Ringworm (
tinea corporis, dermatomycose)
is een oppervlakkige
schimmelinfectie van
de huid veroorzaakt door
dermatophyten. In het klassieke
geval heeft deze vorm van dermatomycose een verheven schilferende en erythemateuze
randzone, en ziet er dus uit als een ring. Dat kan zijn een kleine ronde plaque,
aan de randen uitbreidend, of een groter rood schilferend gebied met een rode
rand.
![Ringworm, tinea corporis, dermatomycosis (click on photo to enlarge) [source: www.huidziekten.nl] Ringworm, tinea corporis, dermatomycosis](../../../images/dermatomycosis-corporis-1z.jpg) |
![Ringworm, tinea corporis, dermatomycosis (click on photo to enlarge) [source: www.huidziekten.nl] Ringworm, tinea corporis, dermatomycosis](../../../images/dermatomycosis-corporis-2z.jpg) |
![Ringworm, tinea corporis, dermatomycosis (click on photo to enlarge) [source: www.huidziekten.nl] Ringworm, tinea corporis, dermatomycosis](../../../images/dermatomycosis-corporis-3z.jpg) |
|
ringworm (tinea corporis) |
ringworm (tinea corporis) |
ringworm (tinea corporis) |
![Ringworm, tinea corporis, dermatomycosis (click on photo to enlarge) [source: www.huidziekten.nl] Ringworm, tinea corporis, dermatomycosis](../../../images/dermatomycosis-corporis-4z.jpg) |
![Ringworm, tinea corporis, dermatomycosis (click on photo to enlarge) [source: www.huidziekten.nl] Ringworm, tinea corporis, dermatomycosis](../../../images/dermatomycosis-corporis-5z.jpg) |
![Ringworm, tinea corporis, dermatomycosis (click on photo to enlarge) [source: www.huidziekten.nl] Ringworm, tinea corporis, dermatomycosis](../../../images/dermatomycosis-corporis-6z.jpg) |
| ringworm
(tinea corporis) |
ringworm
(tinea corporis) |
ringworm
(tinea corporis) |
![Ringworm, tinea corporis, dermatomycosis (click on photo to enlarge) [source: www.huidziekten.nl] Ringworm, tinea corporis, dermatomycosis](../../../images/dermatomycosis-corporis-7z.jpg) |
![Ringworm, tinea corporis, dermatomycosis (click on photo to enlarge) [source: www.huidziekten.nl] Ringworm, tinea corporis, dermatomycosis](../../../images/dermatomycosis-corporis-9z.jpg) |
![Ringworm, tinea incognito, behandeld met lokale corticosteroïden waardoor het erger werd (click on photo to enlarge) [source: www.huidziekten.nl] Ringworm, tinea corporis, dermatomycosis](../../../images/dermatomycosis-corporis-8z.jpg) |
| ringworm
(tinea corporis) |
ringworm
(tinea corporis) |
tinea
incognito |
De dermatophyten die ringworm kunnen veroorzaken zijn
Trichophyton,
Microsporum, en
Epidermophyton. Dermatophyten kunnen leven
op de mens (anthropophilic), op zoogdieren (zoophilic), en in de aarde (geophilic).
De meest voorkomende schimmel is
Trichophyton rubrum. De schimmels
leven in de hoornlaag en dringen de haarzakjes binnen, maar niet verder. De
schimmels worden opgelopen van een besmet persoon of dier, soms via het beroep
(boer, tuinier, laborant, veearts, dierverzorger). Sporters lopen het op via
contact sporten zoals worstelen (tinea corporis gladiatorum) of via de vloer
van de kleedkamer / douches. Na een incubatie tijd van 1-3 weken ontstaat een
centrifugaal uitbreidende schilferende ring, met als belangrijkste klacht jeuk
of een branderige sensatie. De schimmels breiden zich vooral uit onder vochtige
en warme omstandigheden. Ringworm komt vooral voor bij kinderen en jong volwassenen,
en soms bij moeders.
Ongeveer de helft van de ringworm infecties wordt
veroorzaakt door
T. rubrum. Daarna door
T. tonsurans.
T. tonsurans is een belangrijke oorzaak van
tinea capitis, maar kan bij dezelfde personen of bij mensen in de omgeving
(ouders) ook tinea corporis veroorzaken. Ook
Microsporum canis, vaak
opgelopen van jonge hondjes komt frequent voor (15%). Andere dermatofyten die
ringworm veroorzaken zijn
Trichophyton mentagrophytes (van konijnen,
cavia's, knaagdieren),
Epidermophyton floccosum,
Trichophyton violaceum,
Trichophyton verrucosum,
Trichophyton interdigitale,
Microsporum
gypseum (uit aarde), en
Trichophyton concentricum.
Klinisch beeld:Het klassieke beeld is de annulaire erythematosquameuze
laesie met centrale genezing en uitbreiding aan de randen. Er zijn varianten,
soms zijn er pustels of vesikels, soms zijn er psoriatiforme laesies of plaques,
vooral als er steroïden op zijn gesmeerd (
tinea incognito).
Majocchi granuloma (
T.
rubrum) is een schimmelinfectie van de haarfollikels met een granulomateuze
ontsteking. Dit komt vooral voor bij vrouwen secundair aan het scheren van de
benen.
Tinea imbricata is een vorm met concentrische
ringen die vooral in de tropen voorkomt en veroorzaakt wordt door
Trichophyton
concentricum. Er kan secundaire bacteriële infectie optreden.
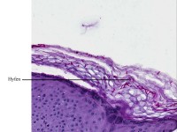
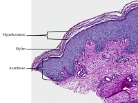
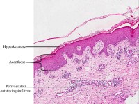
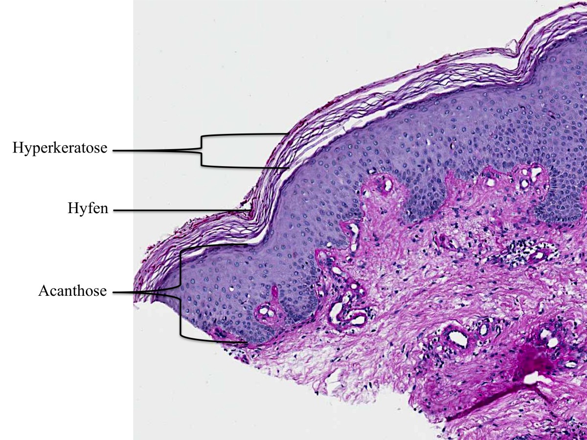
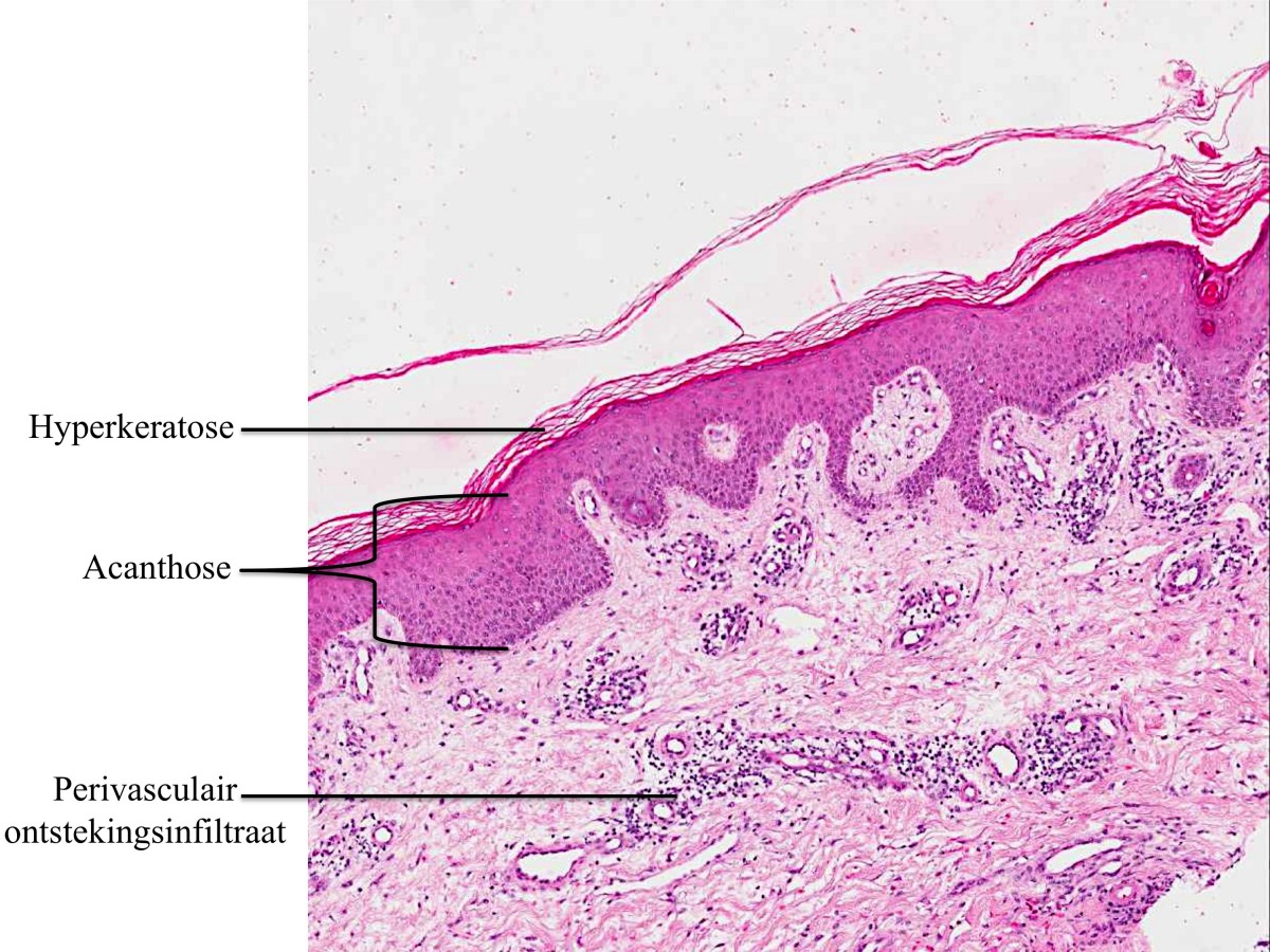
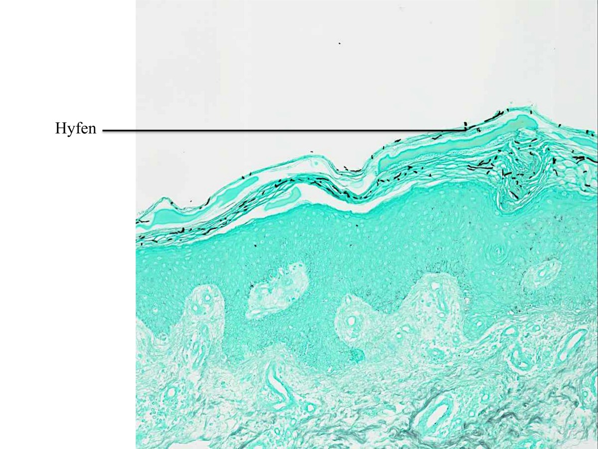
Histologie:Het histologisch beeld wordt gekenmerkt door
neutrofiele granulocyten in het stratum corneum en compacte hyperkeratose (soms
met parakeratose). Afhankelijk van de chroniciteit is er acanthose aanwezig.
Milde spongiose wordt veelal gezien (6,7). In de oppervlakkige dermis is er
meestal oedeem en een perivasculair lymfocytair infiltraat aanwezig met soms
eosinofiele en/of neutrofiele granulocyten. Bij betrokkenheid van de follikel
wordt vaak een forser ontstekingsinfiltraat gezien (6). In de Periodic acid-Schiff-diastase
(PAS-D) en in de Grocott worden hyfen gezien. Hyfen bevinden zich in de meeste
gevallen in het stratum corneum (6,7).
![Dermatomycose, HE kleuring (click on photo to enlarge) [source: afdeling Pathologie, UMCU Utrecht] Dermatomycose, HE kleuring](../../../images/dermatomycose-HEz.jpg) |
![Dermatomycose, PAS kleuring (click on photo to enlarge) [source: afdeling Pathologie, UMCU Utrecht] Dermatomycose, PAS kleuring](../../../images/dermatomycose-PAS-1z.jpg) |
| mycose,
HE kleuring |
mycose,
PAS-D kleuring |
![Dermatomycose, PAS kleuring (click on photo to enlarge) [source: afdeling Pathologie, UMCU Utrecht] Dermatomycose, PAS kleuring](../../../images/dermatomycose-PAS-2z.jpg) |
![Dermatomycose, Grocott kleuring (click on photo to enlarge) [source: afdeling Pathologie, UMCU Utrecht] Dermatomycose, Grocott kleuring](../../../images/dermatomycose-Grocottz.jpg) |
| mycose,
PAS-D kleuring |
mycose,
Grocott kleuring |
DD:Granuloma
annulare,
psoriasis,
nummulair eczeem,
atopisch eczeem,
seborroisch eczeem, candida,
erythrasma,
granuloma faciale, subacute cutane
LE, erythema multiforme, erythema annulare centrifugum,
porokeratosis, impetigo,
parapsoriasis,
pityriasis rosea,
lymphocytic infiltration of the skin,
EMAP,
syphilis.
Diagnostiek:
KOH preparaat maken van de rand van
de laesie. KOH preparaat: schraap wat schilfertjes van de huid af met een objectglas,
of met een mesje. Als er losse schilfers zijn of
collerettes, trek die er af met een fijn
splinterpincet. Probeer de schilfers er af te trekken in de richting van waar
ze nog vast zitten, want de schimmeldraden zijn het beste te zien in de hoornlaag
die nog vast zit op een vitale epidermis. Als er vesikels of pustels zijn, trek
het dak daarvan af met een splinterpincet en onderzoek dit. Leg het materiaal
voorzichtig op een objectglas (microscoopglas), afdekken met dekglaasje en laat
er een druppel 10% kaliumhydroxide (KOH) onder lopen. Even verwarmen op / boven
een warmte bron en dan beoordelen met de condensor in een lage stand op de aanwezigheid
van hyphen.
![Hyphen in KOH-preparaat (click on photo to enlarge) [source: www.huidziekten.nl] Hyphen in KOH-preparaat](../../../images/KOH/hyphen-1z.jpg) |
![Hyphen in KOH-preparaat (click on photo to enlarge) [source: www.huidziekten.nl] Hyphen in KOH-preparaat](../../../images/KOH/hyphen-2z.jpg) |
| KOH
preparaat |
KOH
preparaat |
![Hyphen in KOH-preparaat (click on photo to enlarge) [source: www.huidziekten.nl] Hyphen in KOH-preparaat](../../../images/KOH/hyphen-3z.jpg) |
![Hyphen in KOH-preparaat (click on photo to enlarge) [source: www.huidziekten.nl] Hyphen in KOH-preparaat](../../../images/KOH/hyphen-4z.jpg) |
| KOH
preparaat |
KOH
preparaat |
Een andere optie is om materiaal in te sturen voor kweek. Huidschilfers,
schraapsel, nagelmateriaal of haren kunnen worden ingestuurd in een steriele
kunststof of glazen container / petrischaal naar het laboratorium mycologie.
Schimmels kunnen worden gekweekt op Sabouraud agar en andere speciale kweekmedia.
Het kweken duurt meestal minimaal 2 weken waarna de schimmel op grond van kolonievorm
en andere karakteristieken kan worden gedetermineerd. Soms worden daarbij ook
moderne technieken ingezet (PCR).
Ook in een biopt (meestal afgenomen als
er een DD is) kan de schimmel met een PAS-kleuring worden aangetoond. Bij schimmels
op het behaarde hoofd kan de
Woodslamp
worden ingezet:
Trichophyton schoenleinii,
Microsporon audouinii,
en
Microsporum canis (
ectothrix
groeiwijze) lichten groen op. Ringworm belichten met de Woodslamp levert
alleen groene fluorescentie op als het
Microsporum canis is.
Therapie:De therapie bestaat uit het 2 dd aanbrengen
van
lokale antimycotica op de laesie
en 2 cm er omheen gedurende minimaal 2 weken. Lokale antimycotica zijn de azolen
(econazol, ketoconazol, clotrimazol, miconazol, sulconazol), allylamines (terbinafine)
en ciclopirox. Eventueel gecombineerd met een klasse I-II steroid. Bij onvoldoende
effect of bij zeer uitgebreide mycose, bij infectie van de haren of nagels,
en bij immuungecomprommiteerde patiënten kan een
systemisch antimycoticum worden voorgeschreven
(itraconazol 2 dd 100 mg 2 wk, terbinafine 1 dd 250 mg 2 wk, fluconazol 50-100
mg dd of 150 mg/wk 2-4 wk, griseofulvine 10 mg/kg/dg 4 wk, voriconazol).
Sommige antimycotica die goed en goedkoop zijn zoals Daktarin (miconazol)
worden poliklinisch toch niet meer vergoed omdat ze ook als zelfzorgmedicijn
'over the counter' te koop zijn (zonder recept). Bij een hoog eigen risico kan
het goedkoper zijn om die toch te kopen in plaats van recept antimycotica.
Imidazol derivatenR/ Loprox (ciclopirox 1%) crème,
tube à 30 g.
R/ Miconazol Zalf FNA (miconazolnitraat 2% (20 mg/g) in cetomacrogolzalf).
R/ Myk (sulcanozol 1%) lotion 20 ml.
R/ Myk (sulcanozol 1%) crème, tube à 30 g.
R/ Daktarin (miconazol 2%) crème, tube à 30 g.
R/ Lamisil (terbinafine 1%) crème, tube à 15 g, huidspray 15 ml.
R/ Lamisil (terbinafine 1%) dermgel, tube à 15 g.
R/ Canesten skin (clotrimazol 1%), tube à 30 g.
KetoconazolR/ Nizoral (ketaconazol 2%) crème, tube
à 30 g.
Bij huidinfecties met Trichophyton, Epidermophyton, Pityrosporum, Microsporum,
Candida, en seborroisch eczeem.
Systemische antimycotica
R/ itraconazol 1 dd 1 caps à 100 mg gedurende 2 weken bij tinea corporis en
tinea cruris.
R/ terbinafine 1 dd 250 mg gedurende 2-4 weken bij tinea corporis.
Werkt tegen schimmelinfecties van de huid en nagels door dermatophyten zoals
Trichofyton rubrum,
T. mentagrofytes,
T. verrucosum,
T. violaceum,
Microsporum canis, en
Epidermophyton floccosum.
R/ fluconazol caps à 50, 150 of 200 mg, 50 mg per dag of 150 mg/week gedurende
2-4 weken voor tinea corporis.
Referenties
| 1. |
Rezabek GH, Friedman AD. Superficial fungal
infections of the skin. Diagnosis and current treatment recommendations.
Drugs 1992;43(5):674-682. |
| 2. |
Lesher JL Jr. Oral therapy of common superficial
fungal infections of the skin. J Am Acad Dermatol 1999;40:S31-34. |
| 3. |
Drake LA, Dinehart SM, Farmer ER, et al.
Guidelines of care for superficial mycotic infections of the skin:
tinea corporis, tinea cruris, tinea faciei, tinea manuum, and tinea
pedis. Guidelines/Outcomes Committee. American Academy of Dermatology.
J Am Acad Dermatol 1996;34(2 Pt 1):282-286. |
| 4. |
Gupta AK, Einarson TR, Summerbell RC, Shear
NH. An overview of topical antifungal therapy in dermatomycoses.
A North American perspective. Drugs 1998;55(5):645-674. |
| 5. |
da Silva Barros ME, de Assis Santos D, Soares
Hamdan J. Antifungal susceptibility testing of Trichophyton rubrum
by E-test. Arch Dermatol Res 2007;299(2):107-109. |
| 6. |
Weedon D. Mycoses and algal infections. In:
Weedon's Skin Pathology. 3th ed. Churchill Livingstone; 2010:582-588. |
| 7. |
McKee PH. Infectious Diseases. In: McKee
PH. Pathology of the Skin with Clinical Correlations. 2nd ed. Mosby-Wolfe:1996;4.59-4.60. |
| 8. |
Macura AB. Dermatophyte infections. Int J
Dermatol 1993;32(5):313-323. |
Author(s):dr. Jan R. Mekkes. Dermatologist, Amsterdam UMC.
Mary-Ann el Sharouni. Co-assistent, UMC Utrecht.
Norbert A. Ipenburg.
Co-assistent, UMC Utrecht.
Prof. dr. Marijke R. van Dijk. Patholoog, UMC
Utrecht.