Reticular erythematous mucinosis (REM), of plaquelike
cutaneous mucinosis is gekarakteriseerd door het ontstaan van persisterende
erythemateuze maculae midsternaal en midden op de rug. Het behoort tot de
mucinosen, histologisch wordt mucine depositie
gezien. Reticular erythematous mucinosis is zeldzaam. Het komt vooral bij vrouwen
van middelbare leeftijd voor. De oorzaak is niet bekend, genoemd worden zonne-expositie,
virale infecties en immunologische aandoeningen (SLE, subacute LE, CDLE, idiopathische
thrombocytopenische purpura, diabetes mellitus, schildklierziekten).
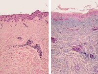
Klinisch beeld:Erythemateuze macula in een reticulair (netvormig)
patroon. Soms geïndureerd, papuleus of plaquevormig. De voorkeurslokalisatie
is het centrale deel van de borst en in mindere mate de bovenrug. Soms ook op
de armen, gelaat en buik.
![Reticulaire erythemateuze mucinosis (REM) (click on photo to enlarge) [source: www.huidziekten.nl] Reticulaire erythemateuze mucinosis (REM)](../../../images/REM-syndroom-1z.jpg) |
![Reticulaire erythemateuze mucinosis (REM) (click on photo to enlarge) [source: www.huidziekten.nl] Reticulaire erythemateuze mucinosis (REM)](../../../images/REM-syndroom-2z.jpg) |
![Reticulaire erythemateuze mucinosis (REM) (click on photo to enlarge) [source: www.huidziekten.nl] Reticulaire erythemateuze mucinosis (REM)](../../../images/REM-syndroom-3z.jpg) |
| REM syndroom |
REM syndroom |
REM
syndroom |
DD:Poikiloderma van Civatte (
erythrosis
interfollicularis), subacute LE,
polymorfe licht eruptie,
teleangiectasisa
macularis eruptiva perstans,
dermatomyositis,
lymphocytic infiltration of the skin,
amyloidosis cutis,
prurigo pigmentosa.
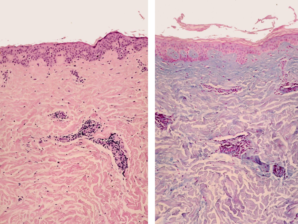
Histologie:Gedilateerde vaten, perivasculair en perifolliculair
lymfocytair infiltraat, mucin deposities (vooral hyaluronzuur, alcian blue -
positief) tussen de collageenvezels van de bovenste lagen van de dermis.
![Reticulaire erythemateuze mucinosis (REM) (click on photo to enlarge) [source: www.huidziekten.nl] Reticulaire erythemateuze mucinosis (REM)](../../../images/REM-syndroom-PA-1z.jpg) |
| REM syndroom
(PA) |
Therapie:R/ Plaquenil 2 dd 200 mg.
R/ Protopic (tacrolimus)
0.1% zalf.
R/ lokale corticosteroïden (matig effect).
R/ prednisolon 20-40
mg, soms in combinatie met lichttherapie.
R/ UVB en UVA-1.
R/ ciclosporine.
Verder wordt geadviseerd om zonlicht te mijden ondanks het therapeutisch effect
van lichttherapie.
Referenties
| 1. |
Steigleder GK, Gartmann H, Linker U. REM
syndrome: reticular erythematous mucinosis (round-cell erythematosis):
a new entity? Br J Dermatol 1974;91:191-199. |
| 2. |
Quimby SR, Perry HO. Plaquelike cutaneous
mucinosis: its relationship to reticular erythematous mucinosis.
J Am Acad Dermatol 1982;6:856-861. |
| 3. |
Bleehen SS, Slater DN, Mahood J, Church RE.
Reticular erythematous mucinosis: light and electron microscopy,
immunofluorescence and histochemical findings. Br J Dermatol 1982;106:9-18. |
| 4. |
Izumi T, Tajima S, Harada R, Nishikawa T.
Reticular erythematous mucinosis syndrome: glycosaminoglycan synthesis
by fibroblasts and abnormal response to interleukin-1 beta. Dermatology
1996;192:41-45. |
| 5. |
Braddock SW, Davis CS, Davis RB. Reticular
erythematous mucinosis and thrombocytopenic purpura: report of a
case and review of world literature, including plaquelike cutaneous
mucinosis. J Am Acad Dermatol 1988;19:859-868. |
| 6. |
Cohen PR, Rabinowitz AD, Ruszkowski AM, DeLeo
V. Reticular erythematous mucinosis syndrome: review of the world
literature and report of the syndrome in a prepubertal child. Pediatr
Dermatol 1990;7:1-10. |
Author(s):dr. Jan R. Mekkes. Dermatologist, Amsterdam UMC.