R/ Protopic (tacrolimus) mondzalf.
Gewone Protopic zalf 0.1% kan zonder aanpassingen op de lippen worden gesmeerd
maar voor hechting aan slijmvlies is het magistrale product met hypromellose
beter. Zie voorbeelden receptuur hieronder. De studies zijn uitgevoerd met tacrolimus
0.1% in Orabase.
R/ Elidel (pimecrolimus) crème 1%, tube à 30 g.
R/ Kenacort-A
10 of 40 (triamcinolon) onverdund intralesionaal.
R/ mesalazine 5% gel, mesalazine
5% in hypromellosezalf of oculentum simplex FNA (magistraal).
R/ ciclosporine
drank 100 mg/ml, 3 dd, ciclosporine oplossing (magistraal).
R/ tretinoïne
0.1% mondpasta FNA (tretinoïne 0.1% in hypromellosezalf 20% FNA).
R/
isotretinoïne gel 0.1% (magistraal).
Enkele voorbeelden van magistrale receptuur voor de mondholte:
| Protopic mondzalf |
| R/ |
1. Protopic 0,03% of 0,1% zalf |
24 g |
| |
2. Hypromellose 4000 mpa.s |
6 g |
| S/ |
Mondzalf, tube 30 gram, NO: . . . . . . . . |
|
| |
Gebruik 3 dd appliceren, met vinger (wang, tandvlees, tongrand,
lippen), nadien half uur niet eten of drinken. |
|
| |
|
|
| NB. Start met protopic 0,1% en ga pas later over op
0,03%. |
| |
|
|
| Betamethason mondzalf 0.05% |
| R/ |
1. Bethamethason 0.1% zalf |
15 g |
| |
2. Hypromellose 4000 mpa.s |
6 g |
| |
3. Vaseline |
9 g |
| S/ |
Mondzalf, tube 30 gram, NO: . . . . . . |
|
| |
Gebruik 6 dd dunne laag aanbrengen, niet inwrijven, nadien half
uur niet eten of drinken |
|
Lokale analgetica:R/ Lidocaïne 2% orale gel FNA,
4-6 dd aanstippen of spoelen, of voor de maaltijden.
R/ EMLA crème, 4-6 dd
aanstippen met wattenstaafje, of 30 minuten voor het eten aanbrengen.
Vagina: R/ Dermovate (clobetasolpropionaat)
zalf of crème.
R/ overige lokale corticosteroiden klasse I-IV.
R/ hydrocortison
zetpil 50 mg vaginaal inbrengen (bijwerkingen lokaal en systemisch).
R/ Protopic
(tacrolimus) 0.1% zalf, tube à 30 of 60 g.
R/ Protopic (tacrolimus) 0.03%
zalf, tube à 30 of 60 g.
R/ Elidel (pimecrolimus) 1% crème, tube à 30 g
R/ Protopic mondzalf, tube à 30 g
1. Protopic 0.1% zalf 24 g
2. hypromellose
4000 mpa.s 6 g
Systemische therapie voor mucosale lichen planus:
R/ systemische corticosteroïden (prednisolon 1 dd 30-60 mg gedurende 2 weken).
R/ Neotigason (acitretine) 1 dd 30 mg.
R/ Neoral (ciclosporine) 2-5 mg/kg.
R/ Plaquenil (hydroxychloroquine) 1 dd 200-400 mg.
R/ methotrexaat, azathioprine
1 dd 2-3 mg/kg, mycofenolaat mofetil, thalidomide.
Author(s):dr. Jan R. Mekkes. Dermatologist, Amsterdam UMC.